Txioak
- Txioak, current page.
- Txioak eta erantzunak
- Media
You blocked @AAPJournals
Are you sure you want to view these Tweets? Viewing Tweets won't unblock @AAPJournals
-
#PHM17 attendees save 10% on the Hospital Pediatrics journal and check out the latest AAP resources for hospitalists https://shop.aap.org/hospitalmedicine …pic.twitter.com/7M67ZMx1PA
Milesker. Twitterrek zure denbora lerroa hobetzeko erabiliko du hau. Desegin -
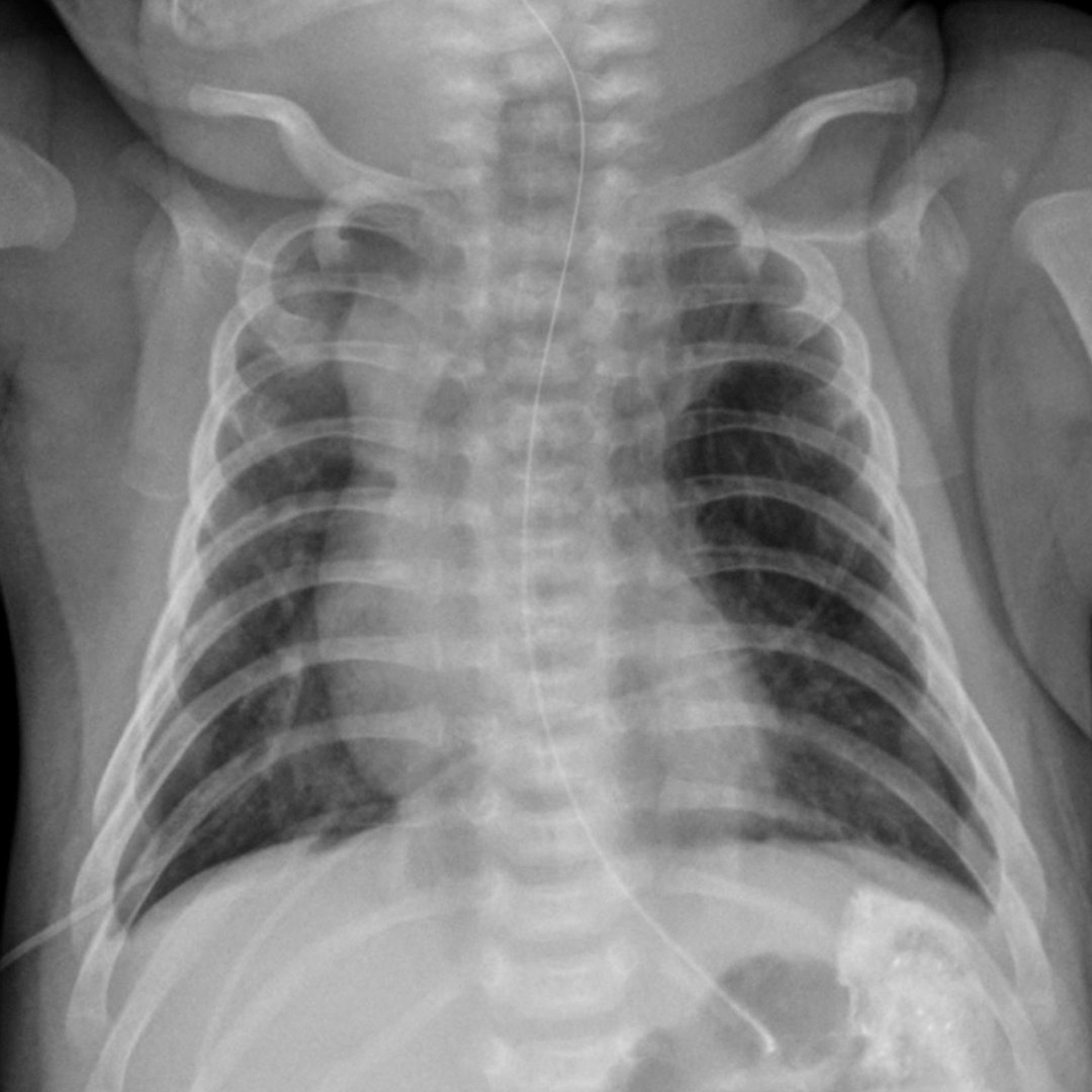
A 4-month-old boy presents to the hospital with worsening tachypnea. What does this chest radiograph tell you? http://bit.ly/2vjlvk2 pic.twitter.com/xTtHYB6iwB
Milesker. Twitterrek zure denbora lerroa hobetzeko erabiliko du hau. Desegin -
AAP Journals(e)k Bertxiotua
This week’s “First with Kids” gives the scoop on ice cream headaches with tips on how to avoid them.http://www.mynbc5.com/article/first-with-kids-how-to-cure-an-ice-cream-headache/10319214 …
Milesker. Twitterrek zure denbora lerroa hobetzeko erabiliko du hau. Desegin -
AAP Journals(e)k Bertxiotua
Resource for families of seriously ill children supports shared decision-making. http://ow.ly/iFhA30dxCNm pic.twitter.com/HrxhRC2eYS
Milesker. Twitterrek zure denbora lerroa hobetzeko erabiliko du hau. Desegin -
Don't let these helpful tips swing right by!
