-
Hialosis asteroidea.

Video de @optometry.case en Instagram.#casos#medicina pic.twitter.com/LYMbF8GafN -
-
-
Estilo de vida saudável aumenta em até 10 anos tempo de vida sem doenças - Manter um estilo de vida saudável pode aumentar a esperança de vida sem câncer, doença cardiovascular e diabetes entre as pessoas de meia-idade. https://bit.ly/2RVxula
#Medicina#Saude#vidasaudavelpic.twitter.com/yyEtRbU5k3
-
La
#Medicina para la#HipertensionArterial que nunca se debe suspender... https://is.gd/57Ue2M -
#Servicio de#Reparacion y#Mantenimiento#Preventivo y#Correctivo de#EquipoMedico#QRcode#Mantenimientoequipomedico#Electronica#Biomedica#electronicabiomedica | Dispositivos de Diagnostico Medico |#medico#medicina Dirección: 10 calle 6-48 zona 9, Guatemala pic.twitter.com/LbVY1Vqfw2 -
Cómo estudiar para los exámenes
#medicina http://blgs.co/hcLoXL pic.twitter.com/KLon5eMCbG
-
El descubrimiento de agentes antimicrobianos ha permitido el tratamiento de muchas enfermedades infecciosas, sin embargo, con la introducción de nuevos agentes quimioterápicos las bacterias han demostrado poseer gran una capacidad para desarrollar resistencia.
#medicina#saludpic.twitter.com/asoWXg8CGm
-
#Trump:#Vaccini Antinfluenzali ? La Più Grande Truffa Della Storia Della#Medicina moderna pic.twitter.com/XDKgAaS5Y6
-
Un día como hoy, en 1821, nace Elizabeth Blackwell, la primera mujer en titularse y ejercer la profesión de
#Medicina. Además de abrir la primera clínica para mujeres del mundo, también fundaría años después una escuela de medicina para ellas en Londres
#EfeméridesSaludpic.twitter.com/silODTxSOV
-
Cuando coges el informe previo lo copias y cambias cuatro cosas
#MIR2020#mir20#radiologia#memedicine#Medicina pic.twitter.com/qLGPUp1J5d
-
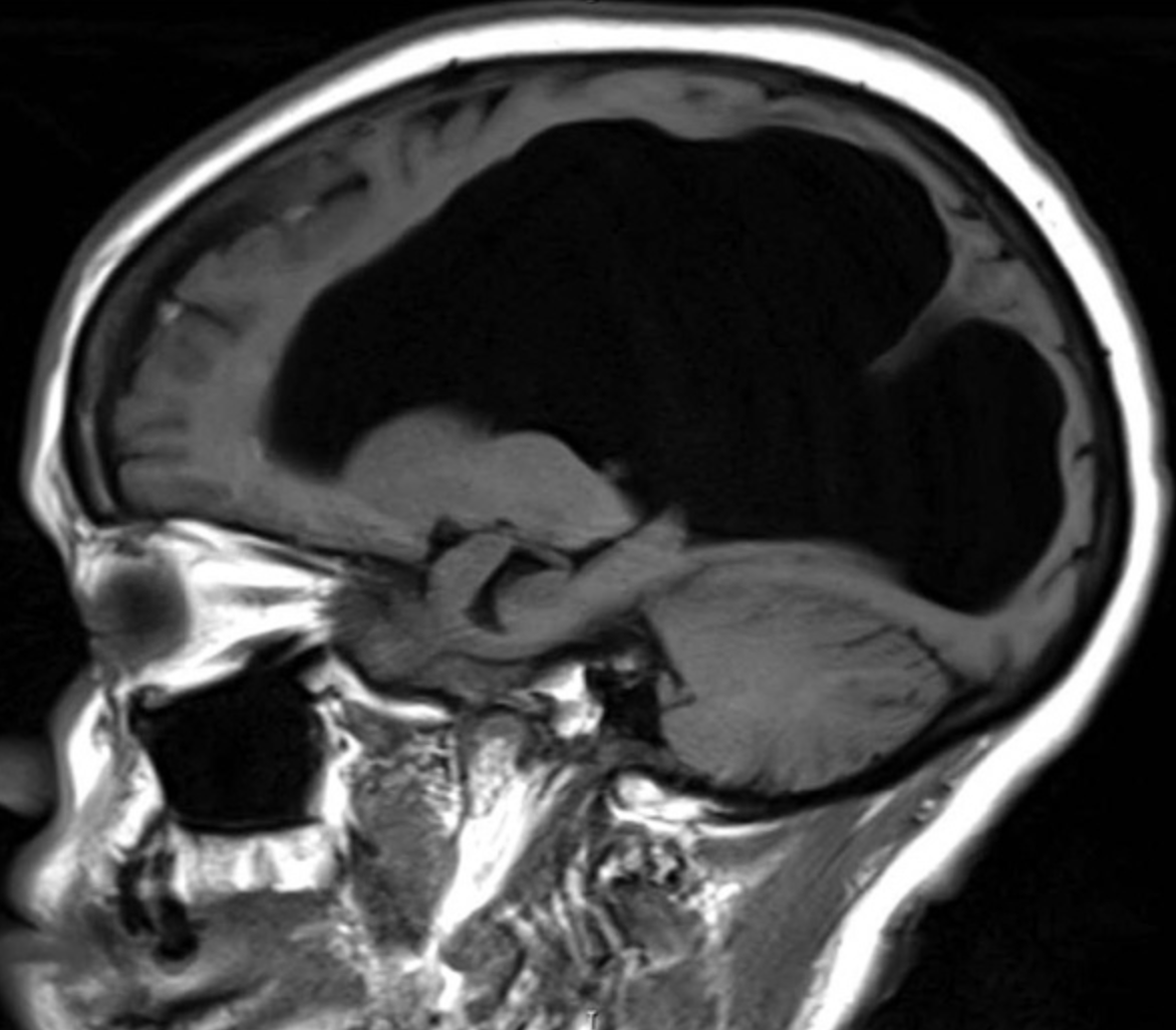
Mujer de 62 años que ingresó grave al hospital por sepsis secundaria a neumonía. Se tomaron estudios de neuroimagen mostradas aquí. Se encontró en ellas una hidrocefalia compensada probablemente desde el nacimiento. https://www.thelancet.com/journals/lancet/article/PIIS0140-6736(16)00089-1/fulltext …
#caso#medicina pic.twitter.com/pct3PsIWBu
-
Truquillo para la SIADH
#nefrologia#medicina#infografiapic.twitter.com/qx7La7k0W3
-
#Medicina,#exilio y acción política.pic.twitter.com/4KlVuuUzWd
-
Welcome to Our Life ... Its a perfect Moment....
#Medicina pic.twitter.com/I5UBMXCr0n
-
TO TAO FELIZ, DEPOIS DE ANOS FINALMENTE!!!!!!!
#MEDICINA#UFPBpic.twitter.com/cAq8zlCGgT
Čini se da učitavanje traje već neko vrijeme.
Twitter je možda preopterećen ili ima kratkotrajnih poteškoća u radu. Pokušajte ponovno ili potražite dodatne informacije u odjeljku Status Twittera.




