Tweetovi
- Tweetovi, trenutna stranica.
- Tweetovi i odgovori
- Medijski sadržaj
Blokirali ste korisnika/cu @SAR_RFS
Jeste li sigurni da želite vidjeti te tweetove? Time nećete deblokirati korisnika/cu @SAR_RFS
-
Share your
love
of radiology with #RSNARFC!https://twitter.com/courtneyraybon/status/1224349492998262785 …
Hvala. Twitter će to iskoristiti za poboljšanje vaše vremenske crte. PoništiPoništi -
SAR Resident and Fellow Section proslijedio/la je Tweet
Even though it is Super Bowl Sunday, I’m getting excited for
#SAR20 in Maui in just 4 weeks. Great#LIRADS content on tap. If you haven’t registered, register today! Check back here for the LI-RADS schedule in the next few weeks.@SocAbdRadiology#HawaiiHvala. Twitter će to iskoristiti za poboljšanje vaše vremenske crte. PoništiPoništi -
Hvala. Twitter će to iskoristiti za poboljšanje vaše vremenske crte. PoništiPoništi
-
Applications are due February 10!!!
Prikaži ovu nitHvala. Twitter će to iskoristiti za poboljšanje vaše vremenske crte. PoništiPoništi -
Hvala. Twitter će to iskoristiti za poboljšanje vaše vremenske crte. PoništiPoništi
-
We’re recruiting for our leadership team for 2020-2021! We’re looking for
#radres passionate about advocacy, leadership, & abdominal imaging! Application is open for Vice Chair, Secretary/Treasurer, & Communications Officer!Prikaži ovu nitHvala. Twitter će to iskoristiti za poboljšanje vaše vremenske crte. PoništiPoništi -
SAR Resident and Fellow Section proslijedio/la je Tweet
Calling all radiologists! Here is our final gettable case for January! Leave your diagnosis below!pic.twitter.com/sCwQyouBEi
Hvala. Twitter će to iskoristiti za poboljšanje vaše vremenske crte. PoništiPoništi -
Hvala. Twitter će to iskoristiti za poboljšanje vaše vremenske crte. PoništiPoništi
-
Get to know the next member of the SAR RFS leadership,
@markdsugi! Mark is currently a#radfellow@UCSFimaging!pic.twitter.com/dJ7W4GgZ3I
Prikaži ovu nitHvala. Twitter će to iskoristiti za poboljšanje vaše vremenske crte. PoništiPoništi -
SAR Resident and Fellow Section proslijedio/la je Tweet
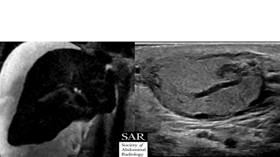
This mysterious case features a liver and testicle...comment with your diagnoses below!pic.twitter.com/W18sJpTqVa
Hvala. Twitter će to iskoristiti za poboljšanje vaše vremenske crte. PoništiPoništi -
Hvala. Twitter će to iskoristiti za poboljšanje vaše vremenske crte. PoništiPoništi
-
#Radres and#radfellows- Join us in Maui at the@SocAbdRadiology Annual Meeting for our 1st SAR RFS event, a fellowship director panel and dinner! It’s FREE, but space is limited, so sign up now!https://docs.google.com/forms/d/e/1FAIpQLSd6RYeLDG_Hg1vSSmAyfyd_3YSs1pVnBwjb2AmAFiWEaS7XwQ/viewform# …Prikaži ovu nitHvala. Twitter će to iskoristiti za poboljšanje vaše vremenske crte. PoništiPoništi -
SAR Resident and Fellow Section proslijedio/la je Tweet
Today's gettable case of the week is a challenge! Comment below if you know the diagnosis!pic.twitter.com/SsBVmaX4FJ
Hvala. Twitter će to iskoristiti za poboljšanje vaše vremenske crte. PoništiPoništi -
Make sure to register for the
@SocAbdRadiology Annual Meeting!




Registration fees increase on January 22!! #radres#radfellow https://www.abdominalradiology.org/page/AnnualMeeting …Hvala. Twitter će to iskoristiti za poboljšanje vaše vremenske crte. PoništiPoništi -
Start the new year off with a new case!
Happy 2020!https://twitter.com/SocAbdRadiology/status/1212780793665392640 …
Hvala. Twitter će to iskoristiti za poboljšanje vaše vremenske crte. PoništiPoništi -
SAR Resident and Fellow Section proslijedio/la je Tweet
Happy New Year!!! Dropped gallstones is the correct diagnosis for last week's case. Thank you for playing.pic.twitter.com/7GyfpEjkXT
Hvala. Twitter će to iskoristiti za poboljšanje vaše vremenske crte. PoništiPoništi -
SAR Resident and Fellow Section proslijedio/la je Tweet
Happy holidays from your
@AAWR_org! Remember, now is the perfect time to renew your membership for 2020! Membership for residents & fellows is FREE! Join or renew here -> https://www.aawr.org/Membership/Join-AAWR …. You can also make a tax-deductivle donation here -> https://www.aawr.org/Donate1 . Cheers!pic.twitter.com/pVNkluoA6h
Hvala. Twitter će to iskoristiti za poboljšanje vaše vremenske crte. PoništiPoništi -
SAR Resident and Fellow Section proslijedio/la je Tweet
New gettable case of the week. This 87 year old male was referred for repeat biopsy of a right upper quadrant mass. This abnormality seems to be stable for at least 2 years. Do you think we should repeat the biopsy, and what is your diagnosis?pic.twitter.com/bwHnW6e4XS
Hvala. Twitter će to iskoristiti za poboljšanje vaše vremenske crte. PoništiPoništi -
SAR Resident and Fellow Section proslijedio/la je Tweet
Here is our new case. 53 year old male with acute kidney injurypic.twitter.com/kPJkddu0rD
Hvala. Twitter će to iskoristiti za poboljšanje vaše vremenske crte. PoništiPoništi -
SAR Resident and Fellow Section proslijedio/la je Tweet
The answer for last week's case is: Paroxysmal nocturnal hemoglobinuria (MRI finding is hemosiderosis in the renal cortex seen here on T1 in phase image). Thanks for playing! Wait for a new challenge tomorrowpic.twitter.com/EDpdYuc1jr
Hvala. Twitter će to iskoristiti za poboljšanje vaše vremenske crte. PoništiPoništi
Čini se da učitavanje traje već neko vrijeme.
Twitter je možda preopterećen ili ima kratkotrajnih poteškoća u radu. Pokušajte ponovno ili potražite dodatne informacije u odjeljku Status Twittera.