Medijski sadržaj
- Tweetovi
- Tweetovi i odgovori
- Medijski sadržaj, trenutna stranica.
-
Transected left hepatic vein; Grade V AAST liver injury
@ASER_ERad@ACSTrauma#FOAMed#FOAMrad#EMrad#radres#trauma#emergencymedicinepic.twitter.com/Kjs3cTwrzY
-
Thanks
@RadiologyACR@ChudnallACR for featuring our work on#domesticviolence#IPV#AI#radiology Many thanks to our clinical collaborators@aloBoston@hstoklosa@zakkohane@harvardmed@HarvardChanSPH#radres & supporters@steppingstrong1@PHSInnovation https://bit.ly/36M29pr pic.twitter.com/8gaXH8Dyuy
-
Xray pelvis in a patient presenting with acute right
#hip pain#emergencymedicine CT performed 2 days later showed an obstructing right ureteral calculus#easytomiss on Xray#FOAMed#FOAMrad#EMRad#radres#MSKradpic.twitter.com/qgHnheqq4h
-
Impending aortic rupture on a non contrast CT
#radres look at the loss of left lateral intimal wall with a new soft tissue crescentic density and interval enlargement#FOAMed#FOAMrad#EMrad#emergencymedicinepic.twitter.com/4ocQOBqkua
-
Hangman's fracture is a traumatic spondylolysis of C2
#radres please try to identify atypical Hangman's fracture that involves the posterior vertebral body and can compromise the central canal (Type 1A )#FOAMed#FOAMrad@NASSspine#spine#trauma@Orthofactspic.twitter.com/G8YgorfIiP
-
Delighted to share the dates for our intensive, 2-day review course in
#EmergencyRadiology#HarvardEDRad@harvardmed_cme@BrighamWomens@BrighamRad@MGHImaging#FOAMed#FOAMrad#EMrad#EmergencyMedicine#trauma#imaging#CME#Boston June 13th & 14th, 2020!pic.twitter.com/oyk5w5bZkG
-
Humbled, blessed & honored to receive the prestigious Dr. Goyal physician recognition award (2019) from the Indian Medical Association of New England Thank you to all my
#mentors#friends#colleagues#trainees for your support and encouragement@BrighamWomens@RSNA@RadiologyACRpic.twitter.com/Zi5oTFLuvj
-
Non displaced trabecular compression fractures are
#easytomiss in osteoporotic#spine;#radres please review soft tissue window for such fractures-surrounding sclerosis due to edema/hemorrhage/compression can make them more visible#FOAMed@NASSspine https://bit.ly/37XAAdH pic.twitter.com/1oGrDA6jz6
-
I was about to raise a concern for distraction injury (white arrow) until I saw the prior pre-op study from 5 months ago. Great job
#spine surgeon@HMSOrthoTrauma fixing#DISH spine injury#FOAMed#FOAMrad#EMRad@NASSspine https://pubs.rsna.org/doi/10.1148/rg.2019180125 …pic.twitter.com/0ojimBBNGs
-
Pipkin 3 and 4 with posterior hip dislocation, femoral head fracture and dislocation, femoral neck fracture, and acetabular fracture. Treated with arthroplasty
#FOAMEd#radres#FOAMrad#ortho#EMRad@ASER_ERad@Orthofacts@DrLeeRubin https://bit.ly/39BfO5n pic.twitter.com/4WgL6PiU9q
-
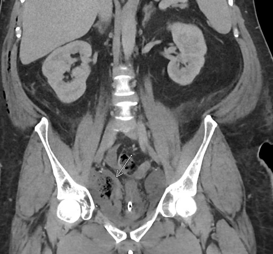
