Tweetovi
- Tweetovi, trenutna stranica.
- Tweetovi i odgovori
- Medijski sadržaj
Blokirali ste korisnika/cu @MishiePishi
Jeste li sigurni da želite vidjeti te tweetove? Time nećete deblokirati korisnika/cu @MishiePishi
-
Misha Movahed-Ezazi, MD proslijedio/la je Tweet
It is
#NationalWomenPhysiciansDay! Today we celebrate Elizabeth Blackwell's birthday (the first woman to receive a medical degree in the United States), and every woman who practices medicine.#WIMStrongerTogetherpic.twitter.com/stgmqUe1Fn
Hvala. Twitter će to iskoristiti za poboljšanje vaše vremenske crte. PoništiPoništi -
Misha Movahed-Ezazi, MD proslijedio/la je Tweet
One of the most welcome (and overdue) changes is dropping
#Roman numerals in favor of#Arabic numerals for WHO grading. Sorry,#Caesar, you'll have to be content with salad dressing
. https://twitter.com/NeuropathClinic/status/1223511614017744900 …pic.twitter.com/6ZNZnVHBTXHvala. Twitter će to iskoristiti za poboljšanje vaše vremenske crte. PoništiPoništi -
As for more imaging information ... radiology showed an ill defined expansive heterogeneously T2 hyper-intense lesion in the left middle frontal gurus. Waiting on BRAF V600E results.
Prikaži ovu nitHvala. Twitter će to iskoristiti za poboljšanje vaše vremenske crte. PoništiPoništi -
No mitosis seems. MIB <1%. No history that we know of TSC. Waiting on molecular results. Diagnosed as a Ganglioglioma Grade I.
#pathology#neuro#neurosurgery#brain#neuropathpic.twitter.com/ewjpJz0BAm
Prikaži ovu nitHvala. Twitter će to iskoristiti za poboljšanje vaše vremenske crte. PoništiPoništi -
5 year old male with a frontal lobe lesion.
Differential? Work up? #neuro#pathology#neurosurgery#neuropath#brain#CNS#surgery
pic.twitter.com/1VjDltstUO
Prikaži ovu nitHvala. Twitter će to iskoristiti za poboljšanje vaše vremenske crte. PoništiPoništi -
Misha Movahed-Ezazi, MD proslijedio/la je Tweet
Don't miss it! the final neuro
#pathcast in the series, on hematolymphoid and secondary CNS tumors. Tuesday 1/28/2020#neuropath https://digital.pathology.johnshopkins.edu/repos/2335 pic.twitter.com/8nMISlvHZc
Hvala. Twitter će to iskoristiti za poboljšanje vaše vremenske crte. PoništiPoništi -
I have a slight obsession with crime podcasts and one of my favorites is
@AMorbidPodcast
so I had to get this awesome sweater off @MurderApparel ! Even got one of my attendings to start listening to it at work
pic.twitter.com/cTzR5hXXxkHvala. Twitter će to iskoristiti za poboljšanje vaše vremenske crte. PoništiPoništi -
Twitter world... what recommendations do you have for an aspiring neurosurgeon... research? extracurricular work? Anything during medical school that will help towards attaining a neurosurgery residency? (Clearly not for me
) #surgery#neurosurgery#CNS#brain#neuroHvala. Twitter će to iskoristiti za poboljšanje vaše vremenske crte. PoništiPoništi -
Misha Movahed-Ezazi, MD proslijedio/la je Tweet
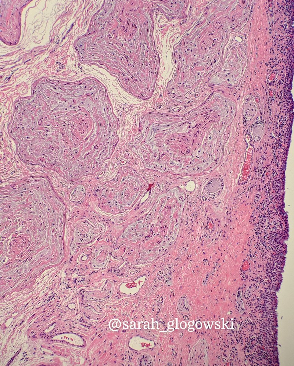
Nodular orbital mass in a child. What am I and what am I pathognomonic for? What are other clinical manifestations seen in these patients?
