-
Diagnosis, Staging, Radiation Treatment Response Assessment, and Outcome Prognostication of Head and Neck Cancers Using
#PET#Imaging by NA Hohenstein, JW Chan, SY Wu, P Tahir & SS Yom@sueyom@UCSFCancer#HNcancer#HNRAD https://www.pet.theclinics.com/article/S1556-8598(19)30080-X/fulltext#.XjmR10hXQFc.twitter … -
Please HELP!
@MedicineUoN are running an international survey of#radiographers &#radiologists on MR scanning patients with#cochlearimplants (CIs). Please complete the survey (~30 min): https://nottingham.onlinesurveys.ac.uk/comfort THANKS!#radiology#SpineRad#mskrad#FOAMrad#HNRad Please RETWEET! -
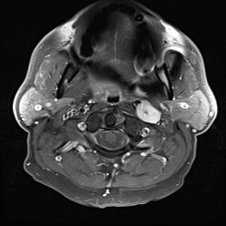
Biopsy proven Kikuchi disease. Not one you see much in the West. Kikuchi-Fukimoto disease = subacute necrotising lymphadenopathy ?autoimmune aetiology. Presents as cervical nodal inflammation. dDx SLE, lymphoma. A self limiting disease.
#radiology#FOAMrad#HNRad#MedEd#kikuchi pic.twitter.com/UzD57wEISZ
-
"CT and MRI Findings of Glomangiopericytoma in the Head and Neck: Case Series Study and Systematic Review" |
#HNrad | http://bit.ly/2sPvUYE pic.twitter.com/xjwyidHbAb
-
Ready to immerse yourself in innovative
#Neurorad,#Spinerad and#HNrad imaging content at the annual meeting?
Learn more about #ASNR20 in Las Vegas at https://www.asnr.org/annualmeeting -
Last day of
#ECPNR in Rome. Head and neck turn!#pedineurorad#hnrad#neuroradpic.twitter.com/yC4tgxERp8
-
Thanks to
@CincyPedsNeuro for fabulous International@charityh4tw Grandrounds on "Imaging of Paranasal sinuses"! Our amazing#radiology faculty &#radres#Health4theworld family in Africa really enjoyed it.#pedrad#neurorad#HNrad#pedineurorad#meded#globalhealthpic.twitter.com/zQ0UbAh0sB
-
ASNR Case of the Week #30 Hx: Left tongue weakness Case c/o Nikhar Kinger
@EmoryRadiology NO SPOILERS!!! Only give hints in form of GIF or answer attached poll. Answer in 24hrs#radres#neurorad#neuro#HNrad#ENTrad#FOAMrad#FOAMed#ASNRCOTWpic.twitter.com/KPwSqOXznM
Prikaži ovu nit -
Newsflash! Sign up to the next ESHNR webinar featuring the legendary
@CMGlastonbury of the USA who will be discussing ‘Trigeminal Neuralgia & neuropathy’ https://register.gotowebinar.com/register/7681819755407981069 …@ASHNRSociety@PalermoRadpa@BSHNI_UK@BshniTrainees#neurorad#hnrad#radiologypic.twitter.com/xXu2RrRWwM
Prikaži ovu nit -
Inspired by this week’s
#ASHNRCOTW (pyolaryngocele), check out this 2019 RadioGraphics illustrative review of ‘Nontraumatic Head & Neck Emergencies’, which covers pyolaryngocele & numerous other emergent#HNRad pathologies: https://pubs.rsna.org/doi/10.1148/rg.2019190159 …pic.twitter.com/vWZuHCCtfw
-
FYI - today is
@DShatzkes birthday! She is at#RSNA19 in her last year as H&N programming chair. If you see her, wish her a great day. She is the reason I love waking up every morning.#HNRad@ASHNRSocietypic.twitter.com/RagiIKFp76
-
Emory Radiology COTD #101 Hx: Child with nasal mass NO SPOILERS!!! Give hints with GIFs ONLY. Follow Case Response Policy. Submit answers to http://bit.ly/EmoryCOTD Answer in 24hrs.
#Neurorad#HNrad#pedineurorad#FOAMed#FOAMrad#radres#medtwitter#EmoryRadCOTDpic.twitter.com/ZfvmJWVJoh
Prikaži ovu nit -
How about this frontoethmoidal mucocele
@ASHNRSociety@ESHNRSociety#hnrad@DShatzkes@CMGlastonbury@rhwigginspic.twitter.com/75ewCHQ0Bq
Prikaži ovu nit -
The massive carotid artery is only 1 mm from the cochlea, constantly beating against it. How is it that ALL people don't have pulsatile tinnitus? How??
#HNrad#neurorad#otologypic.twitter.com/kVd0c1VIFR
Prikaži ovu nit -
NO JOKE - a rad onc, a surgeon, an oncologist & a radiologist walk into a room... here’s an update of HPV oropharyngeal cancer management, from
@RSNA course & in next edition@RadioGraphics#HNrad#HPV#OPSCC https://pubs.rsna.org/doi/pdf/10.1148/rg.2019190007 …pic.twitter.com/rlDNkZm8uQ
-
A beautiful description of Keros classification and detailed Sinonasal Anatomy by
@tabby_kennedy@UWiscNeuroRad#HNRad#ASHNR19pic.twitter.com/A8d7Knm9Mt
Prikaži ovu nit -
Answer: Intralabyrinthine hemorrhage If u every get an "acute hearing loss" history, this is dx until proven otherwise. The FLAIR is key. I like to see T1 shortening to dx blood. DDx is a labyrinthitis (like viral) but no enhancement.
#HNrad peeps - comments?#EmoryRadCOTDpic.twitter.com/zkKHzmYNJI
Prikaži ovu nit -
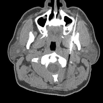
The paramaxillary approach for biopsy can provide a safe window for deep lesions. While the needle throw may seem long, you can safely pass through with image-guidance. Final path: schwannoma. For more info: https://pubs.rsna.org/doi/pdf/10.1148/rg.272065101 …
#HNrad#Irad@ASHNRSocietypic.twitter.com/mjRpBr3K4h
-
What to do about incidental
#thyroid nodules? Read the new@Radiopaedia article https://radiopaedia.org/articles/incidental-thyroid-nodules … contributed by@derekrad#FOAMrad#FOAMed#HNradPrikaži ovu nit
Čini se da učitavanje traje već neko vrijeme.
Twitter je možda preopterećen ili ima kratkotrajnih poteškoća u radu. Pokušajte ponovno ili potražite dodatne informacije u odjeljku Status Twittera.