-
Milan, 2nd February 2020 ESMO Conference starts with a session in combination with SPAEN entitled "Working together-Using patient power".Great opening for the sarcoma community. Thank you colleagues!
#sarcoma,#SPAEN20,#ESMOpic.twitter.com/GXpgoGGFBB
-
-
The Survival and Incidence Rate of Ewing Sarcoma; a National Population-based Study in Iran (2008-2015)
#ewig#sarcoma#study http://bit.ly/2Ulo8B1 pic.twitter.com/cDLmvp3orC
-
Thank you both for coming to our conference and presenting the project, but also and very importantly giving first-hand insights about the situation of
#sarcoma#GIST patients in Chile and Latin America. We’ve learned: You can only achieve your goals if you collaborate!#SPAEN20https://twitter.com/gistchile/status/1224340990854647808 …
-
Milan 3-5 February 2020 The main topic of the ESMO Conference: sarcoma CHALLENGES . Challenges in classification , in pathologic diagnosis, in surgery, in radiation therapies and in medical treatments
#sarcoma,#ESMOpic.twitter.com/mYqUqzILAa
-
Congratulations! It was nice meeting you at the FDA.
#SARCOMA https://twitter.com/curesarcoma/status/1224334129698955267 …
-
The Sarcoma Foundation of America Announces Brandi Felser as Executive Director http://www.curesarcoma.org/sfa-announces-brand-felser-executive-director/ …
#Sarcoma#CureSarcomapic.twitter.com/W7iMP8t59N
-
My slide from today’s talk on
#sarcoma neo/adjuvant chemotherapy at@myESMO symposium in Milano. This (actually overstated
) rivalry keeps creating tight bonds among us to improve outcomes in sarcoma patients all around the world.
#sarcoma2020pic.twitter.com/iRbjxKGDIq
-
#desmoid tumor patient successfully treated with mtx + vinorelbine. Consensus: no surgery.@myESMO#sarcoma pic.twitter.com/HC2kINrLPo
-
May she rest in peace. More
#Sarcoma research is desperately needed. https://twitter.com/nytimes/status/1224142989334847490 … -
The fact that Dox is still being used 46 years on, while others have come and gone is an important message Research into costly,fancy new drugs shouldn't necessarily ignore the people helped by std. first line chemo. Prevention of metastases is a worthy research goal
#sarcoma https://twitter.com/BradleyJPrice/status/1223930039823106050 …
-
So proud if the Van Tine lab members for their hard work in
#sarcoma tumor metabolism pic.twitter.com/z2JVRJHeuM
-
“Multiomics integrated approach as a novel tool for precision oncology and new technologies such as A.I. are reshaping the oncology landscape and fostering patients’ hopes” Ornella Gonzato’s welcome speech at SPAEN Annual Conference
#sarcoma,#SPAEN20,#rarecancers.pic.twitter.com/q0KnZaX2GF
-
I’m just home from
@RJAH_NHS after a 2nd week of intensive rehab following proximal femoral replacement for#chondrosarcoma. I would like to commend the team in particular@GillianCribb for their excellent care and support. This hospital is world class, thank you
#sarcoma -
#BREXIT? What a sad day for Europe and many people in the UK. Fortunately, this is not a "PAGXIT". Means: We are really happy that UK Patient Advocacy Groups (PAGs) are still a strong and important part of the#Sarcoma and the EU Cancer Patient Community!#GIST#StrongerTogether -
Learn how innovative
#sarcoma surgery at Ohio State helped Jared Sylvester return to normal life after his diagnosis at age 21. -
OutSmarting OS Finalist Andy Livingston, MD of MD Anderson Children's Cancer Hospital, Asst Prof, Dept of
#Sarcoma at UT MDAnderson will be speaking on "CD73-The Next#Immunotherapy Target in#Osteosarcoma" and in the@OSInstitute's session, "Who We Are" *FACTOR20 is SOLD OUT!*pic.twitter.com/BjEto97lQ8
-
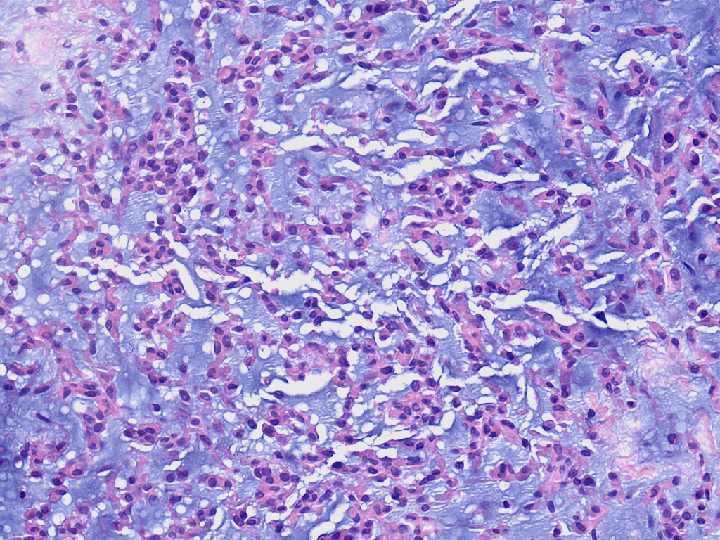
@MoticPathEU Soft tissue tumor, right arm (intramuscular). Extraskeletal Myxoid Chondrosarcoma.#sarcoma#BSTpathpic.twitter.com/8eyx8mNnv9
Čini se da učitavanje traje već neko vrijeme.
Twitter je možda preopterećen ili ima kratkotrajnih poteškoća u radu. Pokušajte ponovno ili potražite dodatne informacije u odjeljku Status Twittera.
