Tweetovi
- Tweetovi, trenutna stranica.
- Tweetovi i odgovori
- Medijski sadržaj
Blokirali ste korisnika/cu @NephroP
Jeste li sigurni da želite vidjeti te tweetove? Time nećete deblokirati korisnika/cu @NephroP
-
Prikvačeni tweet
Time for a new pinned tweet
Here are some resources for #nephrology -related#POCUS http://Nephropocus.com is structured to succinctly discuss various POCUS scenarios as well as summarize the growing body of evidence. Also, I will keep doing the short videos.pic.twitter.com/Rxz8U4rMf4
Prikaži ovu nitHvala. Twitter će to iskoristiti za poboljšanje vaše vremenske crte. PoništiPoništi -
Interesting slide. These are not disadvantages of
#POCUS but hurdles involved in setting up a program/US service. Moreover, billing/documentation is a way to offset the costs of the equipment. Above all,#POCUS#IMPOCUS is good for our patients and enhaces#MedEd
https://twitter.com/PleuralPOCUS/status/1224352940334505986 …
Hvala. Twitter će to iskoristiti za poboljšanje vaše vremenske crte. PoništiPoništi -
NephroPOCUS proslijedio/la je Tweet
Look at the axial CT scan of the abdomen. What would you expect to hear on cardiac exam? Valvular pathology/diagnosis? See thread.
#FOAMed#medtwitter#MedEd#POCUS#IMPOCUS#FOAMus#EchoFirst#medstudenttwitterpic.twitter.com/UfoGyGjARF
Prikaži ovu nitHvala. Twitter će to iskoristiti za poboljšanje vaše vremenske crte. PoništiPoništi -
NephroPOCUS proslijedio/la je Tweet
M/65. Syncope, no dyspnea/pain. Sinus tach, RR 24, SpO2 95%, BP 109/70. ECG - NO signs of RV strain.
#POCUS signs of right heart strain = anticoagulation initiated, with preparedness for lytic if deterioration. CT confirmed pulmonary embolism 30 min later.pic.twitter.com/eo3xjMjP1UHvala. Twitter će to iskoristiti za poboljšanje vaše vremenske crte. PoništiPoništi -
