Tweetovi
- Tweetovi, trenutna stranica.
- Tweetovi i odgovori
- Medijski sadržaj
Blokirali ste korisnika/cu @NVoutsinas
Jeste li sigurni da želite vidjeti te tweetove? Time nećete deblokirati korisnika/cu @NVoutsinas
-
Prikvačeni tweet
Very excited to have been involved in the planning of the NYRS Core Exam Review Course this year. I found it very helpful to me
#radiology#boards studying last year and hope residents will this year too!@bonesz@AmishDoshiMDpic.twitter.com/tZO2mV1rev
Hvala. Twitter će to iskoristiti za poboljšanje vaše vremenske crte. PoništiPoništi -
Nicholas Voutsinas, MD proslijedio/la je Tweet
LIVE
@MountSinaiIR Our R3s are gearing up for the ABR Core Exam, we will post relevant#IRad cases/info weekly starting NOW! 1. Name the arterial collateral pathways btw the Celiac Artery
SMA?
2. What about for the SMA
IMA? #CoreIR#FOAMrad#FOAMed#radres#IRadRes#MedEdpic.twitter.com/YaCv0jOL7r
Hvala. Twitter će to iskoristiti za poboljšanje vaše vremenske crte. PoništiPoništi -
Nicholas Voutsinas, MD proslijedio/la je Tweet
LIVE
@MountSinaiIR It’s National#withoutascalpelday
What better way to celebrate than to share our awesome specialty with the next generation of #IRad! The NYC#MedicalStudent IR Symposium is underway!#MedEdpic.twitter.com/sR9uMKUkm7
Hvala. Twitter će to iskoristiti za poboljšanje vaše vremenske crte. PoništiPoništi -
Today was the graduation ceremony for a great course on medical leadership. Very grateful to
@bnickerson567,@MLEITMAN, and@SinaiMshcdl for teaching me very valuable skills I can take with me in my career going forward!pic.twitter.com/qHwFNKJrvm
Hvala. Twitter će to iskoristiti za poboljšanje vaše vremenske crte. PoništiPoništi -
Nicholas Voutsinas, MD proslijedio/la je Tweet
