Tweetovi
- Tweetovi, trenutna stranica.
- Tweetovi i odgovori
- Medijski sadržaj
Blokirali ste korisnika/cu @DuzelLab
Jeste li sigurni da želite vidjeti te tweetove? Time nećete deblokirati korisnika/cu @DuzelLab
-
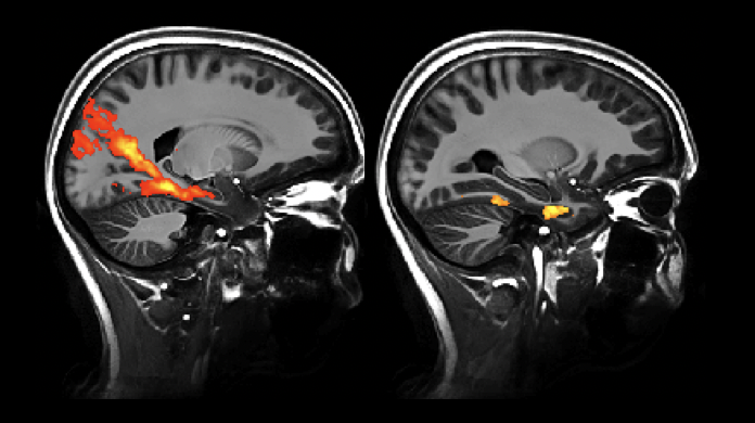
Hippocampal vascular reserve associated with cognitive performance and hippocampal volume - new work from Valentina Perosa et al., in
@Brain1878@OVGUpresse@DZNE_dehttps://academic.oup.com/brain/advance-article/doi/10.1093/brain/awz383/5717233 …Hvala. Twitter će to iskoristiti za poboljšanje vaše vremenske crte. PoništiPoništi -
Duzel Lab proslijedio/la je Tweet
Excited to see many friends and colleagues at today‘s
#EUFIND meeting on ultrahigh-field imaging in neurodegenerative diseases@DZNE_depic.twitter.com/2Q1hjOwtcZ
Hvala. Twitter će to iskoristiti za poboljšanje vaše vremenske crte. PoništiPoništi -
Duzel Lab proslijedio/la je Tweet
Prof. Emrah Düzel: „Die Grundidee ist, dass demenzielle Erkrankungen eine sehr lange vorklinische Vorlaufzeit haben, bis zu 20 Jahren bei der Alzheimer-Demenz.“ Co-Founder Emrah Düzel im Interview zu Apps im Gesundheitswesen https://www.deutschlandfunk.de/digitale-psychiatrie-die-app-dein-seelenwaechter.740.de.html?dram:article_id=467100 …
#neotiv#alzheimerpic.twitter.com/VT0mFMsPEM
Hvala. Twitter će to iskoristiti za poboljšanje vaše vremenske crte. PoništiPoništi -
Duzel Lab proslijedio/la je Tweet
Nice start to 2020! Our labour of love paper using structural MRI and f-DOPA PET to investigate the role of the
#striatum in action learning in aging is finally out! Many congrats to Valentina for seeing this through@DuzelLab@DZNE_enhttps://academic.oup.com/cercor/advance-article-abstract/doi/10.1093/cercor/bhz313/5688723?redirectedFrom=fulltext …Hvala. Twitter će to iskoristiti za poboljšanje vaše vremenske crte. PoništiPoništi -
Duzel Lab proslijedio/la je Tweet
More pics from the 7T hackathon of our
#LCIMM19 before entering the scanner. I seem slightly less enthusiastic after having the motion correction bite bar in. Still not sure why I had to put it in so early and wasn't allowed to speak once it was in
.pic.twitter.com/8XtLUuVIWK
Hvala. Twitter će to iskoristiti za poboljšanje vaše vremenske crte. PoništiPoništi -
Duzel Lab proslijedio/la je Tweet
seems like magdeburg is becoming a scientific hotspot
exciting to have so many friends here visiting from all over the world. @joe__winer @ Eider Arenaza-Urquijo@rosanna_olsen@ajehrenberg@david_berronpic.twitter.com/vmIQmf79Re
Hvala. Twitter će to iskoristiti za poboljšanje vaše vremenske crte. PoništiPoništi -
Duzel Lab proslijedio/la je Tweet
Good morning from Magdeburg! See you soon,
@DuzelLab@anne_maass@JonPShine@david_berronpic.twitter.com/Qv4UPWgX5X
Hvala. Twitter će to iskoristiti za poboljšanje vaše vremenske crte. PoništiPoništi -
Duzel Lab proslijedio/la je Tweet
Thank you to everyone for attending + presenting at
#LCIMM19. It was an honour to host so many awesome scientists working on our favourite spaghetti structure. Wishing you all a happy holiday!pic.twitter.com/ahmREHFlkO
Prikaži ovu nitHvala. Twitter će to iskoristiti za poboljšanje vaše vremenske crte. PoništiPoništi -
Matthew Betts and Dorothea Haemmerer kicked off a truly interdisciplinary and very stimulating meeting on the Locus Coeruleus, gathering over 80 international researchers at the DZNE Magdeburghttps://twitter.com/MTJBetts/status/1205188879357292544 …
Hvala. Twitter će to iskoristiti za poboljšanje vaše vremenske crte. PoništiPoništi -
Duzel Lab proslijedio/la je Tweet
Many congrats to the newly minted Dr. med Valentina Perosa for smashing the thesis defence!
