Tweetovi
- Tweetovi, trenutna stranica.
- Tweetovi i odgovori
- Medijski sadržaj
Blokirali ste korisnika/cu @arinbjornkol
Jeste li sigurni da želite vidjeti te tweetove? Time nećete deblokirati korisnika/cu @arinbjornkol
-
Prikvačeni tweet
My internship at Samsung AI: Stochastically Rank-Regularized Tensor Regression Networks Improved performance. Reduced overfitting. More robust to adversarial attacks and random noise. Work with
@JeanKossaifi, Yannis Panagakis,@AnimaAnandkumar et al. https://arxiv.org/abs/1902.10758Hvala. Twitter će to iskoristiti za poboljšanje vaše vremenske crte. PoništiPoništi -
Arinbjörn proslijedio/la je TweetHvala. Twitter će to iskoristiti za poboljšanje vaše vremenske crte. PoništiPoništi
-
The technology equivalent of selling scissors in sealed frustration packaginghttps://twitter.com/iamharaldur/status/1223844737532121088 …
Hvala. Twitter će to iskoristiti za poboljšanje vaše vremenske crte. PoništiPoništi -
Arinbjörn proslijedio/la je Tweet
A full build of Autopilot neural networks involves 48 networks that take 70,000 GPU hours to train. Together, they output 1,000 distinct tensors (predictions) at each timestep. This is what a Tesla autopilot sees [source: https://buff.ly/2OhFA5B ]pic.twitter.com/mNLtrobk8U
Hvala. Twitter će to iskoristiti za poboljšanje vaše vremenske crte. PoništiPoništi -
Guidance from
@WHO on the use of masks https://www.who.int/docs/default-source/documents/advice-on-the-use-of-masks-2019-ncov.pdf?sfvrsn=40619336_1&download=true … Takeaway: Wear a mask as soon as any symptoms appear. Not required for non-infected individuals. Instead stay at least 1 m from anyone with symptoms + wash your handsHvala. Twitter će to iskoristiti za poboljšanje vaše vremenske crte. PoništiPoništi -
Arinbjörn proslijedio/la je Tweet
Journal: Ready to submit your manuscript? Me: Yup! (cracking my knuckles) Journal: Do you have all these ready? 1. Your login details 2. Your ORCID ID 3. Manuscript 4. Each image as separate file 5. Cover letter 6. COI for each author 7. Author signatures for all
Prikaži ovu nitHvala. Twitter će to iskoristiti za poboljšanje vaše vremenske crte. PoništiPoništi -
Record levels of inflation, likely due to magma accumulation, around Mt. Þorbjörn If this turns into a eruption (unlikely) it might be bye bye Blue Lagoon https://en.vedur.is/about-imo/news/possible-magma-accumulation-beneath-mt-thorbjorn-on-reykjanes-peninsula …pic.twitter.com/d41lydIy0K
Hvala. Twitter će to iskoristiti za poboljšanje vaše vremenske crte. PoništiPoništi -
Things I can do in 6 days: read a book Things China can do in 6 days: build a 1000-bed hospitalhttps://twitter.com/Reuters/status/1220756900389715968 …
0:37Hvala. Twitter će to iskoristiti za poboljšanje vaše vremenske crte. PoništiPoništi -
Real-time updates of 2019-nCov cases: https://docs.google.com/spreadsheets/u/0/d/1jS24DjSPVWa4iuxuD4OAXrE3QeI8c9BC1hSlqr-NMiU/htmlview … maintained by
@SunKaiyuanhttps://twitter.com/SunKaiyuan/status/1219661541613531136 …
Hvala. Twitter će to iskoristiti za poboljšanje vaše vremenske crte. PoništiPoništi -
Sequential manufacturing is built to blueprints for outdated human factories that required worker repetition, according to
@arrival who are betting on parallelised multi-cell factories where each cell produces a vehicle from scratch#LondonRoboticspic.twitter.com/jltOILhoDx – mjesto: Kensington Village
Hvala. Twitter će to iskoristiti za poboljšanje vaše vremenske crte. PoništiPoništi -
Arinbjörn proslijedio/la je Tweet
We are deeply saddened at the tragic news that our PhD student Saeed Tahmasebi Khademasadi was among the passengers to have died in the plane crash in Iran this morning. 1/3
Prikaži ovu nitHvala. Twitter će to iskoristiti za poboljšanje vaše vremenske crte. PoništiPoništi -
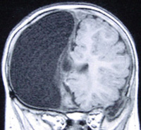
Reference: Smith, Aaron, and Oscar Sugar. "Development of above normal language and intelligence 21 years after left hemispherectomy." Neurology 25.9 (1975): 813-813.