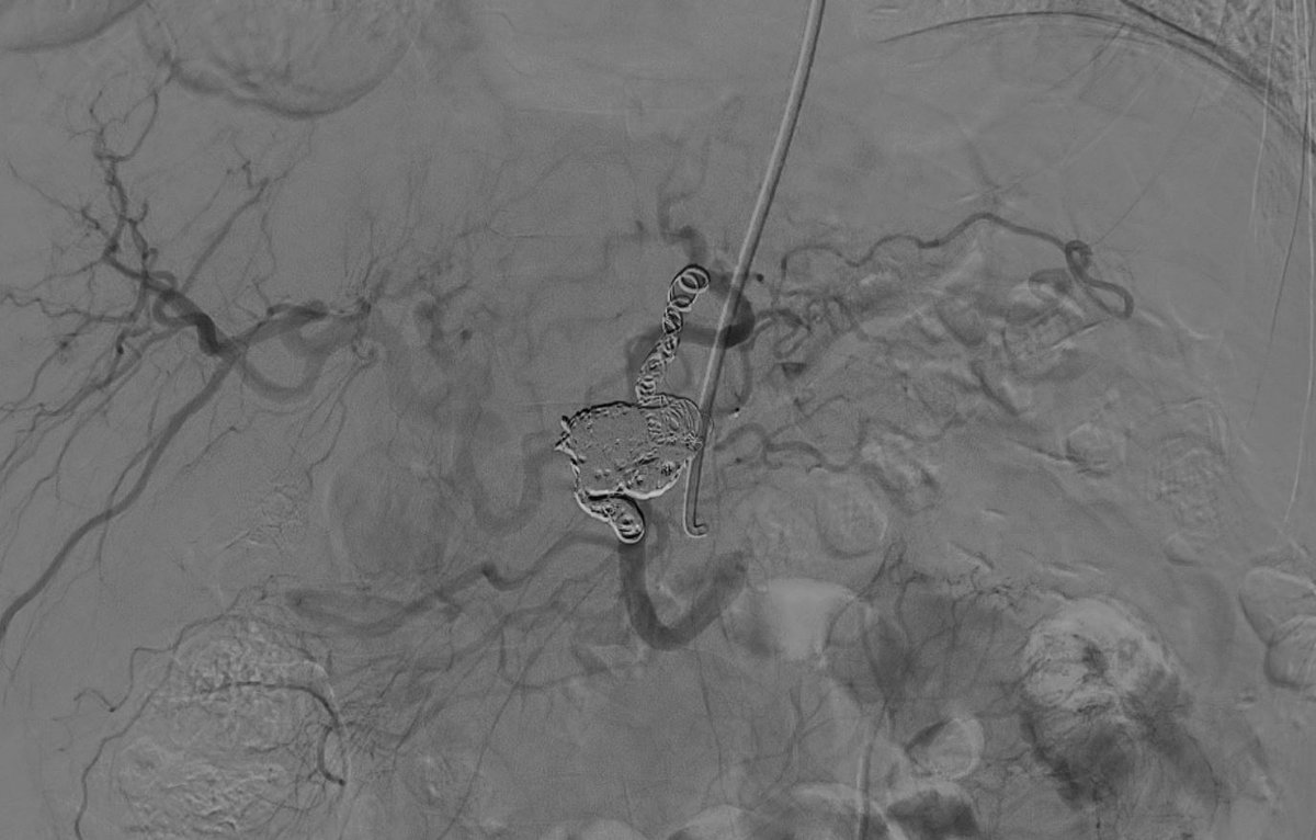
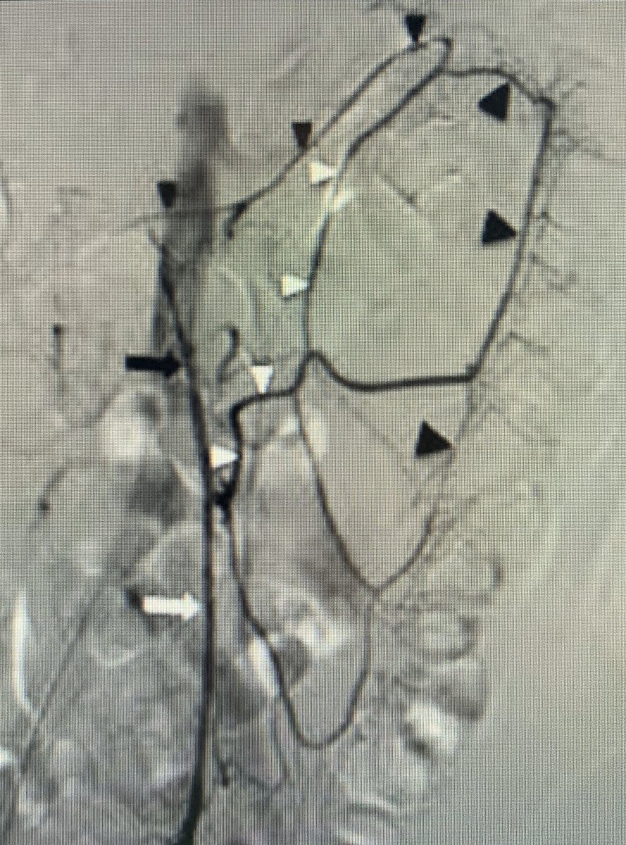
Pancreatic
#AVM with multiple arterial feeders and single outflow into splenic vein branch. Treated via#transportal approach with#coils and a plug. No more AVM. Fun way to start 2020.@MountSinaiIR@GESTSymposium@SIRspecialists@SIRRFS@ISETNewspic.twitter.com/1KRDZIJlPSHvala. Twitter će to iskoristiti za poboljšanje vaše vremenske crte. PoništiPoništi -
Live
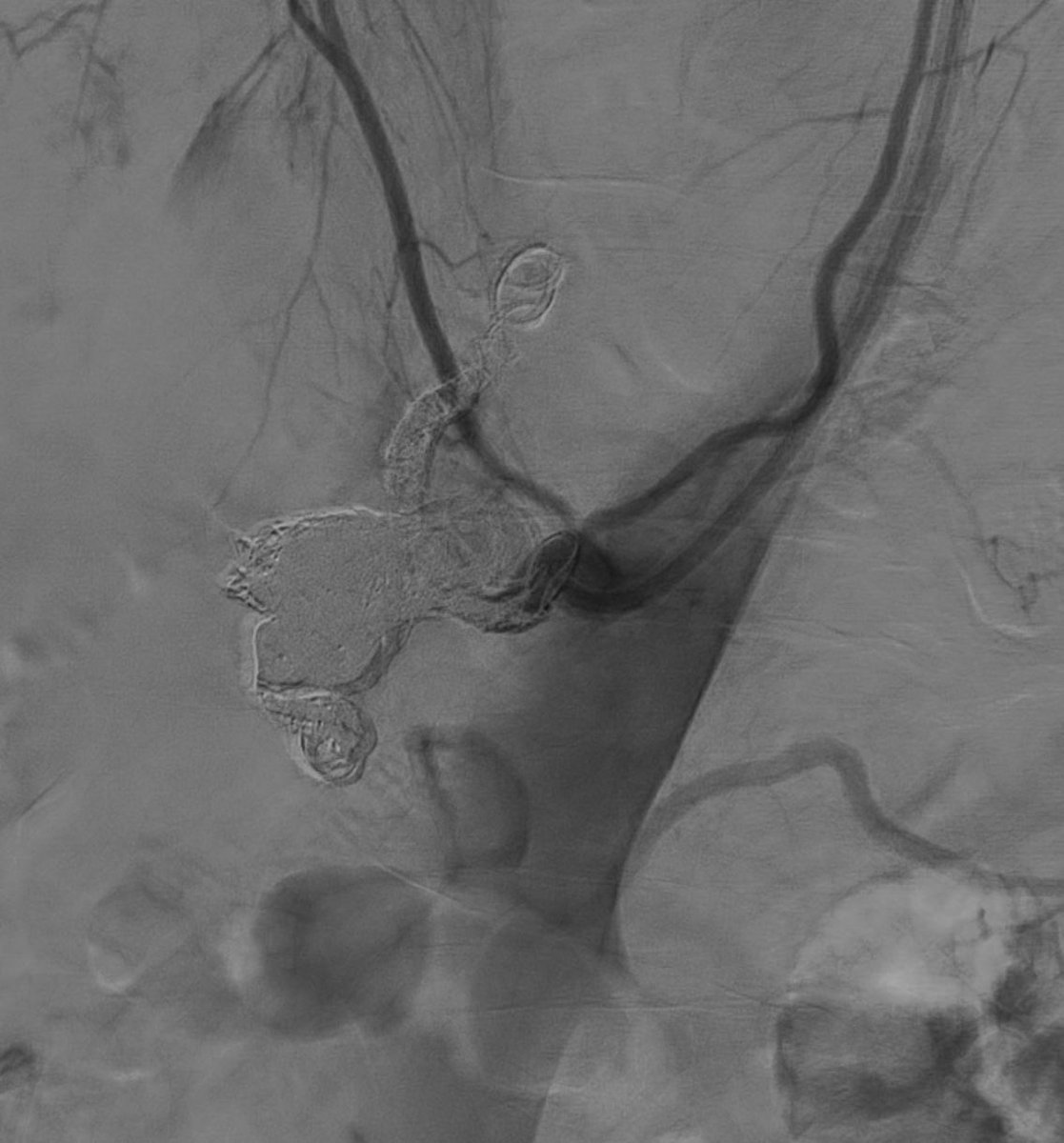
@MountSinaiIR 2.5cm celiac artery aneurysm status post coils with 21#InterlockCoils into the aneurysm and proximal branches with no more flow. Post-embolization SMA run shows collateral filling of celiac branches#IRAD#radrespic.twitter.com/cD6Y7d7Ilx
Hvala. Twitter će to iskoristiti za poboljšanje vaše vremenske crte. PoništiPoništi -
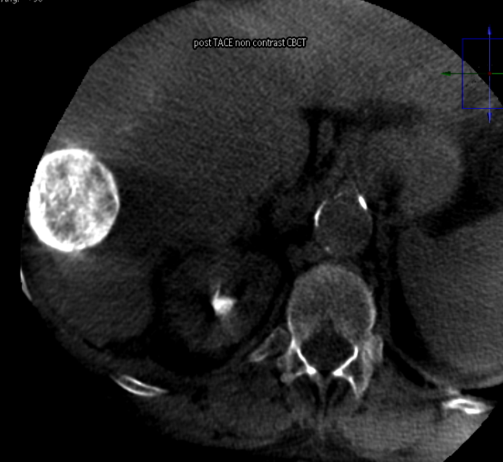
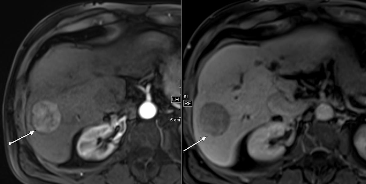
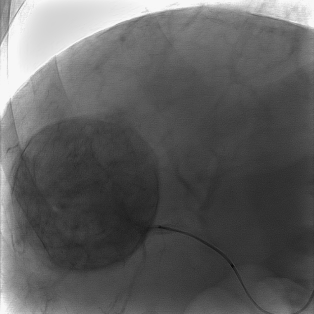
My perfect sphere HCC TACE
#radreshttps://twitter.com/bonesz/status/1207425485078224897 …
Hvala. Twitter će to iskoristiti za poboljšanje vaše vremenske crte. PoništiPoništi -
Nicholas Voutsinas, MD proslijedio/la je Tweet
Breaking
for #BPH and#PAE RANDOMIZED clinical trial of#PAE vs SHAM (#PAEvsSHAM) "Improvements in subjective and objective variables after#PAE are FAR SUPERIOR from those due to the placebo effect"
Late Dr Pisco @TiagoBilhim@nunovpcpic.twitter.com/Fsaah00WQr
Prikaži ovu nitHvala. Twitter će to iskoristiti za poboljšanje vaše vremenske crte. PoništiPoništi -
Nicholas Voutsinas, MD proslijedio/la je Tweet
Live
@MountSinaiIR first InPact AV access post market approval cases in NY performed by our own@AdFriedma at#MountSinaiWest Big Thx to@MedtronicAPV for all the support!!@SIRspecialists@ASDINNews@VascularSVS@MountSinaiNYC@ASNKidney@IcahnMountSinaipic.twitter.com/t7GT9EC7bd
