Tweetovi
- Tweetovi, trenutna stranica.
- Tweetovi i odgovori
- Medijski sadržaj
Blokirali ste korisnika/cu @MELanocyteMD
Jeste li sigurni da želite vidjeti te tweetove? Time nećete deblokirati korisnika/cu @MELanocyteMD
-
Prikvačeni tweet
1/10 Welcome to my first
#pathtweetorial!
I was recently gifted a lovely section of adrenal gland, so I figured: why not use it to make a guide to the kidney's most stylish (& functional) accessory?
#pathology#endopath#meded#beautyinthebenign#onepathboardpointatatimepic.twitter.com/NqC2WrrDkw
Prikaži ovu nitHvala. Twitter će to iskoristiti za poboljšanje vaše vremenske crte. PoništiPoništi -
Melanie Bourgeau, MD proslijedio/la je Tweet
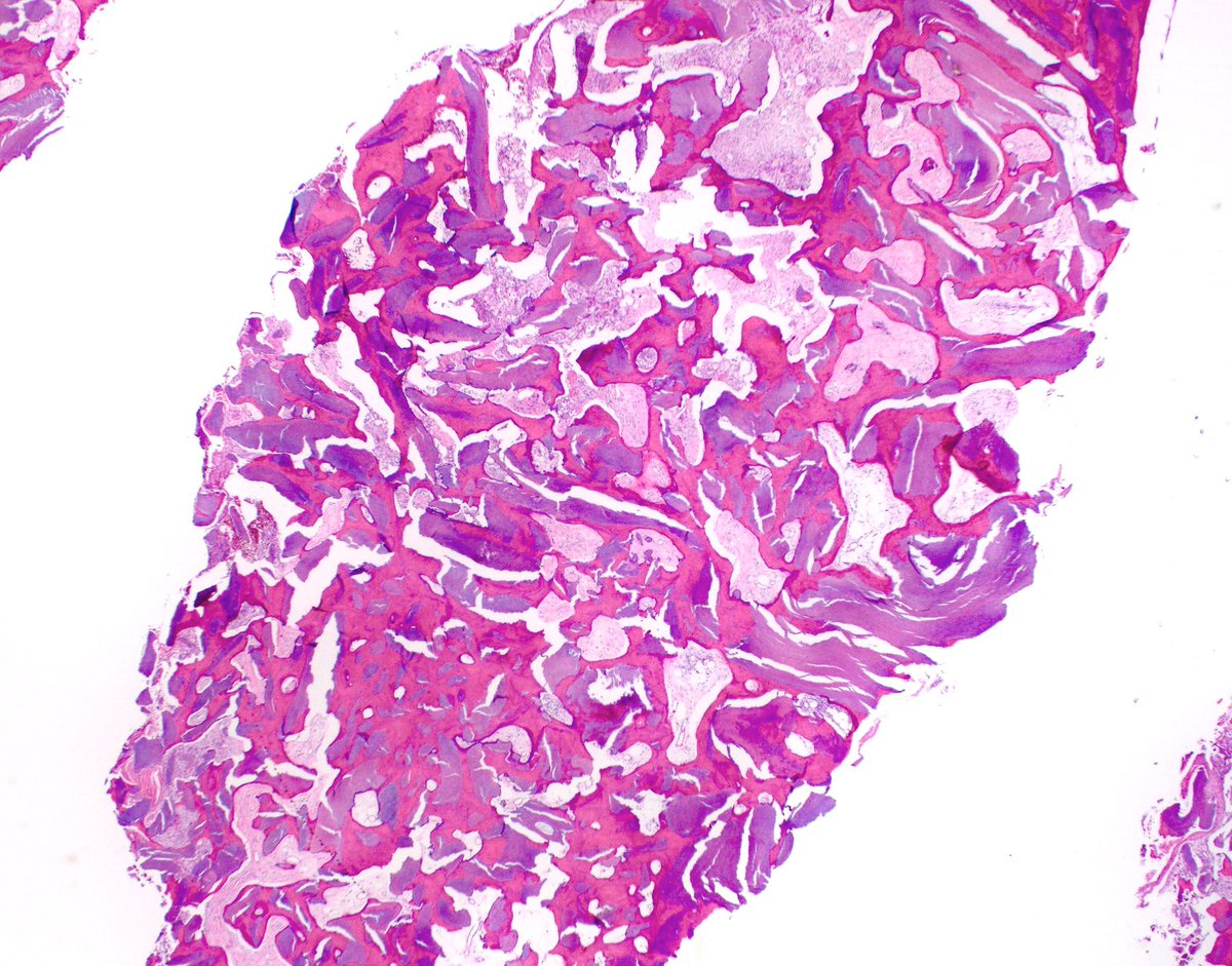
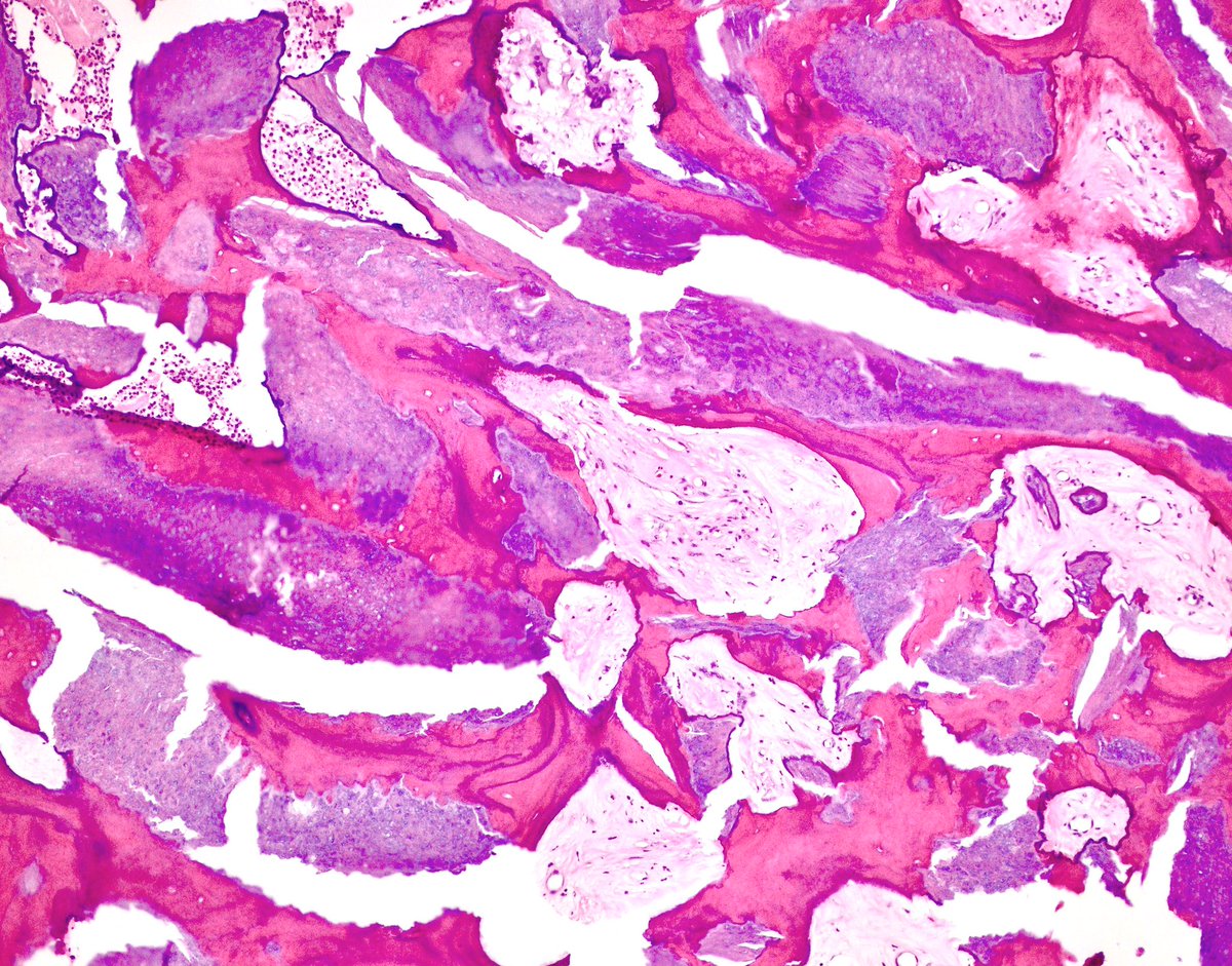
65 yo F 1.5 cm L elbow st mass “r/o gout” CALCIFIED EPITHELIOMA OF MALHERBE WITH OSSIFICATION - firm nodule/mass - keratinized “ghost cells” + bone - focal marrow elements - aka OSSIFIED PILOMATRIXOMA! - aka OSSIFIED PILOMATRICOMA!
#bstpath#dermpath#pathology#nyupathologypic.twitter.com/f3rq7SJIwk
Prikaži ovu nitHvala. Twitter će to iskoristiti za poboljšanje vaše vremenske crte. PoništiPoništi -
Stunning
#pathart & great representation of the types of meningioma!
