Tweetovi
- Tweetovi, trenutna stranica.
- Tweetovi i odgovori
- Medijski sadržaj
Blokirali ste korisnika/cu @JACCJournals
Jeste li sigurni da želite vidjeti te tweetove? Time nećete deblokirati korisnika/cu @JACCJournals
-
Doctors from
@Rigshospitalet report coronary CTA has a high diagnostic accuracy to rule out significant#cvCAD in#NSTEMI patients. https://bit.ly/3b60XR7#JACC@uni_copenhagenpic.twitter.com/F7EfTGRawN
Hvala. Twitter će to iskoristiti za poboljšanje vaše vremenske crte. PoništiPoništi -
Can we build randomized controlled trials (RCTs) within the framework of a robust real-world data system? Drs.
@ACFanaroff,@RenatoDLopes1 and@califf001 discuss current shortfalls and future recommendations for the clinical trial system in#JACC. https://bit.ly/37Zpc1q pic.twitter.com/fPzvwfcd3G
Hvala. Twitter će to iskoristiti za poboljšanje vaše vremenske crte. PoništiPoništi -
#JACCIMG State-of-the-Art Review: How do you diagnose and follow an athlete with suspected#myocarditis? Dr.@chrisgraeni et al. propose a new diagnostic algorithm using#CMR to stratify athletes at risk. https://bit.ly/3b3Y8QJ#WhyCMR#SportsCardiopic.twitter.com/zTFMsL9DGP
Hvala. Twitter će to iskoristiti za poboljšanje vaše vremenske crte. PoništiPoništi -
Is there agreement between observational studies and randomized controlled trials for
#NOAC vs.#warfarin in AFib treamtment? New#JACC Research Letter provides a comparative summary. https://bit.ly/2OqHh0u@noseworthypeterpic.twitter.com/63lWQpe35z
Hvala. Twitter će to iskoristiti za poboljšanje vaše vremenske crte. PoništiPoništi -
In
#myocarditis associated with immune checkpoint inhibitors, can global longitudinal strain predict MACE?@Dr_Mike_Fradley et al. present their findings in#JACC. https://bit.ly/2UodUA2 pic.twitter.com/evS86t94Hs
Hvala. Twitter će to iskoristiti za poboljšanje vaše vremenske crte. PoništiPoništi -
#Cancer patients are at an elevated risk for developing#CVD, highlighting the need for Cardio-Oncology as an emerging subspeciality. This#WorldCancerDay
explore #JACCCardioOnc's series on top#CardioOnc priorities, first defined@icosociety's#GCOS2019. https://bit.ly/2GSg96m pic.twitter.com/M99nVxo0i0
Hvala. Twitter će to iskoristiti za poboljšanje vaše vremenske crte. PoništiPoništi -
The
#JACCJournals Family is proud to introduce Dr. Estefania Oliveros (@EstefaniaOS) as the newest SoMe editor for#JACCCaseReports. Dr. Oliveros hails from Venezuela and is a current#heartfailure and#hearttx fellow@icahnmountsinai. Welcome!pic.twitter.com/jfyrWJeOgM
Hvala. Twitter će to iskoristiti za poboljšanje vaše vremenske crte. PoništiPoništi -
JACC Journals proslijedio/la je Tweet
Our new analysis
@JACCJournals. TMVR is increasingly performed in nonagenarians. In-hospital mortality and major adverse events were comparable to younger patients. http://interventions.onlinejacc.org/content/early/2020/01/27/j.jcin.2019.11.026 …@PSorajja@docHJ@herbaronowMD@sameergafoor@JDawnAbbott1pic.twitter.com/N3ZUV6EoaZ
Prikaži ovu nitHvala. Twitter će to iskoristiti za poboljšanje vaše vremenske crte. PoništiPoništi -
#JACC State-of-the-Art Review: In the first of a two-part review discussion,@Drmikefarkouh and colleagues present a framework for cardiometabolic-based chronic disease, focusing on primary and metabolic drivers applied to#CHD,#heartfailure and#AFib. https://bit.ly/3b71HFv pic.twitter.com/6qLjG6Gutj
Hvala. Twitter će to iskoristiti za poboljšanje vaše vremenske crte. PoništiPoništi -
The latest issue of
#JACCINT presents a challenging case#PCI for left main stem thrombus in a woman requiring cardiac massage and VA-#ECMO after Top Hat valve insertion. https://bit.ly/2GNaIG3@SheffieldHosppic.twitter.com/CKhak03Q2B
Hvala. Twitter će to iskoristiti za poboljšanje vaše vremenske crte. PoništiPoništi -
New
#JACCIMG study shows via#cvEcho that every fifth patient developed significant valve hemodynamic deterioration following surgical bioprosthetic AVR for#vhdAS. In addition, those aged >80 years experienced faster deterioration. https://bit.ly/2RRGnwa#EchoFirst@MedUni_Wienpic.twitter.com/tvwViQRRXJ
Hvala. Twitter će to iskoristiti za poboljšanje vaše vremenske crte. PoništiPoništi -
Tight glucose control: Friend or Foe? Dr.
