-
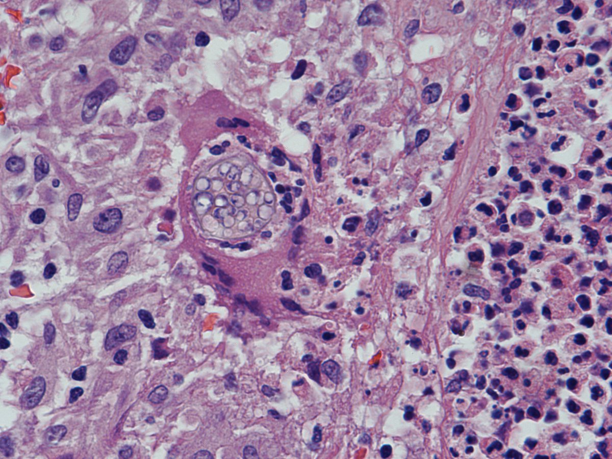
Soft tissue nodule. Coccidioides within a multinucleated cell.
#idpath pic.twitter.com/nAjn9HV2fe
-
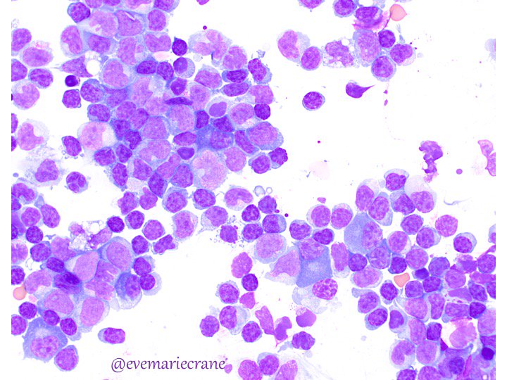
Is this CSF??!! Just a quick end of summer reminder to check for ticks. With CNS involvement by Lyme disease, the CSF typically shows pleocytosis and a prominent B cell response. May mimic neurosyphilis. Usually responds well to doxycycline

https://www.ncbi.nlm.nih.gov/pubmed/23666548 #IDPath pic.twitter.com/K2C7bAZA84
-
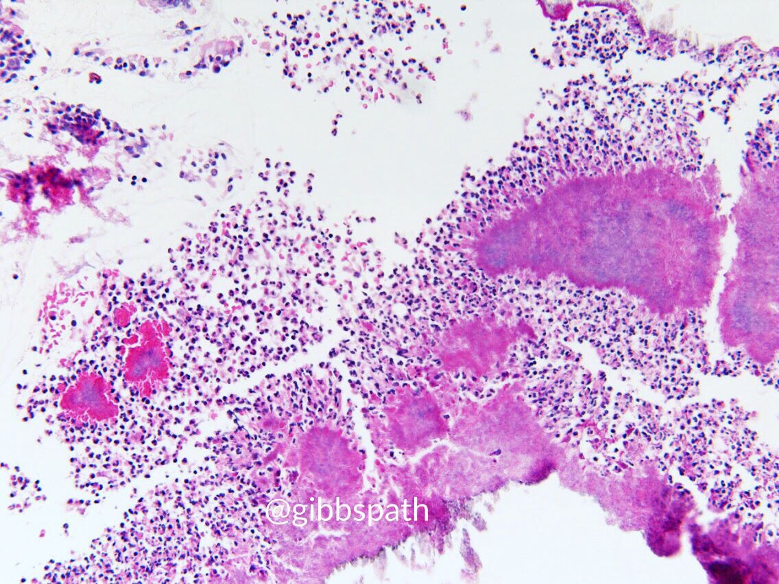
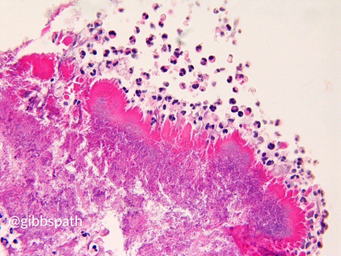
A potpourri of exotic infectious GI path! Any takers?