#tweetiatrician#safetytipshttps://twitter.com/lewis_first/status/884722045296226304 …Milesker. Twitterrek zure denbora lerroa hobetzeko erabiliko du hau. Desegin -
AAP Journals(e)k Bertxiotua
About 1 in 4 youth-rated movies show smoking,
@CDCgov finds. Experts including@AmerAcadPeds call for R ratings. http://ow.ly/oWvc30dpINr pic.twitter.com/KnaNUyDsFu
Milesker. Twitterrek zure denbora lerroa hobetzeko erabiliko du hau. Desegin -
AAP Journals(e)k Bertxiotua
This week's "First with Kids" will help you breathe more easily if your young child has a breath-holding spell.http://www.mynbc5.com/article/first-with-kids-breath-holding-spells/10255616 …
Milesker. Twitterrek zure denbora lerroa hobetzeko erabiliko du hau. Desegin -
As June comes to an end, we want to share the final firearms fact and myth infographic to help spread awareness.
#GunViolenceAwarenessMonthpic.twitter.com/5V7HW7FFXg
Milesker. Twitterrek zure denbora lerroa hobetzeko erabiliko du hau. Desegin -
Milesker. Twitterrek zure denbora lerroa hobetzeko erabiliko du hau. Desegin
-
Please retweet this very important information.https://twitter.com/lewis_first/status/879653085458685954 …
Milesker. Twitterrek zure denbora lerroa hobetzeko erabiliko du hau. Desegin -
Milesker. Twitterrek zure denbora lerroa hobetzeko erabiliko du hau. Desegin
-
AAP Journals(e)k Bertxiotua
This week's "First with Kids" makes a big splash with some water safety tips.http://www.mynbc5.com/article/first-with-kids-when-swimming-to-stay-cool-stay-safe/10044939 …
Milesker. Twitterrek zure denbora lerroa hobetzeko erabiliko du hau. Desegin -
#GunViolenceAwarenessMonth | How can we, as pediatricians, come together to help our youngest patients? http://bit.ly/2rzuOds pic.twitter.com/EqzO5Ah61d
Milesker. Twitterrek zure denbora lerroa hobetzeko erabiliko du hau. Desegin -
AAP Journals(e)k Bertxiotua
Study: Gunfire kills or injures more than 7,000 children per year. http://ow.ly/qv9230cFbbK pic.twitter.com/YqUVKned1f
Milesker. Twitterrek zure denbora lerroa hobetzeko erabiliko du hau. Desegin -
In this early release study, we examine fatal & nonfatal firearm injuries among children: http://bit.ly/2rNatRi
#GunViolenceAwarenessMonthpic.twitter.com/VC3JvdpUke
Milesker. Twitterrek zure denbora lerroa hobetzeko erabiliko du hau. Desegin -
It’s
#GunViolenceAwarenessMonth, and we’re discussing the facts and myths surrounding gun violence among our youth: http://bit.ly/2srQc5W pic.twitter.com/m5GVllVG6W
Milesker. Twitterrek zure denbora lerroa hobetzeko erabiliko du hau. Desegin -
Medical Mad Gab | Combine both photos to form this autosomal recessive metabolic disorder. Reply below! Photo by: Patrick Truby + Kim Sieverpic.twitter.com/isPao1m7T3
Milesker. Twitterrek zure denbora lerroa hobetzeko erabiliko du hau. Desegin -
Do parents use sign language before and following a cochlear implant? If so, how did it affect the child? Read more: http://bit.ly/2ruUoEN pic.twitter.com/RpQTe8ZbHt
Milesker. Twitterrek zure denbora lerroa hobetzeko erabiliko du hau. Desegin -
AAP Journals(e)k Bertxiotua
This week's "First with Kids" provides some rash-ional information on poison ivy and what to do about it!http://www.mynbc5.com/article/first-with-kids-some-cooling-info-about-poison-ivy/10013371 …
Milesker. Twitterrek zure denbora lerroa hobetzeko erabiliko du hau. Desegin -
Understand the epidemiology of Group B Streptococcus infections & recognize major clinical features: http://bit.ly/2rdFP41 pic.twitter.com/kmNZezXoFF
Milesker. Twitterrek zure denbora lerroa hobetzeko erabiliko du hau. Desegin
Badirudi kargak luze hartuko duela.
Baliteke Twitterren kapazitatez gaindi egotea edo momentuko gainkarga bat izatea. Berriro saiatu edo Twitterren Egoera ikusi informazio gehiagorako.