-
What so many suspected now confirmed with BCISregistry data
#BCIS#RadialFirst#Imagefirsthttps://twitter.com/drderekconnolly/status/1224425448442159105 …
-
“Everything that is bad can always get worse” I would try:
hidrophilic wire1st, advancing MP to reach aortic root
change to stiff wire
EBU4.0+ Yvalve with stiff wire parked inside for LCA/RCA
no LV
deep inspiration and perseverance #Radialfirst
+ Guideliner on sleeve! -
It was excellent experience to talk to these very dynamic and extremely engaged sales force of Cardinal Health APAC and Shjanand Medical Technology (SMT). They are geared to advance The Future of Radial Way: “Railway” in India.
#radialfirst Nishant Kumar Piyush Savalia pic.twitter.com/GMAIX6tNak
-
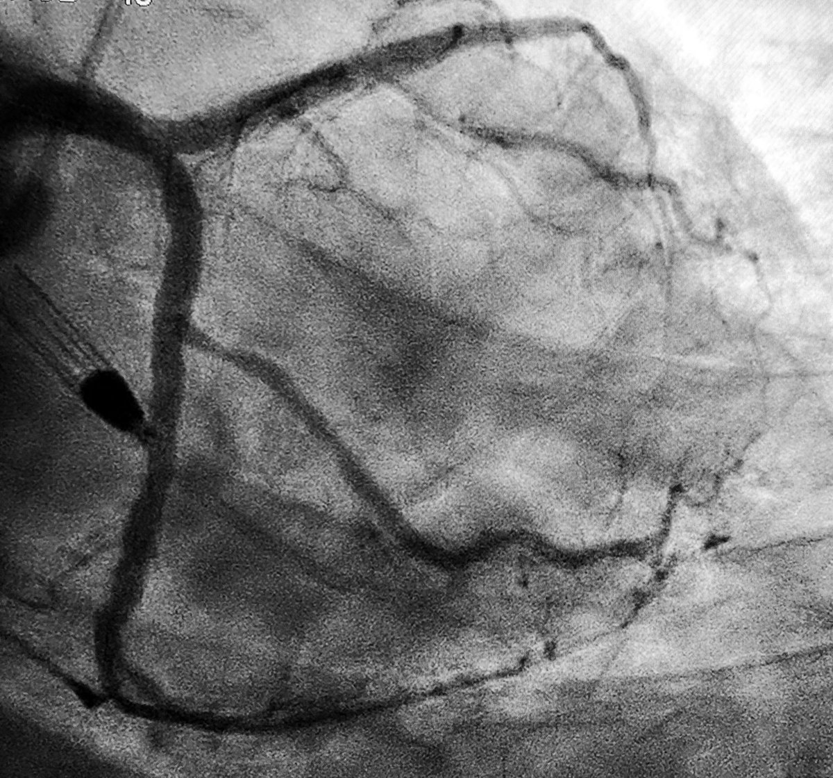
69yo lady with inferior STEMI
#radialfirst#cardiotwitter#cardioed#MedEd#accfit#somecvdpic.twitter.com/RUuklyv6noPrikaži ovu nit -
One from Germany last week
A great week spent with the team at the #LINC2020 meeting. It’s very exciting times for@radcliffeVASCU#cardioed#meded#cardiotwitter#TAVR#venous#dvt#clifighters#RadialFirst pic.twitter.com/RsGl8nBS7n
-
#cardiotwitter#radialfirst How would you treat ?! No IVUS or big stent at this lab. Young 50 female diabetic with recent NSTEMI. I vote for CABG not PCI . pic.twitter.com/gDULYnKcBF -
The worst radial loop ever
#cardiotwitter#radialfirst pic.twitter.com/7LlT2k1PpH
-
Contra-lateral
#radialfirst access is obtained and angio showed loss of LAD 4/x pic.twitter.com/6STUPSON0jPrikaži ovu nit -
The artery had other ideas...EKG immediately before and after
#radialfirst sheath removal. Patient begins to have mild chest pain. 3/x pic.twitter.com/PPR6d1Iu1l
Prikaži ovu nit -
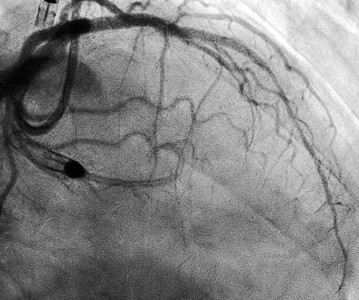
44yo fem, chest pain complaint, sent us for CAG. Incidental LUSORIA artery. Associated short aortic root is the main determinant of “troubles” to finish the procedure through the Right
#RadialFirst when we faced arteria#LUSORIA itself challenges.pic.twitter.com/M5txZ2DwUu -
Last minute
#cardiotwitter SUPERBOWL BOXES. Playing 4RESPECT!!!#radialfirst@jedicath@HeartOTXHeartMD@heartdoc45@djc795@willsuh76@GingerRT215@DocSavageTJU@fischman_david@CardiacConsult@Atul_SharmaMD@CAThompson99@siegel_c@DrArgyle@MichaelMegalyMD@aspergian1@rwyehpic.twitter.com/CLuHvH6Ss1
Prikaži ovu nit -
2/3 8Fr
#RadialFirst Guide, femoral Impella MCS,#ImageFirst IVUS guidance, Rotational atherectomy (2.0 Burr LM/1.5 Burr LAD), LM-LAD-LCX PCI/DES (provisional TAP technique: with POT-Kiss-POT [5.0mm NC to RBP in LM])... pic.twitter.com/fYlcSzGSLt
Prikaži ovu nit -
69 yo M surg
s/p Impella supp, IVUS DK Crush of pLAD / D1 six months ago p/w NSTEMI.
2 wires, PCI LAD, post PCI - ostial D1 looks worse.
Re-wired with Fielder, 1.0 Sapphire,
, Wolverine.
Do you re-stent D1? If so, technique and wire you
b/w stents?
#radialfirst pic.twitter.com/rtHrUrBnUz
-
We are so focused on radial ARTERY access, why make venous access more streamlined for patients? Direct CCF a few weeks after MVC Sheaths in distal radial and AC stick into basilic vein Coils in cav sinus transvenous with balloon inflated TRA in ICA
#RadialFirst#RadialforNeuropic.twitter.com/Ydz0KCzjHp
-
Teaching point # 59 1/4 The conversation about hydrophilic coating for radial catheters is completely different than for femoral. There seems to be some confusion over the benefit of hydrophilic coating for catheters used for radial. See below...
#RadialFirst pic.twitter.com/P246Qp3rnC
Prikaži ovu nit -
1st of all hidrophilic glidewire to reach aortic root an then xstiff wire. Do not don't change puncture site, change strategies.
#RadialFirst pic.twitter.com/kTzTcFk8vs -
Dealing with the brachial tortuosity
#RadialFirst#CathLab#cardiotwitterpic.twitter.com/9R43o7TGfB – mjesto: IMSS UMAE 34 (Cardiología) -
“I’m walking on sunshine “ Haven’t seen one of these in a minute
or
#RadialFirst#ldtrapic.twitter.com/BpgOjutMz9
-
158kg pt post CABG,
#ldtra#radialfirst ...a procedure like this in the past would be very difficult, but now with proper equipment and technique , comfortable and efficient for operator & patient pic.twitter.com/1dz1qJ2yAs
Čini se da učitavanje traje već neko vrijeme.
Twitter je možda preopterećen ili ima kratkotrajnih poteškoća u radu. Pokušajte ponovno ili potražite dodatne informacije u odjeljku Status Twittera.
UK for left main stem PCI and here is the evidence why from