#pathtweetaward@StewartGNeillhttps://twitter.com/DrAHLAMN1/status/1224358366245478403 …
Hvala. Twitter će to iskoristiti za poboljšanje vaše vremenske crte. PoništiPoništi -
Hvala. Twitter će to iskoristiti za poboljšanje vaše vremenske crte. PoništiPoništi
-
Another excellent video from
@forthejon and@ariv2013! I had no idea how many#hemepath entities there are in the skin
#dermpathhttps://twitter.com/forthejon/status/1224099091904450563 …Hvala. Twitter će to iskoristiti za poboljšanje vaše vremenske crte. PoništiPoništi -
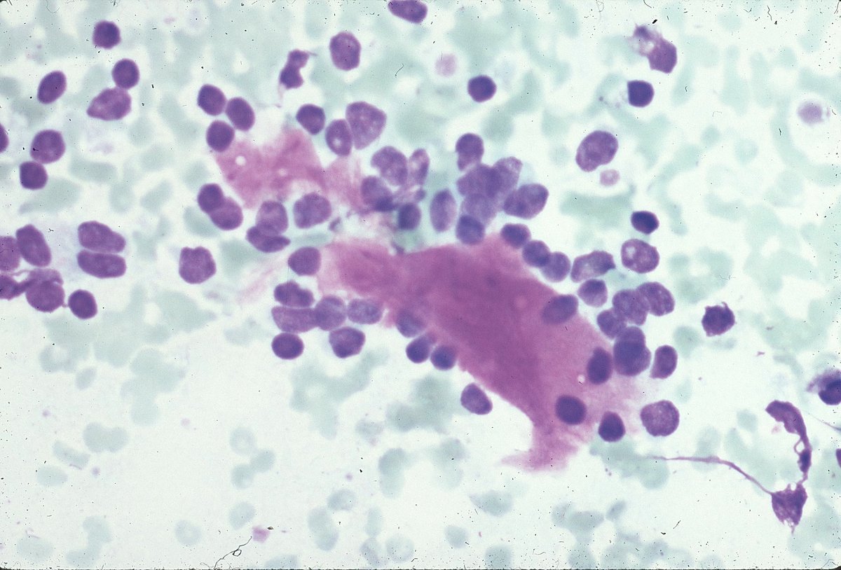
Melanie Bourgeau, MD proslijedio/la je Tweet
A low power clue

to go on higher power to search for these! 

#cytopath#gynpath
pic.twitter.com/JphR8SMVbk
Hvala. Twitter će to iskoristiti za poboljšanje vaše vremenske crte. PoništiPoništi -
Melanie Bourgeau, MD proslijedio/la je Tweet
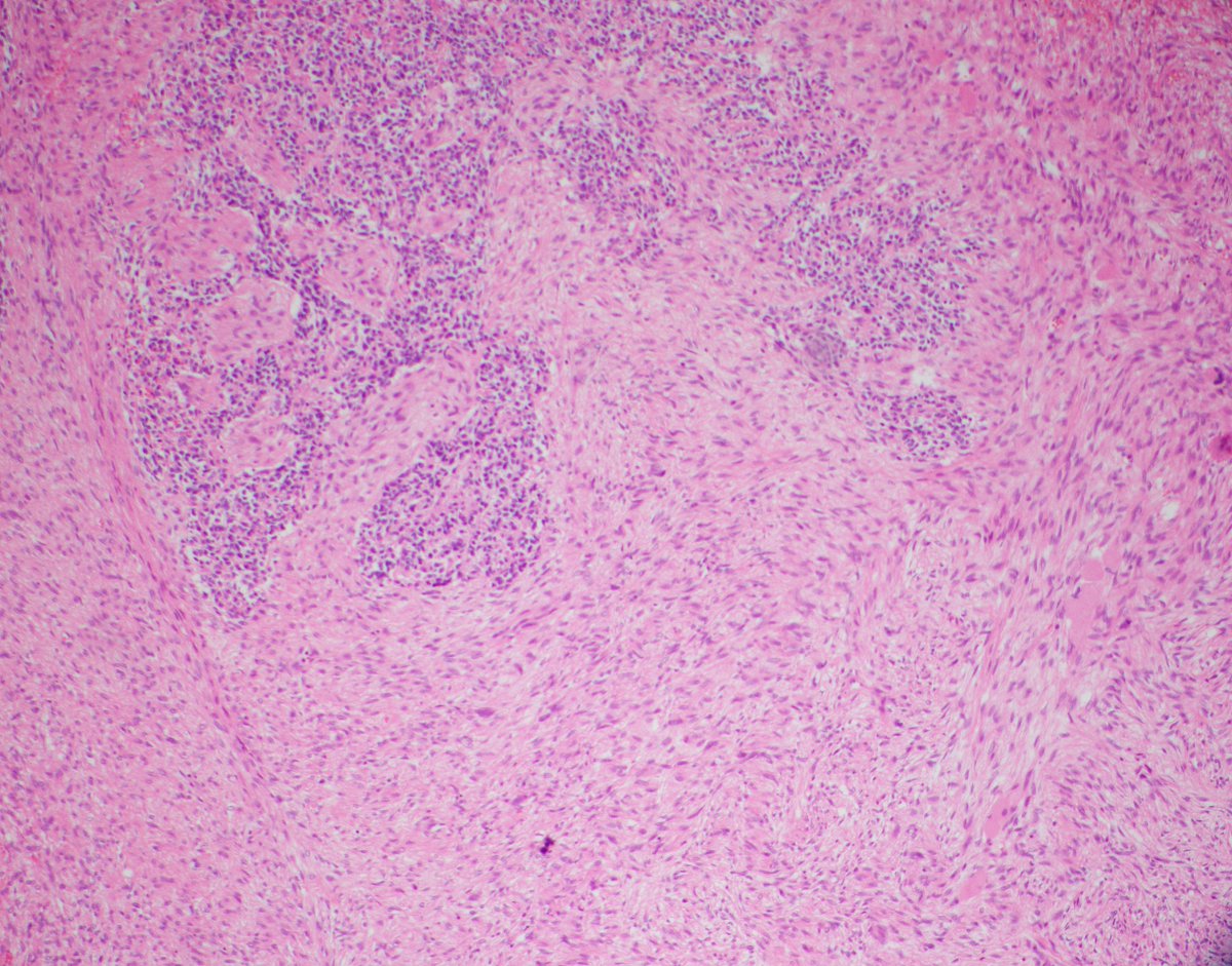
what do u think of this case plz..20 y M huge well circumscribes lung mass. necrosis present. focal SMA&WT1. Neg CK,S100,HMB45,DESMIN,CD34
#LUNGPATH#BSTPATH@yro854@DrRolaAli@DrGeeONE@JScapaPathMD@histiocytosisX@01sth02@MAHoureih@pathnoob@MELanocyteMD@AMubeen_Pathpic.twitter.com/ti56gmtnvk
Prikaži ovu nitHvala. Twitter će to iskoristiti za poboljšanje vaše vremenske crte. PoništiPoništi -
Melanie Bourgeau, MD proslijedio/la je Tweet
Granular cell tumor (GCT): can induce marked pseudoepitheliomatous hyperplasia (especially on the tongue) which can lead to misdiagnosis as a squamous cell carcinoma
#dermpath#pathology#dermatologypic.twitter.com/GhZUa8ErFs
Prikaži ovu nitHvala. Twitter će to iskoristiti za poboljšanje vaše vremenske crte. PoništiPoništi -
Melanie Bourgeau, MD proslijedio/la je Tweet
.
