Tweetovi
- Tweetovi, trenutna stranica.
- Tweetovi i odgovori
- Medijski sadržaj
Blokirali ste korisnika/cu @RadioGraphics
Jeste li sigurni da želite vidjeti te tweetove? Time nećete deblokirati korisnika/cu @RadioGraphics
-
New article alert! Earn SA-CME credit for a recently published
@RadioGraphics article, Imaging Evaluation of Tracheobronchial Injuries http://bit.ly/36ml2iE#RadCME#EmRadpic.twitter.com/9loRB2tWYF
Hvala. Twitter će to iskoristiti za poboljšanje vaše vremenske crte. PoništiPoništi -
RadioGraphics proslijedio/la je Tweet
NEW: A summary of chest CT findings in 2019 Novel Coronavirus provides key points for radiologists to consider as the number of reported cases continue to increase. http://bit.ly/2RWLxac
#CoronavirusUpdate#CTRadpic.twitter.com/jJVItcP1AJ
Hvala. Twitter će to iskoristiti za poboljšanje vaše vremenske crte. PoništiPoništi -
RadioGraphics proslijedio/la je Tweet
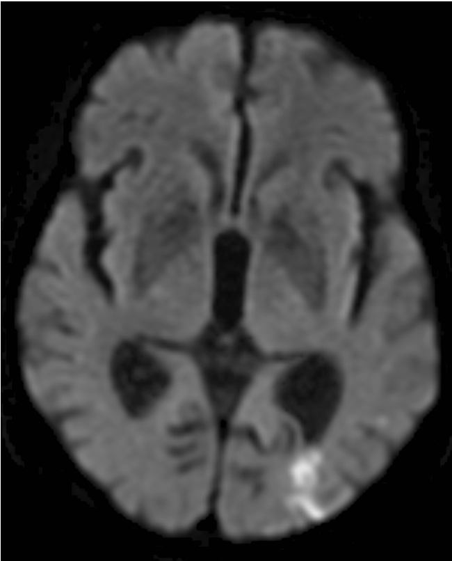
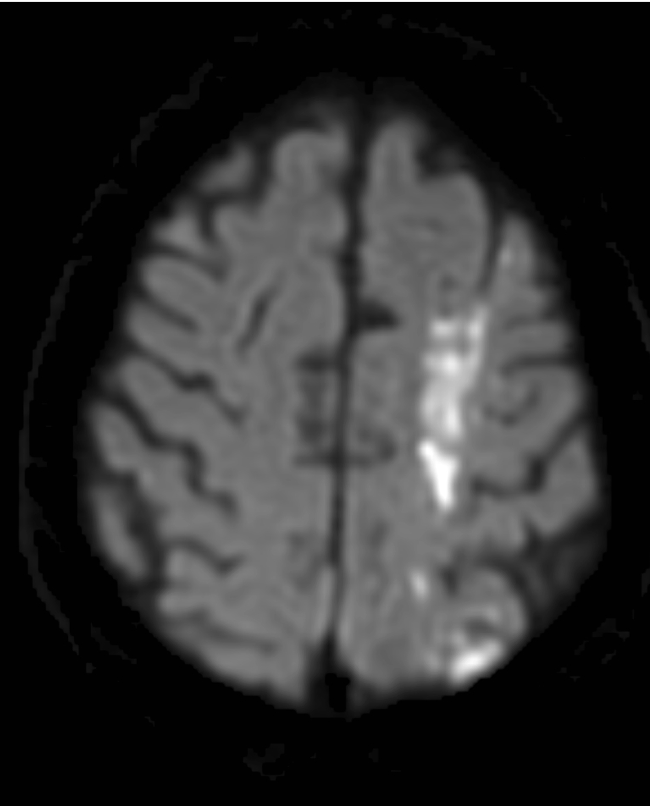
Border zone infarcts often tell a story. Unilateral cerebrum? Think proximal stenosis. Bilateral cerebrum & cerebellum? Think systemic event. In this case, nasopharyngeal ca → ICA occlusion → symptomatic border zone infarcts. See http://bit.ly/2Sdu5xa to learn more!pic.twitter.com/7fYYg8aReq
Hvala. Twitter će to iskoristiti za poboljšanje vaše vremenske crte. PoništiPoništi -
RadioGraphics proslijedio/la je Tweet
BREAKING: 2019 Novel Coronavirus (2019-nCoV) CT findings are featured in this new Images in Radiology. http://bit.ly/38U3U5f
#CoronaViruspic.twitter.com/S43LREKE7j
Hvala. Twitter će to iskoristiti za poboljšanje vaše vremenske crte. PoništiPoništi -
Hvala. Twitter će to iskoristiti za poboljšanje vaše vremenske crte. PoništiPoništi
-
Artifacts and pseudolesions encountered at
#CT colonography pose a real challenge to image interpretation. Discover how implementing imaging strategies & interpretive skills can improve diagnostic accuracy. https://bit.ly/2shIrnq#RadCME#AbdRadpic.twitter.com/47txIgqsCr
Prikaži ovu nitHvala. Twitter će to iskoristiti za poboljšanje vaše vremenske crte. PoništiPoništi -
Neurodegenerative diseases resulting in dementia are a diverse and devastating group of diseases. Learn about the pertinent anatomy, imaging findings, and contrast agents used to accurately make diagnoses & direct clinical management. https://bit.ly/36FBkny
#NeuroRad#RadCMEpic.twitter.com/N3aPanWCn5
Hvala. Twitter će to iskoristiti za poboljšanje vaše vremenske crte. PoništiPoništi -
A new
@RadioGraphics vodcast is now available! Listen as@jsklein1 discusses a recently published article on musculoskeletal interventions in the hip using MRI and US. http://bit.ly/2wbPWe1#RadCME#MSKRadpic.twitter.com/QtDoP7oVIx
Hvala. Twitter će to iskoristiti za poboljšanje vaše vremenske crte. PoništiPoništi -
Hvala. Twitter će to iskoristiti za poboljšanje vaše vremenske crte. PoništiPoništi
-
Quantitative thin-section
#CT analysis has a growing role in the evaluation & management of diffuse#lungdiseases. Learn how quantitative tools can assist in disease characterization, severity assessment, & longitudinal monitoring. https://bit.ly/35E2fis#RadCME#ChestRadpic.twitter.com/IxkbVWIIXp
Prikaži ovu nitHvala. Twitter će to iskoristiti za poboljšanje vaše vremenske crte. PoništiPoništi -
#OrganTransplants can save the lives of children, but posttransplant lymphoproliferative disorder can arise as a result of immune suppression. Marie et al present a 360-degree perspective on this challenging disorder. https://bit.ly/2FyWibR@OHSURadiology#RadCME#PedsRadpic.twitter.com/BBR8woAGSC