Hvala. Twitter će to iskoristiti za poboljšanje vaše vremenske crte. PoništiPoništi -
Nicholas Voutsinas, MD proslijedio/la je Tweet
Pediatric patient post OLT with acute hepatic artery
#thrombosis. Little#tPA and suction thrombectomy with@PenVascular. Placed a short#DES after for residual stenosis.@JVIRmedia@SIRspecialists@ISETNews@SIRRFS@cirsesociety@socpedsirpic.twitter.com/FLiEpS8tzB – mjesto: The Mount Sinai Hospital
Hvala. Twitter će to iskoristiti za poboljšanje vaše vremenske crte. PoništiPoništi -
A little delayed, but thank you
@AuntMinnie for highlighting my QI report at#RSNA19. I enjoyed having the opportunity to present it and improve the workflow between the emergency and radiology departments.https://www.auntminnie.com/index.aspx?sec=road&sub=def&pag=dis&ItemID=127265&wf=6524 …Hvala. Twitter će to iskoristiti za poboljšanje vaše vremenske crte. PoništiPoništi -
Mount Sinai Radiology at
#RSNA19@MountSinaiIR@brett_marinellipic.twitter.com/YMRxLARpIF
Hvala. Twitter će to iskoristiti za poboljšanje vaše vremenske crte. PoništiPoništi -
Third time attending, still love to see those letters
@RSNA#RSNA19pic.twitter.com/eEe6AZgUrz
Hvala. Twitter će to iskoristiti za poboljšanje vaše vremenske crte. PoništiPoništi -
Hvala. Twitter će to iskoristiti za poboljšanje vaše vremenske crte. PoništiPoništi
-
A like late but thankful this year to have the opportunity to present at
#SIR20SEA. See everyone in Seattle!@SIRspecialists@SIRRFS@SIR_ECS#HCC#PAEpic.twitter.com/VOY8TZe143
Hvala. Twitter će to iskoristiti za poboljšanje vaše vremenske crte. PoništiPoništi -
Nicholas Voutsinas, MD proslijedio/la je Tweet
MEDICAL STUDENTS interested in Interventional Radiology?! Don’t miss our NYC