@StanfordPath Saturday!
30 YO woman returning from Zambia with hematuria. Cystoscopy shows a bladder “nodule”.
Acute and chronic cystitis with abundant eosinophils. Ova and helminths are seen.
#stanfordpathsaturday#IDpath#pathologytwitter#MedEdpic.twitter.com/ntcj5HUi7l
Prikaži ovu nitHvala. Twitter će to iskoristiti za poboljšanje vaše vremenske crte. PoništiPoništi -
Hvala. Twitter će to iskoristiti za poboljšanje vaše vremenske crte. PoništiPoništi
-
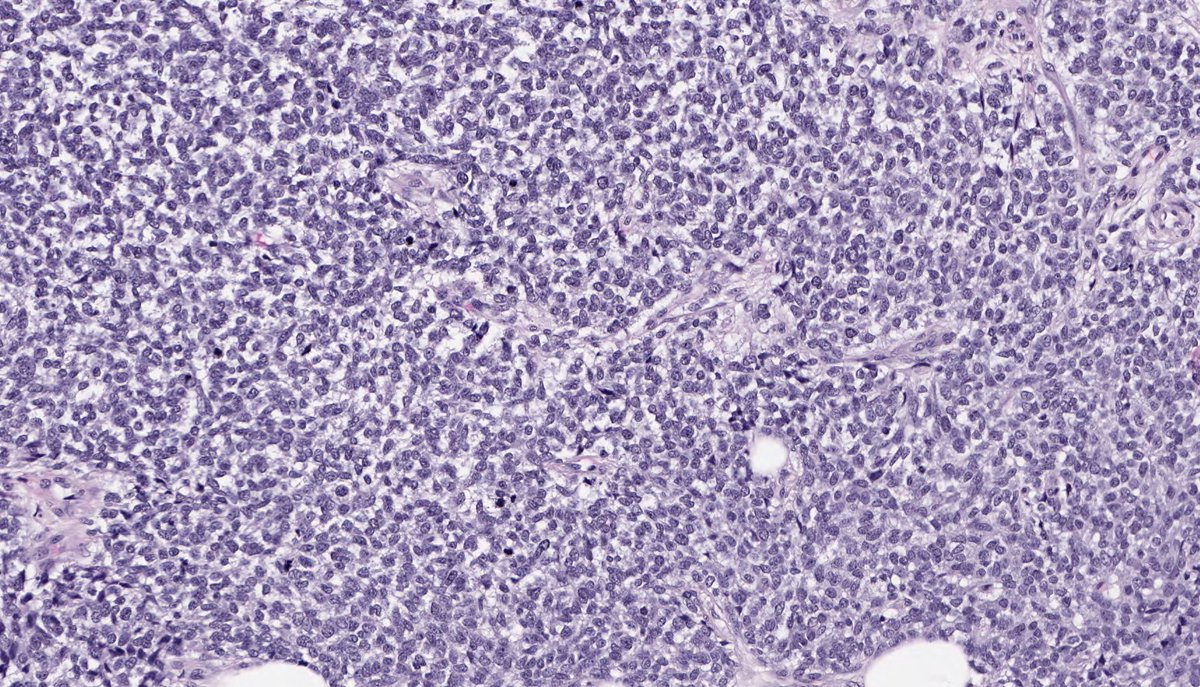
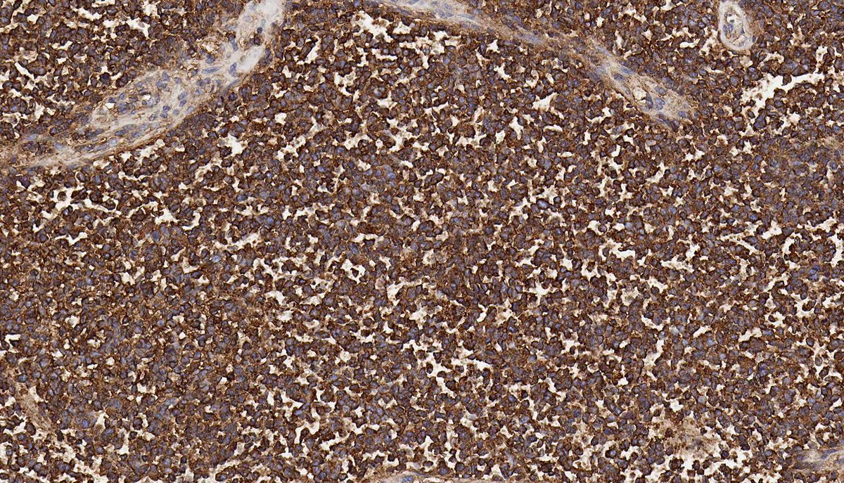
Melanie Bourgeau, MD proslijedio/la je Tweet
The first 2 were seminomas while the third was a diffuse large B cell lymphoma (DLBCL) exclusively involving the testis
#lymphoma#hemepathpic.twitter.com/NTcfZ5mFNh
