Tweetovi
- Tweetovi, trenutna stranica.
- Tweetovi i odgovori
- Medijski sadržaj
Blokirali ste korisnika/cu @DrLizaSelley
Jeste li sigurni da želite vidjeti te tweetove? Time nećete deblokirati korisnika/cu @DrLizaSelley
-
Prikvačeni tweet
Delighted to present our study on
#brakedust#particle toxicity in@Metallomics! Have a read if you’re interested in#airquality,#nonexhaust#emissions,#lungs,#publichealth or just#AirPollution in general. We had a lot of fun doing this research! https://rsc.li/37OS2B5Hvala. Twitter će to iskoristiti za poboljšanje vaše vremenske crte. PoništiPoništi -
A scary point, well made. Hazards from vehicles extend beyond those we can seehttps://twitter.com/DrGaryFuller/status/1221711649444454400 …
Hvala. Twitter će to iskoristiti za poboljšanje vaše vremenske crte. PoništiPoništi -
I'm thinking
#woodsmoke and supersoakers. 50 points for every fire you extinguish via an open window, 100 for those beaten via the chimney!#decarbonisation#AirPollutionhttps://bit.ly/37jMrTGHvala. Twitter će to iskoristiti za poboljšanje vaše vremenske crte. PoništiPoništi -
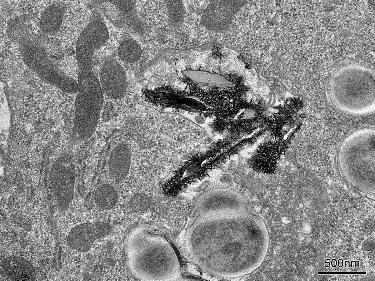
Thank you Nobu and Maria for this beaut image of a
#macrophage trying to deal with the#brakedust that it’s taken up. Note the airway#pathogens to the right- these guys are still growing in there!https://twitter.com/MRC_TU/status/1219652191461552128 …
Hvala. Twitter će to iskoristiti za poboljšanje vaše vremenske crte. PoništiPoništi -
Liza Selley proslijedio/la je Tweet
Did you know? More than 55% of roadside traffic pollution comes for non-exhaust particles. Toxicologist
@DrLizaSelley explains.http://bit.ly/30fk3znHvala. Twitter će to iskoristiti za poboljšanje vaše vremenske crte. PoništiPoništi -
Enjoyed speaking to
@NickFerrariLBC yesterday about how a trip to Greece sparked my ambition to become an air quality toxicologist@ArchipelagoGr Thanks Nick for helping to raise awareness about brake dust!pic.twitter.com/IlXx8TXzmdHvala. Twitter će to iskoristiti za poboljšanje vaše vremenske crte. PoništiPoništi -
Interesting thought! I imagine there would be some impact on insect biodiversity even if it’s just filtering down from plants taking up particles. Any
#entomologists out there who can help?https://twitter.com/ClaireWallace95/status/1215360800048713729 …Hvala. Twitter će to iskoristiti za poboljšanje vaše vremenske crte. PoništiPoništi -
Liza Selley proslijedio/la je Tweet
A new study from researchers including our own
@DrLizaSelley found that brake dust - tiny metal particles released when a car brakes - may damage the immune system, preventing cells called macrophages from engulfing bacteria and clearing them awayhttps://www.telegraph.co.uk/science/2020/01/09/do-have-london-throat-scrapping-speed-bumps-could-help/ …Hvala. Twitter će to iskoristiti za poboljšanje vaše vremenske crte. PoništiPoništi -
Small victory for
#nonexhaust PM tonight as my childhood parish council agree to recommend methods for speeding control that protect against excessive brake dust emissions
#airquality#toxicology#lungs#particles#awareness#cleanairHvala. Twitter će to iskoristiti za poboljšanje vaše vremenske crte. PoništiPoništi -
Liza Selley proslijedio/la je Tweet
Fed up of fireworks. Enough already. Seems crazy the effort we are making to campaign for clean air but somehow we have a blind spot where fireworks are concerned.
#BanFireworksHvala. Twitter će to iskoristiti za poboljšanje vaše vremenske crte. PoništiPoništi -
Liza Selley proslijedio/la je Tweet
I love fireworks but the
#airpollution from them is terrible. Could this be an alternative. Certainly looks full of wow!https://twitter.com/nytimes/status/1212156518193340416 …
0:22Hvala. Twitter će to iskoristiti za poboljšanje vaše vremenske crte. PoništiPoništi -
Liza Selley proslijedio/la je Tweet
Our paper on urban
#microplastic deposition out now!#plasticpollution#AirPollutionhttps://www.sciencedirect.com/science/article/pii/S0160412019330351 …Prikaži ovu nitHvala. Twitter će to iskoristiti za poboljšanje vaše vremenske crte. PoništiPoništi -
Hospital appointment with neurologist cancelled. Apparently migraines 7 days a week is not enough migraines to try to help migraines?! It seems even
#migraine doctors need a lesson in#migraineawareness!@MigraineTrustHvala. Twitter će to iskoristiti za poboljšanje vaše vremenske crte. PoništiPoništi -
Really nice review of post-translational control of cellular stress responses from my colleagues at
@MRC_TU. Those figures
https://twitter.com/Vickynottoday/status/1206590826975039488 …Hvala. Twitter će to iskoristiti za poboljšanje vaše vremenske crte. PoništiPoništi -
You learn something new about yourself every day..I thought this was just how people see!?https://twitter.com/MigraineTrust/status/1203971272922808320 …
Hvala. Twitter će to iskoristiti za poboljšanje vaše vremenske crte. PoništiPoništi -
Some vital data from the team at
@CentreEnvHealth . Enjoy your commute!https://twitter.com/drdaveatkings/status/1200319535364104192 …
Hvala. Twitter će to iskoristiti za poboljšanje vaše vremenske crte. PoništiPoništi -
Shunning the suit dress for my usual clothes to give my keynote for
@AtmosScience. How can we engage properly if we don’t present the person behind the science?#WomenInSTEM#toxicologistHvala. Twitter će to iskoristiti za poboljšanje vaše vremenske crte. PoništiPoništi -
Liza Selley proslijedio/la je Tweet
Airborne microplastics are increasingly being detected. Tonight at 7:30pm on ITV Tonight, the team (Dr S Wright and Professor F.J Kelly) and I highlight the presence of airborne microplastics within
@lucysiegle's home, that if inhaled, can gain entry into the deep lung.pic.twitter.com/QhWaO80nLW
Hvala. Twitter će to iskoristiti za poboljšanje vaše vremenske crte. PoništiPoništi -
I wonder whether any
#ExtinctionRebellion protesters have considered this evidence based method of raising awareness about air pollution? It's accessible for most and is considered to be very effectivehttps://bit.ly/2IEdVsSHvala. Twitter će to iskoristiti za poboljšanje vaše vremenske crte. PoništiPoništi -
A very exhausting but fulfilling
#CleanAirDay this year, showing future scientists of Manchester how to experiment with#particles#toxicologist#woodsmoke#airquality#HealthyLivingpic.twitter.com/i89xHsLnb2
Hvala. Twitter će to iskoristiti za poboljšanje vaše vremenske crte. PoništiPoništi
Čini se da učitavanje traje već neko vrijeme.
Twitter je možda preopterećen ili ima kratkotrajnih poteškoća u radu. Pokušajte ponovno ili potražite dodatne informacije u odjeljku Status Twittera.