Hvala. Twitter će to iskoristiti za poboljšanje vaše vremenske crte. PoništiPoništi -
RadioGraphics proslijedio/la je Tweet
This Postoperative Orbit
@RadioGraphics article (http://bit.ly/2Q6dz0L ) is a tremendous resource for#RadRes encountering an unfamiliar device. The EX-PRESS may be mistaken for a traumatic foreign body (and vice versa). Safest to require documentation before MRI if in doubt. https://twitter.com/RSNA/status/1217461593736466434 …pic.twitter.com/2I8DFUZ1JZ
Hvala. Twitter će to iskoristiti za poboljšanje vaše vremenske crte. PoništiPoništi -
More and more
#transgender patients are undergoing gender-affirming hormone therapy and surgery, and it is increasingly important for radiologists to be aware of#breastimaging considerations and needs of these patients. https://bit.ly/2uALjfV#RadCMEpic.twitter.com/V2uBZ7IUSj
Hvala. Twitter će to iskoristiti za poboljšanje vaše vremenske crte. PoništiPoništi -
RadioGraphics proslijedio/la je Tweet
New
@Radiology_AI blog introducing our exceptional scientific editor@adeline_bio ! https://pubs.rsna.org/page/ai/blog/2020/1/introducing_dradeline_boettcher#.Xis5WPGcfT4.twitter …Hvala. Twitter će to iskoristiti za poboljšanje vaše vremenske crte. PoništiPoništi -
RadioGraphics proslijedio/la je Tweet
“RadTwitter has, in fact, become an incubator for innovation, its cognitive diversity always challenging conventional thought with alternative ideas. In this regard, Twitter has tremendous power to enable personal growth.”
@JACRJournal https://www.jacr.org/article/S1546-1440(19)31262-1/fulltext#.XiseuHq_1LE.twitter …pic.twitter.com/5Jw3AmUiu6
Hvala. Twitter će to iskoristiti za poboljšanje vaše vremenske crte. PoništiPoništi -
RadioGraphics proslijedio/la je Tweet
Whether you’re a
#MSKRad#neurorad#hnrad#bodyrad or#radres , this is a topic you want to know about. See the latest@RadioGraphics edition.@jsklein1@RSNApic.twitter.com/J88jOzCShZ
Hvala. Twitter će to iskoristiti za poboljšanje vaše vremenske crte. PoništiPoništi -
Avulsions of the hand & wrist often have a characteristic imaging appearance that relates to the intricate bone and soft-tissue anatomy, dictating the treatment options for patients with these injuries. https://bit.ly/2tLsFBm
@UofURadiology@MskUtah@UofUMedicine@UofUHealthpic.twitter.com/tLsgK5LtzX
Hvala. Twitter će to iskoristiti za poboljšanje vaše vremenske crte. PoništiPoništi -
RadioGraphics proslijedio/la je Tweet
Great question. Different radiologists are likely to answer differently. For clinical reads and tumor board discussions, I measure neck nodes in long axis.https://twitter.com/asemhabibi/status/1220107324934840321 …
Prikaži ovu nitHvala. Twitter će to iskoristiti za poboljšanje vaše vremenske crte. PoništiPoništi -
Bone and soft-tissue biopsy for diagnosis of neoplasms must be approached thoughtfully, with careful planning to avoid misdiagnosis, delayed therapy, repeated invasive procedures, and substantial patient morbidity. https://bit.ly/36EpL01
#RadCME#IRadpic.twitter.com/ePbQI7LvUY
Hvala. Twitter će to iskoristiti za poboljšanje vaše vremenske crte. PoništiPoništi -
RadioGraphics proslijedio/la je Tweet
Amazing work by Guglielmo and colleagueshttps://twitter.com/JeffersonRads/status/1219771139712520192 …
Hvala. Twitter će to iskoristiti za poboljšanje vaše vremenske crte. PoništiPoništi
Čini se da učitavanje traje već neko vrijeme.
Twitter je možda preopterećen ili ima kratkotrajnih poteškoća u radu. Pokušajte ponovno ili potražite dodatne informacije u odjeljku Status Twittera.