Prikaži ovu nitHvala. Twitter će to iskoristiti za poboljšanje vaše vremenske crte. PoništiPoništi -
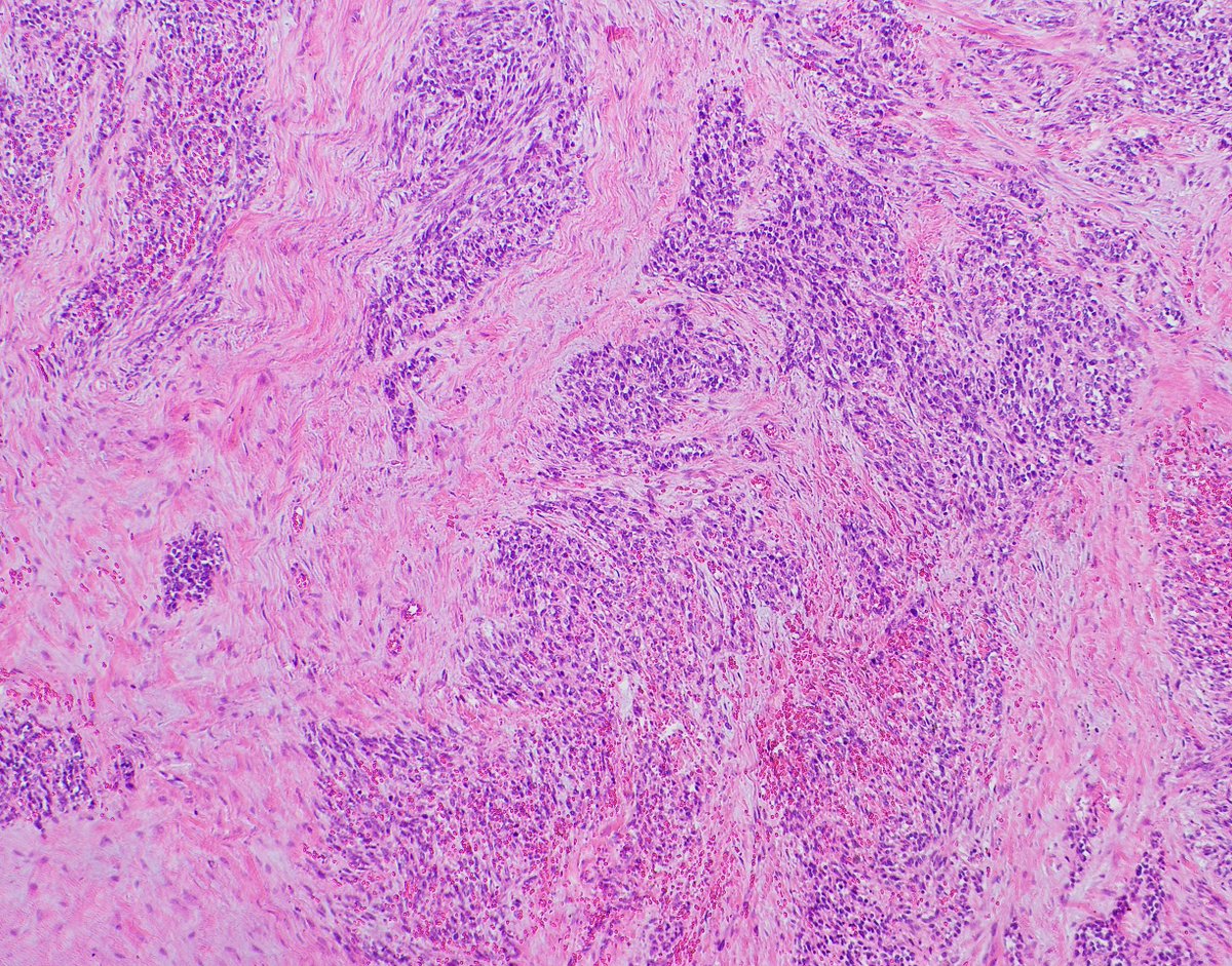
Melanie Bourgeau, MD proslijedio/la je Tweet
Middle age woman with nasal mass
#headandneckpath#ENTPathpic.twitter.com/tISK6M0jJt
Prikaži ovu nitHvala. Twitter će to iskoristiti za poboljšanje vaše vremenske crte. PoništiPoništi -
Melanie Bourgeau, MD proslijedio/la je Tweet
Striking example of the rare Mucinous Tubular Spindle cell carcinoma (MTSCC) of the kidney
#GUPath#GUPS#kidney#Cancer@UMichPath#pathologypic.twitter.com/UNwjNBPpW0
Hvala. Twitter će to iskoristiti za poboljšanje vaše vremenske crte. PoništiPoništi -
Melanie Bourgeau, MD proslijedio/la je Tweet
Stomach mass.
