-
getting my teeth into an exciting new case on differential diagnosis this morning. Just what I needed after spending the start of the week writing a possible article!
#DiagnosingDiagnosis#DifferentialDiagnosis#THIS -
Spinal infection equally challenging in early identification but can be fatal if not identified early. Consider risk factors associated with SI & progressive symptoms
@PhysioMACP@IFOMPT@WCPT1951#differentialdiagnosis#awarenesshttps://twitter.com/BMC_series/status/1220254922760998912 … -
When organizing a
#differentialdiagnosis (on paper or in your head) it can be helpful to think in terms of a 2 x 2 table and aggressively investigate the "high stakes" diagnoses. Be sure to listen to our next episode on#bayesianreasoning made simple.pic.twitter.com/XgTCwzexJt
-
Camping Out in the
#HIPPOCAMPUS: Imaging Spectrum of Etiologies That Affect the Hippocampi and Tips for Honing the#DifferentialDiagnosis Attention to both the#imaging and#clinical findings is important in narrowing the differential diagnosis https://doi.org/10.3174/ng.1800032 …pic.twitter.com/FbzlwfD6Hi
-
#nephtwitter what’s your#differentialdiagnosis 44 yo male Anemia Hgb 6.7, mild gastropathy on EGD IV heroin use Cellulitis from skin popping Prior endocarditis Hep C antibody + and viral pcr pending Urine sediment pics below pic.twitter.com/wAZS3E7R13
-
Multilocular Cystic Renal Neoplasm of Low Malignant Potential V/S Cystic Clear Cell RCC
#GUpath#DifferentialDiagnosis#RCC#ECP2019Nice#ECPNice2019pic.twitter.com/i2E26eXnDI
Prikaži ovu nit -
SDH-deficient
#GUpath#differentialdiagnosis#oncocytoma#ECP2019Nice#ECPNice2019pic.twitter.com/6YpZhicZ0R
Prikaži ovu nit -
Thanks for helping to raising awareness about this, Buck.
#DifferentialDiagnosis is particularly important for youth with a history of gender-related trauma, those on the autism spectrum and socially isolated or prone to peer pressure. https://twitter.com/catt_bear/status/1149085803072671744 …#FirstDoNoHarm -
Using this form certainly makes me think more about
#DifferentialDiagnosis and has stimulated my Interns & Students today during Admitting https://www.dropbox.com/s/x17w9ekg80pidv9/Formative%20Feedback%20After%20Case%20Presentation%20V3.docx?dl=0 …@MarkGraber@IsabelHealth@ImproveDX@IMreasoning@NEJMres360pic.twitter.com/Zq6Ipt8Kap
Prikaži ovu nit -
Bah ha!
@Gregory_House RT@santi_vallee How every episode of House M.D. would have been if@IBMWatsonHealth was a member of the team.#lupus#ArtificialIntelligence#HouseMD#differentialdiagnosis#IBMwatson#InteligenciaArtificialpic.twitter.com/t8scr6gTwV
-
Differentiating between conditions that share similar symptoms can be difficult, at times. | http://goldcopd.org
#COPD#Asthma#DifferentialDiagnosis pic.twitter.com/zntTJ5bBFT
-
Ordering of Diagnostic Imaging by Physical Therapists: A 5-Year Retrospective Practice Analysis. Great job!
#differentialdiagnosis#imaging@PTJournal@jheick1https://academic.oup.com/ptj/advance-article/doi/10.1093/ptj/pzz015/5304994 … -
Can you identify the
#DifferentialDiagnosis for newborn#Respiratory distress? You can learn that along with the epidemiology, pathophysiology, presentation, diagnosis, and management of the most common etiologies in this video with Dr. Megan Connelly. https://www.openpediatrics.org/assets/video/respiratory-distress-newborn … pic.twitter.com/1dy0ypjvhU
-
Crewed with a UoS
#studentparamedic today... great to see how far they have come along!! Looking at#DifferentialDiagnosis to provide best possible treatment.@Thomson2C@LCunnell great work!!@EastEnglandAmb -
I'm channeling my pal,
@medicalaxioms this evening: A limited ability to generate a reasonable#DifferentialDiagnosis does not equate to "#AtypicalAngina " in a#ChestPain patient.pic.twitter.com/HX5il1ayJ5 -
I’ve diagnosed 100’s of these by taking a better “chest pain” history and physical.
