-
Next, David R Johnson (
@EawagResearch) talks about "#Bifurcations & the Creation of#PatternDiversity during#Microbial Spatial#SelfOrganization" & explains how local differences in an individual's initial spatial positioning can contribute to pattern diversity in populations.pic.twitter.com/IWPjbHclCZ
Prikaži ovu nit -
Coronary atherosclerosis has a preference for
#BIFURCATIONS@sbrugaletta@chadialraiespic.twitter.com/8E2gpyTu6s
-
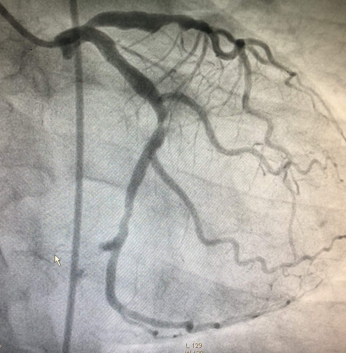
Referred for second opinion
@EuroInterventio#Bifurcations How would u treat? Ostial LAD dz and ectatic proximal segment@mmamas1973@willsuh76@sbrugaletta@jedicath@VijayKunadian@Ortega_Pazpic.twitter.com/efCyf6OKFj
Prikaži ovu nit -
#Bifurcations are crucial in#Physics to understand how#Chaos emerges from Ordered initial conditions, and how Order emerges from Chaos. Our#Anahuac ancestors developed similar concepts centuries ago:#Nepanolli#Maxalli unfold/bifurcate to create order-disorder#Tlazolteotlpic.twitter.com/t2QOpWjGcE
-
At
#Bifurcations you can enjoy music by@GrinneMulvey, Fergal Dowling, Ann Cleare,@mugloch &@DonalSarsfield http://bit.ly/2glrihD -
The importance of mandatory POT in provisional stenting technique.
#RadialFirst#Cardiotwitter#bifurcations pic.twitter.com/gMKMuNcgGi
-
Some Tips and Tricks in
#bifurcations por Dr. B. Garcia del Blanco.@shci_sec#SHCI2017pic.twitter.com/tjGeXh0utJ
-
Taxonomy of
#braids --#surfaces,#cylinders,#cones,#bifurcations --#floraroboticapic.twitter.com/mZVaFndmMS
-
Now we need to put that info in the context of INDICATION for revascularization, as well as STRATEGY selection in specific lesion subsets, like non-LM
#bifurcations: small ischemia: keep SB open; large ischemia: optimal SB result, with either one or two stents!@BifurcationClubhttps://twitter.com/DFCapodanno/status/1196019017602875392 … -
Auh quimatiyah
#Toltecah Quihtoaya onca Mahtlacome#Nepanolli...#Toltecs used to know it: They meant that there are twelve kinds of#StrangeAttractors#Chaos#Bifurcations#TollanXicocotitlan#Anahuacpic.twitter.com/YouYWLhNcF -
Read the second episode of "
#Bifurcations: From An#Interventional#Cardiologist’s Perspective" about the#Culotte technique from#AHAEarlyCareerBlogger@mirvatalasnag: http://spr.ly/6013E0cab pic.twitter.com/1h0fgUR5Gu
-
Clinical recommendations to treat
#bifurcations lesions. Access to the 14th consensus document from@BifurcationClub http://bit.ly/2ljCZwF#cardiotwitterpic.twitter.com/ZYHiw7tyQK
-
"Approximately 15-20% of all
#coronary interventions are bifurcations." Read about#bifurcations from the perspective of an#InterventionalCardiologist and#AHAEarlyCareerBlogger@mirvatalasnag: http://spr.ly/6018EvrbM pic.twitter.com/OYgqiRN1SZ
-
Book now for
#Bifurcations - new music for#violin,#harpsichord &#electronics@smockalley on Mon. 5th Dec, 8pm: http://bit.ly/2fG9nE9 -
#Bifurcations Round-table discussion. All 4 sessions available to watch on our website During the British... http://fb.me/YjcMATgI -
Succinctly explained, worth reading, congratulations
@mirvatalasnag@AHAScience#bifurcations#coronary#cardiotwitterhttps://twitter.com/AHAScience/status/1151839039550644226 …
-
Two days Working session exploring the strategies and techniques to treat complex lésion
#bifurcations lesion. Presentation , discussion and live cases with@ICPS_institut members.#Cardiology#cardiotwitter#InterventionalCardiology pic.twitter.com/sSbt5w7QqF
-
Probabilistic modeling of
#bifurcations in#singlecell#geneexpression data - http://bit.ly/2rAjSvN -@UniofOxford -
"Double kissing mini-culotte versus mini-culotte stenting: insights from micro-computed tomographic imaging of bench testing" by Fudong Hu et al.
#EAPCI http://bit.ly/2rxIrLU@EuroInterventio@PCRonline@escardio#Bifurcations pic.twitter.com/e47yndRqEU
Čini se da učitavanje traje već neko vrijeme.
Twitter je možda preopterećen ili ima kratkotrajnih poteškoća u radu. Pokušajte ponovno ili potražite dodatne informacije u odjeljku Status Twittera.