Tweetovi
- Tweetovi, trenutna stranica.
- Tweetovi i odgovori
- Medijski sadržaj
Blokirali ste korisnika/cu @gotzon_i
Jeste li sigurni da želite vidjeti te tweetove? Time nećete deblokirati korisnika/cu @gotzon_i
-
Hvala. Twitter će to iskoristiti za poboljšanje vaše vremenske crte. PoništiPoništi
-
Hvala. Twitter će to iskoristiti za poboljšanje vaše vremenske crte. PoništiPoništi
-
Hvala. Twitter će to iskoristiti za poboljšanje vaše vremenske crte. PoništiPoništi
-
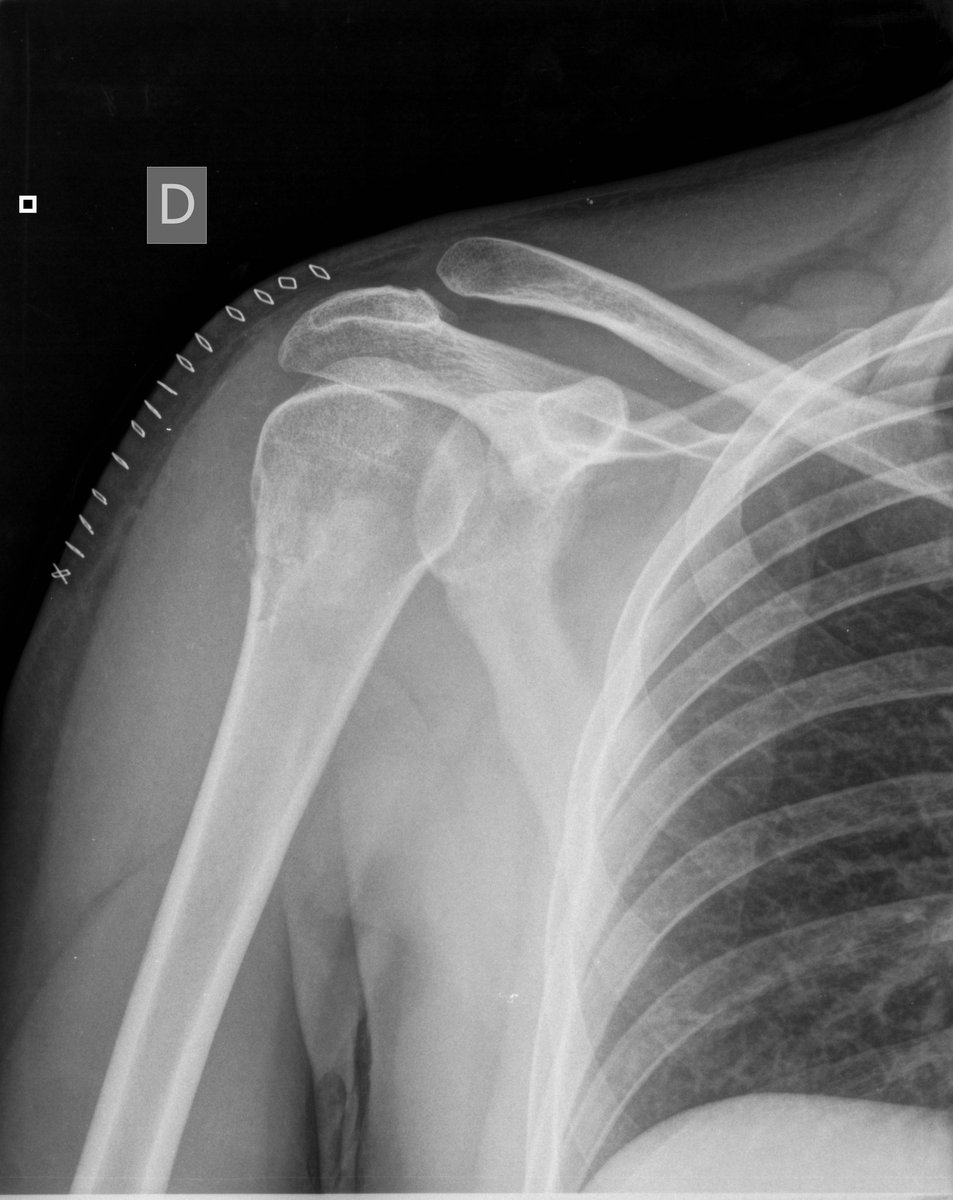
Severe glenohumeral osteoarthritis or jai-alai?
pic.twitter.com/RlMUp5vTnn
Hvala. Twitter će to iskoristiti za poboljšanje vaše vremenske crte. PoništiPoništi -
Gotzon Iglesias H proslijedio/la je Tweet
Great Whole-body MRI symposium
@Unispital_USZ . Significant improvement of patient care in multiple myeloma (Christina Messiou):https://doi.org/10.1148/radiol.2019181949 … Increase diagnostic confidence, key role for early diagnosis in spondylarthritis (Andrea Rosskopf).#MSKradpic.twitter.com/dzsyjUBO3g
Hvala. Twitter će to iskoristiti za poboljšanje vaše vremenske crte. PoništiPoništi -
Tarsal coalition. Why choose when you can have both?
