Tweetovi
- Tweetovi, trenutna stranica.
- Tweetovi i odgovori
- Medijski sadržaj
Blokirali ste korisnika/cu @StanfordPath
Jeste li sigurni da želite vidjeti te tweetove? Time nećete deblokirati korisnika/cu @StanfordPath
-
Congratulations to Rebecca Rojansky (PGY-2) and Jeff Cloutier (PGY-3) who received the 2nd and 3rd place awards for the Duel in Dermatopathology at the 2019 American Society of Dermatopathology Meeting in San Diego!
#stanfordpathHvala. Twitter će to iskoristiti za poboljšanje vaše vremenske crte. PoništiPoništi -
Stanford Pathology proslijedio/la je Tweet
Excited to be at the
@Stanford_ChEMH CBI retreat!@StanfordMedpic.twitter.com/DNPJ14oRhx
Hvala. Twitter će to iskoristiti za poboljšanje vaše vremenske crte. PoništiPoništi -
Stanford Pathology proslijedio/la je Tweet
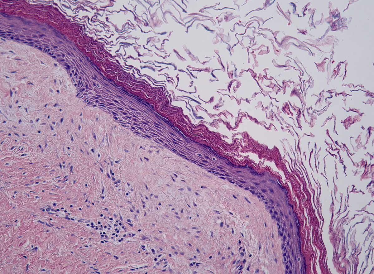
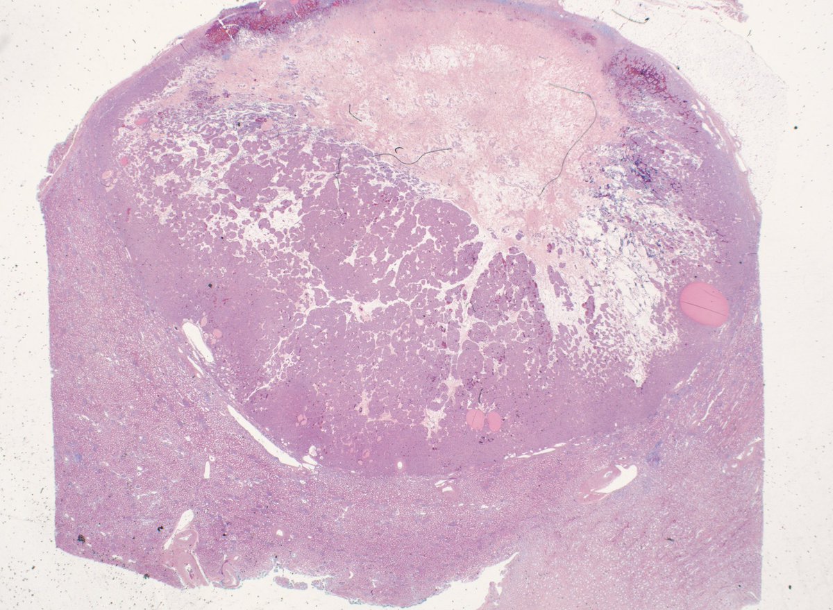
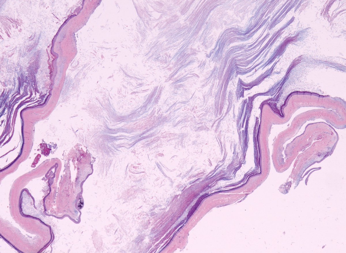
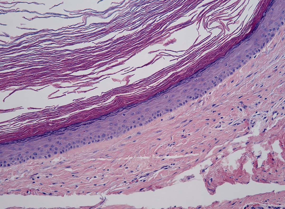
A rare but classic example to share!! 21M with a cystic lesion in the mandible. Diagnosis?
