Tweetovi
- Tweetovi, trenutna stranica.
- Tweetovi i odgovori
- Medijski sadržaj
Blokirali ste korisnika/cu @Kim_Ingersoll
Jeste li sigurni da želite vidjeti te tweetove? Time nećete deblokirati korisnika/cu @Kim_Ingersoll
-
Prikvačeni tweet
Did you ever wonder when
#FNA /NCB is best used to diagnose#hemepath entities? Check out our new paper from AJCP for details!
Limited Tissue Biopsies and Hematolymphoid Neoplasms: Success Stories and Cautionary Taleshttps://academic.oup.com/ajcp/advance-article-abstract/doi/10.1093/ajcp/aqz107/5542279#.XWj_FlJG2NE.twitter …Hvala. Twitter će to iskoristiti za poboljšanje vaše vremenske crte. PoništiPoništi -
Macrocytic anemia + neutrophils with hypersegmentation (PMNs with 6+ lobes or 3% of PMNs with 5 lobes) = think about vitamin B12 or folate deficiency.
#hematology#hemepathpic.twitter.com/aJ0T6J24Or
Hvala. Twitter će to iskoristiti za poboljšanje vaše vremenske crte. PoništiPoništi -
Kim Ingersoll, MD proslijedio/la je Tweet
What did I read today? Free, full-text, open-access article in
@AJCPjournal by Anderson et al Bottom line: size measurement in lung adenocarcinoma is now super complicated Tip: “invasive tumor size” is now a thing

#litreviewmukho https://academic.oup.com/ajcp/article/150/6/499/5066497 …pic.twitter.com/Wju8ty1JHa
Hvala. Twitter će to iskoristiti za poboljšanje vaše vremenske crte. PoništiPoništi -
Peripheral
#blood smear from a young pt with fever and fatigue. Numerous “Downey cells” in the PB, consistent with mononucleosis (also + Monospot). These are activated CD8+ T-cells working against the EBV-infected B-cells.#hemepath#microbiologypic.twitter.com/QS2Laf3hjP
