-
The mass in this 30ish year old female in the ER post trauma is?
#RadRes#MedTwitter#FOAMed#FOAMradpic.twitter.com/3miaLNbQj6 -
We are lucky to have committed
#radres members & leaders within@NYSRSociety. One of our biggest strengths! -
Real time bullet migration! Taken about an hour apart. Fragment sandwiched between visceral and parietal pleura with subsequent migration. Clinically stable until intervention.
#radiology#ct#trauma#chest#radres pic.twitter.com/Jc9XDlNJnT
-
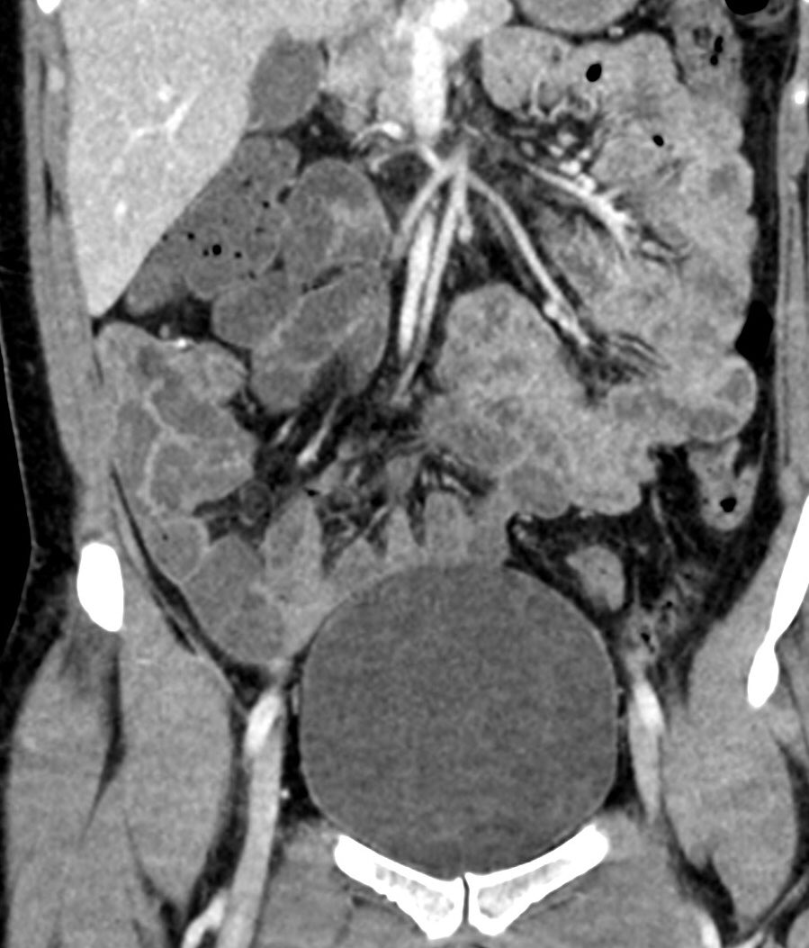
What’s going on with the cecum in this 30yo woman with AML, hematochezia and melena and neutropenia? Last image from prior study for comparison
#meded @cooperradresidency@CooperGME@CooperHospital @cbmandepi#medtwitter#radres pic.twitter.com/URf8O0kBtc
-
Hey
#radres and#radfellows! Radiology Partners is coming to Atlanta on 2/20 for a fun night of food, drinks, and conversation at Topgolf!@EmoryRadiologypic.twitter.com/LNiQblPSw2
-
That's great! We're glad you and your
#RadRes found it helpful. Thanks for prioritizing well-being!@ACRRFShttps://twitter.com/MatthewAHaberMD/status/1224826055548133376 …
-
Emory Peds Neuro Case #96 History: Female teenager with blurry vision and urinary incontinence *No answers or spoilers. Appropriate GIFs only.
#EmoryPedsNeuro#RadRes#MedEd#medtwitterpic.twitter.com/UFJ2l1IDTw
Prikaži ovu nit -
had to flip the CT image on PACS to match Master James Hetfield iconic electric guitar during live performance in Seattle 1989. Moral of the story: Don't forget to look for lead points in cases with intussusception.
#radres#Icanspellintussusception. Oh hi@Metallica !pic.twitter.com/meg01YX724
-
-
Happy to share my classic case at AJNR CLASSIC CASE ARCHIVE .
#ajnr#Radres#FOAMrad#FOAMed#radiology#neurorad pic.twitter.com/ExTHTCz6tqOvo je potencijalno osjetljiv multimedijski sadržaj. Saznajte više
-
Well. Okay. No offence.
#ResidencyLife#RadRes pic.twitter.com/ykoXNsgkpS
-
Defending cases in post call moron state.
#ResidencyLife#RadRes -
So much fun! Thanks for inviting us faculty! And I can't move my arms.