Bladder rupture on a routine CT and CT
#cystogram#FOAMrad#FOAMed#EMrad#emergencymedicine#radres#radiology#surgerypic.twitter.com/JlaYpNHtkN
-
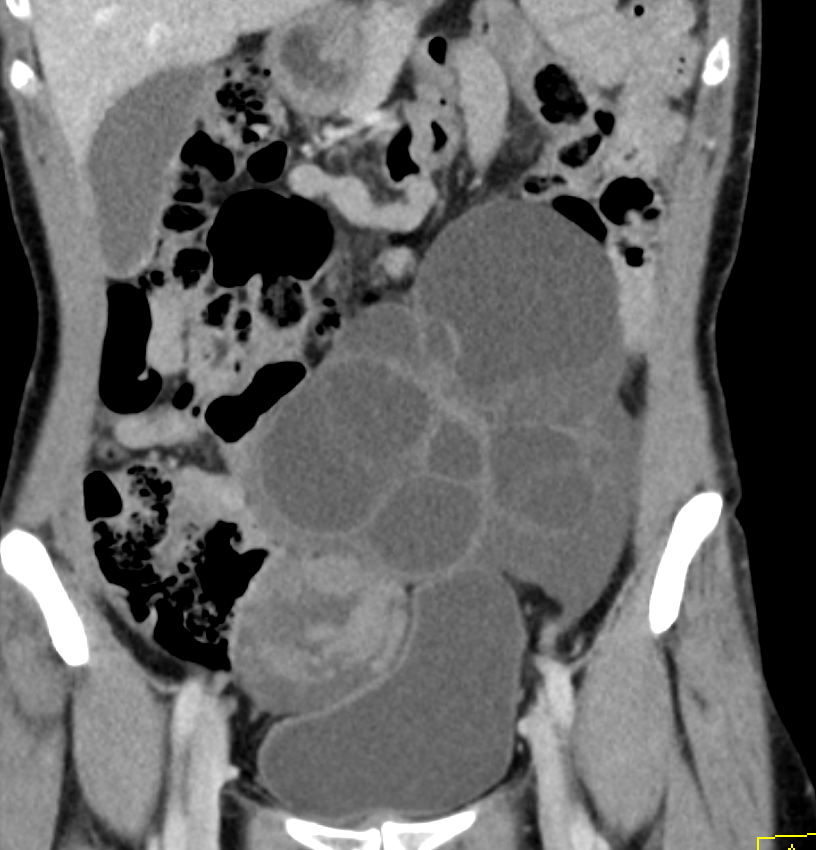
Right ovarian torsion with a large multiseptated cystic mass.
#Radres look at the lack of enhancement of the right ovary on#DECT#FOAMed#FOAMrad#emergencymedicine@CtSpectral@EmergTraumaRad@AnushriParakhpic.twitter.com/Lm9lki9X3A
-
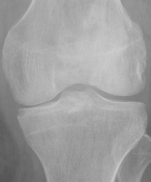
Septic arthritis
#radres-look at the erosive changes and narrowing of the joint space in two weeks#orthotwitter#FOAMed#FOAMrad#EMRad#MSKRadpic.twitter.com/RNcyCtFkfo
-
#radres This#hip#radiograph is not negative but non diagnostic as the femoral neck is not well seen due to external rotation#FOAMrad#FOAMed#emergencymedicine@Orthofacts@ASER_ERad@RadioGraphics https://pubs.rsna.org/doi/full/10.1148/rg.2015140301 …pic.twitter.com/prMgxCI5si
-
Thank you
@RSNA for featuring our work on completion CT studies for#trauma transfer patients in#RSNA19 bulletin. Immensely proud of@jeffreyshyu@BWHRadEdu alum for conducting the study & my heartfelt thanks to@BWHSurgery for this strong collaboration https://bit.ly/2Lx6R2G pic.twitter.com/RJeDu1ZJto
-
Thank you
@RSNA#RSNA19 for giving me the opportunity to present our work on#radiology#AI#machinelearning transforming the detection of#IPV#domesticviolence My sincere gratitude to all my collaborators, mentors, and supporters@BrighamWomens@PHSInnovation@steppingstrong1pic.twitter.com/cxoSrNxdnk
-
Thank you Audrey Reny
@steppingstrong1@BrighamWomens for the generous grant award in support of making the 'invisible' visible#radiology#AI detecting#domesticviolence#IPV Our team is honored & delighted to be the inaugural recipient of the injury prevention#innovator award!pic.twitter.com/Cdn1ctj7Wd
-
Partial anomalous pulmonary venous return on a routine PE study in ED
#easytomiss#EMrad#radres#FOAMrad Thanks@ayaz_aghayev#CVrad https://radiopaedia.org/articles/partial-anomalous-pulmonary-venous-return?lang=us …pic.twitter.com/9kJOQB22Bu
-
Oxidized regenerated cellulose (Surgicel) used for intraoperative hemostasis can mimic an abscess
#radres always check the operative note#surgery#surgeducator please mention in the op note#EMrad#FOAMed#FOAMrad@BWHSurgery@MGHSurgerypic.twitter.com/uWDI8xbIXy
-
Large intraparenchymal hematoma secondary to a ruptured middle cerebral artery aneurysm
#radres please look at the irregular bleb at the dome reflecting the site of rupture (Murphey's excrescence)#EMrad#Neurorad#FOAMed#FOAMrad#Neurology#emergencymedicinepic.twitter.com/9L7Qlbe6fV
Čini se da učitavanje traje već neko vrijeme.
Twitter je možda preopterećen ili ima kratkotrajnih poteškoća u radu. Pokušajte ponovno ili potražite dodatne informacije u odjeljku Status Twittera.