#pathology#PediPath#NeuroPathpic.twitter.com/NhzfliiVWW
Hvala. Twitter će to iskoristiti za poboljšanje vaše vremenske crte. PoništiPoništi -
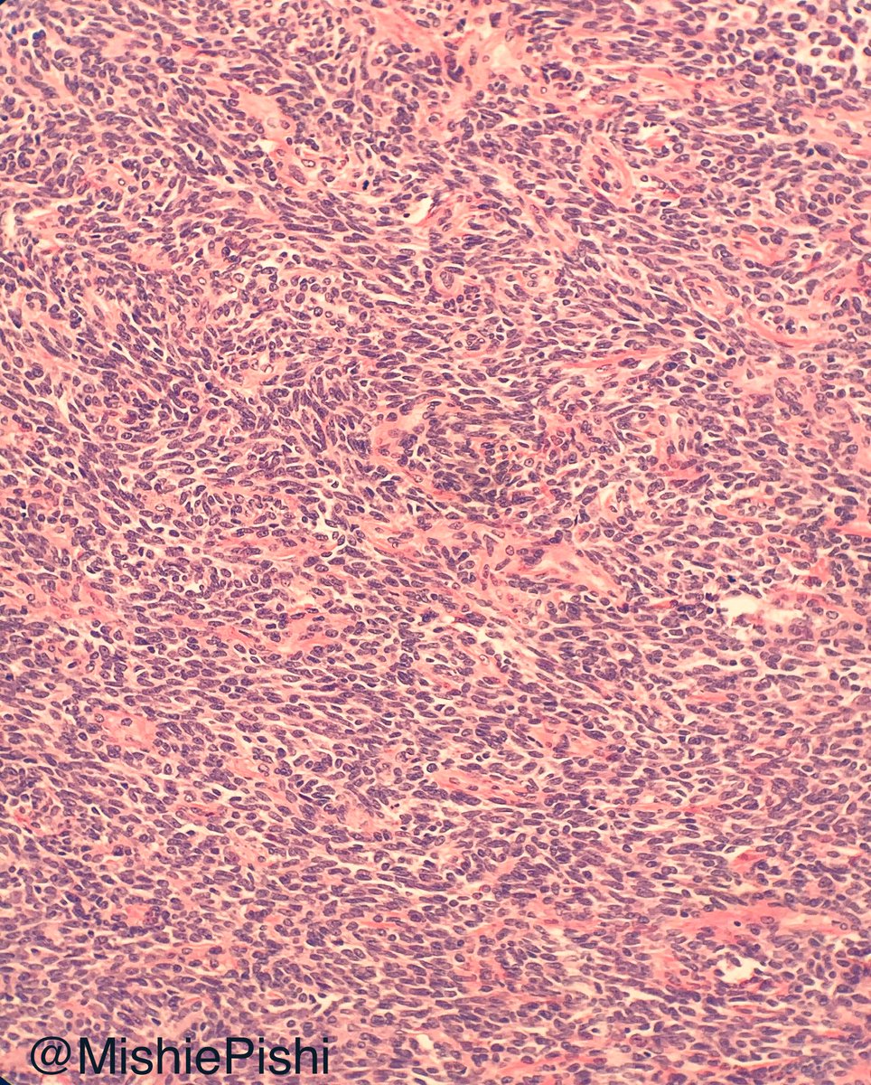
@goziemnweke posted the immunos. This is a grade 3 tumor with the hypercellularity, necrosis and >5 mitosis / 10 HPF.Prikaži ovu nitHvala. Twitter će to iskoristiti za poboljšanje vaše vremenske crte. PoništiPoništi -
CD34 is positive but focally. This focal expression is seen in the higher grade, versus when more diffuse seen in lower grade.pic.twitter.com/qLax0RN2mI
Prikaži ovu nitHvala. Twitter će to iskoristiti za poboljšanje vaše vremenske crte. PoništiPoništi -
Hvala. Twitter će to iskoristiti za poboljšanje vaše vremenske crte. PoništiPoništi
-
Hvala. Twitter će to iskoristiti za poboljšanje vaše vremenske crte. PoništiPoništi
-
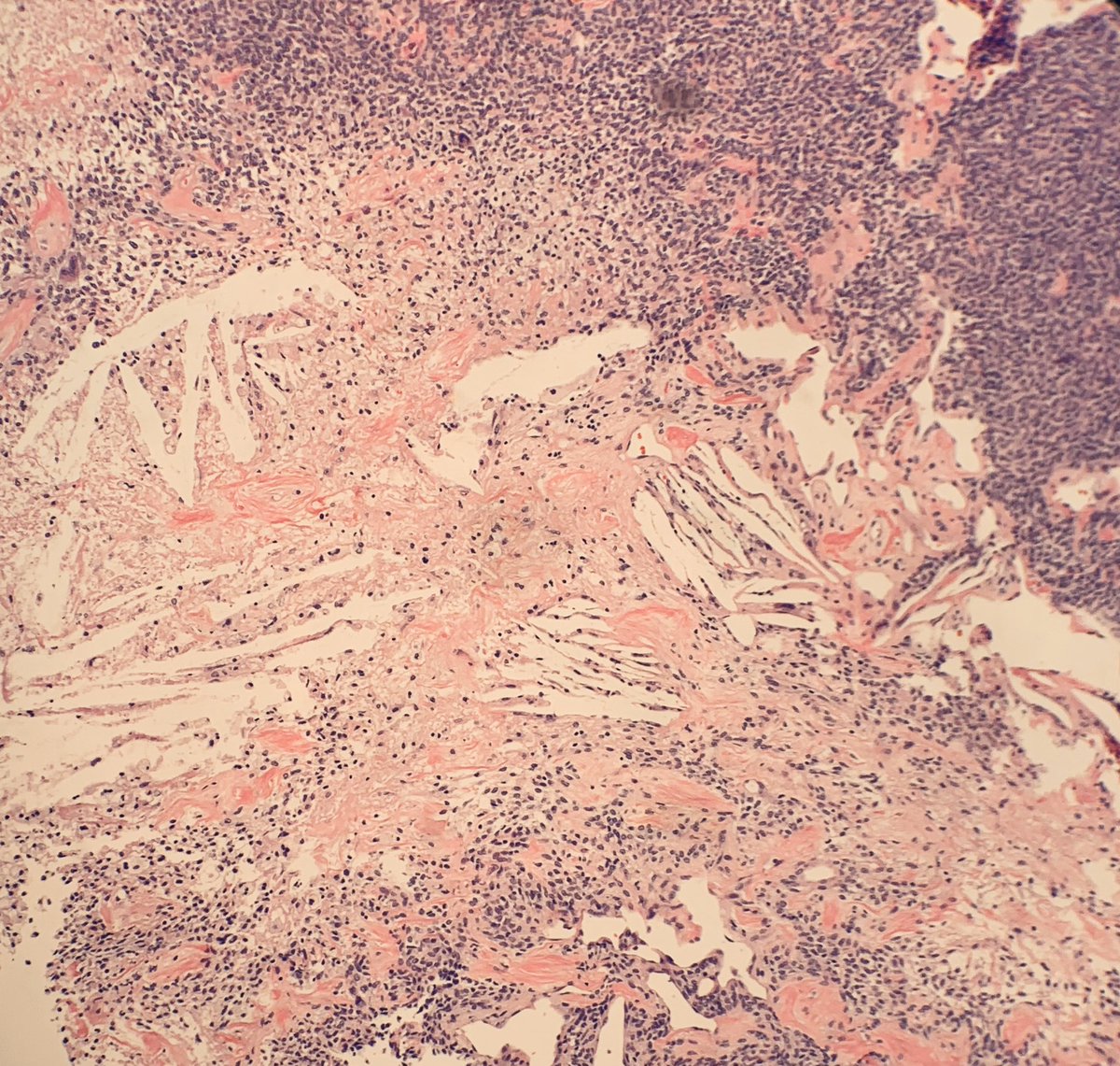
Also cholesterol clefts are seen in areas that appear necrotic.... not sure what to make of that
