Tweetovi
- Tweetovi, trenutna stranica.
- Tweetovi i odgovori
- Medijski sadržaj
Blokirali ste korisnika/cu @NYUDataScience
Jeste li sigurni da želite vidjeti te tweetove? Time nećete deblokirati korisnika/cu @NYUDataScience
-
NYU Data Science proslijedio/la je Tweet
Had a great time talking about T5 and chatting with students
@NYUDataScience yesterday! I'm waiting to put slides online until I finish annotating them; in the meantime here is a recording of the same talk from when I gave it@allen_ai earlier this month: https://www.youtube.com/watch?v=eKqWC577WlI …https://twitter.com/sleepinyourhat/status/1222553470827405312 …
Prikaži ovu nitHvala. Twitter će to iskoristiti za poboljšanje vaše vremenske crte. PoništiPoništi -
NYU Data Science proslijedio/la je Tweet
.
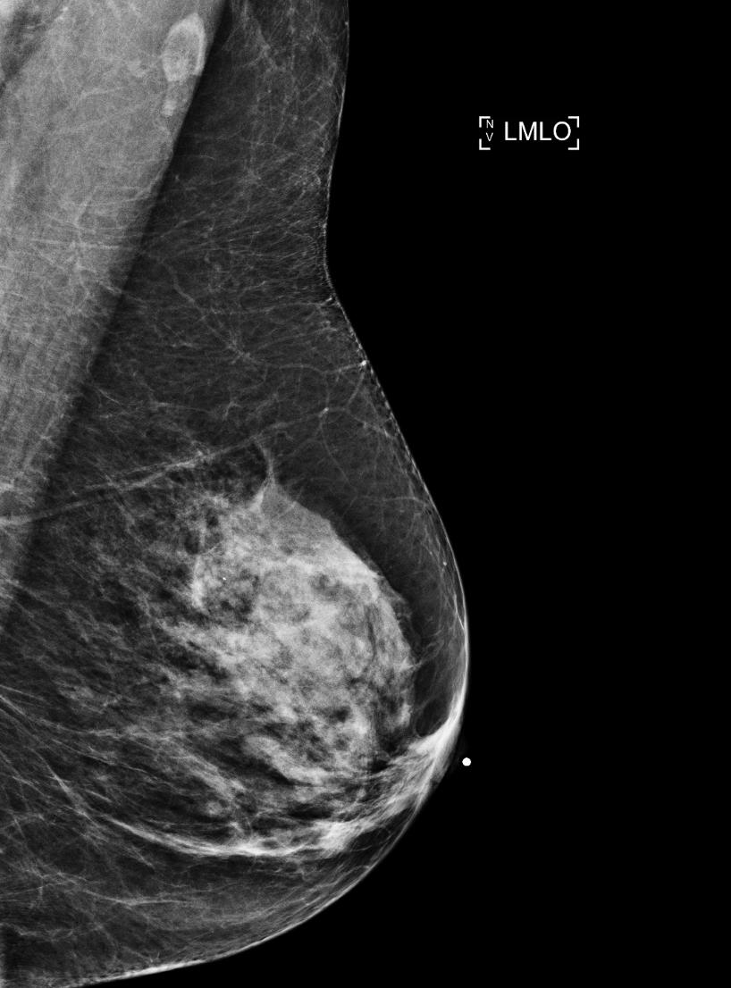
@kjgeras and@NanWu__, researchers at@nyuschoolofmed and@NYUDataScience, have created an AI diagnostic tool that's helping doctors detect breast cancer with more accuracy. Learn more about this important work on the new episode of "NYU Brainiacs": http://spr.ly/60151esTz pic.twitter.com/pGyfMRK20BHvala. Twitter će to iskoristiti za poboljšanje vaše vremenske crte. PoništiPoništi -
NYU Data Science proslijedio/la je Tweet
i wanted to briefly share why i joined
@NYUDataScience 5yrs ago and how i've liked it so far: https://sites.google.com/site/deepernn/home/blog/nyucenterfordatasciencewhatisintelligence …Hvala. Twitter će to iskoristiti za poboljšanje vaše vremenske crte. PoništiPoništi -
Researchers at the NYU Center for Data Science and the NYU School of Medicine have created an AI diagnostic tool that's helping doctors detect breast cancer with more accuracy. Follow this link to check out more: https://www.youtube.com/watch?time_continue=1&v=urJ7QEdhP_U&feature=emb_logo …pic.twitter.com/aHvfHEU8sE
Hvala. Twitter će to iskoristiti za poboljšanje vaše vremenske crte. PoništiPoništi -
We are pleased to launch our Executive Education course for Spring 2020! “Predictive Analytics for Business Analysts: Using AI to Drive Strategy” is specifically curated to match the needs of executive professionals. Link below for more info.
Hvala. Twitter će to iskoristiti za poboljšanje vaše vremenske crte. PoništiPoništi -
NYU Data Science proslijedio/la je Tweet
Our “mining gold from implicit models to improve likelihood-free inference” paper was finally accepted to PNAS!
It was an epic adventure in publishing cross-disciplinary research @NYUDataScience@glouppe@juanpavez Johann Brehmer https://arxiv.org/abs/1805.12244Hvala. Twitter će to iskoristiti za poboljšanje vaše vremenske crte. PoništiPoništi -
NYU Data Science proslijedio/la je Tweet
.