#DifferentialDiagnosis https://twitter.com/JAMA_current/status/1051472698277269505 …
-
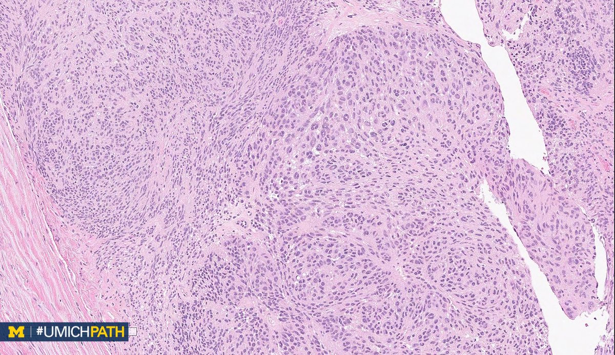
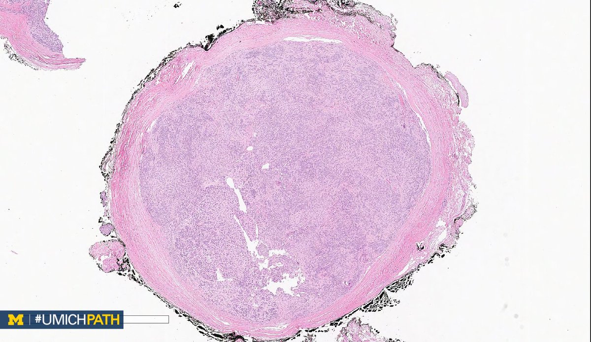
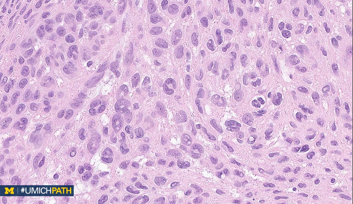
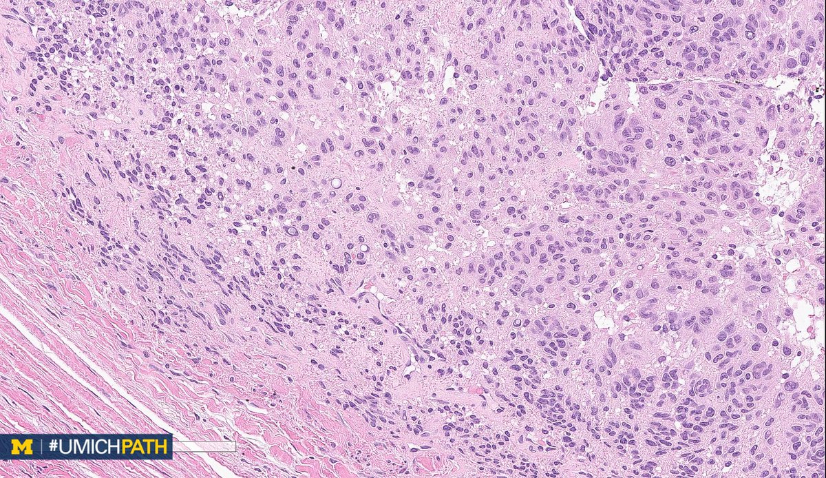
Bone and Soft Tissue #Pathology, day 2
What's your #DifferentialDiagnosis of this superficial soft tissue mass?
What #DailyDx do you favor, and what confirmatory stain(s) would you order?
We’ll tweet the answers and some quick facts tomorrow! #UMichPath#BSTPathpic.twitter.com/BkXUiAuRzg
Prikaži ovu nit -
#WOBBLER#mnemonic of#DifferentialDiagnosis to look for in#EKG after#syncope#EuSEM18pic.twitter.com/yyPUz2yuLH
-
On-call contact from parents regarding infants with onset of acute irritability, distension, vomiting, & diarrhea post
#rotavvax, most recent case bounce from community hospital (abd XR) to John Hopkins-Childrens#intussusception#acuteabdomen#differentialdiagnosis pic.twitter.com/tTLBXEtuzN
Prikaži ovu nit
Čini se da učitavanje traje već neko vrijeme.
Twitter je možda preopterećen ili ima kratkotrajnih poteškoća u radu. Pokušajte ponovno ili potražite dodatne informacije u odjeljku Status Twittera.