Hvala. Twitter će to iskoristiti za poboljšanje vaše vremenske crte. PoništiPoništi -
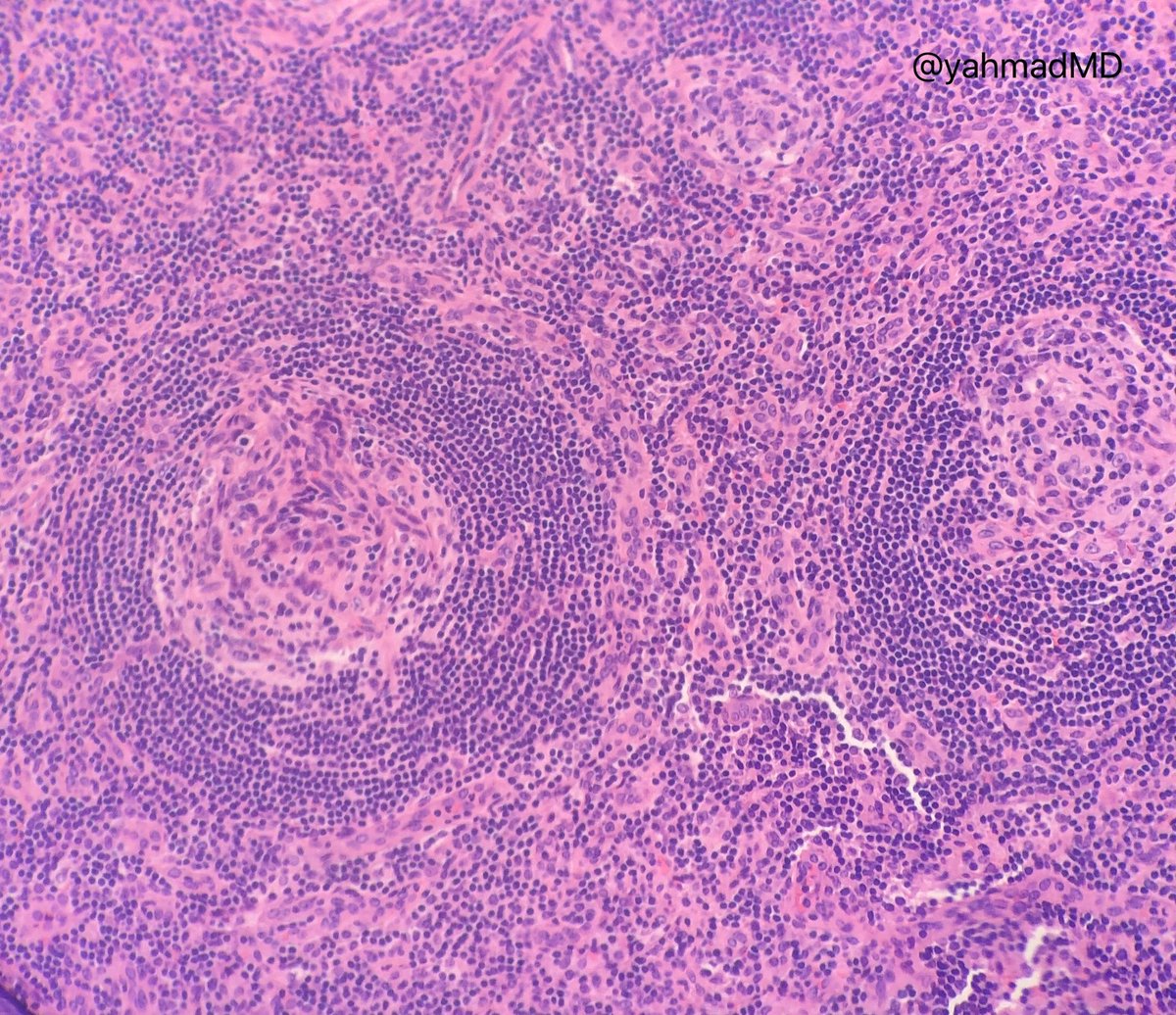
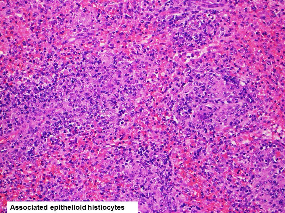
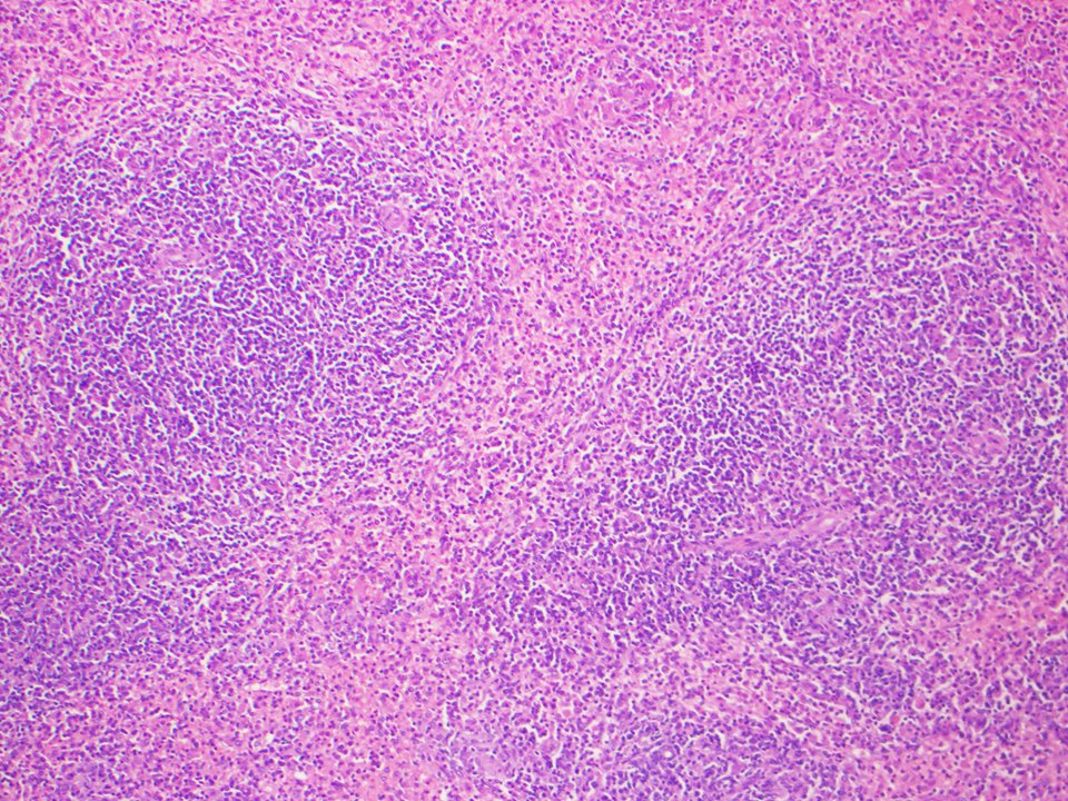
Kim Ingersoll, MD proslijedio/la je Tweet
An example of splenic marginal zone lymphoma (SMZL): Infiltration of the red and white pulp by neoplastic small B-cells,highlighted by CD20.Epithelioid histiocytes may be seen in the lymphoid aggregates in SMZL, as shown in this case
#Hemepath#lymsm#spleen#endcancer#surgpathpic.twitter.com/kx1eUdmX5I
Hvala. Twitter će to iskoristiti za poboljšanje vaše vremenske crte. PoništiPoništi -
Kim Ingersoll, MD proslijedio/la je Tweet
#SHtopics today is a "zebra" worth learning about: *Indolent T-lymphoblastic proliferation* - Clusters of TdT+ T-cells found incidentally - Phenotypically similar to T-ALL, but does not require treatment Read more https://www.ncbi.nlm.nih.gov/pubmed/23574769 Thank you@evemariecrane#hemepathpic.twitter.com/1I7wUHp3P2
Hvala. Twitter će to iskoristiti za poboljšanje vaše vremenske crte. PoništiPoništi -
Kim Ingersoll, MD proslijedio/la je Tweet
Echinococcus protoscolex with hooklets (polarized light, Papanicolaou stain). Moral of the story: don't hang around with dogs that have hung around with sheep!pic.twitter.com/S1D1AWxPID
Hvala. Twitter će to iskoristiti za poboljšanje vaše vremenske crte. PoništiPoništi -
Kim Ingersoll, MD proslijedio/la je Tweet
Small bowel biopsy in an immunosuppressed individual. Can you see them?
#pathology#GIpath#IDpathpic.twitter.com/ox5QTLit3m
Hvala. Twitter će to iskoristiti za poboljšanje vaše vremenske crte. PoništiPoništi -
Kim Ingersoll, MD proslijedio/la je Tweet