#wellness#radres https://twitter.com/chrisho_md/status/1224553169524613121 …
-
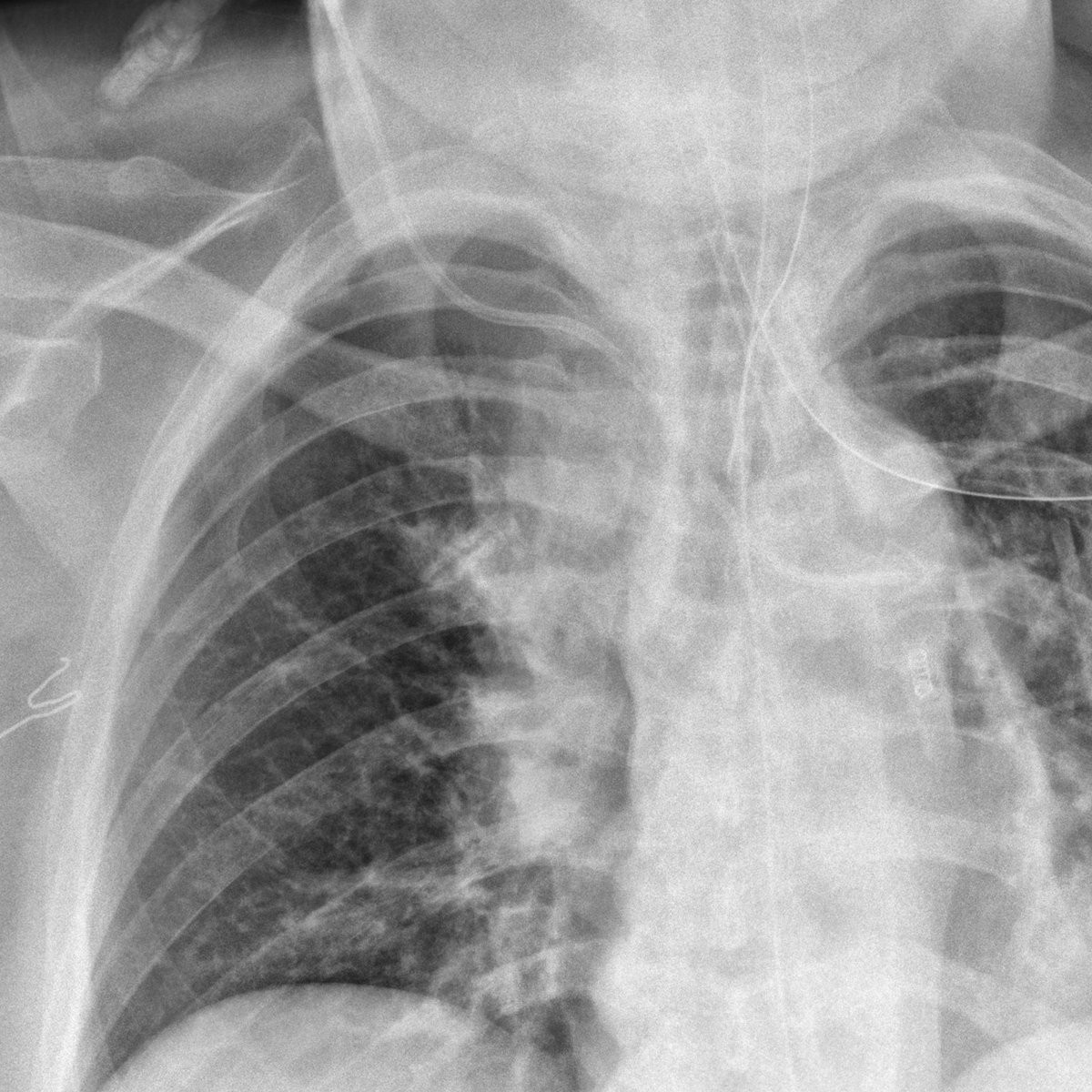
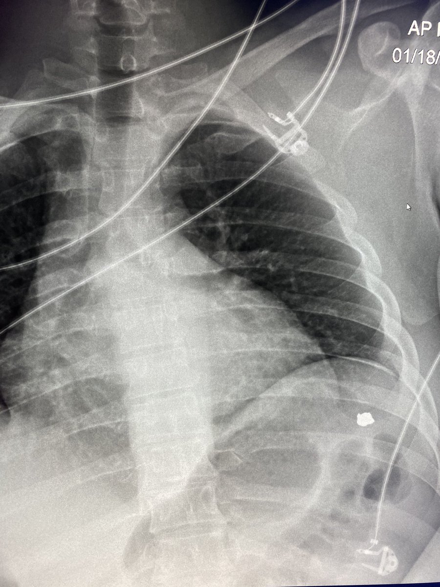
When it rains, it pours.
#radres, 2 complications to placement of the R central venous catheter on this XR... arterial placement AND pneumothorax. Satisfaction of search!#FOAMed#FOAMRadpic.twitter.com/wl1qBZIEbp
-
#StrangeReasonsToCallOutSick is trending so pre-Core#radres should definitely NOT get on Twitter for inspiration. -
Calling all
#RadRes! Now is the time to consider volunteering for@ACRRFS leadership! Hope you will consider joining the team!@tareher@radwinsok@monicajwood@DoubledocJB@danortizmd@PBalthazarMD@RobertPengMD@NatashaMongaMD@SarvPourjabbar@annalaucishttps://twitter.com/herseherself/status/1224407878028734474 … -
It’s my last overnight shift as a resident. What’s the thing I’m most excited about? The prospect of never having to staff another portable chest X-ray.
#RadRes@IURadiologypic.twitter.com/Ar5BUqvUng -
Attention Massachusetts
#radres. The MRS annual meeting this year will feature a special career panel session for trainees! pic.twitter.com/QO7kCJRcKZ
Prikaži ovu nit -
When you’re starting to get list anxiety and then find out you don’t have to read the inpatients
#RadRes pic.twitter.com/IHD660WV7H
Čini se da učitavanje traje već neko vrijeme.
Twitter je možda preopterećen ili ima kratkotrajnih poteškoća u radu. Pokušajte ponovno ili potražite dodatne informacije u odjeljku Status Twittera.
What do you think?