#GI#GIpath#idpath#pathologypic.twitter.com/tHXwGbrgXN
-
Male, 50s. Cecal polyp. Even tubular adenomas can hide surprises. I'm torn between Schistosoma or Strongyloides. Thoughts?
#GIpath#IDpath pic.twitter.com/XK0C0RlboG
Prikaži ovu nit -
Fluorescence microscopy allows visualization of more mycobacteria using ZN or Papanicolau stain than does transmitted light microscopy of ZN stained smears
#IDpath http://www.ncbi.nlm.nih.gov/pubmed/21317005 http://www.ncbi.nlm.nih.gov/pubmed/18513812 http://www.ncbi.nlm.nih.gov/pubmed/24171137 http://www.ncbi.nlm.nih.gov/pubmed/16450898 pic.twitter.com/zvTDxDwDPq
-
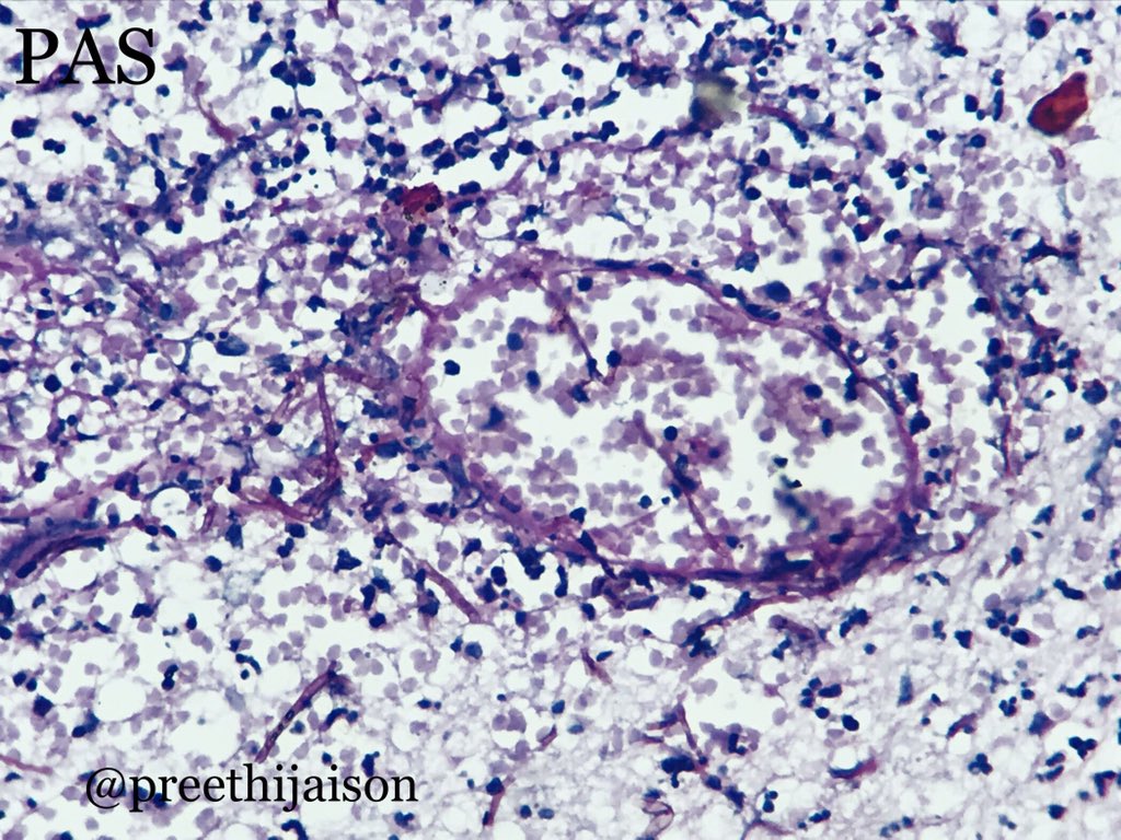
2/ Special stains not really reqd for diagnosis, but morphology stands out better
PAS - thin septate fungal hyphae, some within giant cells
Upto 24 species
1. most common Chladophialophora bantiana
2. Ramichloridium mackenziei etc
#IDPath pic.twitter.com/k8nfrIcwM1
Prikaži ovu nit -
-
A collection of Infectious Disease Pathology
#IDpath#pathbugs#crittersontwitter
“bugs and mimics_Series1” by @PrashantBavihttps://twitter.com/i/moments/937851434095316992 … -
PAS (Periodic acid Schiff) special stain serves to nicely highlight fungus. Which do you prefer - GMS or PAS?