#HematologyTweetstory 17 is about el bazo, die Milz, селезенка, तिल्ली - whichever name you use for the mysterious organ that in English is the spleen. Ask the proverbial man on the street, “What does the spleen do?”; he won’t know. (Image: Gray's Anatomy; the book, not TV show.)pic.twitter.com/n7BcnGGPkK
Prikaži ovu nitHvala. Twitter će to iskoristiti za poboljšanje vaše vremenske crte. PoništiPoništi -
Kim Ingersoll, MD proslijedio/la je Tweet
There are 2 types of pathologists: those who have missed a signet ring cell carcinoma and those who will (I first heard this as a
#pearlsfrommymentor post by@DraEosina ) I’d love to hear who the mentor was! Solitary lung mass. No history of malignancy.#pathology#pulmpathpic.twitter.com/OCPobV83jE
Prikaži ovu nitHvala. Twitter će to iskoristiti za poboljšanje vaše vremenske crte. PoništiPoništi -
Kim Ingersoll, MD proslijedio/la je Tweet
Beautiful example of hyaline-vascular type Castleman disease! - Lollipop sign (arrows: tangentially cut vessels radially penetrating germinal centers)
- Onion skinning of mantle zone lymphocytes
So many food analogies in pathology! #Pathology#Hemepath#MedTwitter#MedEdpic.twitter.com/A3UZBabI3O
Hvala. Twitter će to iskoristiti za poboljšanje vaše vremenske crte. PoništiPoništi -
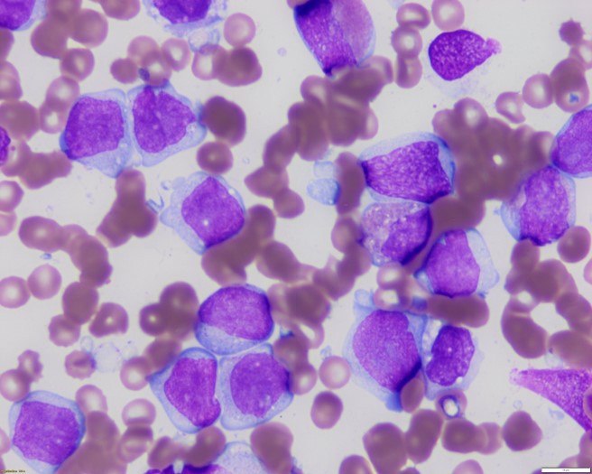
Kim Ingersoll, MD proslijedio/la je Tweet
I know what you are thinking. Not another example of Rosai-Dorfman disease! But wait, there's more. This is a kid, and here is the
#flowcytometry. See something weird in the B-cells and T-cells? What should you suggest to your#hemeonc friends?#pedipath#hemepathpic.twitter.com/W5ZRW3vx18