Prikaži ovu nitHvala. Twitter će to iskoristiti za poboljšanje vaše vremenske crte. PoništiPoništi -
The plasticity of the human brain is remarkable. Consider hemispherectomy, a rare operation where half the brain is removed Despite the sacrifice there are cases of patients developing "above normal language and intelligence" Some would say the brain is overparameterizedpic.twitter.com/Q9JJLuRM76
Prikaži ovu nitHvala. Twitter će to iskoristiti za poboljšanje vaše vremenske crte. PoništiPoništi -
If you have unfinished business in 2019https://twitter.com/flightradar24/status/1212034203862351873 …
Hvala. Twitter će to iskoristiti za poboljšanje vaše vremenske crte. PoništiPoništi -
Arinbjörn proslijedio/la je Tweet
Visualizing MNIST classification. Neat. https://github.com/okdalto/VisualizeMNIST …pic.twitter.com/gUArKRi2J2
Hvala. Twitter će to iskoristiti za poboljšanje vaše vremenske crte. PoništiPoništi -
Reusable electronic bag tag by
@British_Airways auto-updates to match your next flightpic.twitter.com/NAf6rlrnRq
Hvala. Twitter će to iskoristiti za poboljšanje vaše vremenske crte. PoništiPoništi -
Arinbjörn proslijedio/la je Tweet
UMAP is often said to be superior to t-SNE because it is better at preserving global distances. Dmitry and I showed that this is because by default, t-SNE initializes randomly whereas UMAP initializes with Laplacian eigenmaps.https://twitter.com/hippopedoid/status/1207999178015727616 …
Prikaži ovu nitHvala. Twitter će to iskoristiti za poboljšanje vaše vremenske crte. PoništiPoništi -
Arinbjörn proslijedio/la je Tweet
Want to catch up on some latest Deep RL work? Here is a zip file with all the camera-ready papers from the
#NeurIPS2019 Deep RL Workshop!https://drive.google.com/open?id=1xdf3ia2VocviPR0q1uwH49h33bVVlNmp …Hvala. Twitter će to iskoristiti za poboljšanje vaše vremenske crte. PoništiPoništi -
I'll be presenting a poster here tomorrow with
@KloudStrife on a new sample-efficient architecture, where deep RL meets tensor methods and wavelet scattering!#NeurIPS2019https://twitter.com/pabbeel/status/1205718608078200832 …
Hvala. Twitter će to iskoristiti za poboljšanje vaše vremenske crte. PoništiPoništi -
I'll be giving a talk with
@namanatulshukla at the Graph Representation Learning workshop at 10:00 in West Exhibition Hall A. Stop by to learn more about the challenges of leveraging time in graphs#NeurIPS2019Hvala. Twitter će to iskoristiti za poboljšanje vaše vremenske crte. PoništiPoništi -
Thanks for the fun discussion!https://twitter.com/guptakhil12/status/1205374972291502080 …
Hvala. Twitter će to iskoristiti za poboljšanje vaše vremenske crte. PoništiPoništi
Čini se da učitavanje traje već neko vrijeme.
Twitter je možda preopterećen ili ima kratkotrajnih poteškoća u radu. Pokušajte ponovno ili potražite dodatne informacije u odjeljku Status Twittera.
