-
Osobe Vidi sve
Ovjeren akaunt@PathologyMetal The Official Twitter Page Of Pathology
San Diego, CA • PathologyMusic.com
-






I II III MENINGIOMA I II III - My first [ #neuropath GIF ]
-
#BrainTumor#PathBoards#pathology#patologia#pathresidents#neurooncology#pathart#pathclassic#meningioma#histopathology#pathclues#brain#neuro#pathtwitter#MedEd#neurosurgerypic.twitter.com/zhsSQVYanIPrikaži ovu nit -
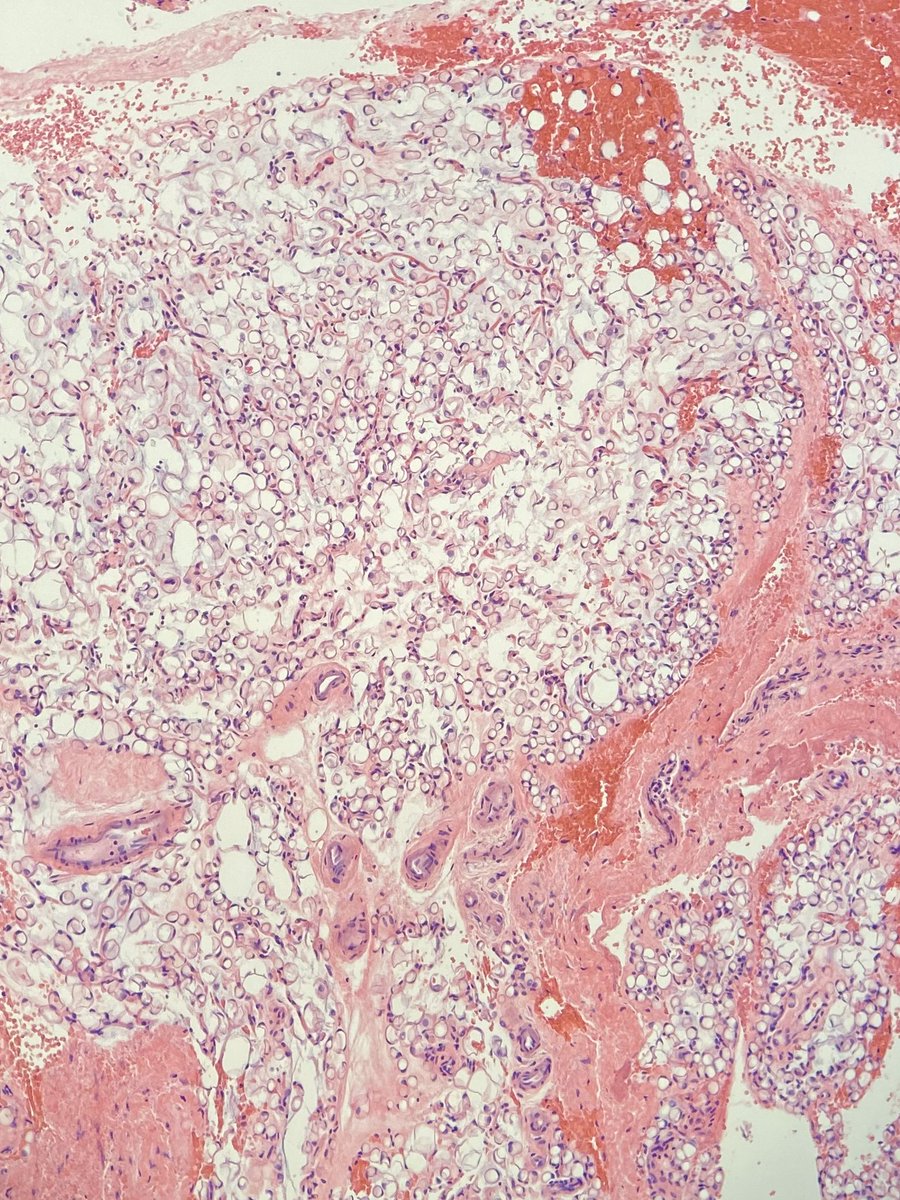
Day 131: don’t mistake starvation-induced fat atrophy for a weird liposarcoma or a signet ring carcinoma.
a.k.a. Don’t be me.