NephroPOCUS proslijedio/la je Tweet
Thanks :) conceptualized by
@cmoore433 and written by@EmergNSea@Yale_EUS, been teaching this since for a long timehttps://twitter.com/nephrop/status/1223313291574988802 …
Hvala. Twitter će to iskoristiti za poboljšanje vaše vremenske crte. PoništiPoništi -
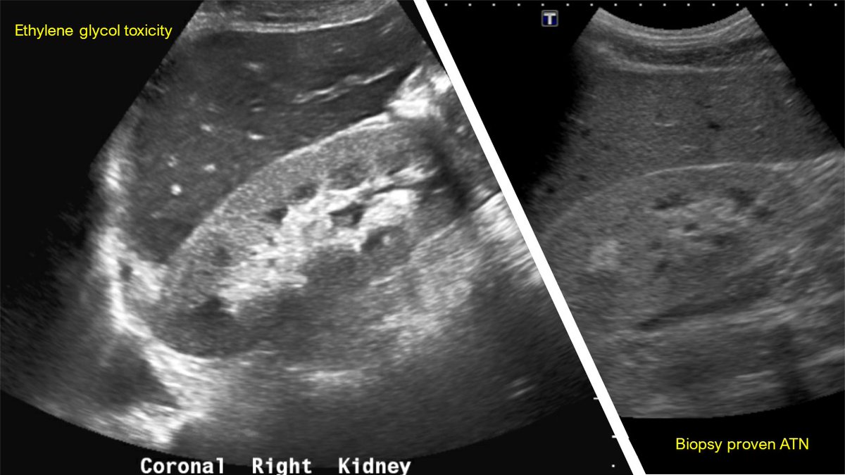
Important
#POCUS teaching point
Here are two similar ones (tubular injury): https://twitter.com/VelezNephHepato/status/1223686991746928641 …pic.twitter.com/OFcocZUuZF
Hvala. Twitter će to iskoristiti za poboljšanje vaše vremenske crte. PoništiPoništi -
NephroPOCUS proslijedio/la je Tweet
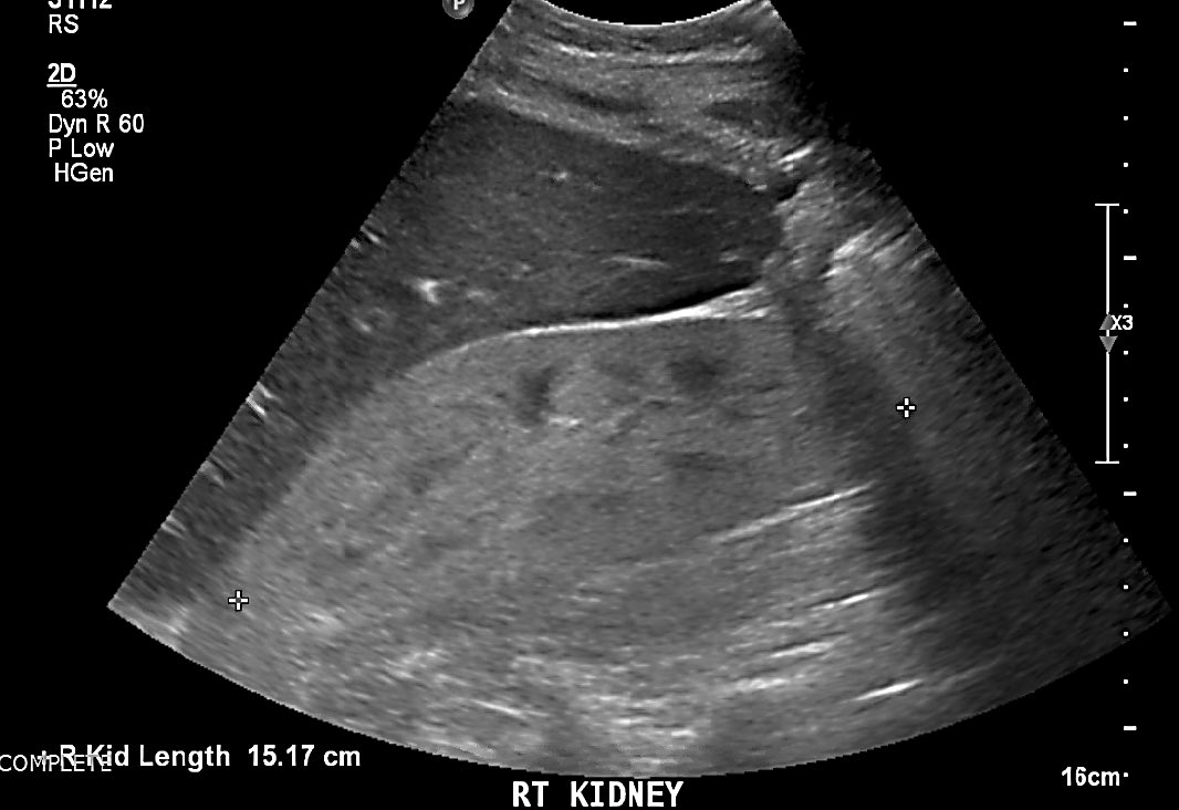
Nice example of a hyperechogenic kidney. Biopsy showed C3-GN with only 5% IFTA & zero obsolescent gloms; “echogenic kidneys” in isolation is never a contraindication for kidney biopsy.
#renalimaging#NephPOCUS#renalultrasound#kidneyimaging#nephropic@OchsnerNephropic.twitter.com/G48zhkwH3X
Prikaži ovu nitHvala. Twitter će to iskoristiti za poboljšanje vaše vremenske crte. PoništiPoništi -
NephroPOCUS proslijedio/la je TweetHvala. Twitter će to iskoristiti za poboljšanje vaše vremenske crte. PoništiPoništi
-
#POCUS guided placement of an intrauterine urinary catheter in the setting of disseminated intravascular coagulation. Interesting case report: https://www.ncbi.nlm.nih.gov/pubmed/31982201#emergencymedicinepic.twitter.com/DIlGimKa1w
Hvala. Twitter će to iskoristiti za poboljšanje vaše vremenske crte. PoništiPoništi -
NephroPOCUS proslijedio/la je Tweet
Tricuspid Annular Plane of Systolic Excursion (TAPSE) for the Evaluation of Patients with Severe Sepsis and Septic Shock.
