-
https://erasmusintern.org/traineeship/internship-gender-and-womens-studies-research-center-istanbul … I'm a shoe in for this position.
@justinturds has been teaching me every thing he knows about feminism.#interns -
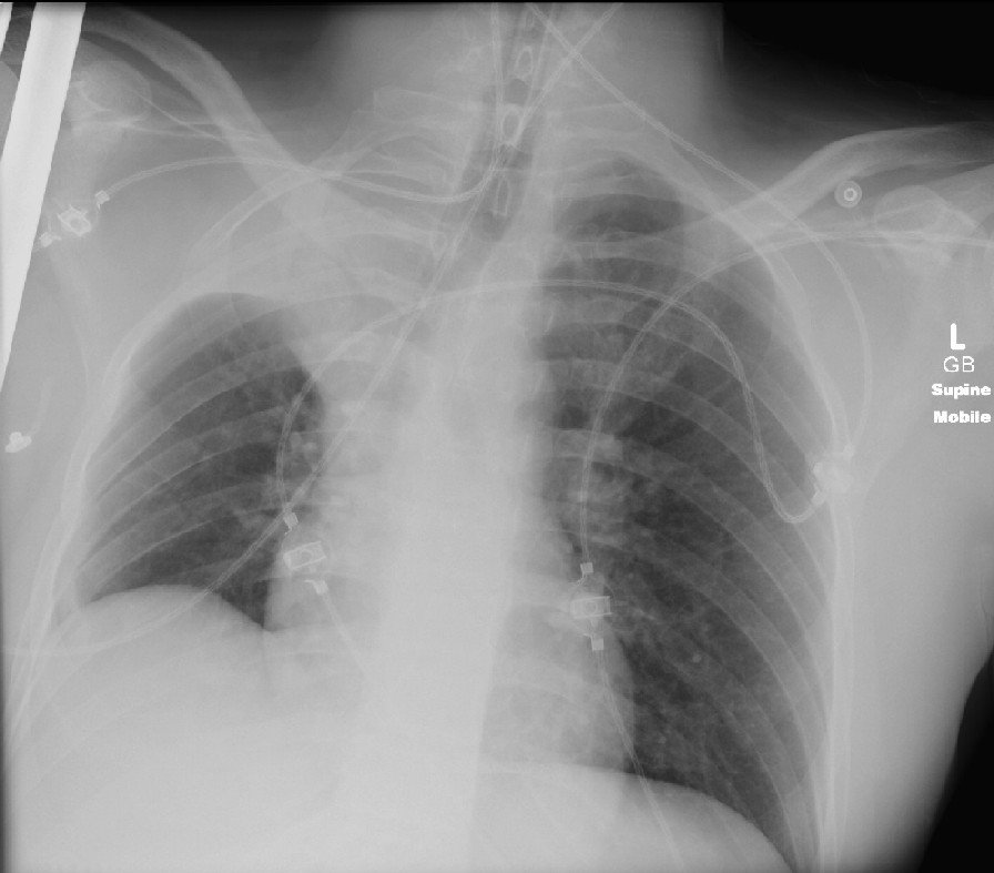
Male, 32, found near nightclub, GCS 5. Intubated and taken to hospital. Low sats and "grotty" looking sputum What does the X-ray show? List 3 possible causes What management would you implement? https://www.osler.community/cxr-quiz-3
#emergencymedicine#juniordoctors#interns#intensivecarepic.twitter.com/HrH61BV6ok
-
Spirit Wichita
#interns got to participate in a#career panel this morning with members of Spirit's engineering, fabrication and marketing teams. Lots of great questions about work-life balance, career progression within the company and life at Spirit!#WhereFlightBeginspic.twitter.com/25Moq9d8fR
-
Learned more about producing today
@HRShowEPSteph showed us how to plan lifestyle segments and explained copywriting!@WAVYinterns#interns -
Sad sad day today! It was Wills last day of his internship at
@EHCareersGO who am I gonna rap too during the day?#internships#interns#littlebro#KindHeart#FierceMind#BraveSpiritpic.twitter.com/VGjnG1BGCg
-
Happening right now: all 14
#summer#interns are having lunch with@SoundTransitCEO!#transit#DrivenByTransitpic.twitter.com/IgWaTYCfvW
-
Happy Friday! Our
#Summer2018#interns ended their week with some puppy love, taking a break from data to get outdoors with their new four-legged friends from@NYCACC.#Interns#volunteer#animalrescue#ADOPTpic.twitter.com/wiA1UwCFcu
-
And so it begins. Excited to join my fellow
#Surgery#Interns on this journey. 5/5 prelims are#IRadRes and#RadRes. Also, what a ratio.#HeForShe
#pgy1@sirrfs@womenirads@WomenSurgeonspic.twitter.com/UW2UqZOKdu
-
Our
@CiscoCanada#Interns are gearing up for the#CanadaDay long-weekend
#WeAreCisco#CiscoCanadaPride#lovewhereyouwork#Salespic.twitter.com/O6UDrJNaSp – bij Cisco Systems Canada -
The
#interns from our Richardson office had a fantastic time colLABorating at their#teambuilding scavenger hunt at the@C1InnovationLab Dallas.pic.twitter.com/13sxa92hrc
-
#Mikva is growing! Introducing our new Communications#Interns. We are extremely thankful for having them on our team this summer! pic.twitter.com/1uAmIDZZZt -
