Tweets
- Tweets, current page.
- Tweets & replies
- Media
You blocked @GoogleHealth
Are you sure you want to view these Tweets? Viewing Tweets won't unblock @GoogleHealth
-
Pinned Tweet
Happy New Year! Our latest research, in collaboration with
@DeepMindAI, has been published in@nature today, demonstrating how our AI model can assist physicians in spotting breast cancer - a condition that affects 1 in 8 women in the US - with greater accuracy than experts.Show this threadThanks. Twitter will use this to make your timeline better. UndoUndo -
Google Health Retweeted
Today we launched an SOS Alert w/
@WHO, to make resources about#coronavirus easily accessible. When people search for related info on@Google, they’ll find the alert atop results page w/ direct access to safety tips, info, resources & Twitter updates from WHO.Show this threadThanks. Twitter will use this to make your timeline better. UndoUndo -
See our team’s recent research where they’ve demonstrated machine learning can reveal undetected signs of anemia in the eye from non-invasive images -http://blog.google/technology/health/anemia-detection-retina …
Thanks. Twitter will use this to make your timeline better. UndoUndo -
Learn more about
@KBDeSalvo's work on#SDOH - "These social determinants of health account for an estimated 60% of U.S. health outcomes, and intervention to address these factors has the potential to improve health outcomes and lower health care costs"https://twitter.com/KBDeSalvo/status/1219550148306644993 …Thanks. Twitter will use this to make your timeline better. UndoUndo -
David Feinberg is live on stage at
#startuphealth talking about the Power of Partnerships in healthcare. Watch and learn.https://twitter.com/dtfeinberg/status/1217210278221189120 …Thanks. Twitter will use this to make your timeline better. UndoUndo -
Our Chief Health Officer,
@KBDeSalvo, has dedicated her entire career to improving the health of people and communities. She is the voice of patients and providers for Google Health.https://twitter.com/KBDeSalvo/status/1215508418108092416 …Thanks. Twitter will use this to make your timeline better. UndoUndo -
Want to know what Google Health is up to? Watch the HLTH keynote from our VP, David Feinberg, to learn more about how we are working to help everyone live their healthiest lives.https://www.youtube.com/watch?v=21A1CdmFcwE …
Thanks. Twitter will use this to make your timeline better. UndoUndo -
Google Health Retweeted
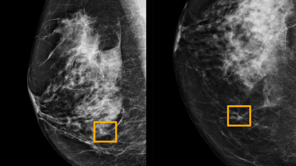
In a collaboration with
@Google, Northwestern researchers developed an#AI model to predict breast cancer in mammography scans more accurately than radiologists, a significant advancement for early cancer detection. http://bit.ly/2SPG0mM pic.twitter.com/p536VQlqkY
Thanks. Twitter will use this to make your timeline better. UndoUndo -
Watch
#AgeOfAI to learn more about how our AI technologies are making speech technology more accessible to people with disabilities and helping doctors prevent blindness in people with diabetes - https://www.youtube.com/watch?v=V5aZjsWM2wo …pic.twitter.com/BDqj3spLBcThanks. Twitter will use this to make your timeline better. UndoUndo -
Google Health Retweeted
Breast cancer is the most common cancer in women across the globe. Our
@googlehealth team has been working to see if they can help doctors spot it more accurately.http://goo.gle/2sKiQDMThanks. Twitter will use this to make your timeline better. UndoUndo -
You can read more here -https://blog.google/technology/health/improving-breast-cancer-screening …
Show this threadThanks. Twitter will use this to make your timeline better. UndoUndo
Loading seems to be taking a while.
Twitter may be over capacity or experiencing a momentary hiccup. Try again or visit Twitter Status for more information.