#ENTPath#OralPathpic.twitter.com/asqPHDeGEn
Prikaži ovu nitHvala. Twitter će to iskoristiti za poboljšanje vaše vremenske crte. PoništiPoništi -
Stanford Pathology proslijedio/la je Tweet
Faculty fellow
@Stanford_ChEMH@mbogyo and collaborators have found selective#proteasome inhibitors that show promise for treating drug-resistant#malaria@PLOSPathogens@StanfordPathpic.twitter.com/4zNzjTw9iJ
Hvala. Twitter će to iskoristiti za poboljšanje vaše vremenske crte. PoništiPoništi -
Stanford Pathology proslijedio/la je Tweet
Hot off the press! A sarcoma pathology review for the oncology community (and others!). Diagnostic classification of soft tissue malignancies: A review and update from a surgical pathology perspectivehttps://www.sciencedirect.com/science/article/pii/S0147027219301886 …
Hvala. Twitter će to iskoristiti za poboljšanje vaše vremenske crte. PoništiPoništi -
Stanford Pathology proslijedio/la je Tweet
Congratulations to our
@StanfordPath#hemepath fellowship graduates! You are amazing, thanks for a wonderful year.pic.twitter.com/5eQHApAgok
Hvala. Twitter će to iskoristiti za poboljšanje vaše vremenske crte. PoništiPoništi -
Stanford Pathology proslijedio/la je Tweet
Hannes Vogel (Neuropathologist
@StanfordPath) now speaking at AANP meeting on “Methotrexate and Other Cancer Chemotherapy Effects on the Brain and Peripheral Nervous System”#neuropath2019pic.twitter.com/gDLncsOdZX
Hvala. Twitter će to iskoristiti za poboljšanje vaše vremenske crte. PoništiPoništi -
Stanford Pathology proslijedio/la je Tweet
Excited to share our preprint tracking the T cell response to PD-1 blockade in patients using single-cell RNA/TCR-seq! Truly an awesome collaboration with
@KatieEYost, Anne Chang,@parkerici (Danny Wells, Samantha Bucktrout), Mark Davis, and of course@HowardYChang!https://twitter.com/biorxiv_immuno/status/1131953935286194176 …Hvala. Twitter će to iskoristiti za poboljšanje vaše vremenske crte. PoništiPoništi -
Stanford Pathology proslijedio/la je Tweet
Wonderful collaboration with
@JeffreyGranja@10xGenomics@gracexyzheng@HowardYChang@WJGreenleaf! We develop single-cell ATAC-seq in droplets and study human hematopoiesis and intratumoral T cell exhaustion after PD-1 blockadehttps://twitter.com/biorxivpreprint/status/1118922665505558529 …Hvala. Twitter će to iskoristiti za poboljšanje vaše vremenske crte. PoništiPoništi -
Stanford Pathology proslijedio/la je Tweet
Our own
@yaso_natkunam presenting on IALD at the 32nd Pathology Congress in Brazil#globalhealth#hemepath@StanfordPath@StanfordCIGHhttps://twitter.com/FelipePatologia/status/1123916033197248512 …
Hvala. Twitter će to iskoristiti za poboljšanje vaše vremenske crte. PoništiPoništi -
Stanford Pathology proslijedio/la je Tweet
Great talk from
@KatrinSvensson about new secreted thermogenic factors!pic.twitter.com/wjPtKNn4Ed
Hvala. Twitter će to iskoristiti za poboljšanje vaše vremenske crte. PoništiPoništi -
Stanford Pathology proslijedio/la je Tweet
One more reason to train
@StanfordPath - the beautiful Stanford campus! Cactus garden currently in bloompic.twitter.com/hUrbgqtgv0
Hvala. Twitter će to iskoristiti za poboljšanje vaše vremenske crte. PoništiPoništi -
Stanford Pathology proslijedio/la je TweetHvala. Twitter će to iskoristiti za poboljšanje vaše vremenske crte. PoništiPoništi
-
Stanford Pathology proslijedio/la je Tweet
Excited to be speaking today at
#AACR2019 in the Systems Biology and Cancer Immunology session with Catherine Wu and Bo Li! We’ll be in the Murphy Ballroom today at 1...Hvala. Twitter će to iskoristiti za poboljšanje vaše vremenske crte. PoništiPoništi -
Stanford Pathology proslijedio/la je Tweet
Another category of eosinophilia-related hematolymphoid neoplasmshttps://twitter.com/evemariecrane/status/1117067737338187779 …
Hvala. Twitter će to iskoristiti za poboljšanje vaše vremenske crte. PoništiPoništi -
Stanford Pathology proslijedio/la je Tweet
For the Global Health minded, Stanford had a 2 year non-accredited global health diagnostics fellowship https://med.stanford.edu/pathology/education/clinical-fellowships/clinical-microbiology-fellowship/ghdpf.html …
@StanfordPathHvala. Twitter će to iskoristiti za poboljšanje vaše vremenske crte. PoništiPoništi -
Stanford Pathology proslijedio/la je Tweet
SCI member Sean Bendall and Michael Angelo are mapping how tumor and immune cells interact in the
#microenvironment to profoundly affect the course of disease and response to treatment. http://go.nature.com/2TAP37G@Bendall_Lab@MikeAngeloLab@StanfordCancer#immunotherapyHvala. Twitter će to iskoristiti za poboljšanje vaše vremenske crte. PoništiPoništi -
Stanford Pathology proslijedio/la je Tweet
Nice article on MIBI! Welcome to the pathology club Sean!
@Bendall_Labhttps://www.nature.com/articles/d41586-019-00904-5 …Hvala. Twitter će to iskoristiti za poboljšanje vaše vremenske crte. PoništiPoništi -
Stanford Pathology proslijedio/la je Tweet
Similarly up close and personal in the T cell compartment - periarteriolar lymphoid sheath intermingled with red pulppic.twitter.com/foGNxyXh0Y
Prikaži ovu nitHvala. Twitter će to iskoristiti za poboljšanje vaše vremenske crte. PoništiPoništi -
Stanford Pathology proslijedio/la je Tweet
Check out this new
@angew_chem paper featuring@Stanford_ChEMH faculty and trainees! Co-authors include faculty fellow@mbogyo, postdoc seed grant awardee Christian Lentz, and CBI grad student Laura Keller. https://onlinelibrary.wiley.com/doi/abs/10.1002/anie.201900511 …@ChemSysBio@StanfordPath@StanfordMedHvala. Twitter će to iskoristiti za poboljšanje vaše vremenske crte. PoništiPoništi
Čini se da učitavanje traje već neko vrijeme.
Twitter je možda preopterećen ili ima kratkotrajnih poteškoća u radu. Pokušajte ponovno ili potražite dodatne informacije u odjeljku Status Twittera.