-
Watch this INCREDIBLE video showing hemopericardium on autopsy. The myocardial wall is injured causing blood to leak into the pericardial space and literally smother the heart. This is exactly how Hemorrhagic Tamponade kills!
#FOAMed pic.twitter.com/4fgmmbxxJuPrikaži ovu nit -
Great image of chest x-ray
#anatomy. It amazes me how much imaging we do in#cardiology. Tip! To be a great#interventionalist you gotta master your anatomy and be a pro at imaging! Another amazing overlay by@TheRadiologyGuy !#cardiotwitter#radiology#meded#foamed#imagingpic.twitter.com/LOmYNLM2aM
Prikaži ovu nit -
What is the next step in this young female undergoing fertility treatment? (a) consult gyn-onc (b) stop treatment + monitor (c) MRI (d) antibiotics
@Radiopaedia links Hidden dx: https://bit.ly/396ubgK Full case: https://bit.ly/37Sx19e#FOAMrad#FOAMed#radiologypic.twitter.com/R2RRSX6JuN -
Put an End to Routine Chest Tubes via
@emlitofnote http://www.emlitofnote.com/?p=4583#FOAMed 316pts randomized Non-inferiority design Full Expansion at 8wks Chest Tube = 98.5% No Chest Tube = 94.4% No statistical difference pic.twitter.com/sTObAhuQJX
-
Here are some great teaching Echos of various patients I have taken care of with Hemorrhagic Tamponade. They depict the different etiologies nicely so I made them into this educational GIF
#FOAMed pic.twitter.com/DmiXHA1cEnPrikaži ovu nit -
Q: Something fishy going on here. What's it called? ANSWER: https://goo.gl/16XMPC
#FOAMrad#FOAMed pic.twitter.com/o1rVrjGo9T
-
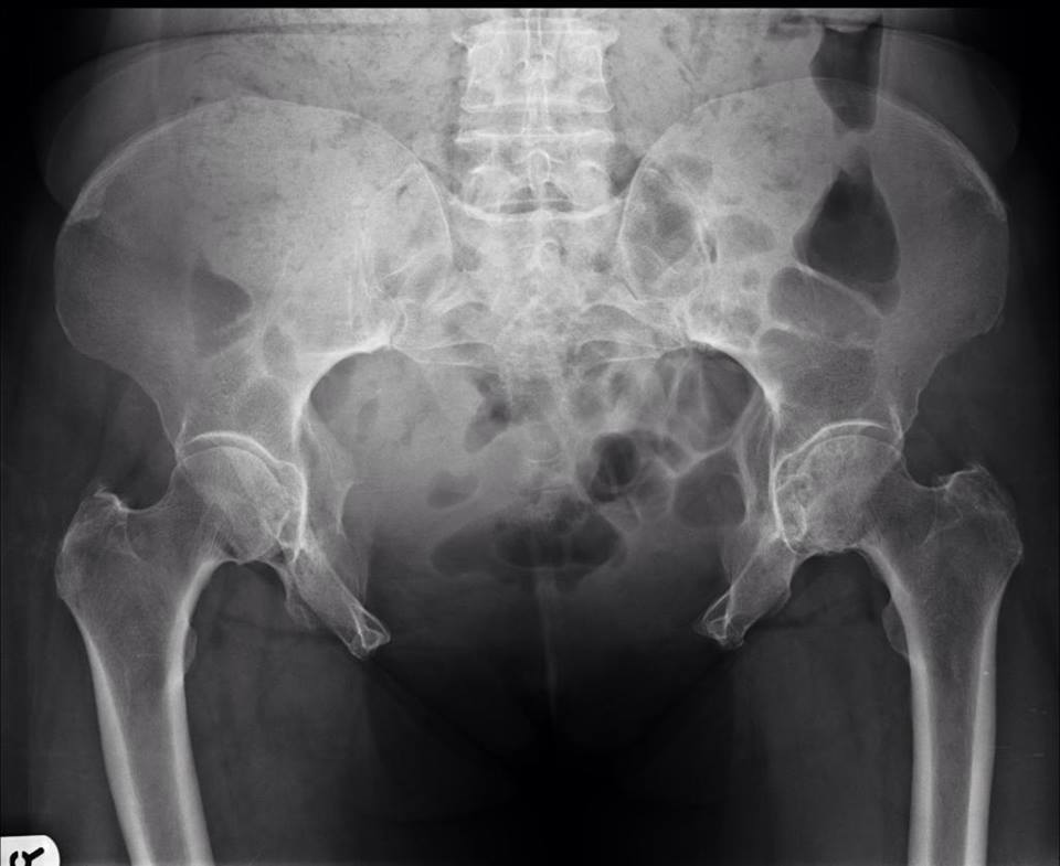
How would you describe this injury after motor vehicle collision? - What vessel? - What complication? - Who needs to be called ASAP?
