Tweetovi
- Tweetovi, trenutna stranica.
- Tweetovi i odgovori
- Medijski sadržaj
Blokirali ste korisnika/cu @ghoshhajra
Jeste li sigurni da želite vidjeti te tweetove? Time nećete deblokirati korisnika/cu @ghoshhajra
-
Prikvačeni tweet
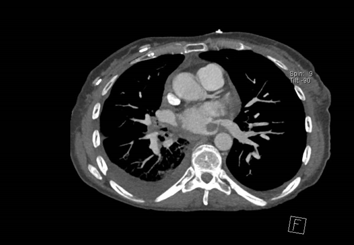
How to create cardiac planes using CT (or MRI).
@MGHImaging@Heart_SCCT#FOAMed#FOAMrad@Learn_Thingspic.twitter.com/GWS2Tb5NaMHvala. Twitter će to iskoristiti za poboljšanje vaše vremenske crte. PoništiPoništi -
Brian with the Good Dictations proslijedio/la je Tweet
New approved emojis made by my pal and fellow emergency doc
@ShuhanHeMD! EMojis! Get it? E M-ojis? Anyone? Hello? Is this on? Tap tap.https://www.bostonglobe.com/2020/02/04/metro/this-mass-general-doctor-helped-get-two-new-medical-emojis-approved/ …Hvala. Twitter će to iskoristiti za poboljšanje vaše vremenske crte. PoništiPoništi -
Brian with the Good Dictations proslijedio/la je Tweet
Seeking an amazing MD/PhD
or equiv for paid full-time, minimum 1y #WhyCMR
clinical research w us in Sydney
. I will be at SCMR2020. DM me to meet for informal discussion. Application dline March 5, 2020. https://tinyurl.com/USydneyCMR Pls RT!Prikaži ovu nitHvala. Twitter će to iskoristiti za poboljšanje vaše vremenske crte. PoništiPoništi -
Brian with the Good Dictations proslijedio/la je Tweet
I wonder what’s the percentage increase of heart attacks since this commercial in New England
@ghoshhajra
https://twitter.com/TomBrady/status/1224124284894875648 …
0:45Hvala. Twitter će to iskoristiti za poboljšanje vaše vremenske crte. PoništiPoništi -
Brian with the Good Dictations proslijedio/la je Tweet
@howardm19@JeffreyKanneMD Super Bowl Sunday case. Let’s chat. Patient with an abdominal neuroendocrine tumor. Surveillance imaging over years. How would you report the findings on the 2019 images ?#ChestRadEdpic.twitter.com/FlWTw1MSBj
Prikaži ovu nitHvala. Twitter će to iskoristiti za poboljšanje vaše vremenske crte. PoništiPoništi -
Beginning of
#radres ED overnight rotation versus end of#radres ED overnight rotationhttps://twitter.com/valaafshar/status/1223787374662111232 …
0:28Hvala. Twitter će to iskoristiti za poboljšanje vaše vremenske crte. PoništiPoništi -
Brian with the Good Dictations proslijedio/la je Tweet
An unwelcome discovery in the operating room prompted me to ask - is it okay to enjoy performing surgery, even when it is predicated upon the suffering of another human being? My latest in
@NEJM https://tinyurl.com/v3ndpxf#medhumchat@doctorscreate#medtwitter#surgtwitterPrikaži ovu nitHvala. Twitter će to iskoristiti za poboljšanje vaše vremenske crte. PoništiPoništi -
Brian with the Good Dictations proslijedio/la je Tweet
Reposting this image (HT
@LebenTefera) - This is NOT a PE. Reply if you know what it is*. We plan to post the answer as a reply soon#FOAMrad *@ghoshhajra you can't play ;)@PERTConsortium@MGHVascular@esmondfong@ParthaSardar_MD@islamelgendy83pic.twitter.com/WL9EFOaKdD
Prikaži ovu nitHvala. Twitter će to iskoristiti za poboljšanje vaše vremenske crte. PoništiPoništi -
Brian with the Good Dictations proslijedio/la je Tweet
The best way to learn is to teach.
Hvala. Twitter će to iskoristiti za poboljšanje vaše vremenske crte. PoništiPoništi -
Brian with the Good Dictations proslijedio/la je Tweet
It showed how we are valued. It hurt me a lot. It is the worst thing I have ever seen in my life.”https://www.buzzfeednews.com/article/ikrd/vanessa-nakate-greta-thunberg-davos …
Hvala. Twitter će to iskoristiti za poboljšanje vaše vremenske crte. PoništiPoništi -
Brian with the Good Dictations proslijedio/la je Tweet
What caused this finding* and what is the correct course of action? https://www.angiologist.com/arterial-disease/thoracic-outlet-syndrome/ … [SKIP TO PAGE 2 IN THE LINK IF YOU JUST WANT THE ANSWER] *Look on the right...