@kchonyc titles his talk with a riddle, but assures is it works really well
seriously though, there is so much overlap between jet physics and machine translation! #ML4Jets@NYUDataScience (@stanfordnlp )pic.twitter.com/MQDmQViLM9
Hvala. Twitter će to iskoristiti za poboljšanje vaše vremenske crte. PoništiPoništi -
NYU Data Science proslijedio/la je Tweet
Hi!
@NYUDataScience is hiring lots of faculty. Have a look and feel free to DM me if you are interested and/or have questions. We're looking for great data science teachers for a clinical role, and also lots of usual T/TT stuff, too! Come work with me/us! https://cds.nyu.edu/our-people/jobs/ …!Prikaži ovu nitHvala. Twitter će to iskoristiti za poboljšanje vaše vremenske crte. PoništiPoništi -
NYU Data Science proslijedio/la je Tweet
Heiko Mueller demos Reproducible Open Benchmarks (ROB) for automating challenges and benchmarking. It can use
@reanahub for backend processing.@iris_hep@NYUDataScience Code Repositories for ROB https://github.com/scailfin/rob-core … https://github.com/scailfin/rob-webapi-flask … https://github.com/scailfin/rob-ui pic.twitter.com/HOs6N3Itei
Prikaži ovu nitHvala. Twitter će to iskoristiti za poboljšanje vaše vremenske crte. PoništiPoništi -
NYU Data Science proslijedio/la je Tweet
looking forward to this biased intro to optimal transport by Jonathan Niles-Weed of
@NYUDataScience at#ml4jetspic.twitter.com/KttapAv7uw
Hvala. Twitter će to iskoristiti za poboljšanje vaše vremenske crte. PoništiPoništi -
Ever wondered what it would be like to work or teach at CDS? Now is the time to find out!
@NYUDataScience is looking for applicants for our Clinical Faculty position. Check out this and other career opportunities below. We look forward to meeting you! https://cds.nyu.edu/our-people/jobs/ …Hvala. Twitter će to iskoristiti za poboljšanje vaše vremenske crte. PoništiPoništi -
Interested in Data Science but still on the fence? Check out our Intro to Data Science course! Offered Mon/Weds 4:55-6:10 pm during Spring 2020pic.twitter.com/w8RQI4pqVX
Hvala. Twitter će to iskoristiti za poboljšanje vaše vremenske crte. PoništiPoništi -
@NYUDataScience is hiring! We are looking for applicants for our Clinical Faculty position. Follow the link below to check out this and other career opportunities with CDS. We look forward to meeting you! https://cds.nyu.edu/our-people/jobs/ …Hvala. Twitter će to iskoristiti za poboljšanje vaše vremenske crte. PoništiPoništi -
Congratulations to Yann LeCun (
@ylecun) for becoming a Chevalier in the French Legion of Honor! We are deeply proud of our Founding Director.https://amp.parismatch.com/Actu/Societe/Legion-d-honneur-decouvrez-la-promotion-du-Nouvel-an-1667148 …Hvala. Twitter će to iskoristiti za poboljšanje vaše vremenske crte. PoništiPoništi -
Do you have questions about our MS Data Science programs? Want to learn about what it's like to study at NYU CDS, or where a data science degree can take you? Sign up for our virtual office hours tomorrow from 9:30-10:30am (EST) Register here:
Hvala. Twitter će to iskoristiti za poboljšanje vaše vremenske crte. PoništiPoništi -
Interested in our MS Data Science programs? Want to learn about what it's like to study at NYU CDS, or where a data science degree can take you? Sign up for our virtual office hours on Tuesday 1/14 from 9:30-10:30am (EST) Register here:
Hvala. Twitter će to iskoristiti za poboljšanje vaše vremenske crte. PoništiPoništi -
Do you have questions about our MS Data Science programs? Want to learn about what it's like to study at NYU CDS, or where a data science degree can take you? Sign up for our virtual office hours on Tues. 1/14 from 9:30-10:30am (EST) Register here:
Hvala. Twitter će to iskoristiti za poboljšanje vaše vremenske crte. PoništiPoništi -
New Year, new you, new Faculty Fellows positions open at CDS! Follow link below to apply: https://cds.nyu.edu/facultyfellows/
Hvala. Twitter će to iskoristiti za poboljšanje vaše vremenske crte. PoništiPoništi -
NYU Data Science proslijedio/la je Tweet
We're hiring at postdoc at
@NYUEnvrStudies in conjunction with@NYUDataScience! Candidates with a strong data analysis and visualization background who are interested in the intersection of food, animals, and climate are highly encouraged to apply. https://cds.nyu.edu/facultyfellows/ pic.twitter.com/YNyiqzmrU9
Prikaži ovu nitHvala. Twitter će to iskoristiti za poboljšanje vaše vremenske crte. PoništiPoništi -
Have you heard? CDS Program Administrator for Admissions Tim Baker can now add Podcast Host to his title! Follow CDS’s Admissions Podcast to hear Tim speak with current MS and PhD students about the inside scoop on life as a student at CDS

Link below & find us on streaming:Hvala. Twitter će to iskoristiti za poboljšanje vaše vremenske crte. PoništiPoništi
Čini se da učitavanje traje već neko vrijeme.
Twitter je možda preopterećen ili ima kratkotrajnih poteškoća u radu. Pokušajte ponovno ili potražite dodatne informacije u odjeljku Status Twittera.