#IDPath@YasmeenButtMDpic.twitter.com/sfiW6KV6CZ
-
Nice example here where your light polarizer can help you speciate a septate fungus on paraffin embedded H&E sections. Note darkly colored hyphae that have Ca-oxalate = A. Niger (NB: It's not wise to try and speciate non-dimorphs on HE, just defer to culture instead)
#idpath pic.twitter.com/NgtzyDz7lZ
Prikaži ovu nit -
Cytology for newbies! When you see mature squamous cells with slightly enlarged, dark nuclei and small perinuclear halos
look more carefully you will find Trichomonas! #cytology#IDpath#PathBugs#CrittersOnTwitter@pembeoltulu@oreoimc@Halima81819652@tralimiguel@vighnesh_wpic.twitter.com/HaFyIAh4r1
-
TBBx of lung mass, male age 65. Making a non-malignant dx is a splendidly happy phenomenon.
#PulmPath#IDpath pic.twitter.com/qHkPndUQ6o
-
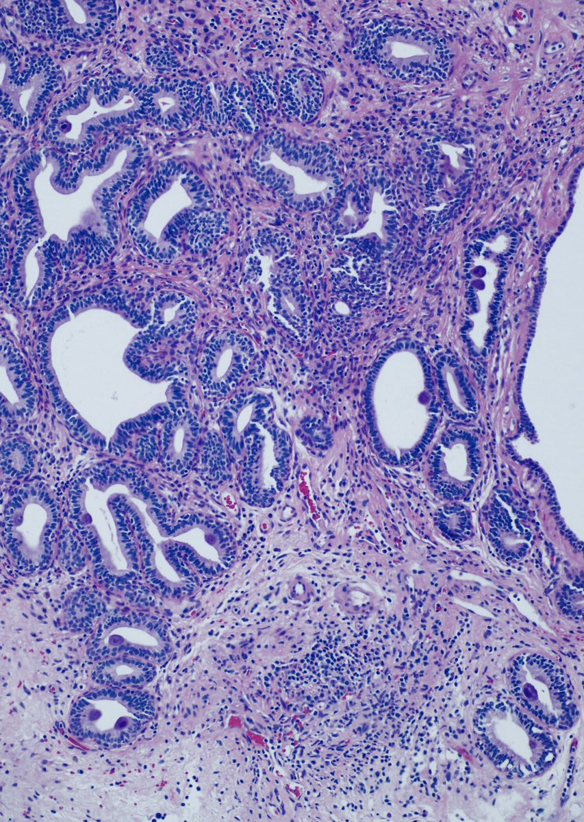
TURPs can (sometimes) be surprising. Prostate chips. CMV inclusions. Always make sure to keep an eye out for alternative findings other than just confirming BPH
#GUpath#IDPath https://www.ncbi.nlm.nih.gov/m/pubmed/18701513/ …pic.twitter.com/kE7g85VGNL