#FOAMed@LebenTeferapic.twitter.com/FLIWdpOyEx
Hvala. Twitter će to iskoristiti za poboljšanje vaše vremenske crte. PoništiPoništi -
Brian with the Good Dictations proslijedio/la je Tweet
#AFSymposium2020 Dr.Patrick Ellinor discussing the genetics of AFpic.twitter.com/LqhFDs44o4
Hvala. Twitter će to iskoristiti za poboljšanje vaše vremenske crte. PoništiPoništi -
Brian with the Good Dictations proslijedio/la je Tweet
These 1 Yr All Cause Mortality Rates are Staggering: Type 1 MI (thrombotic plaque rupture): 14% Type 2: Demand MI: 23% Chronic injury (CHF/renal): 29% Acute Injury (no atherothrombosis): 33% 33% of "just another false + troponin" patients die in 1 yr https://www.ahajournals.org/doi/10.1161/CIRCULATIONAHA.119.044125 …
Hvala. Twitter će to iskoristiti za poboljšanje vaše vremenske crte. PoništiPoništi -
Brian with the Good Dictations proslijedio/la je Tweet
Do you see contrast where it doesn’t belong? Who needs to be called ASAP?
@Radiopaedia Hidden diagnosis: https://bit.ly/36j9bBQ@Radiopaedia Full case w/ answer: https://bit.ly/37i3i9b#FOAMrad#radiology#radres#FOAMedpic.twitter.com/r2pYDebYHSHvala. Twitter će to iskoristiti za poboljšanje vaše vremenske crte. PoništiPoništi -
Brian with the Good Dictations proslijedio/la je TweetHvala. Twitter će to iskoristiti za poboljšanje vaše vremenske crte. PoništiPoništi
-
I’m just gonna leave this here.pic.twitter.com/gBkEdavaYY
Hvala. Twitter će to iskoristiti za poboljšanje vaše vremenske crte. PoništiPoništi -
Brian with the Good Dictations proslijedio/la je Tweet
This picture is featured in Margolick’s The promise and the Dre am. The brave freedom riders of all different races, religions, backgrounds and ethnicities went to jail to desegregate public places as my father did. I thank them and MLK for their courage today.pic.twitter.com/AOEHnpqk8L
Hvala. Twitter će to iskoristiti za poboljšanje vaše vremenske crte. PoništiPoništi -
Brian with the Good Dictations proslijedio/la je Tweet
THIS IS ALREADY OUR JOB
https://twitter.com/RadiologyBiz/status/1218301986505969664 …Hvala. Twitter će to iskoristiti za poboljšanje vaše vremenske crte. PoništiPoništi -
Brian with the Good Dictations proslijedio/la je Tweet
Cath lab cheat sheet ! Enjoy!
#cardiotwitter#radialfirst#safefemoral#meded#mestwitterpic.twitter.com/0etLqnQe0D
Hvala. Twitter će to iskoristiti za poboljšanje vaše vremenske crte. PoništiPoništi -
Brian with the Good Dictations proslijedio/la je Tweet
As a researcher who studies college sexual assault, one of the most common questions I'm asked is, "My daughter is starting college soon and I'm so concerned about campus sexual violence. What do I do as a parent?" Here's my answer:
Prikaži ovu nitHvala. Twitter će to iskoristiti za poboljšanje vaše vremenske crte. PoništiPoništi -
Brian with the Good Dictations proslijedio/la je Tweet
TJU Dept of
#Radiology mourns the loss of Professor & Chairman Emeritus David C Levin, MD. Former fighter pilot#USAF, innovator in cardiac angiography and health policy research. Gold Medal Recipient#RSNA#AUR#ARRS#ACR#PRS. Thoughts and prayers are extended to his family.pic.twitter.com/zHHgXk4kq3
Hvala. Twitter će to iskoristiti za poboljšanje vaše vremenske crte. PoništiPoništi
Čini se da učitavanje traje već neko vrijeme.
Twitter je možda preopterećen ili ima kratkotrajnih poteškoća u radu. Pokušajte ponovno ili potražite dodatne informacije u odjeljku Status Twittera.