Tweetovi
- Tweetovi, trenutna stranica.
- Tweetovi i odgovori
- Medijski sadržaj
Blokirali ste korisnika/cu @Nephro_Sparks
Jeste li sigurni da želite vidjeti te tweetove? Time nećete deblokirati korisnika/cu @Nephro_Sparks
-
Prikvačeni tweet
Very proud to be part of this paper. Pushing envelope of
#MedEd is what we all strive to do-@ssfarouk &@RachelHilburg doing this on a very high level. Publish/share what you do. Overcome obstacles put in path. Success is helping others achieve/learn.#FOAMed@Neph_Simhttps://twitter.com/ssfarouk/status/1189514421456035840 …
Hvala. Twitter će to iskoristiti za poboljšanje vaše vremenske crte. PoništiPoništi -
Hvala. Twitter će to iskoristiti za poboljšanje vaše vremenske crte. PoništiPoništi
-
Matthew Sparks, MD, FASN, FAHA proslijedio/la je Tweet
It's almost time to party
We will reveal the #NephMadness 2020 bracket on Friday, March 13. If you want to organize a#NephMadnessParty, set it up btwn March 16-April 3. *Pro Tip: Put this on your group calendar now. Yes, now! Last year's winner: https://buff.ly/2UdeNev pic.twitter.com/dMZePmSo7G
Hvala. Twitter će to iskoristiti za poboljšanje vaše vremenske crte. PoništiPoništi -
Matthew Sparks, MD, FASN, FAHA proslijedio/la je Tweet
Urine Sediment of the Month: A Case of Recurrent "Sinus Infections," Pyuria, & Hematuria - https://www.renalfellow.org/2020/02/03/urine-sediment-of-the-month-a-case-of-recurrent-sinus-infections-pyuria-hematuria/ …
#SpinUrine#UrineMicroscopy@jrseltzerpic.twitter.com/xhT83QnxLP
Hvala. Twitter će to iskoristiti za poboljšanje vaše vremenske crte. PoništiPoništi -
And
@jrseltzer does it again Can’t wait for the urine microscopy workshop at@KIDNEYcon

https://twitter.com/renalfellowntwk/status/1224537762528817152 …
Hvala. Twitter će to iskoristiti za poboljšanje vaše vremenske crte. PoništiPoništi -
Matthew Sparks, MD, FASN, FAHA proslijedio/la je Tweet
Improved outcomes after living donor
#kidneytransplant for septuagenarians (70 - 79 y) https://doi.org/10.1111/ctr.13808 …#VisualAbstract#DonateLife#LivingDonation@Errantnephronpic.twitter.com/uCE2CUyltI
Hvala. Twitter će to iskoristiti za poboljšanje vaše vremenske crte. PoništiPoništi -
Looking forward to the annual
@nkfnc Triangle Area Fellows Night sponsored by NC Nephrology, Central Carolina Kidney Associates, and Durham Nephrology fellows from@UNCKidney@DukeKidney coming together@kimchikidney@cjdiamantidis@KanuObiajulu@mattysincspic.twitter.com/svVV71KRMZ
Hvala. Twitter će to iskoristiti za poboljšanje vaše vremenske crte. PoništiPoništi -
Matthew Sparks, MD, FASN, FAHA proslijedio/la je Tweet
Congratulations Dr. Aylin Rodan on receiving the 2020 Lazaro Mandel Young Investigator Award & Dr. Brandi Wynne
@brandimwynne on receiving the 2020 Ryuji Ueno Award
#SoProud@APSPhysiology@UofUHealth@womeninnephroHvala. Twitter će to iskoristiti za poboljšanje vaše vremenske crte. PoništiPoništi -
Matthew Sparks, MD, FASN, FAHA proslijedio/la je Tweet
Sharing our love for
#nephrology with@IcahnMountSinai medical students#NephForwardpic.twitter.com/8pRrmH5fwi
Hvala. Twitter će to iskoristiti za poboljšanje vaše vremenske crte. PoništiPoništi -
Matthew Sparks, MD, FASN, FAHA proslijedio/la je Tweet
Dr. Scherly Leon is a nephrologist and author in NYC. She is also a WIN councilor. http://scherlyleonmd.com/
#BlackHistoryMonth
pic.twitter.com/XmyTKoU4LJ
Prikaži ovu nitHvala. Twitter će to iskoristiti za poboljšanje vaše vremenske crte. PoništiPoništi -
Matthew Sparks, MD, FASN, FAHA proslijedio/la je Tweet
Monoclonal gammopathy of renal significance (MGRS) disorders covered by the Kidney Biopsy of the Month series.