-
Have any
#pathologists seen rabies before in a human brain? I haven’t!#neuropath#pathology#idpath@ParasiteGalhttps://twitter.com/pkmadridista/status/1189585741430419456 …
-
We can't end our
#IDPath series without Toxo! A great example of the classic triad from@DennisOMalleyMD: 1) Enlarged follicles with reactive germinal centers 2) Encroaching clusters of epithelioid histiocytes 3) Areas of monocytoid B-cells#hemepathpic.twitter.com/g7EHLWf63y
-
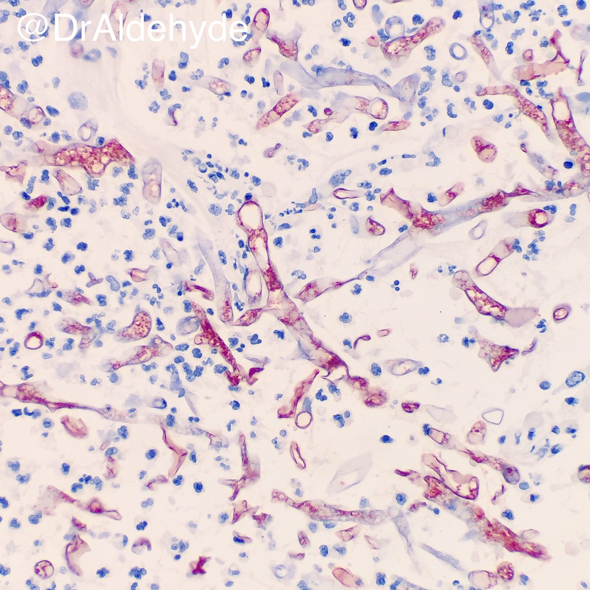
Mucormycosis showing characteristic broad nonseptate hyphae branding at right angles. Looks pretty but often life-threatending.
#IDpath
pic.twitter.com/FtT0grsd9P
-
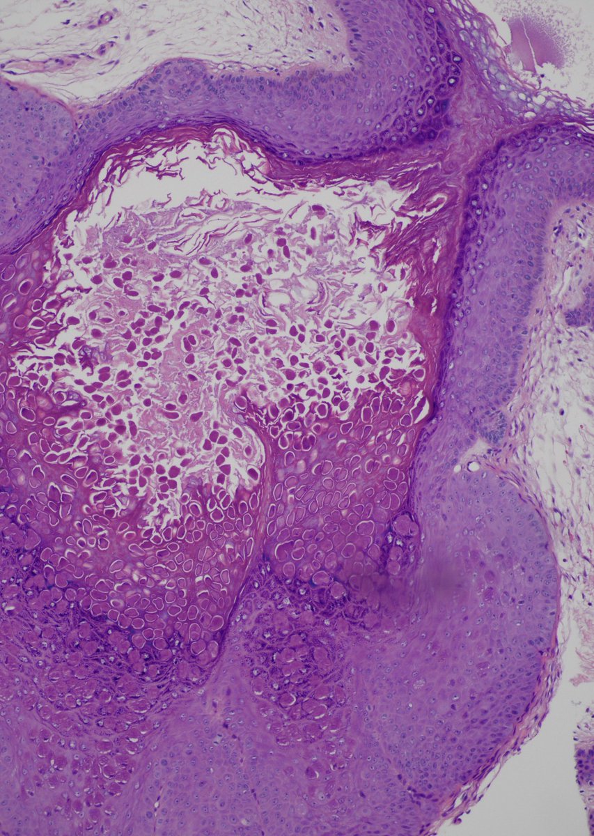
Case from last week. Multiple caecal polyps with plaque- like appearance; rule out malignancy. Nice example of Malakoplakia presenting as caecal polyps.
#gipath#idpath pic.twitter.com/sD8l5wSXMd
-
#IDpath specialty conference, Bobbi Pritt: corpora amalacea in brain stain with GMS! ddx cryptococcus and coccidioides#USCAP2017pic.twitter.com/6v4OzLM6Sq
-
.
@StanfordPath Saturday!