#pathology#BSTpathpic.twitter.com/62q9ozttZz
-
A GI biopsy with very cool findings - posted by my colleague Michael Cardis and shared with his permission. DIagnosis?
#GIpath#pathology#digitalpathologyhttps://kikoxp.com/posts/1467/public …Prikaži ovu nit -
Double trouble
30YF case operated for acute appendicitis..creepy adenocarcinoma and multiple tubercular granulomas!! #pathology#histopathology#gipath@DraEosina@ariella8@kis_lorand@Histopatolomon@nusrat_xahra @pic.twitter.com/F32rsgH89Q
-
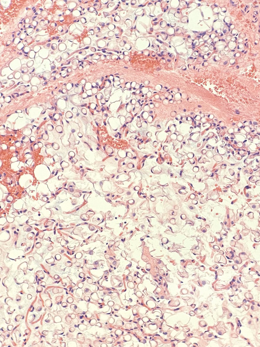
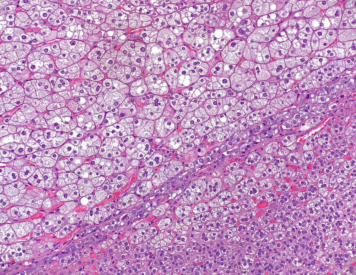
Interesting and somewhat subtle liver case. Middle aged, fatigue, cytopenias, elevated ALT, AST, AlkPhos. Non-targeted liver biopsy. Any ideas or suggestions for further workup?
#liverpath#GIpath#pathology pic.twitter.com/17gcK61BQ8
Prikaži ovu nit -
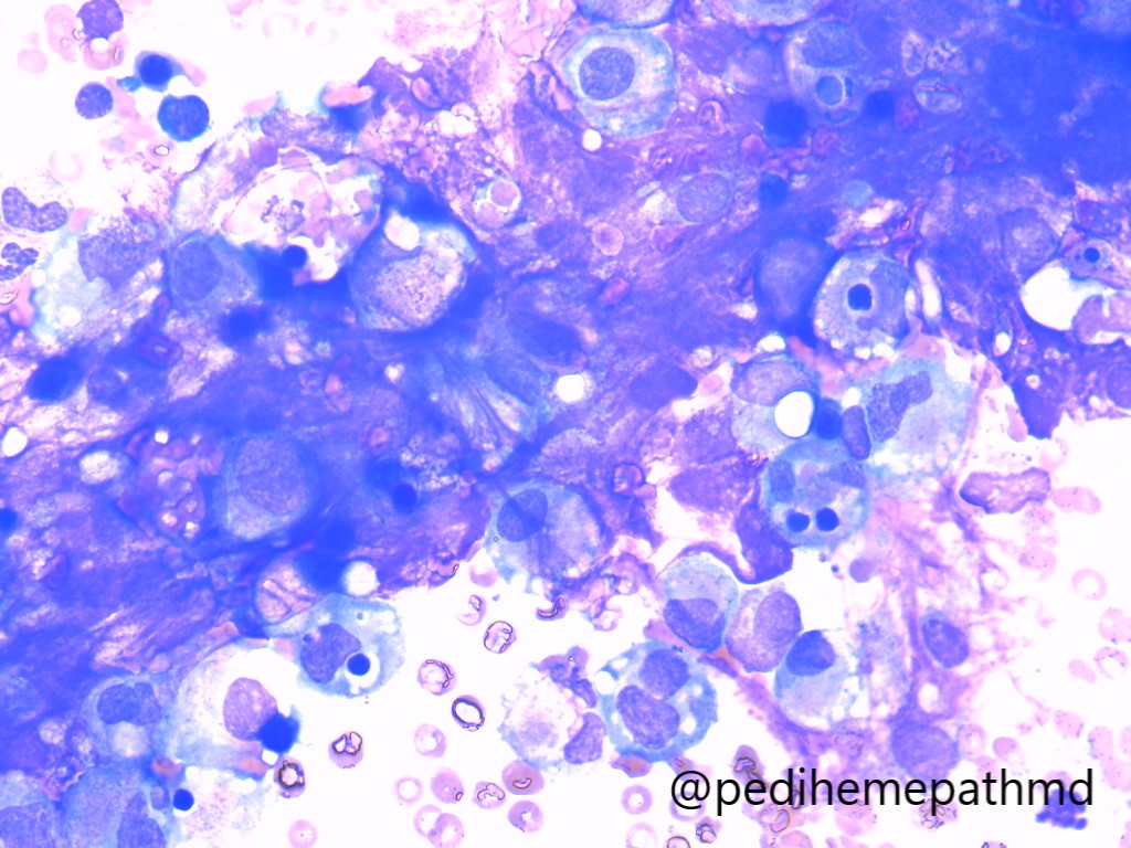
You will never guess what these cells are! Young patient with fever, bilineage cytopenias and lymphadenopathy. Bone marrow aspirate is shown. Biopsy shows the same cells. Thanks to our hemepath fellow Neha Gupta for taking these images.