Calcaneo-navicular & talocalcaneal coalition fibrous type.
#radres#radiology#mskradpic.twitter.com/wjdZToy9sA
Hvala. Twitter će to iskoristiti za poboljšanje vaše vremenske crte. PoništiPoništi -
Huge calcific tendinitis of the infraspinatus. US guided treatment.pic.twitter.com/W5uBTwdLFfHvala. Twitter će to iskoristiti za poboljšanje vaše vremenske crte. PoništiPoništi -
Gotzon Iglesias H proslijedio/la je Tweet
Clinical indications for image-guided interventional procedures in the musculoskeletal system: a Delphi-based consensus paper from the European Society of Musculoskeletal Radiology (ESSR)—part I, shoulderhttps://link.springer.com/article/10.1007/s00330-019-06419-x?wt_mc=alerts.TOCjournals&utm_source=toc&utm_medium=email&utm_campaign=toc_330_30_2#citeas …
Hvala. Twitter će to iskoristiti za poboljšanje vaše vremenske crte. PoništiPoništi -
Gotzon Iglesias H proslijedio/la je Tweet
Check out the excellent review article about Anterior Instability-What to Look For! recently published in the MRI Clinics of North America https://lnkd.in/dtb94jT Congratulations to Chris Burke, Tatiane and Soterios for a superb paper!
@SoteriosGyft@tatcantarelli#mskradiologypic.twitter.com/qlr8CXYkyQ
Hvala. Twitter će to iskoristiti za poboljšanje vaše vremenske crte. PoništiPoništi -
Gotzon Iglesias H proslijedio/la je Tweet
Outstanding webinar from
@ESSRmsk on#elbow instability yesterday with great cases from@SutterBalgrist and@derbalgrist. If you want to learn further on this topic, check out this book from ESSR sports imaging subcommittee: https://breitenseher.eu/book-mri_elbow-en.php …#MSKradpic.twitter.com/0AZFBD2sN4
Hvala. Twitter će to iskoristiti za poboljšanje vaše vremenske crte. PoništiPoništi -
Hvala. Twitter će to iskoristiti za poboljšanje vaše vremenske crte. PoništiPoništi
-
Hvala. Twitter će to iskoristiti za poboljšanje vaše vremenske crte. PoništiPoništi
-
Histologically proven grade I cortical Chondrosarcoma.
#radres#foamrad#mskrad#Radiología#radiologypic.twitter.com/DOcITcDaQP
Prikaži ovu nitHvala. Twitter će to iskoristiti za poboljšanje vaše vremenske crte. PoništiPoništi -
Hvala. Twitter će to iskoristiti za poboljšanje vaše vremenske crte. PoništiPoništi
-
Anatomy ilustration from
#radiologyassistant. Number 3 is the medial root/fascicle of the inferior extensor retinaculum.pic.twitter.com/eAEmJHqvhb
Prikaži ovu nitHvala. Twitter će to iskoristiti za poboljšanje vaše vremenske crte. PoništiPoništi -
Severe ankle sprain
Tear of medial fascicle of the inferior extensor retinaculum entering the tarsal sinus (stepped arrow).
#radiology#mskrad#foamrad#radrespic.twitter.com/YVKh4T1w3N
Prikaži ovu nitHvala. Twitter će to iskoristiti za poboljšanje vaše vremenske crte. PoništiPoništi -
Hvala. Twitter će to iskoristiti za poboljšanje vaše vremenske crte. PoništiPoništi
-
Feliz Navidad! Merry Xmas!!
#Radiología#radiologypic.twitter.com/jdVRzyLw7b
Hvala. Twitter će to iskoristiti za poboljšanje vaše vremenske crte. PoništiPoništi -
Gotzon Iglesias H proslijedio/la je Tweet
The Painful Hand! Wish I would’ve thought of making this prior to my first MSK rotation. Super helpful for keeping the various arthritides straight.
#medtwitter#RadRes#radiology#FOAMrad#MedEdpic.twitter.com/6ETBs9ZXzp
Hvala. Twitter će to iskoristiti za poboljšanje vaše vremenske crte. PoništiPoništi -
Ossification of the Posterior Longitudinal Ligament
#mskrad#radiology#Radiología#foamrad https://www.ncbi.nlm.nih.gov/pmc/articles/PMC4771496/ …pic.twitter.com/VvC7hBhUAm
Hvala. Twitter će to iskoristiti za poboljšanje vaše vremenske crte. PoništiPoništi
Čini se da učitavanje traje već neko vrijeme.
Twitter je možda preopterećen ili ima kratkotrajnih poteškoća u radu. Pokušajte ponovno ili potražite dodatne informacije u odjeljku Status Twittera.


