Tweetovi
- Tweetovi, trenutna stranica.
- Tweetovi i odgovori
- Medijski sadržaj
Blokirali ste korisnika/cu @HSaterMD
Jeste li sigurni da želite vidjeti te tweetove? Time nećete deblokirati korisnika/cu @HSaterMD
-
Prikvačeni tweet
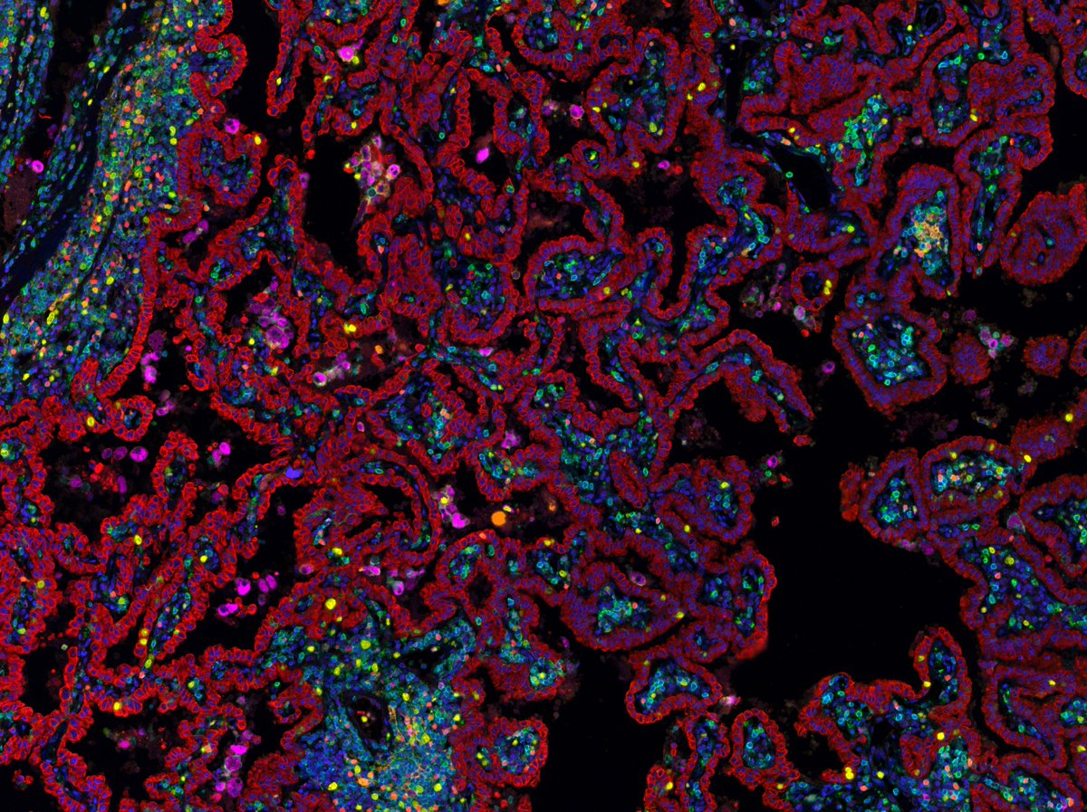
Beautiful TIME (Tumor Immune Microenvironment) to
#Multiplex@sitcancer@TheUSCAP@Pathologists@SABCSSanAntonio@BernardAFox@gulleyj1@NIH@PerkinElmerpic.twitter.com/sQYOOSbsvH
Hvala. Twitter će to iskoristiti za poboljšanje vaše vremenske crte. PoništiPoništi -
Houssein A. Sater proslijedio/la je Tweet
Wuhan's first hospital built specially for receiving coronavirus patients completed on Sunday after 10 days of speedy construction. It will be managed by China's military medical system and start operation on Monday.pic.twitter.com/bXYkfaFvEA
Hvala. Twitter će to iskoristiti za poboljšanje vaše vremenske crte. PoništiPoništi -
#Physicians to report suspected#coronarvirus case in#Maryland. So far 1 case tested negative.pic.twitter.com/noekNpuCNX
Hvala. Twitter će to iskoristiti za poboljšanje vaše vremenske crte. PoništiPoništi -
Houssein A. Sater proslijedio/la je Tweet
Sue Scott describes her cancer journey and
#clinicaltrial participant experience in this video we share for#CervicalCancerAwarenessMonth. Watch the full video here: http://bit.ly/37uzG8l@CSHinrichsMD@NIHClinicalCntrpic.twitter.com/jor2nsCc5N
Hvala. Twitter će to iskoristiti za poboljšanje vaše vremenske crte. PoništiPoništi -
Houssein A. Sater proslijedio/la je Tweet
That time when you discover someone in your lab is having too much fun with the annotation tool in the slide viewer.