#hemepath#haempath#pathology pic.twitter.com/8uNJwxFyTJ
Prikaži ovu nit -
Examples of Sevelamer and Kayexalate crystals in the GI tract, and a great paper I have referred back to several times: PMID 28169559
@CArnold_GI#GIpath#pathology#pathboardspic.twitter.com/vFyCv8aJMu
-
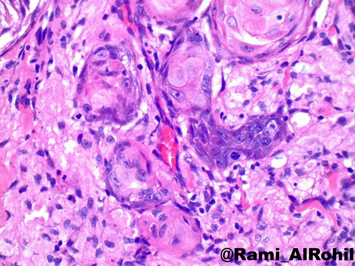
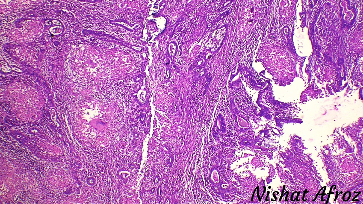
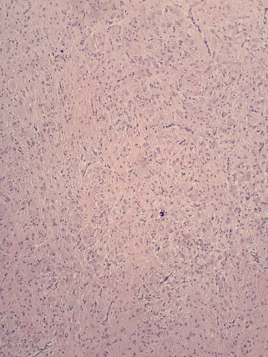
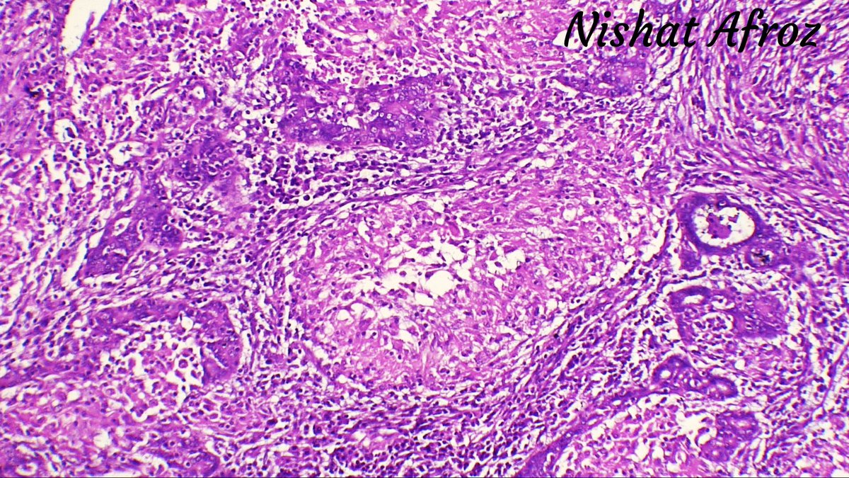
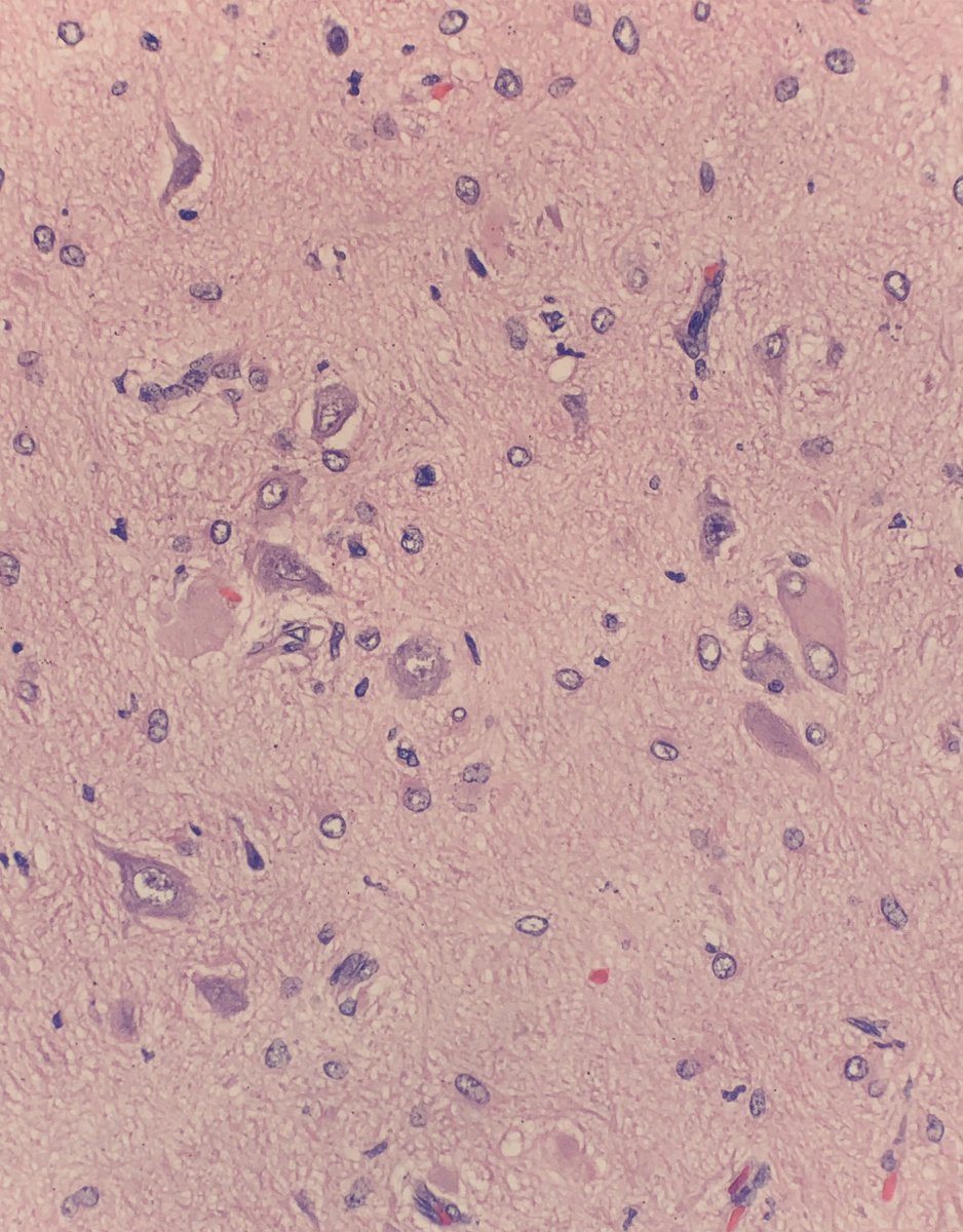
5 year old male with a frontal lobe lesion.