#pathology#GIpath#macropath#macromicrocorrelation#pathpuzzler#pathquiz Diagnosis? IHC?pic.twitter.com/xAH7okjjAs
Prikaži ovu nitHvala. Twitter će to iskoristiti za poboljšanje vaše vremenske crte. PoništiPoništi -
Melanie Bourgeau, MD proslijedio/la je Tweet
Female, 20s, D&C for a 20 month history of amenorrhea since an uncomplicated delivery of a live infant. Fragmented sample, more images to follow. Dx?pic.twitter.com/1K9M3WAopp
Prikaži ovu nitHvala. Twitter će to iskoristiti za poboljšanje vaše vremenske crte. PoništiPoništi -
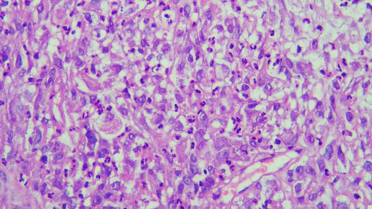
Melanie Bourgeau, MD proslijedio/la je Tweet
Echinococcus protoscolex with hooklets (polarized light, Papanicolaou stain). Moral of the story: don't hang around with dogs that have hung around with sheep!pic.twitter.com/S1D1AWxPID
Hvala. Twitter će to iskoristiti za poboljšanje vaše vremenske crte. PoništiPoništi -
Hvala. Twitter će to iskoristiti za poboljšanje vaše vremenske crte. PoništiPoništi