#POCUS https://escholarship.org/uc/item/1rw7258p …Hvala. Twitter će to iskoristiti za poboljšanje vaše vremenske crte. PoništiPoništi -
NephroPOCUS proslijedio/la je Tweet
#POCUS Scanning done before any medical intervention.#IVC long axis: 100% insp collapsepic.twitter.com/3BMF1CbWYNPrikaži ovu nitHvala. Twitter će to iskoristiti za poboljšanje vaše vremenske crte. PoništiPoništi -
NephroPOCUS proslijedio/la je TweetHvala. Twitter će to iskoristiti za poboljšanje vaše vremenske crte. PoništiPoništi
-
NephroPOCUS proslijedio/la je Tweet
M-mode line should be parallell with the direction of the annular motion to avoid angular distortion, and the motion should be measured along the steepest unbroken line to avoid structures moving in or out of the M-mode. Caliper or slope doesn’t matter, software gives vertical
Hvala. Twitter će to iskoristiti za poboljšanje vaše vremenske crte. PoništiPoništi -
Interesting way of describing cardiac
#POCUS : 5 Es#MedEd#echofirst#IMPOCUSpic.twitter.com/pK3buJIvMe
Hvala. Twitter će to iskoristiti za poboljšanje vaše vremenske crte. PoništiPoništi -
NephroPOCUS proslijedio/la je Tweet
If machine does it....it will do the vertical distance for TAPSE. If measuring manually via A4C view, I use the vertical distance. For Subcostal SEATAK, I use the slope for TAPSE.
Hvala. Twitter će to iskoristiti za poboljšanje vaše vremenske crte. PoništiPoništi -
NephroPOCUS proslijedio/la je Tweet
And remember that angle deviation OVERESTIMATES TAPSE but UNDERESTIMATES S’ and other velocities.
Hvala. Twitter će to iskoristiti za poboljšanje vaše vremenske crte. PoništiPoništi -
NephroPOCUS proslijedio/la je Tweet
My answer (of course)-POCUS. AAA measured 10.9 cm so not Giant AAA by definition (Giant > 11 cm). Article has case of 18 cm AAA non ruptured. Largest reported 25 cm non ruptured! Never let giant size dissuade you from AAA consideration. https://www.ncbi.nlm.nih.gov/pmc/articles/PMC5757755/ …pic.twitter.com/6ft2yNoqg5
Prikaži ovu nitHvala. Twitter će to iskoristiti za poboljšanje vaše vremenske crte. PoništiPoništi -
NephroPOCUS proslijedio/la je Tweet
Bedside Ultrasound: A Primer For Clinical Integration, 2nd Edition for international shipping:https://ccusinstitute.wixsite.com/ccus/product-page/bedside-ultrasound-a-primer-for-clinical-integration-2nd-edition …
Hvala. Twitter će to iskoristiti za poboljšanje vaše vremenske crte. PoništiPoništi -
What is the correct way of doing TAPSE on cardiac
#POCUS? I do the second one (peak to trough straight) [that's the way I learnt] but noticed some people/articles doing as in the first image (slope). Does it matter? (I assume it does)@KalagaraHari@load_dependent@ArgaizRpic.twitter.com/9nUH7yvmts
Hvala. Twitter će to iskoristiti za poboljšanje vaše vremenske crte. PoništiPoništi -
NephroPOCUS proslijedio/la je Tweet
Made this picture years ago....
@iceman_ex . Note, movement is critical for recognising B lines, so stills do not do justice. https://twitter.com/load_dependent/status/1223024554550996992 …pic.twitter.com/Uti4SQ0H5q
Hvala. Twitter će to iskoristiti za poboljšanje vaše vremenske crte. PoništiPoništi -
NephroPOCUS proslijedio/la je Tweet
Ok
#POCUS fans let’s settle this once and for all. Best probe and settings (depth, gain, frequency) for seeing B-lines.@NephroP@UltrasoundJelly@zedunow@bedsidesono@EMedCurious@ArgaizR@thepocusatlas@nobleultrasound@kyliebaker888@CriticalCareNow@CreaghBPrikaži ovu nitHvala. Twitter će to iskoristiti za poboljšanje vaše vremenske crte. PoništiPoništi
Čini se da učitavanje traje već neko vrijeme.
Twitter je možda preopterećen ili ima kratkotrajnih poteškoća u radu. Pokušajte ponovno ili potražite dodatne informacije u odjeljku Status Twittera.
I Tweets=own