Differential? Work up? #neuro#pathology#neurosurgery#neuropath#brain#CNS#surgery
pic.twitter.com/1VjDltstUO
Prikaži ovu nit -
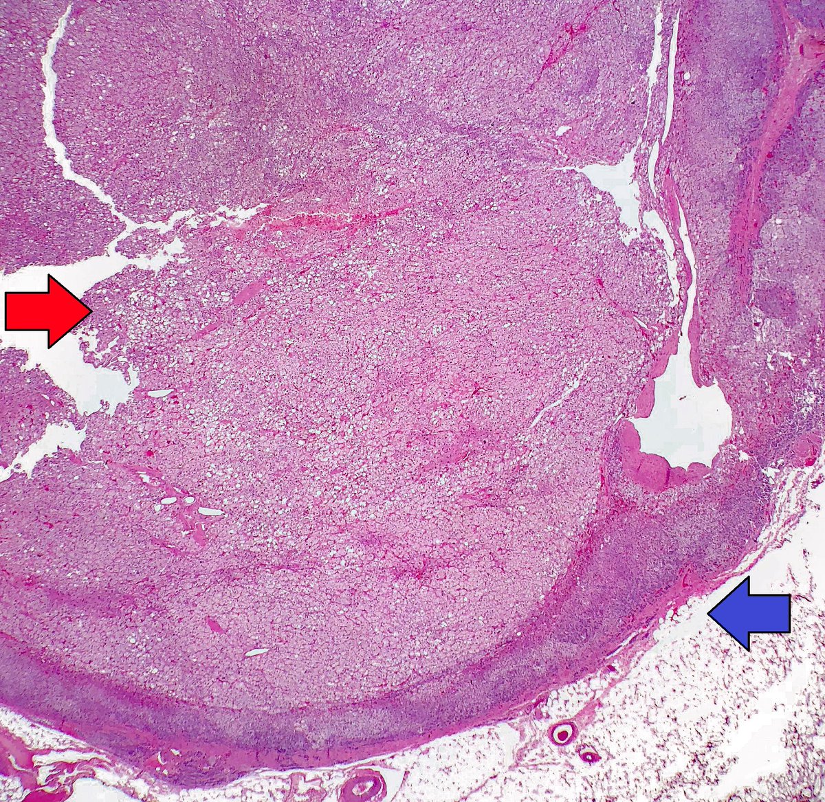
32-year-old woman with Conn syndrome who underwent a left adrenalectomy for an adrenal cortical adenoma. The gross photo shows the adenoma adjacent to a thin sliver of normal adrenal gland. Microscopic: adenoma (red arrow), residual adrenal (blue arrow).
#pathology#GrossPathpic.twitter.com/bYXyc3aAgB
-
-
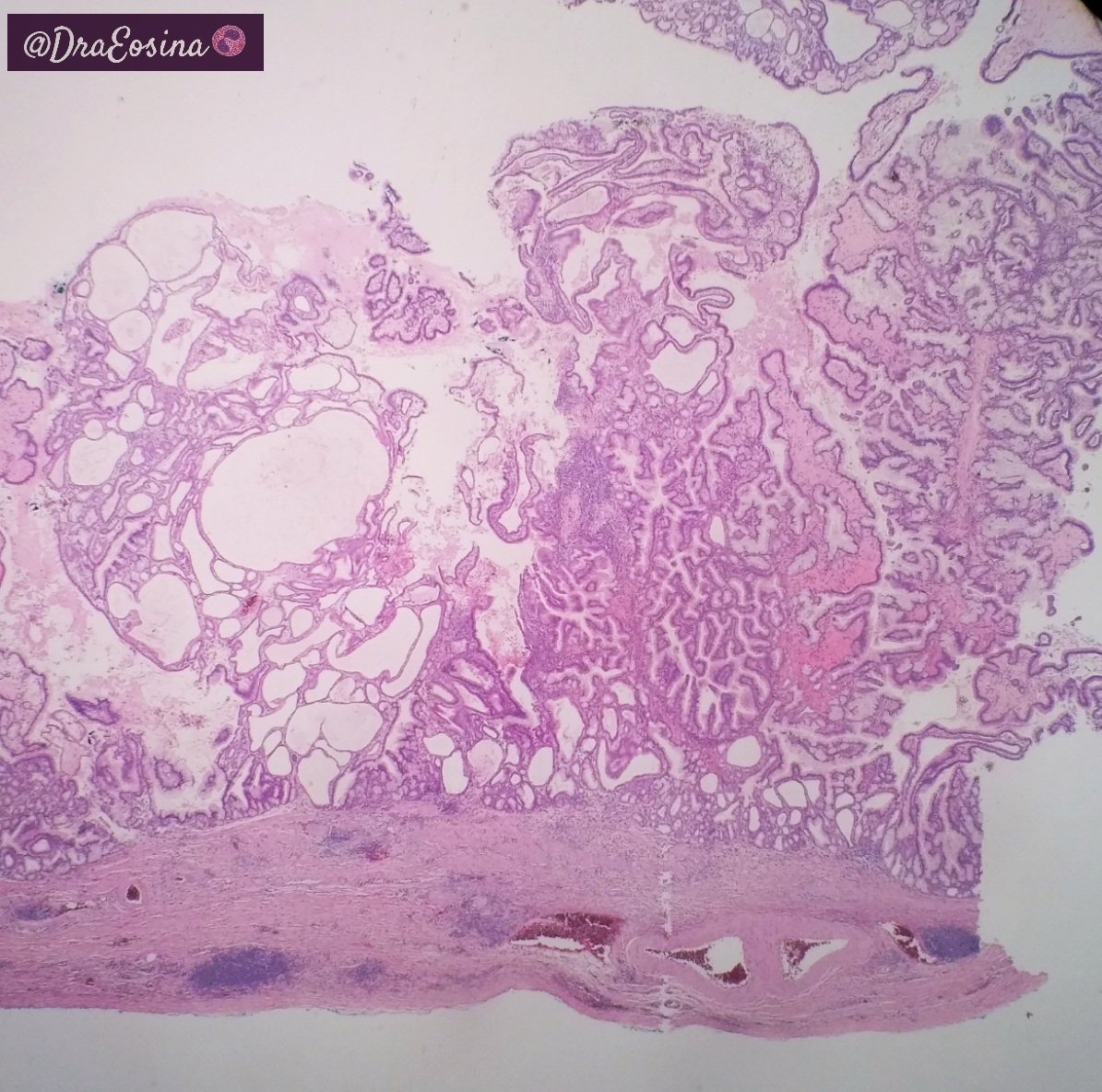
Intracholecystic papillary neoplasm:
Gallbladder counterpart of pancreatic IPMN.
Needs thorough sampling to rule out invasion (I do total embedding), which is the most important point.
Can show adjacent flat dysplasia (sample that too!).
(1/2)#GiPath#GrossPath#Pathology pic.twitter.com/aaEopqefBF
Prikaži ovu nit -
A story of three nuts! And how to handle them
3 cases
Young men
Came with dull pain and swelling
#pathology#GUpath#pathtweetorial#GrossPath#testispic.twitter.com/fs4Gj2MMlD
Prikaži ovu nit -
Our second episode is focused on
