-
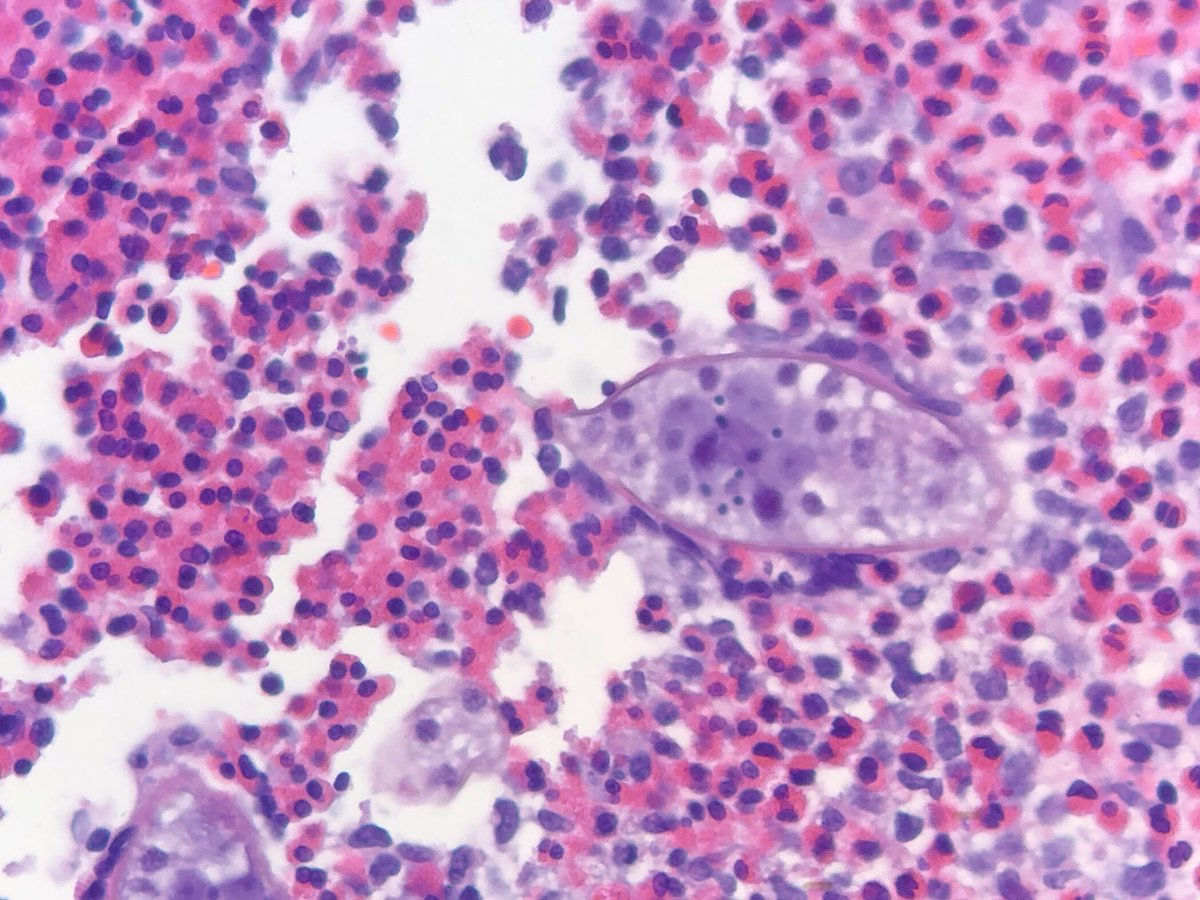
#Radiology of Zellweger syndrome http://gamuts.net/x/12381#RareDisease#MedEd#FOAMrad -
Had a great time today welcoming incoming
@McMasterIntMed R1s with@KallirroiLaiya from