Help our
#interns learn! What is one thing you can always talk to farmers about? pic.twitter.com/rCm8ZUiDz9
-
We are pumped for the upcoming academic year (officially starts in 2 days) be sure to
back for our July Intern Bootcamp releases to get #interns up to date on best our content and ready for anything#residency throws them!#TipsForNewDocs#FOAMed#MedEd#MoreThanMedicinepic.twitter.com/XXUj4upzxk
-
Our NCU Interns (2 in the middle in colour pic) don’t want their 6 week internship to end. Both asked for extension. We said ‘Yes’. Another 4
#Interns (females) start on Monday.#WeMakeDo#ContentCreators#LiveStreaming#MultiMediapic.twitter.com/EOPtBVnvpT
-
De meesten vertrekken op vakantie, sommigen gaan op zoek naar een fantastische
#job. Die vind je bij#bewire! Bekijk Olivier en Bart's succesverhaal over hun stage bij Bewire op https://www.youtube.com/watch?v=680333EwlDs&utm_medium=social&utm_source=twitter&utm_campaign=postfity&utm_content=postfityeaffe … en solliciteer op https://bewiretalent.be/?utm_medium=social&utm_source=twitter&utm_campaign=postfity&utm_content=postfityeaffe …#interns#lookingfortalent#careerpic.twitter.com/ERximeT4Ah
-
Dublin Interns working hard in design thinking workshop in preparation for next month’s Hackathon. We love our interns at Mastercard!
#greatplacetowork#interns#dublinpic.twitter.com/1XiDSLobO6
-
If I were
@MichaelHorton_ I would not like the way my “brand” is represented by the@WhiteHorseInn twitter. I have gladly promoted WHI for over 2 decades. Praise accepted by them but question them about anything and get snark (“have i read Acts?”).#interns#goodbyeModRef -
Wrote my first script for broadcast today.
@WAVYinterns#interns -
IT#27: Sat-in and learned a whole lot about the
@HR_Show this morning. From finding out that it wasn't live (fooled me!) to learning about the various daily segments and their meticulous planning, I found that A LOT goes into the show.@WAVYinterns#interns#HRShowpic.twitter.com/1nJQQyNr1f
Het laden lijkt wat langer te duren.
Twitter is mogelijk overbelast of ondervindt een tijdelijke onderbreking. Probeer het opnieuw of bekijk de Twitter-status voor meer informatie.