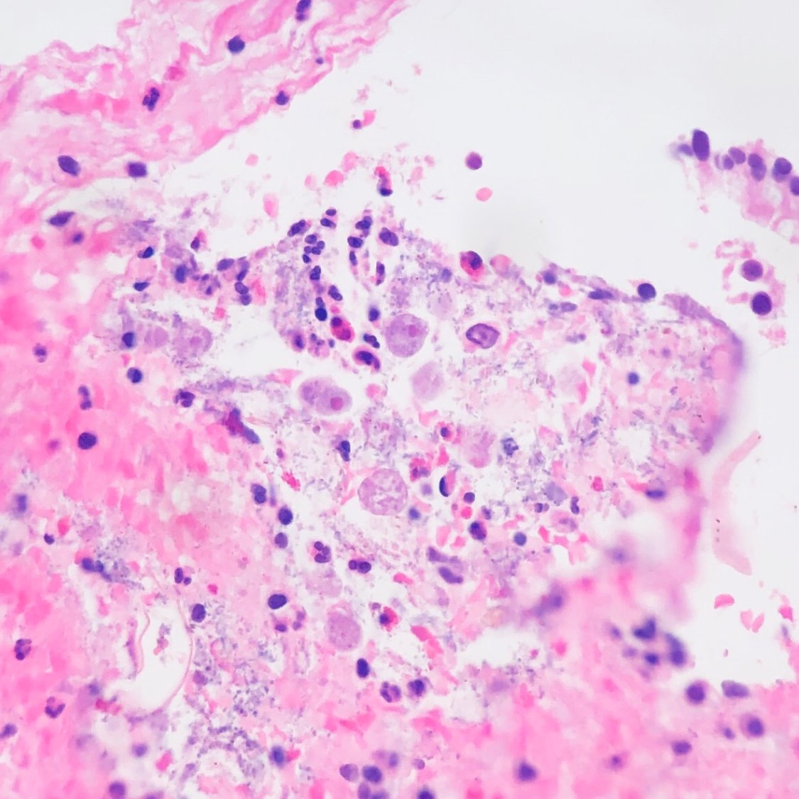
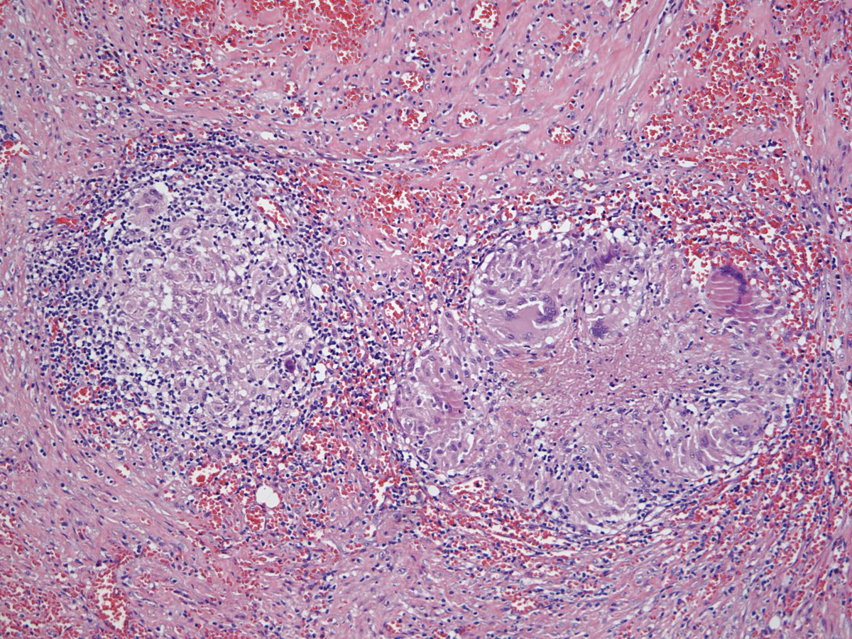
30 YO woman returning from Zambia with hematuria. Cystoscopy shows a bladder “nodule”.
Acute and chronic cystitis with abundant eosinophils. Ova and helminths are seen.
#stanfordpathsaturday#IDpath#pathologytwitter#MedEdpic.twitter.com/ntcj5HUi7l
Prikaži ovu nit -
Just a public service announcement to stick to the Friday night fish frys tonight and pass on the pork.
#IDpath#pathologypic.twitter.com/tUQQS2pum8
Čini se da učitavanje traje već neko vrijeme.
Twitter je možda preopterećen ili ima kratkotrajnih poteškoća u radu. Pokušajte ponovno ili potražite dodatne informacije u odjeljku Status Twittera.