Tweetovi
- Tweetovi, trenutna stranica.
- Tweetovi i odgovori
- Medijski sadržaj
Blokirali ste korisnika/cu @RocChalkRad
Jeste li sigurni da želite vidjeti te tweetove? Time nećete deblokirati korisnika/cu @RocChalkRad
-
Hvala. Twitter će to iskoristiti za poboljšanje vaše vremenske crte. PoništiPoništi
-
ROC of the week: 53 year old transgender woman here for screening mammogram. What are the recommendations for screening transgender patients for breast cancer? See below.
#roc#radres#FOAMrad#FOAMedpic.twitter.com/7bmzOA2r8f
Prikaži ovu nitHvala. Twitter će to iskoristiti za poboljšanje vaše vremenske crte. PoništiPoništi -
ROC Chalk proslijedio/la je Tweet
Excited to welcome Dr. Howe from
@MayoRadiology to discuss 3D printing as part of our Business Leadership series!@maceverist1#radrespic.twitter.com/1qN7SMfE7p
Hvala. Twitter će to iskoristiti za poboljšanje vaše vremenske crte. PoništiPoništi -
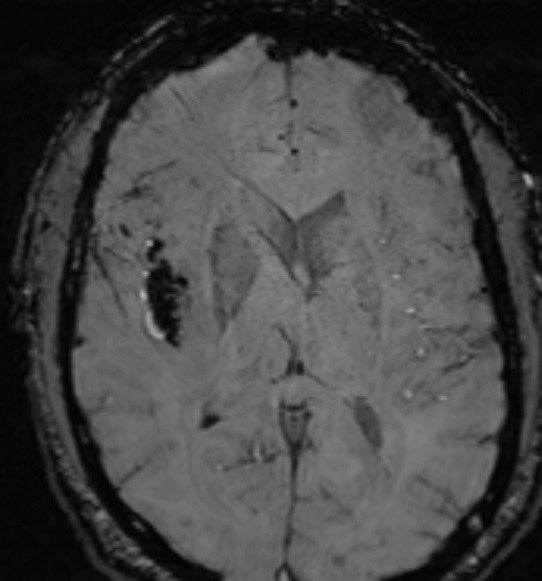
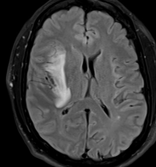
ROC of the week: Herpes encephalitis Findings: confluent FLAIR hyper intense signal involving the right temporal lobe, insula and subgenual cingulate with associated susceptibility artifact
#FOAMrad#FOAMmed#radres#neurorad#radiologypic.twitter.com/4BMDiCf5pF
Hvala. Twitter će to iskoristiti za poboljšanje vaše vremenske crte. PoništiPoništi -
Diagnosis: Mass forming Pseudoangiomatous Stromal Hyperplasia (PASH)pic.twitter.com/U7jWzcHPi7
Prikaži ovu nitHvala. Twitter će to iskoristiti za poboljšanje vaše vremenske crte. PoništiPoništi -
33 y/o F w palpable right breast mass. Mammography and targeted sonographic images below. BIRADS and differential diagnosis? Answer posted Friday.
#FOAMrad#radres@KURadiologypic.twitter.com/sBAh1Yn872
Prikaži ovu nitHvala. Twitter će to iskoristiti za poboljšanje vaše vremenske crte. PoništiPoništi -
Please check out our new weekly cases from
@KURadiology! Unknown cases will be uploaded on Thursday. Diagnosis will follow Friday. Please respond with GIFs if appropriate. Thanks to the amazing#radresidents for these cases!#FOAMrad#radresHvala. Twitter će to iskoristiti za poboljšanje vaše vremenske crte. PoništiPoništi
Čini se da učitavanje traje već neko vrijeme.
Twitter je možda preopterećen ili ima kratkotrajnih poteškoća u radu. Pokušajte ponovno ili potražite dodatne informacije u odjeljku Status Twittera.