-
Hey everyone....in case you are wondering what causes non-caseating granuloma, I found a great mnemonic (not!). I especially like “K” !
#sarcoid pic.twitter.com/moefDy0kZK
-
The DDX for granulomatous disease of the uvea often centers around sympathetic ophthalmia and Vogt-Koyanagi-Harada syndrome, but as shown here sarcoidosis can also involve this layer of the eye.
#eyepath#sarcoid pic.twitter.com/Ukzn54o3FF
-
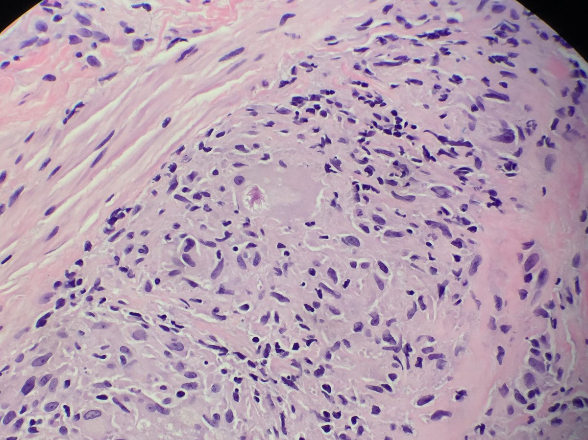
Flow cytospin of mediastinal lymph nodes. Negative flow but found this instead!
#hemepath#sarcoid pic.twitter.com/FODAwJ4NZm
-
Three years diagnosed this week. The team
@FriendsBeaumont hospital in Dublin eventually got to the bottom of all my complaints and Illnesses. There has been ups and downs. But you just keep going#sarcoid pic.twitter.com/rXOrw3AMel
-
Biomarkers are our greatest hope and deepest frustration in detecting recurrence of sarcoid
#ATS2019 @atscommunity#sarcoid pic.twitter.com/dYjSepXExp
-
One of the leading causes of death in sarcoidosis! Joins me today at Chest EXPERIENCE!
#CHEST2019#sarcoid # pic.twitter.com/BIYYiZlp7n
-
One of the several mechanisms of fatigue in sarcoid. Granulomas in small fibres!
#sarcoid#ATS2019 @atscommunitypic.twitter.com/9Bymj5Y5AC
-
RT MishaRosenbach: FdnSarcResearch from this year’s Sarcoidosis walk pic.twitter.com/lMbqPBh3YK
#Sarcoid
-
Great visit to the
@DonkeySanctuary this week to present and discuss my#PhD#sarcoid project, with the help of comically badly drawn cartoons
pic.twitter.com/FMrig0GDmw
-
Ok y’all are missing a great Jeopardy
@ASE360 nice slide summary of Sarcoidosis#sarcoid#ASETwitterartipic.twitter.com/wRMHzwka6y
-
Great job
@engelpedro@UTSWNews@UTSWCardfellow#Cardiology grand rnds presenting risk stratification of#sarcoid pts for prevention of SCD!@dianebwayne@AashishDidwania@dramitkherapic.twitter.com/2VfSvmDRJY
-
Dr L Spencer sharing the importance of registering our#IPF and
#sarcoid pt to the@BTSrespiratory registry . Are you participating@ild_innpic.twitter.com/ceW8E0MBUg
-
To all my
#sarcoidosis#sarcoid sufferers. I hope you have a pain free Christmas
xxx -
Dr C Leonard encouraging early referral for consideration for Lung transplantation. Don’t forget to think about including all pts with ILD not just
#IPF#HP And#Sarcoid@ild_inn#ILD_INN2018 -
If you’re a
#sarcoid sufferer and struggling with long-term Prednisone use, whether it’s:
Bad thoughts
Weight gain
Trouble regulating emotions
Something more serious
Or just want an ear
My DMs are open for you. Chat with me, it will be
@SarcoidosisUK -
She’s a fighter and always with an upbeat attitude.
#lungtransplant#sarcoid#FridayMotivation#ThoughtOfTheDay@StopSarcoidosis@LungTXfndtn *Pic posted w permissionpic.twitter.com/PTu0SVPcgG – mjesto: Baylor University Medical Center
-
Meet Jerry the Clydesdale X. Jerry was treated by
@abec_vet for a#sarcoid followed up with#RadiationTherapy by@DrYolandaSurjan. One year on, the sarcoids have not returned and he's back in competition.#CancerPets#Dressagepic.twitter.com/hBum7w3gLb
-
Bob Baughman reminding us of the complications of steroids in
#Sarcoid. Starting dose does not need to be high! 20mg just as good as 40mg because even dose of 5mg alt days can have adverse QoL effects! Remember#LowestDosePossible 4#ShortestTimePossible
Čini se da učitavanje traje već neko vrijeme.
Twitter je možda preopterećen ili ima kratkotrajnih poteškoća u radu. Pokušajte ponovno ili potražite dodatne informacije u odjeljku Status Twittera.