#cancer#pathology, an essential step for diagnosis, and how it is being changed by#ArtificialIntelligence https://soundcloud.com/theintersection/episode-2-clinical-grade-computational-pathology-using-weakly-supervised-deep-learning-on-whole-slide-images … -
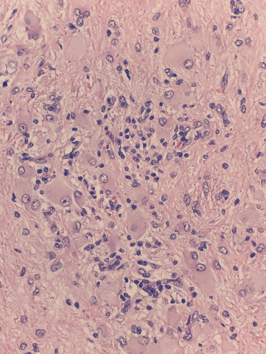
Granular cell tumor (GCT): can induce marked pseudoepitheliomatous hyperplasia (especially on the tongue) which can lead to misdiagnosis as a squamous cell carcinoma
#dermpath#pathology#dermatologypic.twitter.com/GhZUa8ErFs
Prikaži ovu nit -
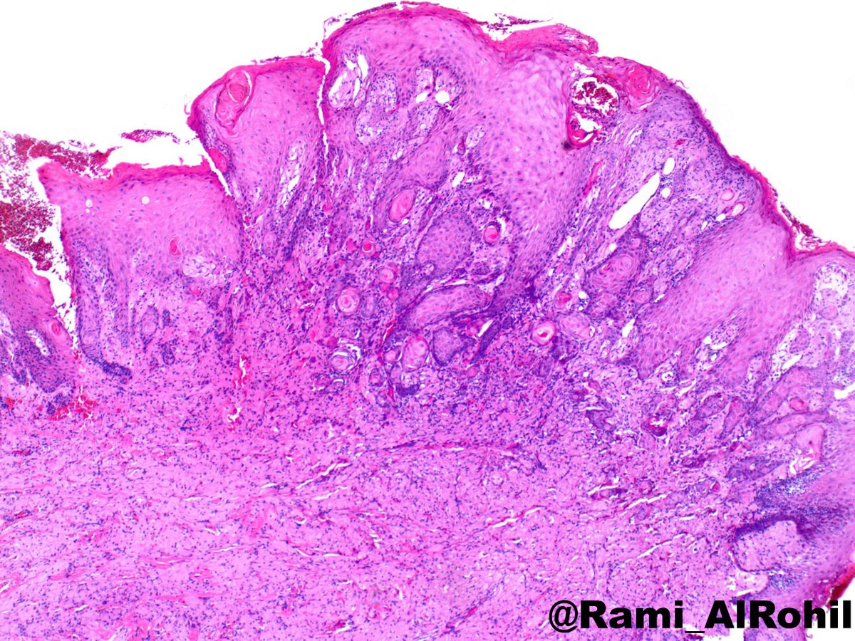
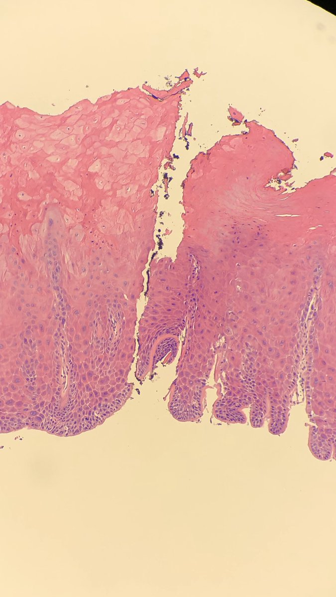
Curious to see what you would call this “tongue lesion” in a 50-year-old man?
@Chucktowndoc@PathDocBoston@ENTpathology@ktmontone@LisaRooperMD@NRiddleMD@lfwalkerlw@Ben_WolfPath#pathology#surgpath#entpathpic.twitter.com/rJTUpRqXYD
Prikaži ovu nit -
Epithelioid Angiomyolipoma in
#kidney. They have potential for aggressive clinical course. I do a risk stratification factoring in necrosis, atypia, and mitotic activity.#GUpath#Pathology#kidneycancer pic.twitter.com/9Y96lAfqfV
-
Small bowel biopsy in an immunosuppressed individual. Can you see them?
#pathology#GIpath#IDpathpic.twitter.com/ox5QTLit3m
-
Keratinizing squamous cell carcinoma associated with dVIN in a 57 year old woman. Immunostains are p53, ki-67 and p16.
#GYNpath#nyupathology#pathology pic.twitter.com/J2Jk4pvsmk
Prikaži ovu nit -
Join CAP and ASCP early on into residency. USCAP as well. And if you know what specialty you're interested in, any organizations for that subspecialty as well. ... And if this is up your alley, consider helping teach labs/small groups at the med school.
#Path2Path#pathology https://twitter.com/HermelinMD/status/1224886127917772808 …
-
Finish medical school strong. Do any of the required paperwork/onboarding. Maybe take a look at something like Molavi. ... And for your own sanity, USE the vacation time as VACATION time! Relax - you just finished med school. Enjoy the time off!
#Path2Path#NRMPMatch#pathology https://twitter.com/HermelinMD/status/1224883395446165505 …
Čini se da učitavanje traje već neko vrijeme.
Twitter je možda preopterećen ili ima kratkotrajnih poteškoća u radu. Pokušajte ponovno ili potražite dodatne informacije u odjeljku Status Twittera.
Half way through our discussion and onto the next question.
4.) Woo hoo!
I matched in pathology!
How should I prepare to be successful as a PGY-1?
Please respond A4