@s_wilkinson88@HSaterMDpic.twitter.com/JSoNkww5gC – mjesto: NIH Building 37
Hvala. Twitter će to iskoristiti za poboljšanje vaše vremenske crte. PoništiPoništi -
Houssein A. Sater proslijedio/la je Tweet
Why does African Americans have a higher incidence of cancer, lower mortality & an early onset-age across many cancer types? - Work led by Brid Ryan
@theNCI in collab with us found the first hint for it. Just out@NatureCancer Tweetorial to summarize. https://www.nature.com/articles/s43018-019-0009-7 …pic.twitter.com/abCzsupgir
Prikaži ovu nitHvala. Twitter će to iskoristiti za poboljšanje vaše vremenske crte. PoništiPoništi -
Houssein A. Sater proslijedio/la je Tweet
Delighted to see the latest cancer statistics out by
@AmericanCancer showing biggest single year decrease yet. This is largely driven by drops in lung cancer deaths due to smoking cessation.#Prevention also nice to see the drops in#ProstateCancer#PCSM & others.@PCF_Sciencepic.twitter.com/DFgZ6AkWrt
Hvala. Twitter će to iskoristiti za poboljšanje vaše vremenske crte. PoništiPoništi -
Hvala. Twitter će to iskoristiti za poboljšanje vaše vremenske crte. PoništiPoništi
-
Houssein A. Sater proslijedio/la je Tweet
Huge breaking news for Urothelial cancer! Significant OS benefit with switch maintenance avelumab + BSC vs BSC alone after response/SD to 1st line platinum chemotherapy in phase 3 JavelinBladder100 trial!
@SeattleCCA@tompowles1@OncoAlert@Uromigoshttps://www.prnewswire.com/news-releases/bavencio-significantly-improved-overall-survival-in-patients-with-locally-advanced-or-metastatic-urothelial-carcinoma-300981078.html …Hvala. Twitter će to iskoristiti za poboljšanje vaše vremenske crte. PoništiPoništi -
Houssein A. Sater proslijedio/la je Tweet
Published online
@JCO_ASCO The#largest#melanoma#adjuvant trial with 1673 patient volunteers. More data soon from our in-depth analyses of#immune AEs,#QOL &#biomarkers of#immunecheckpoint response & toxicity risk@eaonc@MoffittResearch@MoffittNewshttps://ascopubs.org/doi/abs/10.1200/JCO.19.01381#.XgbFO3CgQ0Q.twitter …Hvala. Twitter će to iskoristiti za poboljšanje vaše vremenske crte. PoništiPoništi -
Houssein A. Sater proslijedio/la je TweetHvala. Twitter će to iskoristiti za poboljšanje vaše vremenske crte. PoništiPoništi
-
Hvala. Twitter će to iskoristiti za poboljšanje vaše vremenske crte. PoništiPoništi
-
Houssein A. Sater proslijedio/la je Tweet
Double boarded and ready for my mission

#abim@EndoMedia@Georgetown@MedscapeEndo@MedStarHealth@UofMaryland#Endotwitter#EndocrineUniversitypic.twitter.com/3Dx5J4UzKc
Hvala. Twitter će to iskoristiti za poboljšanje vaše vremenske crte. PoništiPoništi -
Houssein A. Sater proslijedio/la je Tweet
Dr. Fatima Karzai
@FatimaKarzai@theNCI discusses the evolving role of#genomics
in #ProstateCancer. A study@theNCI is evaluating patients with#highrisk#mutations Collaboration w/@NCIBillDahut@heatherhcheng@vedangiri@wandering_gu Trial link: https://bit.ly/2PiDBix pic.twitter.com/v70qlgEZNY
