Tweetovi
- Tweetovi, trenutna stranica.
- Tweetovi i odgovori
- Medijski sadržaj
Blokirali ste korisnika/cu @EM3FOAMed
Jeste li sigurni da želite vidjeti te tweetove? Time nećete deblokirati korisnika/cu @EM3FOAMed
-
Prikvačeni tweet
Over the next 6 weeks, we'll be blogging updates to our popular Resus Drills by
@FfionDavies4 PLUS editable templates for each if you want to make it specific to your own hospital OR if you want to draft your own drills!
https://em3.org.uk/foamed/31/1/2020/resus-drills-lateral-canthotomy …Prikaži ovu nitHvala. Twitter će to iskoristiti za poboljšanje vaše vremenske crte. PoništiPoništi -
EastMidsFOAMed proslijedio/la je Tweet
https://academic.oup.com/milmed/article/184/Supplement_1/326/5418658 … I do love a good DIY sim trainer. We’ve had a few presented as posters at
#theemec and a brilliant workshop last year by@EM3FOAMedPrikaži ovu nitHvala. Twitter će to iskoristiti za poboljšanje vaše vremenske crte. PoništiPoništi -
EastMidsFOAMed proslijedio/la je Tweet
You will never guess what.... we have finally released our first
#blog of #2020- it’s time to look at AF *top tip* really try and take notes in the timeouts + link to your@ecacommittee framework. Thanks to@FosseADPRAC for their continued support
https://ededucate.co.uk/i-feel-like-my-heart-is-skipping-a-beat …Hvala. Twitter će to iskoristiti za poboljšanje vaše vremenske crte. PoništiPoništi -
EastMidsFOAMed proslijedio/la je Tweet
Oohhhh!!! Exciting!! Come join
#teamED@Leic_hospital
we’ve got sim rooms, and @EM3FOAMed and best of all- BUBBLES!!!
https://twitter.com/em3foamed/status/1224418546018660363 …
Hvala. Twitter će to iskoristiti za poboljšanje vaše vremenske crte. PoništiPoništi -
Calling all registrars!
The #EM3 education team@Leic_hospital is looking to expand! Are you passionate about adult or paediatric emergency medicine and would love the opportunity to teach? Then we'd love to hear from you! Closing date: 11th Feb
https://www.jobs.nhs.uk/showvac/1/2/915938347 …pic.twitter.com/YQ54sRZdNm
Hvala. Twitter će to iskoristiti za poboljšanje vaše vremenske crte. PoništiPoništi -
We've updated our
#LightningLearning on Croup this week! Find out why croup is an upper airway disorder common amongst infants and children - indicated by a "seal/dog-like" barking cough
pic.twitter.com/rTU8uRqMLe
Hvala. Twitter će to iskoristiti za poboljšanje vaše vremenske crte. PoništiPoništi -
So glad we could help with filming for this
#FOAMed Parkinsons module! Useful for all GPs, junior doctors and students, as well as GP practice nurses/teams. Be sure to sign up and check it out!
http://bit.ly/2tng5IL
+ many thanks to @pdinfocus for getting us involved!https://twitter.com/ParkinsonsEN/status/1224279130339934209 …
Hvala. Twitter će to iskoristiti za poboljšanje vaše vremenske crte. PoništiPoništi -
EastMidsFOAMed proslijedio/la je Tweet
Some CPD for your morning commute. Hear from the author of this month’s
@ArchivesEandP Editor’s Choice paper.@RCPCHtweets@rcpch_trainees@EastTrainees@EM3FOAMed@UKAPStweets@PaediatricFOAM@NLaGpaeds@TeachMePaedshttps://twitter.com/2_paeds/status/1223895489600466951 …Hvala. Twitter će to iskoristiti za poboljšanje vaše vremenske crte. PoništiPoništi -
EastMidsFOAMed proslijedio/la je Tweet
In 2018 we decided to co-develop this. 14 months later this free
#GP#parkinsons educational module is the result. Thanks to all.#MedTwitter Sign up now: http://bit.ly/2tng5IL@NikkiKF@EM3FOAMed@nigelhart@amcunningham@DrUrsulaM@DoctorMayur@AnnaMarquiss1@NHSELRCCGhttps://twitter.com/ParkinsonsEN/status/1224279130339934209 …
Hvala. Twitter će to iskoristiti za poboljšanje vaše vremenske crte. PoništiPoništi -
EastMidsFOAMed proslijedio/la je Tweet
Making
#greatix accessible to all! Really great to make our greatix onto QR code!@BartsWellbeing@TessaRDavis@DFTBubblespic.twitter.com/dFhR80Jwox