@Radiopaedia Hidden dx: https://bit.ly/2GVWhj5 Full case: https://bit.ly/383YIfd#FOAMrad#FOAMed#radiologypic.twitter.com/QGA3KiLN12 -
In the Physiological Difficult Airway...Resuscitate Before You Intubate
#FOAMed@MiamiBeachEM HYPOTENSION R = Run Fluids/Blood B = Boom Stick (Push-Dose Pressors) I = Increase MAP (Peripheral Pressors)pic.twitter.com/3sDnphT4Os
-
Check out our newest e-tutorial on the orbit! So proud of the talented team who worked on this and grateful for
@UBC_CTLT and@UBCmedicine support for our work. http://www.clinicalanatomy.ca/head/Orbit/story_html5.html …#OER#FOAMed#MedEdpic.twitter.com/joH2sIXC8Z
-
Causes of Acute Infectious Diarrhea .
#meded#foamed#usmle#medtwitterpic.twitter.com/8v2ogkZimN
-
A Class Five pupil at Onyalo Primary School in Suna East, Migori County, on Tuesday died after a piece of mandazi got stuck in his throat. Learn First Aid for FREE on our website and Save a Life - https://www.emergencymedicinekenya.org/firstaid/
#firstaid#foamed#savealifepic.twitter.com/qxe46brkDL
-
Michael Selz Kristensen kicks off the airway session at
#bigsick20 Check the hard earned clinical pearls on the live stream https://scanfoam.org/bigsick20/#FOAMed pic.twitter.com/ro5ZakpdJT
-
More DOAC Refresher: Standard Dosing Recommendations for VTE. This is a simplified dosing chart. Remember to adjust dose based on patient factors such as age, weight, renal function, and concomitant interacting medications.
#FOAMed#MedTwitter#MedEd#TwitterRx#Cardiologypic.twitter.com/ZH5UnsMKYx
-
.
@SorenRudolph on airway problems & how to avoid them. Check out the HOP killers on@emcrit https://emcrit.org/emcrit/hop-mnemonic/ …#foamed#bigsick20pic.twitter.com/dLDrXooMXJ
-
Injectable opioid agonist therapy can be delivered effectively in primary care and pharmacies, as demonstrated in this case. Earn CPD credit: http://www.cmaj.ca/lookup/doi/10.1503/cmaj.190732 …
@PHS_PrimaryCare@RupiBrarMD@BCCSU#iOAT#FOAMed pic.twitter.com/TdcIqYMJqV
-
Yes. Yes it does.
#FOAMEd -
Vomiting is absent in 1/3 of pts with Boerhaaves. Think: Chest pain radiating to back, recent GI procedure
#FOAMed#medicine#medtwitter -
How to Intubate the Crit Ill Like a Boss https://rebelem.com/how-to-intubate-the-critically-ill-like-a-boss/ …
#FOAMed PING@MiamiBeachEM ApOx: No Cost & Not Harmful Train in Both VL & DL Bougie 1st but also Train w/ Stylet BUHE to Decrease Intubation Related Complications BVM + PEEP Valve in Pts w/ Shunt Physiologypic.twitter.com/snZ9BU5801
-
The recent plethora of choices to train abroad in radiology, though phenomenal,is also confusing.Learn how to approach them and the pros and cons of each,so that you correctly decide what is the best for your higher studies and achieve it! https://caferoentgen.com/2020/01/18/1221/ …
#FOAMed#FOAMrad -
A Review of the Juxtaglomerular Apparatus
#FOAMed#TBThttp://ow.ly/1SKL50xYW83
Čini se da učitavanje traje već neko vrijeme.
Twitter je možda preopterećen ili ima kratkotrajnih poteškoća u radu. Pokušajte ponovno ili potražite dodatne informacije u odjeljku Status Twittera.