#medstudent#IRad symposium on January 16th! (without a scalpel day
). More info below
Representation from many #NYC programs! Register
https://tinyurl.com/uhx69f9 #MedEd#FutureIR#withoutascalpelpic.twitter.com/ghWWj0M5Ak
Hvala. Twitter će to iskoristiti za poboljšanje vaše vremenske crte. PoništiPoništi -
Nicholas Voutsinas, MD proslijedio/la je Tweet
As a radiologist, please don't ask me to "have a quick look" I'll do it properly or not at all
#grumpyHvala. Twitter će to iskoristiti za poboljšanje vaše vremenske crte. PoništiPoništi -
Live
@MountSinaiIR . It's#FilterFriday and my first#irad case tweet. Filter in for 8 years, but it was time to come out#filterout#GTFO@SIRspecialists@SIR_ECS#iradres#radres@IrNyrs@NYRS_RFSpic.twitter.com/v8M2iZuDAH
Hvala. Twitter će to iskoristiti za poboljšanje vaše vremenske crte. PoništiPoništi -
Nicholas Voutsinas, MD proslijedio/la je Tweet
Loved having one of my favorite mentors and role models
@MaureenKohi share her passion about#WomensHealth at@MountSinaiIR grand rounds. Always a pleasure seeing you!@UCSF_IR@UCSFimaging@womenirads#IRad#whenyourworldscollide#IRFamily@SIRspecialistspic.twitter.com/4cFvQ6y5lg
Hvala. Twitter će to iskoristiti za poboljšanje vaše vremenske crte. PoništiPoništi -
Nicholas Voutsinas, MD proslijedio/la je Tweet
LIVE
@MountSinaiIR#IRad case conference with the one and only@MaureenKohi ! What a privilege!#MedEd@UCSF_IR@SIRspecialists#radres#iradrespic.twitter.com/MZvnnjxR85
Hvala. Twitter će to iskoristiti za poboljšanje vaše vremenske crte. PoništiPoništi
Čini se da učitavanje traje već neko vrijeme.
Twitter je možda preopterećen ili ima kratkotrajnih poteškoća u radu. Pokušajte ponovno ili potražite dodatne informacije u odjeljku Status Twittera.