Hvala. Twitter će to iskoristiti za poboljšanje vaše vremenske crte. PoništiPoništi -
EastMidsFOAMed proslijedio/la je Tweet
Come and join us at Leicester and help create a Physician Response Unit and work within one of the largest EDs in the country! A 50/50 ED and PHEM post to help build experience and a portfolio for doctors post ST3. Starting in August. https://www.jobs.nhs.uk/xi/vacancy/?vac_ref=915938530 …pic.twitter.com/DMZegnCThh
Hvala. Twitter će to iskoristiti za poboljšanje vaše vremenske crte. PoništiPoništi -
EastMidsFOAMed proslijedio/la je Tweet
Customise the drills for your own locality. New drills are in the making too.https://twitter.com/EM3FOAMed/status/1223254439789809664 …
Hvala. Twitter će to iskoristiti za poboljšanje vaše vremenske crte. PoništiPoništi -
NB: Links to a printable PDF for each drill + editable template are at the end of the blog
To use the editable template you will need a Google account. Once logged in you can edit as necessary. You can then download a PDF by going to: File → Download → PDF DocumentPrikaži ovu nitHvala. Twitter će to iskoristiti za poboljšanje vaše vremenske crte. PoništiPoništi -
EastMidsFOAMed proslijedio/la je Tweet
Absolutely criminal self promotion, but we have a lot of infographics and resources aimed at GPs new to paeds on our website that might help? Other
#FOAMed friends to definitely check out:@2_paeds@Dragon_Bytes@PEMinfographics@DFTBubbles@EM3FOAMedHvala. Twitter će to iskoristiti za poboljšanje vaše vremenske crte. PoništiPoništi -
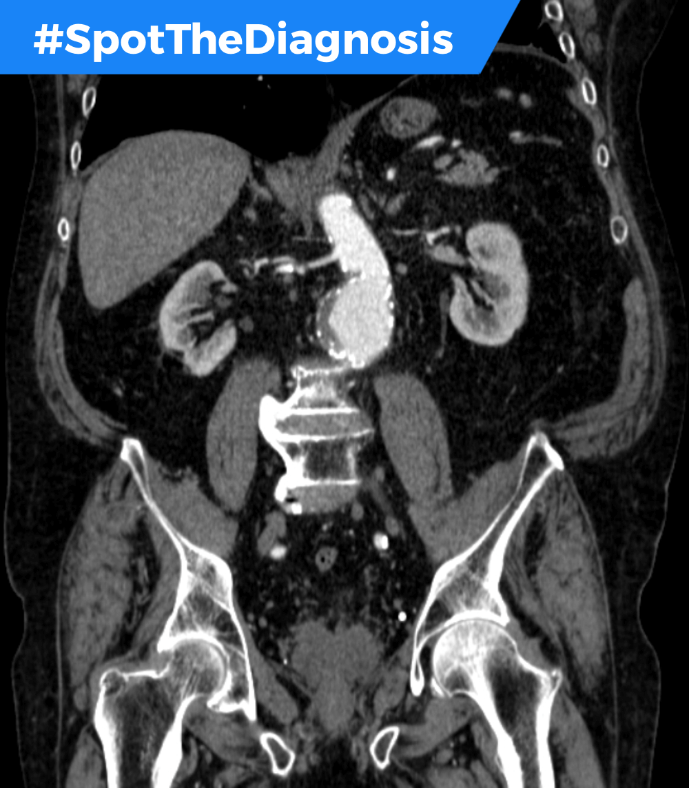
Complications of aneurysm include rupture, thrombosis and dissection. (3/3) CT reference
https://radiopaedia.org/cases/abdominal-aortic-aneurysm-20 …Prikaži ovu nitHvala. Twitter će to iskoristiti za poboljšanje vaše vremenske crte. PoništiPoništi -
There are no signs of aortic rupture. Osteoporotic changes of the patient vertebral column are noted. Atherosclerosis usually causes fusiform aneurysm due to focal weakening of the aortic wall that involves the whole circumference. (2/3)
Prikaži ovu nitHvala. Twitter će to iskoristiti za poboljšanje vaše vremenske crte. PoništiPoništi -
The answer to this week's
#SpotTheDiagnosis quiz was Abdominal Aortic Aneurysm. The scan shows a fusiform aneurysmal dilatation of the infra-renal abdominal aorta with a mural thrombus is noted not affecting the major branches. (1/3)pic.twitter.com/3N1i9lL1Gs
Prikaži ovu nitHvala. Twitter će to iskoristiti za poboljšanje vaše vremenske crte. PoništiPoništi -
Looking forward to starting our next Trauma Intermediate Life Support (
#TILS) course for our local ED nurses. We’ve got many sims & stations set up for practicing A-E assessment: bagging & CPR; applying pelvic binders, tourniquets and splints; massive haemorrhage and much more!pic.twitter.com/M5MWrYKMki – mjesto: Leicester Royal Infirmary
Hvala. Twitter će to iskoristiti za poboljšanje vaše vremenske crte. PoništiPoništi -
EastMidsFOAMed proslijedio/la je Tweet
70 y/o male with abdo pain & vomiting. He last opened his bowels 2 days ago. He takes no regular medications, rarely sees his GP. See thread for CT
Bilateral hydronephrosis
Acute small bowel obstruction
Ruptured Abdominal Aortic Aneurysm
Abdominal Aortic AneurysmPrikaži ovu nitHvala. Twitter će to iskoristiti za poboljšanje vaše vremenske crte. PoništiPoništi -
EastMidsFOAMed proslijedio/la je Tweet
[QUIZ] 70 y/o male presents with abdominal pain and vomiting. He last opened his bowels 2 days ago. He takes no regular medications, rarely sees his GP. Can you
#SpotTheDiagnosis? See thread to vote
pic.twitter.com/rF8pV7bfEE
Prikaži ovu nitHvala. Twitter će to iskoristiti za poboljšanje vaše vremenske crte. PoništiPoništi
Čini se da učitavanje traje već neko vrijeme.
Twitter je možda preopterećen ili ima kratkotrajnih poteškoća u radu. Pokušajte ponovno ili potražite dodatne informacije u odjeljku Status Twittera.
Creators of