-
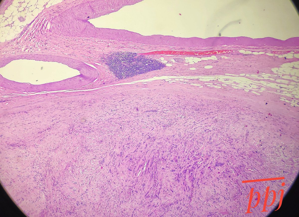
Melanie Bourgeau, MD proslijedio/la je Tweet
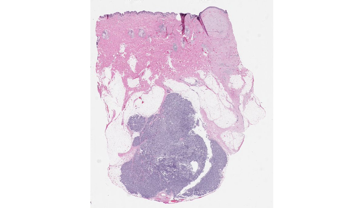
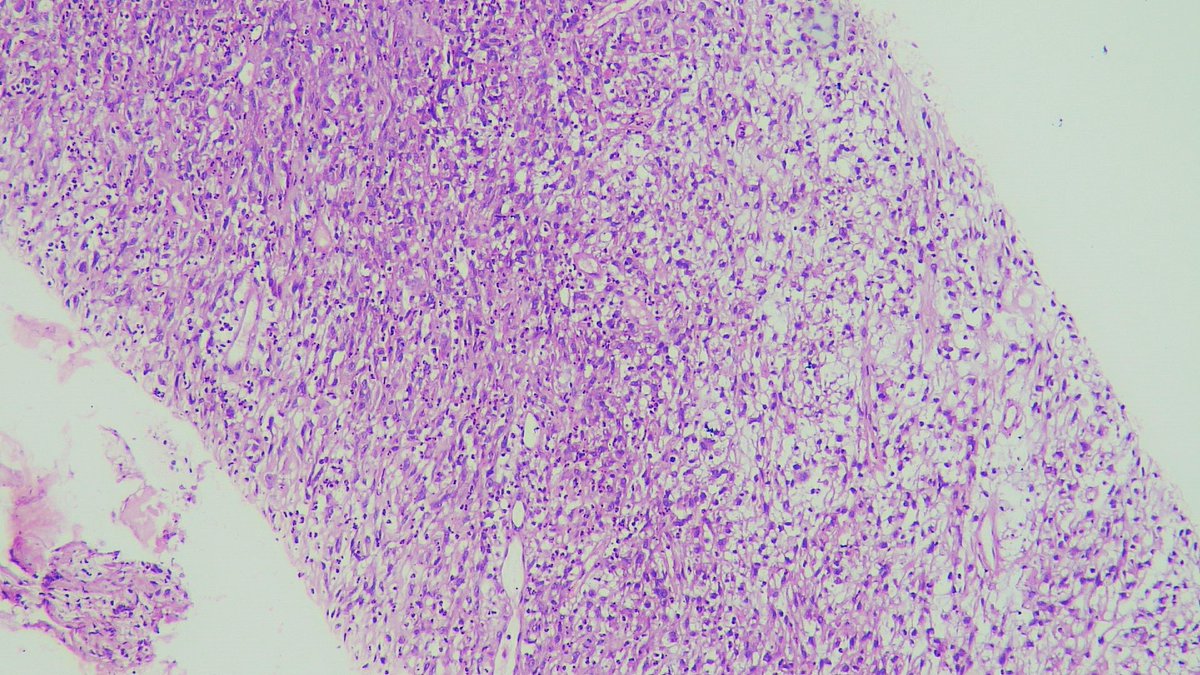
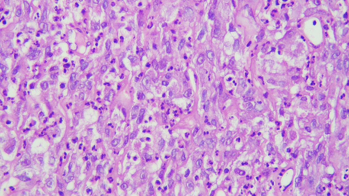
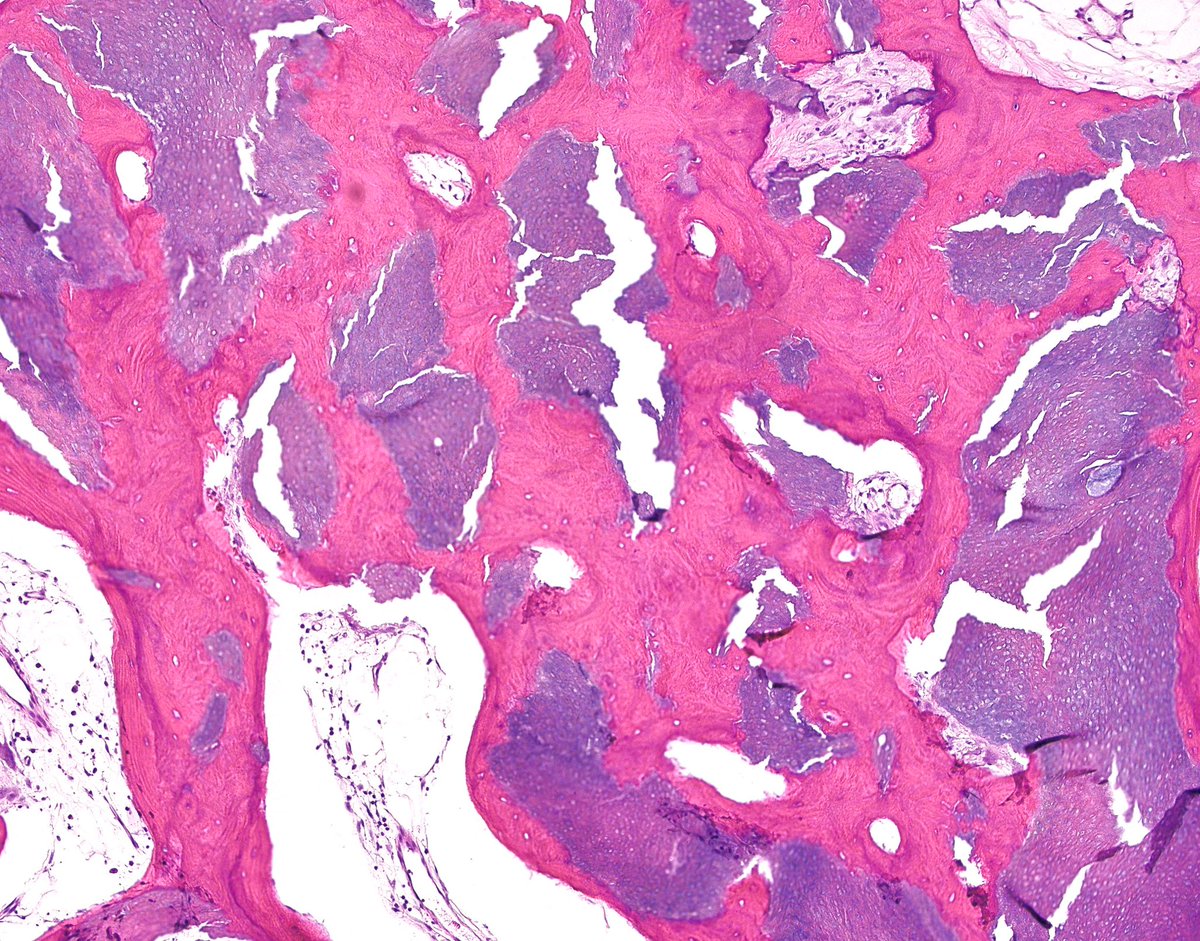
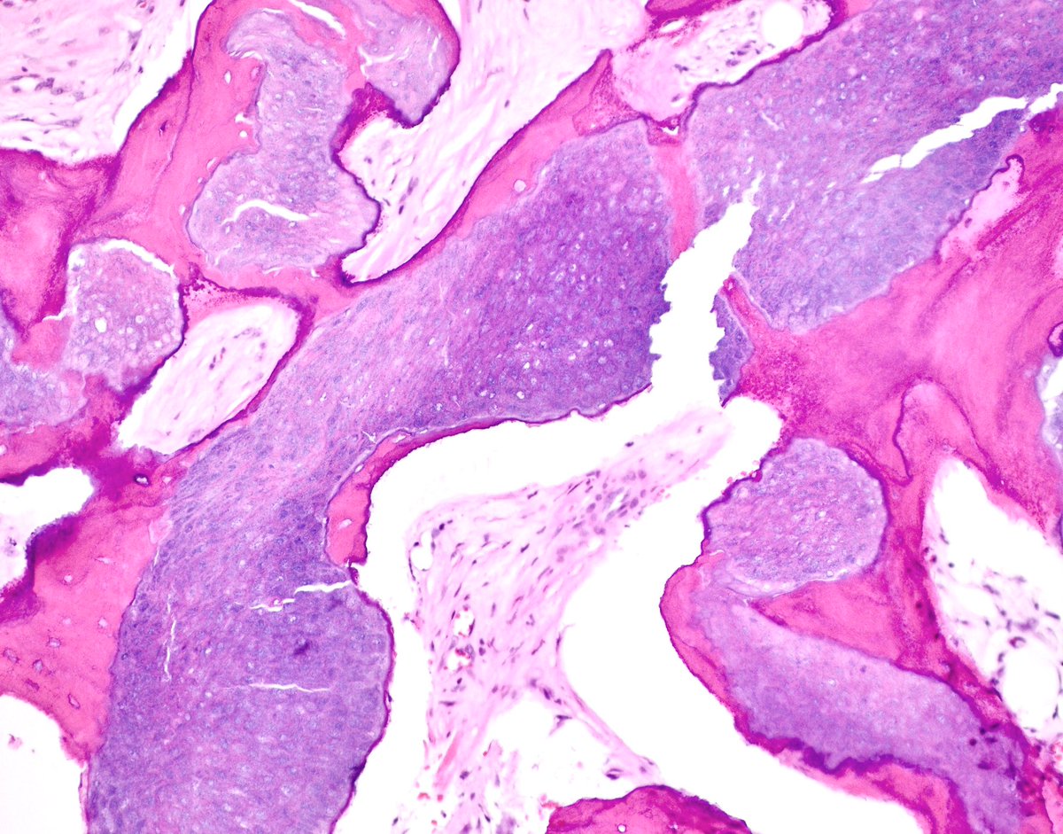
5 year-old boy with a
#skull lesion. Diagnosis? What genetic abnormality is this lesion likely to contain?#pathology#PathTwitter#neuropath@NeuroOnc@neuropathology#Pediatricspic.twitter.com/lz9e6WIZwX
Hvala. Twitter će to iskoristiti za poboljšanje vaše vremenske crte. PoništiPoništi -
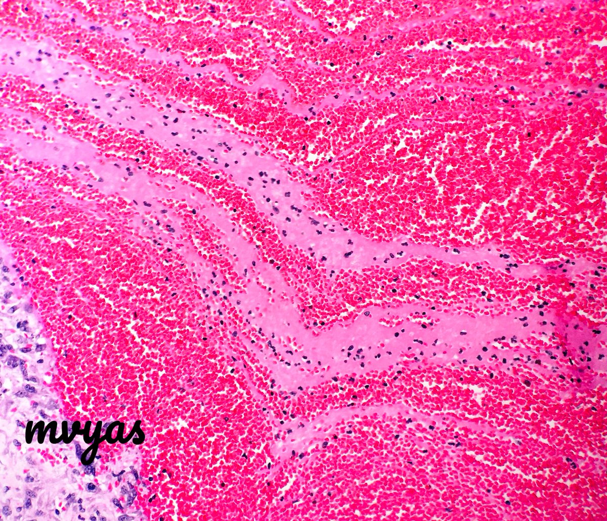
Melanie Bourgeau, MD proslijedio/la je Tweet
Gorgeous "lines of Zahn" Alternating layers of platelets mixed with fibrin (pink) and red blood cells (red) in a thrombus. Usually signifies antemortem nature of the thrombi in autopsy pathology.
#medstudenttwitter#pathology#usmle#pathboardspic.twitter.com/xSEomW8k40
Hvala. Twitter će to iskoristiti za poboljšanje vaše vremenske crte. PoništiPoništi -
I love seeing the cyto-histo correlation on cases,
#pathtweetaward for sure!
#cytopath#headandneckpathhttps://twitter.com/SamKhader/status/1222549801188892674 …
Hvala. Twitter će to iskoristiti za poboljšanje vaše vremenske crte. PoništiPoništi -
Melanie Bourgeau, MD proslijedio/la je Tweet
Emperipolesis is a biological process in which a cell penetrates another living cell. Unlike in phagocytosis the cell is viable and can exit at any time without structural or functional abnormalities
Picture: Emperipolesis of a proerythroblast within a MK
#cytopath#hemepathpic.twitter.com/sSHnPJggAI
Hvala. Twitter će to iskoristiti za poboljšanje vaše vremenske crte. PoništiPoništi
Čini se da učitavanje traje već neko vrijeme.
Twitter je možda preopterećen ili ima kratkotrajnih poteškoća u radu. Pokušajte ponovno ili potražite dodatne informacije u odjeljku Status Twittera.





-