any thoughts? #brain#neuropath#pathologypic.twitter.com/STt56WdINC
Prikaži ovu nitHvala. Twitter će to iskoristiti za poboljšanje vaše vremenske crte. PoništiPoništi -
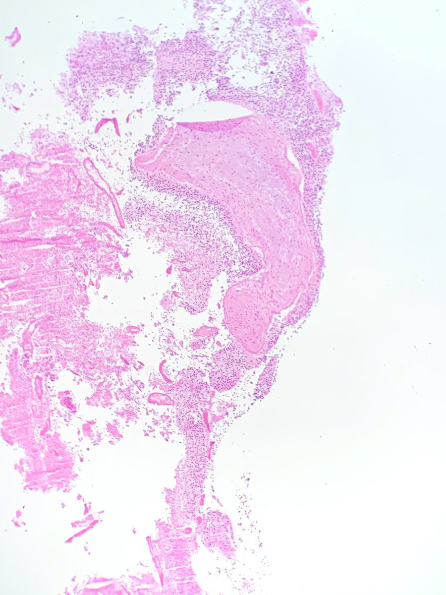
56 year old female with a right frontal mass. Immunos to come tomorrow. Differentials? Might have given it away with one specific image


#pathology#neuropath#neurosurgery#surgery#brain#CNSpic.twitter.com/RKdoqs1ZoH
Prikaži ovu nitHvala. Twitter će to iskoristiti za poboljšanje vaše vremenske crte. PoništiPoništi -
The positive immunos. What are more differentials you want to rule out?
#pathology#neuropath#neurosurgerypic.twitter.com/mrkjDSEVPw
Prikaži ovu nitHvala. Twitter će to iskoristiti za poboljšanje vaše vremenske crte. PoništiPoništi -
Hvala. Twitter će to iskoristiti za poboljšanje vaše vremenske crte. PoništiPoništi
-
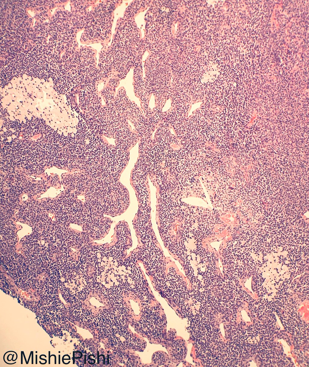
Extradural- spinal lesion in a 50 year old male. What are your differentials? Immunos to come later.
#brain#cns#pathology#neuropath#neurosurgery#surgery#neuropathology
pic.twitter.com/yjgZYV7MnL
Prikaži ovu nitHvala. Twitter će to iskoristiti za poboljšanje vaše vremenske crte. PoništiPoništi -
Morning neuro frozen. Got a chance to watch the neurosurgeons use mass spectrometry intraop in selecting lesional tissue while I waited. Fascinating!
#brain#neurosurgery#neuropath pathologypic.twitter.com/L4BnCIRwZR
Hvala. Twitter će to iskoristiti za poboljšanje vaše vremenske crte. PoništiPoništi -
Excited to be co-chiefs with
@SiddiqueA_MD . Started with little pathology experience and now co-chiefs and soon to be fellows! Hard work pays off!
#pathology#neuropathology#brain#neuro#neuropath#residencyHvala. Twitter će to iskoristiti za poboljšanje vaše vremenske crte. PoništiPoništi
Čini se da učitavanje traje već neko vrijeme.
Twitter je možda preopterećen ili ima kratkotrajnih poteškoća u radu. Pokušajte ponovno ili potražite dodatne informacije u odjeljku Status Twittera.