the wellness committee. Feeling proud that (unlike the cartoon)@DrLoriWhitehead and our program promote a much-needed culture of#residentwellness and support work-life balance!#MedEd pic.twitter.com/495i8NEYQ0
-
#EMJvideo - An interview with Prof Dr Coen Stehouwer.#Health#MedEd#OpenAccess#Diabeteshttp://ow.ly/Qou930kEcmx -
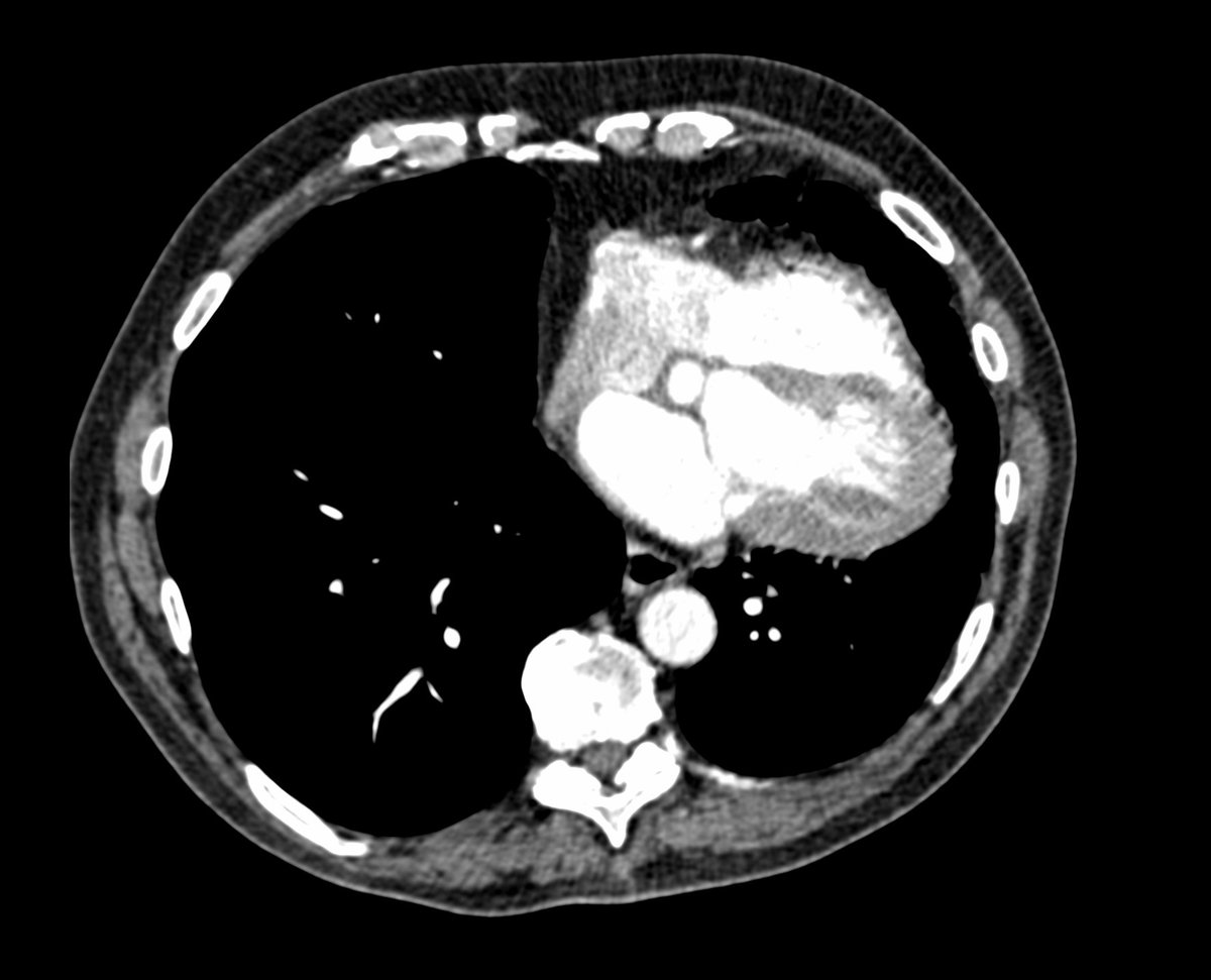
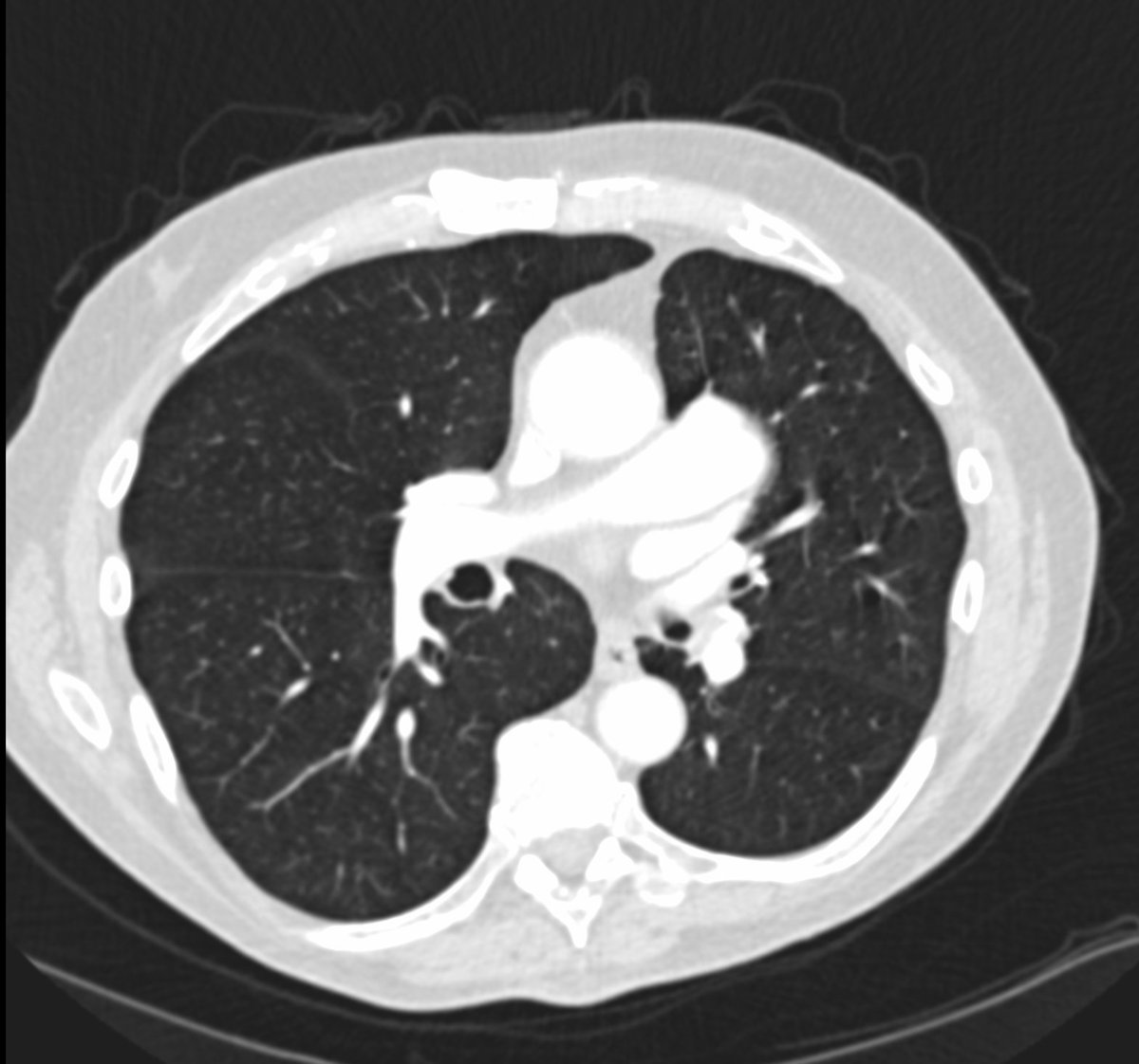
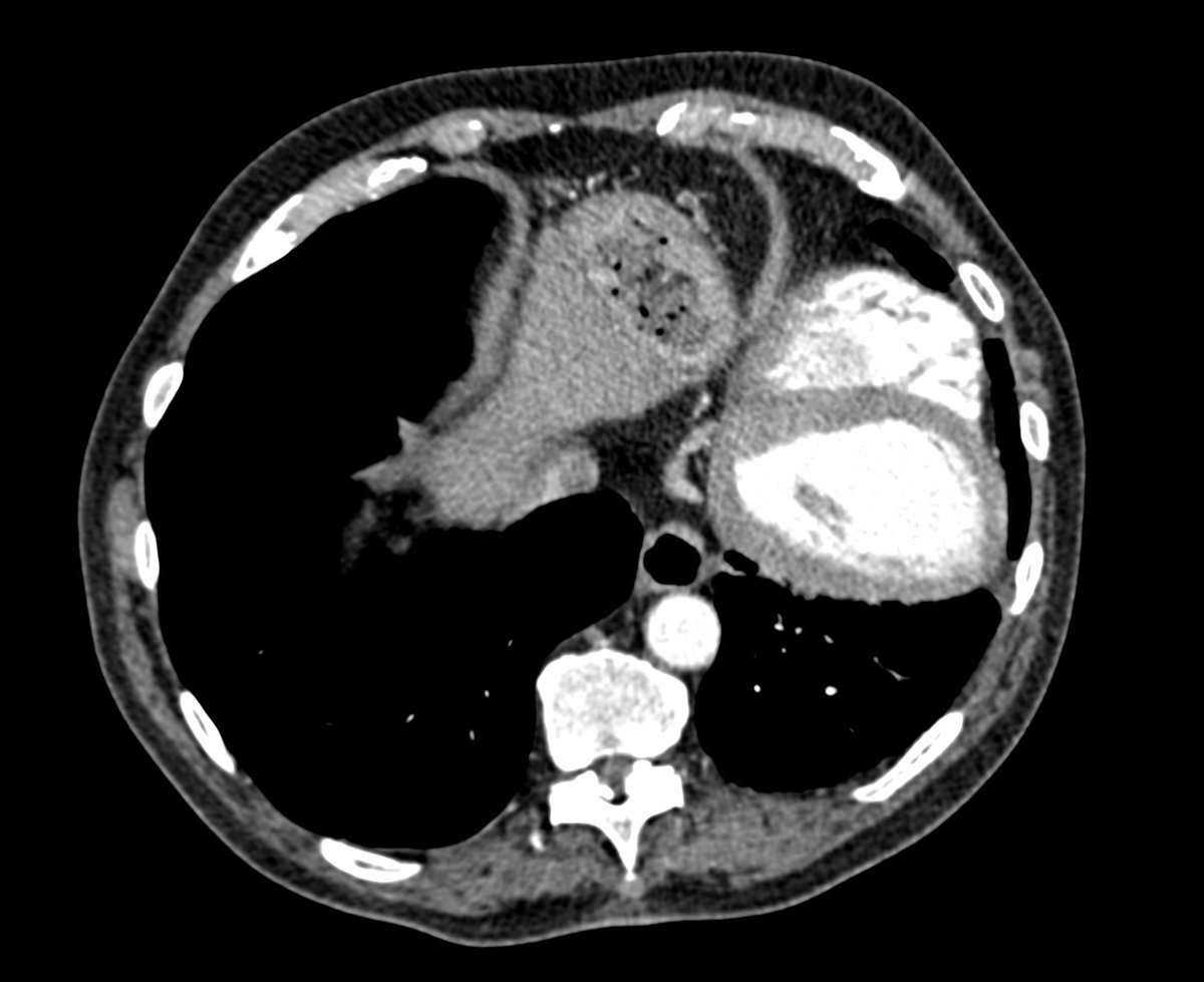
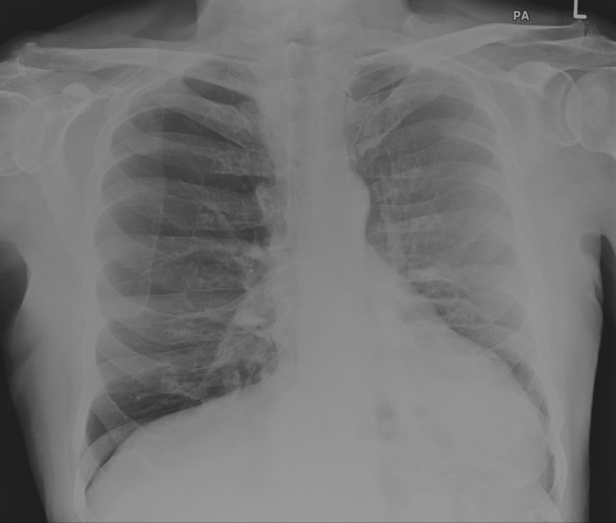
Friday conundrum. Routine chest radiograph and subsequent CT Thorax. Can you see anything abnormal on these images? Can you put it all together? Answers tomorrow.