Hvala. Twitter će to iskoristiti za poboljšanje vaše vremenske crte. PoništiPoništi -
Houssein A. Sater proslijedio/la je Tweet
You can tell which one is the PI by the extent of the smile! Proud of these
@NCICCR_MOS investigators!#immunotherapyhttps://twitter.com/DrGattiMays/status/1204911523644219392 …
Hvala. Twitter će to iskoristiti za poboljšanje vaše vremenske crte. PoništiPoništi -
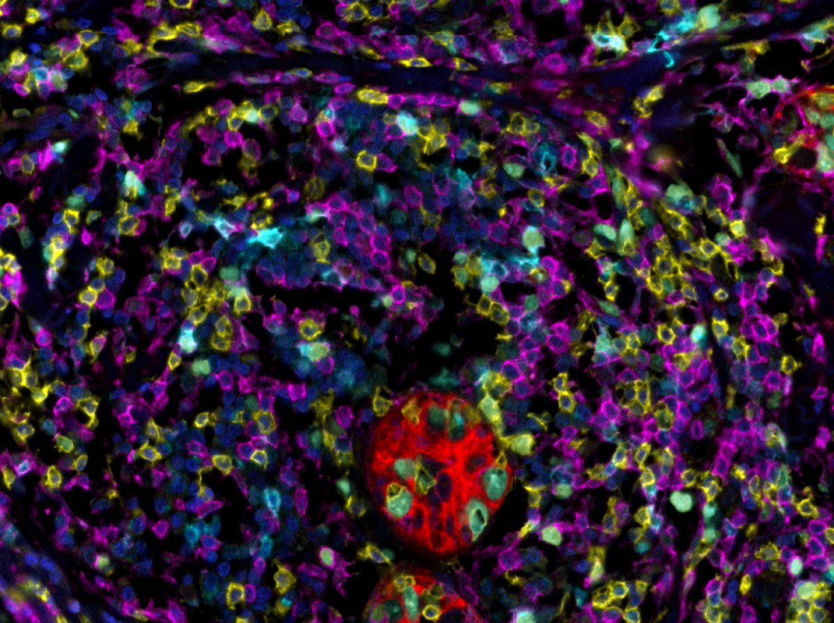
Houssein A. Sater proslijedio/la je Tweet
Twitter facilitates sci working groups/ eg, week pre
#SITC2019 “Jedi IHC Council” formed in 8d w/members from Singapore/USA/Canada/UK & met in DC@HSaterMD@JoeYeong@carlobifulco@tdmckee@IAMichaelNelson@petebankhead@ColtEgelston@VillasboasJC@Shawn_M_Jensen@DenisSchapirohttps://twitter.com/VincentRK/status/1204440992356720640 …Prikaži ovu nitHvala. Twitter će to iskoristiti za poboljšanje vaše vremenske crte. PoništiPoništi -
Houssein A. Sater proslijedio/la je Tweet
.
@ScotNiglio welcome to Twitter!! Friends, meet Dr. Niglio who is a GU Medical Oncologist@NCIResearchCtr@nciccr_gmb@NIHClinicalCntr Follow him for important updates in#bladdercancer.Hvala. Twitter će to iskoristiti za poboljšanje vaše vremenske crte. PoništiPoništi -
Highly encourage to attend the
@sitcancer SITC Cancer Immunotherapy Winter School on Jan. 13–17, 2020, in#Houston. This 5-day educational program for young investigators and clinicians will deepen your understanding of#SITCWinterSchool.https://www.sitcancer.org/education/winter-school …Hvala. Twitter će to iskoristiti za poboljšanje vaše vremenske crte. PoništiPoništi -
Houssein A. Sater proslijedio/la je Tweet
ImmunityBio Granted FDA Breakthrough Therapy Designation for N-803 IL-15 Superagonist in NMI
#BladderCancer https://bit.ly/2Pfw3vu@biospace@BladderCancerUSHvala. Twitter će to iskoristiti za poboljšanje vaše vremenske crte. PoništiPoništi -
Houssein A. Sater proslijedio/la je Tweet
Congratulations to all CCR staff who received
@theNCI Director's Awards. Below are a few of are staff who were in attendance@rosiekaplanmd@CherylLynneR@LabShalini@slgoff_SB@NCICCR_VB@NCI_CCR_PedOnc@NCITomMisteli@NCIDirectorpic.twitter.com/dYjoVQQ1fH
Hvala. Twitter će to iskoristiti za poboljšanje vaše vremenske crte. PoništiPoništi -
Houssein A. Sater proslijedio/la je Tweet
I might have a “little” bias but I honestly believe that there is no better place then
@NCIResearchCtr@nih for early investigators. We are particularly passionate about providing support and opportunities for physician-scientists. Welcome!!https://twitter.com/csernatamayo_md/status/1202328855018651648 …Hvala. Twitter će to iskoristiti za poboljšanje vaše vremenske crte. PoništiPoništi
Čini se da učitavanje traje već neko vrijeme.
Twitter je možda preopterećen ili ima kratkotrajnih poteškoća u radu. Pokušajte ponovno ili potražite dodatne informacije u odjeljku Status Twittera.