Hvala. Twitter će to iskoristiti za poboljšanje vaše vremenske crte. PoništiPoništi -
Kim Ingersoll, MD proslijedio/la je Tweet
It's all about the monocytes again... Monocytic subclones confer resistance to
#venetoclax https://twitter.com/CD_AACR/status/1220451175750930435 …pic.twitter.com/24MbT7ZKP8
Hvala. Twitter će to iskoristiti za poboljšanje vaše vremenske crte. PoništiPoništi -
Kim Ingersoll, MD proslijedio/la je Tweet
Picture Worthy crystals in PA courtesy of
@ktmontone@marcoslepe@MauroSaieg@PathDocBoston@PennPathLabMed@BinXu16@doc_kartik@HeadNeckPathol@nicolecipriani@mtsiddi@md_kyle@Sara_Jiang@sam_albadri@pembeoltulu@kriyer68pic.twitter.com/fLihWopmrM
Prikaži ovu nitHvala. Twitter će to iskoristiti za poboljšanje vaše vremenske crte. PoništiPoništi -
Kim Ingersoll, MD proslijedio/la je Tweet
In honor of
#BPDCNday https://bit.ly/2TXwrma@BloodJournal Blood. 2015 Jul 23;126(4):558#hemepath#BPDCN#RareDiseasepic.twitter.com/Y373nJRDPv
Hvala. Twitter će to iskoristiti za poboljšanje vaše vremenske crte. PoništiPoništi -
Kim Ingersoll, MD proslijedio/la je Tweet
Gastric adenoma in a patient with Lynch syndrome. Although there is a lymphoid aggregate, there is no real gastritis and the lesion is clearly dysplastic/adenomatous. Interesting case.pic.twitter.com/NwEfKphKl5
Hvala. Twitter će to iskoristiti za poboljšanje vaše vremenske crte. PoništiPoništi -
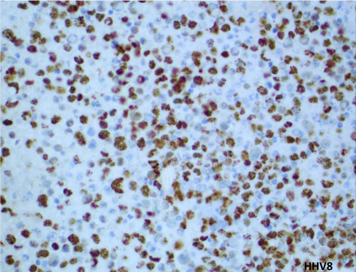
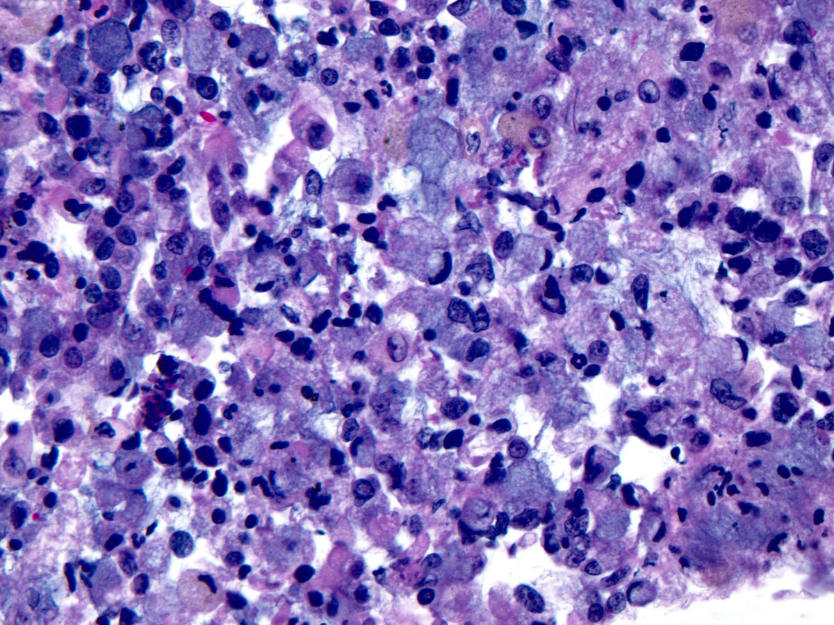
Kim Ingersoll, MD proslijedio/la je Tweet
Primary effusion lymphoma (PEL), Large cells with round to irregular nuclei, prominent nucleoli, and abundant cytoplasm. HHV-8 stain on cell block: Granular/ speckled/ dotted nuclear staining. Loss of Pan-B cell markers.
