-
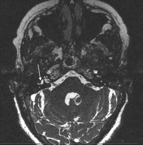
"Unilateral Nonvisualization of a Transverse Dural Sinus on Phase-Contrast MRV Frequency and Differentiation from Sinus Thrombosis on Noncontrast MRI" |
#NeuroRad | http://bit.ly/2sK6Dim pic.twitter.com/mvEmGzmHp7
-
SyMRI 11.2 is now live! The latest update introduces reference curves as a new feature as well as improvements to T2-FLAIR weighted images. Read more here: https://syntheticmr.com/archive/articles/news/symri-11-2-released/ …
#SyMRI#NEURO#Radiology#NeuroRad pic.twitter.com/tvEQCD3nse
-
Happy to share my classic case at AJNR CLASSIC CASE ARCHIVE .
#ajnr#Radres#FOAMrad#FOAMed#radiology#neurorad pic.twitter.com/ExTHTCz6tqOvo je potencijalno osjetljiv multimedijski sadržaj. Saznajte više
-
10 days left to enter
@TheASNR Case of the Day competition and WIN WIN WIN! It is super easy to enter: http://bit.ly/asnr-cod-2020#radiology#neurorad#brain#MRIpic.twitter.com/MJDhToGr8K
-
Partially thrombosed aneurysm...
#neuroscience#neurorad pic.twitter.com/5D9icRAojv -
Artificial Intelligence Is Not Ready For The Intricacies Of Radiology via
@forbes (That is one hands-on radiologist!
) https://www.forbes.com/sites/saibala/2020/02/03/artificial-intelligence-is-not-ready-for-the-intricacies-of-radiology/#39065f1167eb … #AI#radiology#neurorad pic.twitter.com/Z6jZlJdoXA
-
Don't miss out. Exciting to tune in to our very own
@MDAndersonNews#Neurorad faculty.
https://twitter.com/TheAJNR/status/1222883974802018304 …
-
I thought it might be fun to show some cases where knowledge of MR physics can be helpful in
#NeuroRad. Sequence? Finding?#RadRes@UTSW_Radiologypic.twitter.com/lLMPpqqJ2A
-
Don’t miss out! An intensive AI workshop to train neuroradiologists and make them effective leaders and collaborators in AI projects focusing on neuroimaging. Details in the link. Apply by February 28. https://www.asnr.org/research/asnr-study-groups/artificial-intelligence/asnr-asfnr-ai-workshop …
#ASFNR20#ASNR20#NeuroRad pic.twitter.com/xaVL0ZdfhY
-
#FOAMrad#neurorad#HUNSC#daybydaycases Two patients with a similar clinical profile: elderly men with prostatic adenocarcinoma. Similar neuroimaging pattern: dural base lesion with intense enhancement and vasogenic edema. But with different etiology .....pic.twitter.com/ccHrFsv8gY
Prikaži ovu nit -
Dick's Pick of the Week: Uremic Encephalopathy T2 hyperintensity +/- rest diffusion within internal and external capsules (lentiform fork sign), basal ganglia, thalami, midbrain, and mesial temporal and parieto-occipital cortices.
#FOAMed#FOAMrad#radres#NeuroRad#radiologypic.twitter.com/Xma1rrWsxK
Prikaži ovu nit -
"Usefulness of Contrast-Enhanced 3D-FLAIR MR Imaging for Differentiating Rathke Cleft Cyst from Cystic Craniopharyngioma" |
#NeuroRad | http://bit.ly/36g6uRv pic.twitter.com/D9ZQlYxEAk
-
BJR|Open paper A retrospective analysis of the treatment results for advanced synchronous head and neck and esophageal cancer http://bit.ly/2YymTSd
#openaccess#FOAMed#neurorad pic.twitter.com/c8gHtaHgh0
-
Hypothesis: post stroke edema initiated by ischemic spreading depolarizations, subsequent vasoconstriction, enlargement of the perivascular spaces and doubled glymphatic inflow speeds. (Apparently every problem can be blamed on
#glymphatics
) #neurorad#neurologyhttps://twitter.com/suhasbajgur/status/1223606165239685121 … -
When you are reading a head CT or CT perfusion and you aren’t sure if the patient actually has a small basal ganglia infarct or not, I propose we call it a “lacunar artifact” to just decrease the length of the dictation.
#neurorad -
Standardized acquisition and post-processing of dynamic susceptibility contrast perfusion in patients with brain tumors, cerebrovascular disease and dementia: comparability of post-processing software http://bit.ly/2FrDWts
#radiology#neurorad pic.twitter.com/gJfQJAUZly
-
Neuro fellow Jaclyn Thiessen taking advantage of the little bit of coffee left at the end of
#neurorad fellowship day@OHSURadiologypic.twitter.com/yK0NiPcucn
-
Preoperative resting state fMRI network integration may be helpful in predicting which patients will continue to have seizures after surgical management of temporal lobe epilepsy. Read more here. http://bit.ly/2TN01ee
@neuromind@LindaDouw@MGHMartinos@MGHImaging#NeuroRad pic.twitter.com/YvnRFTCPl0
-
Rare picture with my
#neurorad colleagues@MDAndersonNews with@mbc19103#radshaveaface@MariaGuleMonroe@StillGinz@KomalShahMD@neurorad@SusanaCalleRpic.twitter.com/uolJ3lwVOy
-
At the end of my
#radiology shift
Dear colleagues, is this a sign on physician burnout? Disclaimer: #snapchat filter in use
#neurorad pic.twitter.com/0ulsu81ir6
Čini se da učitavanje traje već neko vrijeme.
Twitter je možda preopterećen ili ima kratkotrajnih poteškoća u radu. Pokušajte ponovno ili potražite dodatne informacije u odjeljku Status Twittera.