@leahcahill and colleagues report this may ultimately depend on your haptoglobin phenotype. Learn more in this week's#JACC. https://bit.ly/3b4xlU9@HarvardChanSPH@NSHAResearchpic.twitter.com/FNwoJSRsT2
Hvala. Twitter će to iskoristiti za poboljšanje vaše vremenske crte. PoništiPoništi -
What is your suspected diagnosis? Vote and comment down below. The answer will be revealed this Wed. February 5, with the next set of cases from
#JACCCaseReports.Prikaži ovu nitHvala. Twitter će to iskoristiti za poboljšanje vaše vremenske crte. PoništiPoništi -
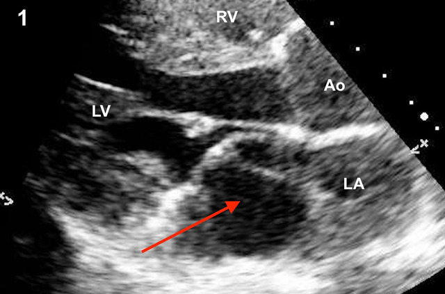
#JACCCaseReports Clinical Quiz: A 43-yr-old female patient experienced chest pain immediately post-radiofrequency ablation of a symptomatic left posterolateral accessory pathway. What do you suspect and how would you approach this patient?pic.twitter.com/2Z18dhdSut
Prikaži ovu nitHvala. Twitter će to iskoristiti za poboljšanje vaše vremenske crte. PoništiPoništi -
ICYMI: The latest
#JACC State-of-the-Art Review is a two-parter from Drs.@ZelnikerThomas & Eugene Braunwald on the cardiorenal effects of#SGLT2I.
: Mechanisms of Effects: https://bit.ly/2TZuLZC
: Clinical Benefit Effects: https://bit.ly/2uV8bXm pic.twitter.com/klxvq6J5mx
Hvala. Twitter će to iskoristiti za poboljšanje vaše vremenske crte. PoništiPoništi -
#JACCSpanish te trae las últimas novedades para la detección y diagnóstico de la fibrilación auricular con la actualización en español de las guías de práctica clínica de la ACC/AHA/HRS de 2014. http://www.onlinejacc.org/jacc-international/spanish?utm_medium=social&utm_source=twitter_post&utm_campaign=twitter_post …pic.twitter.com/FFLpoZovv6
Hvala. Twitter će to iskoristiti za poboljšanje vaše vremenske crte. PoništiPoništi -
JACC Journals proslijedio/la je Tweet
#JACCCaseReports Sunday news - tips & tricks for a good case report@JACCJournals@MinnowWalsh@rafavidalperez@EstefaniaOS@NadeenFaza@purviparwani@DBelardoMD@GarimaVSharmaMD@YevgeniyBr@BartoszHudzik@argulian@mividovich@fischman_david@RFontesCarvalho@DrAJRestrepopic.twitter.com/mWTEE7WxEzHvala. Twitter će to iskoristiti za poboljšanje vaše vremenske crte. PoništiPoništi -
JACC Journals proslijedio/la je Tweet
What have we learned after three generations of
#TAVR? Yale interventional cardiologists@ryankaple and John Forrest, MD share insights in@JACCJournals. Download: https://bit.ly/2RAs7bh@YaleMed@YaleCardiacSurg@YaleIMed@ericjvelazquezpic.twitter.com/HYhN4pL8zk
Hvala. Twitter će to iskoristiti za poboljšanje vaše vremenske crte. PoništiPoništi -
Mitochondrial dysfunction is a driving force associated with the energy supply-demand imbalance experienced in
#heartfailure patients. This certified credit activity from#JACCBTS reviews methods to reverse mitochondrial dysfunction as you earn#CME. https://bit.ly/2GJGjrY pic.twitter.com/AZn8g72Tle
Hvala. Twitter će to iskoristiti za poboljšanje vaše vremenske crte. PoništiPoništi -
New
#JACC study reports left ventricular septal pacing provides acute hemodynamic improvement and electrical resynchronization that is at least as good as biventricular pacing and possibly His bundle pacing. https://bit.ly/2TX4ifj pic.twitter.com/VXzWSZ10so
Hvala. Twitter će to iskoristiti za poboljšanje vaše vremenske crte. PoništiPoništi
Čini se da učitavanje traje već neko vrijeme.
Twitter je možda preopterećen ili ima kratkotrajnih poteškoća u radu. Pokušajte ponovno ili potražite dodatne informacije u odjeljku Status Twittera.