#Hemepath#HemepathMDApic.twitter.com/QPHU8uaTrS
Prikaži ovu nitHvala. Twitter će to iskoristiti za poboljšanje vaše vremenske crte. PoništiPoništi -
Kim Ingersoll, MD proslijedio/la je Tweet
DLBCL with bright CD38 expression by flow cytometry can be an indicator of an underlying MYC gene rearrangement, as illustrated in this case
#Hemepath#HemepathMDA#Lymsm#endcancerpic.twitter.com/vW6ch9vzLC
Hvala. Twitter će to iskoristiti za poboljšanje vaše vremenske crte. PoništiPoništi -
Kim Ingersoll, MD proslijedio/la je Tweet
#ThoracicPath special.
Does it look like a portion of fallopian tube? What if it’s cystic and found in the posterior mediatinum?
Posterior mediastinal Mullerian cyst = Mediastinal cyst with Mullerian differentiation = Hattori cyst
#SurgPath#PulmPathpic.twitter.com/Cmei80STS6
Hvala. Twitter će to iskoristiti za poboljšanje vaše vremenske crte. PoništiPoništi -
Kim Ingersoll, MD proslijedio/la je TweetHvala. Twitter će to iskoristiti za poboljšanje vaše vremenske crte. PoništiPoništi
-
Kim Ingersoll, MD proslijedio/la je Tweet
#HematologyTweetstory 14 is about blood#neutrophils: where does the term “left shift” come from? We use this term devoid of its original context, sometimes based on lab reports displayed in a column! Attached left-shifted blood & marrow pics are from@ASH_hematology Image Bank/1pic.twitter.com/4UJbehFy84
Prikaži ovu nitHvala. Twitter će to iskoristiti za poboljšanje vaše vremenske crte. PoništiPoništi
Čini se da učitavanje traje već neko vrijeme.
Twitter je možda preopterećen ili ima kratkotrajnih poteškoća u radu. Pokušajte ponovno ili potražite dodatne informacije u odjeljku Status Twittera.