#FOAMrad#FOAMed#FRCR#radiology#radiologists#CardioEd#cardiotwitter#RadRes#RadReg#meded Have a good weekend! pic.twitter.com/bkLPj1BPTa
-
Painful Peripheral Vascular Disorders and Their Mimics .
#meded#foamed#usmle#medicinepic.twitter.com/xZazUmRUyQ
-
-
Insightful & inspiring seminar by Prof Jen Cleland
@UoS_Medicine advocating importance of#collaboration & communities of practice to support education research career. Interested in#MedEd? Join our medical education innovation network so we can grow community@unisouthampton. -
Thank you
@AADskin for the feature in Aspire Magazine and the honor of winning the Members Making a Difference Award Looking forward to continuing efforts in#Diversity#Mentorship#Leadership#Advocacy#MedEd as a board-certified#Dermatologist Great way to finish#Residency!pic.twitter.com/52xyTGuUyF
-
We are pumped for the upcoming academic year (officially starts in 2 days) be sure to
back for our July Intern Bootcamp releases to get #interns up to date on best our content and ready for anything#residency throws them!#TipsForNewDocs#FOAMed#MedEd#MoreThanMedicinepic.twitter.com/XXUj4upzxk
-
Great news to kick off the long weekend: three new grants supporting
#MedEd research at@McMasterFamMed! Looking forward to new projects with@keentoride@LawrencGrierson and Heather Waters!@MERIT_McMaster -
A fantastic issue of
@pmeded, edited by@LaraVarpio & Alisa Nagler, discusses the failures and lessons learned unexpectedly through research. Incl articles by@DrHelenReid@drjennyjohnston@meredithyoung1@notgeoffnorman@LaraVarpio et al! Go read it!#meded#phdchatpic.twitter.com/pc8SGflfxl
-
I love that! It's
#ActiveLearning and the implementation of#DigitalPathology, replacing conventional#microscope, is something new generation of students really appreciate. Changing the perception of#Pathologists at#SESAM2018#Bilbao

#MedEd@lara_pijuan@EMadrigalDOpic.twitter.com/nPY1Qe2Und -
Congrats to
@vmontori on making our 2018#SummerReading List for Compassionate Clinicians! In his book "Why We Revolt: A Patient Revolution for Careful & Kind Care" he writes with urgency & compassion about his patients & the state of#healthcare https://buff.ly/2Ms4Kev#meded pic.twitter.com/JJJEALdOmJ
-
Evolution seldom goes as planned...
#MedEd#MedTwitterpic.twitter.com/DdMaz4NpJm
-
The Remarkable Story Behind the Story of the First FDA Approved
#Marijuana-Based Drug (For Rare#Epilepsy) | https://www.cincinnati.com/story/news/2018/06/27/cincinnati-test-site-weed-drug-fda-has-just-approved/732043002/ …#MedED#ITRTG#BigData#science#technology#genetics#SNRTG#biotech#Dravet#MedicalMarijuana#inspiration#RareDisease#SciComm By@apsakerpic.twitter.com/eNC61FgOhS
-
Are you a medical student
@UoS_Medicine interested in digital learning? Exciting paid opportunity to join the#MedEd team and see your ideas implemented. Get in touch if you are interested. -
It's here! Essential reading for anyone involved in undergraduate
#meded about what is expected of#tomorrowsdoctorshttps://twitter.com/gmcuk/status/1012637636857663498 … -
Sites and causes of bleeding from the Urinary Tract .
#meded#foamed#usmle#nephrologypic.twitter.com/N5yYSjIxZr
-
Differential diagnosis of acute abdominal pain based on pain localization .
#meded#foamed#usmle#medicinepic.twitter.com/WvxYTO5SAY
-
Virtual Reality... the future of
#MedEd? Hear OME founder@drpottle discussing VR simulation with@SocraticEM and make your own mind up...! http://simulationpodcast.com/55/#Simulationn@sim_podcast@vrmedicalsim@HealthySimpic.twitter.com/o2gumDpgHh
Het laden lijkt wat langer te duren.
Twitter is mogelijk overbelast of ondervindt een tijdelijke onderbreking. Probeer het opnieuw of bekijk de Twitter-status voor meer informatie.