#proud#timetocelebrate
pic.twitter.com/8T14kIt0Yp
Hvala. Twitter će to iskoristiti za poboljšanje vaše vremenske crte. PoništiPoništi -
Duzel Lab proslijedio/la je Tweet
Unsere Co-Founder Julian & Emrah sind heute auf dem Health IT Forum
#MEDICA2019.@MEDICATradeFair@DuzelLab@linderade@adahealth_de#neotiv#Alzheimerpic.twitter.com/n6ZiDpTMQr
Hvala. Twitter će to iskoristiti za poboljšanje vaše vremenske crte. PoništiPoništi -
Duzel Lab proslijedio/la je Tweet
Wir suchen neue Talente: .Net Core Backend Developer (w/m/d) QA Software Tester (w/m/d) Data Engineer (w/m/d) Flutter App Developer (w/m/d) https://neotiv.com/de/jobs
#neotiv#workwithamission#alzheimerspic.twitter.com/EXaoTQQLoD
Hvala. Twitter će to iskoristiti za poboljšanje vaše vremenske crte. PoništiPoništi -
Duzel Lab proslijedio/la je Tweet
We are looking for a student RA
@LundUniversity for a project on the effects of AD pathology on functional brain systems! If structural/functional MRI at 7T, preclinical AD and smartphone-based cognitive assessments sound interesting to you, please apply! http://cutt.ly/Mw73ZcI pic.twitter.com/db1cvFSDTx
Hvala. Twitter će to iskoristiti za poboljšanje vaše vremenske crte. PoništiPoništi -
Duzel Lab proslijedio/la je Tweet
We have three
#PhD positions available as part of an exciting translational project with@d_haemmerer@_MaPr_ + Tino Zaehle to study how tVNS can stimulate the noradrenergic system in ageing! For more info contact us! Please RT http://www.iknd.ovgu.de/News/3+open+CBBS+PhD+positions.html …@ResearchGermany#PhDGermanyHvala. Twitter će to iskoristiti za poboljšanje vaše vremenske crte. PoništiPoništi -
Duzel Lab proslijedio/la je Tweet
Our new paper on the relationship of CSF p-tau levels, increased hippocampal activity and object mnemonic discrimination in older adults is out https://www.jneurosci.org/content/early/2019/09/18/JNEUROSCI.1279-19.2019 …
@DZNE_en#DELCODEstudy@SfNJournalsHvala. Twitter će to iskoristiti za poboljšanje vaše vremenske crte. PoništiPoništi -
New from
@david_berron +@DZNE_en#DELCODE study group - Higher CSF tau levels are related to hippocampal hyperactivity and object mnemonic discrimination in older adults https://www.jneurosci.org/content/early/2019/09/18/JNEUROSCI.1279-19.2019 …@SfNJournalsHvala. Twitter će to iskoristiti za poboljšanje vaše vremenske crte. PoništiPoništi -
First workshop towards establishing research definitions for reserve and resilence in cognitive ageing + dementia as part of a new 3-year NIA-supported initiative. Many thanks to
@Yaakov_Stern +@RsrveResilience for organising this important meeting#reserveandresiliencehttps://twitter.com/RsrveResilience/status/1171410309862580229 …
Hvala. Twitter će to iskoristiti za poboljšanje vaše vremenske crte. PoništiPoništi -
Duzel Lab proslijedio/la je Tweet
Now out: We can make predictions about what images will be remembered or forgotten by those developing Alzheimer's & dementia, and specific images can be used to improve early diagnosis.
@alzassociation In collab w/@david_berron@DuzelLab@Chris_I_Baker :https://www.sciencedirect.com/science/article/pii/S2352872919300569 …Hvala. Twitter će to iskoristiti za poboljšanje vaše vremenske crte. PoništiPoništi -
Duzel Lab proslijedio/la je Tweet
Very happy to be part of this smart study by Jenna Adams which shows that entorhinal connectivity (in young) explains the pattern of tau accumulation in old age, particulary by alEC
@tessamharrison https://doi.org/10.7554/eLife.49132 …@eLifepic.twitter.com/uXaENWjwyg
Hvala. Twitter će to iskoristiti za poboljšanje vaše vremenske crte. PoništiPoništi -
Duzel Lab proslijedio/la je Tweet
We are hosting a conference on brain health across the lifespan in Berlin on Nov 6. Speakers include Ulman Lindenberger, Lars Nyberg, Simone Kühn, Emrah Düzel, and Gerd Kempermann. Registration open until Oct 1. https://www.lifebrain.uio.no/events/berlin-conference.html …pic.twitter.com/9PgDatcrLM
Hvala. Twitter će to iskoristiti za poboljšanje vaše vremenske crte. PoništiPoništi
Čini se da učitavanje traje već neko vrijeme.
Twitter je možda preopterećen ili ima kratkotrajnih poteškoća u radu. Pokušajte ponovno ili potražite dodatne informacije u odjeljku Status Twittera.