@glom_busterMD@Cortesi_MD@tiff_shao@dinmanephro@UCSFNephrology@UChicagoPath@ChangUCanSpare@hawkssox@vighnesh_w https://www.renalfellow.org/tag/myeloma/ pic.twitter.com/xIf0PhfnU1
Hvala. Twitter će to iskoristiti za poboljšanje vaše vremenske crte. PoništiPoništi -
Matthew Sparks, MD, FASN, FAHA proslijedio/la je Tweet
Hey
@unicode@Emojipedia
We need an emoji for the #Kidney Illustration from@VectorStock RT
if you agree
#NephTwitter#AskRenal#Nephrologypic.twitter.com/9Tvy3GAteJ
Hvala. Twitter će to iskoristiti za poboljšanje vaše vremenske crte. PoništiPoništi -
Matthew Sparks, MD, FASN, FAHA proslijedio/la je Tweet
Publishing in
@nature in 2020 vs in 1996- a case tweet: For a class, I read the original Smad4 paper by@LabMassague, published in 1996 That same week, the same lab published in the same journal on the same pathway- what was different? (Besides the font!)pic.twitter.com/l3PWQjJkZm
Prikaži ovu nitHvala. Twitter će to iskoristiti za poboljšanje vaše vremenske crte. PoništiPoništi -
Matthew Sparks, MD, FASN, FAHA proslijedio/la je Tweet
Today is the day!! Trainee travel award application due date is today (Feb 1)!!! Get yours in now April 16-19 Little Rock, AR
@NSMCInternship@NephJC@Neph_SIM@RenalFellowNtwk@NephJC_Podcast http://kidneycon.org/registration pic.twitter.com/eyaeQgZrMZ
Hvala. Twitter će to iskoristiti za poboljšanje vaše vremenske crte. PoništiPoništi -
Episode #10 of
@NephJC_Podcast is out The filtrate talking difelikefalin (how do you say that anyway) and the CALM-1 trial for uremic pruritus.
@jenniejlin@kidney_boy@hswapnil@ssfaroukhttp://www.nephjc.com/freelyfiltered/2019/12/freely-filtered-010-difelikefalin …Hvala. Twitter će to iskoristiti za poboljšanje vaše vremenske crte. PoništiPoništi -
Matthew Sparks, MD, FASN, FAHA proslijedio/la je Tweet
From
@RenalFellowNtwk A Case of Primary Hyperoxaluria Type 1 & Combined Liver-Kidney Transplant@Nephro_Sparks@beans_sam@ssfaroukhttp://asn.kdny.info/PVCT50yarXcHvala. Twitter će to iskoristiti za poboljšanje vaše vremenske crte. PoništiPoništi -
Matthew Sparks, MD, FASN, FAHA proslijedio/la je Tweet
We've announced our new Chief Residents for the 2021-2022 academic year! READ: https://tinyurl.com/qvqa737 pic.twitter.com/1owpy7Em9Z
Hvala. Twitter će to iskoristiti za poboljšanje vaše vremenske crte. PoništiPoništi -
Matthew Sparks, MD, FASN, FAHA proslijedio/la je Tweet
The inaugural post of the
#KidneyTransplant Series: A Case of Primary#Hyperoxaluria Type 1 & Combined Liver-Kidney Transplant#LiverTransplant@beans_sam@LVRiella@WUNephrology https://www.renalfellow.org/2020/01/31/a-case-of-primary-hyperoxaluria-type-1-combined-liver-kidney-transplant/ …pic.twitter.com/ZVtQYrK38sHvala. Twitter će to iskoristiti za poboljšanje vaše vremenske crte. PoništiPoništi -
Matthew Sparks, MD, FASN, FAHA proslijedio/la je Tweet
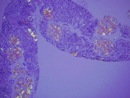
Have a pretty
#nephrology image that you want featured on the RFN home page background? Send us a DM! https://www.renalfellow.org/ Thanks to@arkanalabs for our newest image of fibronectin glomerulopathy
#FOAMed#TipsforNephFellows@ssfarouk@kantsmd@Nephro_Sparkspic.twitter.com/TcviZAJJFc
Hvala. Twitter će to iskoristiti za poboljšanje vaše vremenske crte. PoništiPoništi -
Matthew Sparks, MD, FASN, FAHA proslijedio/la je Tweet
Are you a nephrology fellow looking for a conference of course to attend? Check out this list:http://ow.ly/VhHE50xYVQh
Hvala. Twitter će to iskoristiti za poboljšanje vaše vremenske crte. PoništiPoništi -
Matthew Sparks, MD, FASN, FAHA proslijedio/la je Tweet
Check it out another great Curbsiders episode with
@kidney_boy, and don’t forget to check out KidneyCon 2020#tipsfornephfellowshttps://thecurbsiders.com/podcast/192-dialysis …Prikaži ovu nitHvala. Twitter će to iskoristiti za poboljšanje vaše vremenske crte. PoništiPoništi
Čini se da učitavanje traje već neko vrijeme.
Twitter je možda preopterećen ili ima kratkotrajnih poteškoća u radu. Pokušajte ponovno ili potražite dodatne informacije u odjeljku Status Twittera.