Tweetovi
- Tweetovi, trenutna stranica.
- Tweetovi i odgovori
- Medijski sadržaj
Blokirali ste korisnika/cu @DarelHeitkamp
Jeste li sigurni da želite vidjeti te tweetove? Time nećete deblokirati korisnika/cu @DarelHeitkamp
-
Darel Heitkamp, MD proslijedio/la je Tweet
"It is...strange that the ABMS would call their fees ‘reasonable’ when those fees only apply to new, younger, often debt-burdened physicians and not to older physicians certified before 1990." https://dooz.us/2GNbpix
@doctorwesHvala. Twitter će to iskoristiti za poboljšanje vaše vremenske crte. PoništiPoništi -
Darel Heitkamp, MD proslijedio/la je Tweet
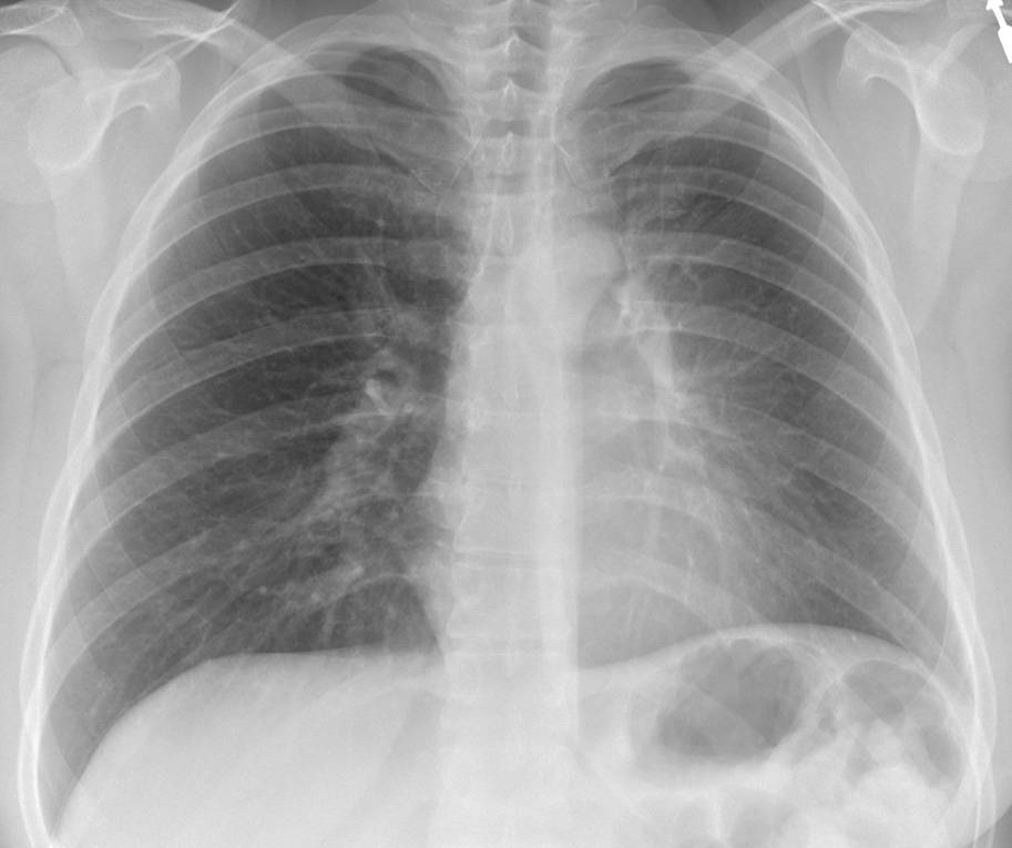
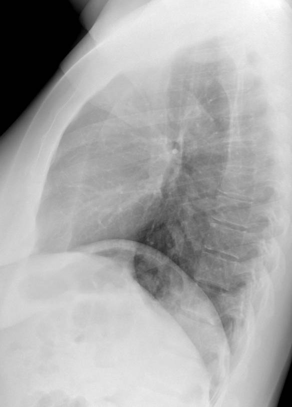
Sign? A. Hilum overlay B. Silhouette C. Air bronchogram D. Scimitar
#ChestRadEdu#meded@TanMohammedMD@DarelHeitkamp Answer: Silhouette (RML pneumonia). PA - opacity obscuring R heart border. Lateral - opacity overlying heart, marginated inferiorly by major fissurepic.twitter.com/KYSpuxPmdk
Hvala. Twitter će to iskoristiti za poboljšanje vaše vremenske crte. PoništiPoništi -
Darel Heitkamp, MD proslijedio/la je Tweet
Great paper on the merits of Twitter for program directors. A lot of the information is generalizable to all radiologists.
#radres@DarelHeitkamp@ErinCookeMD@amykpatel@JRobbinsMD@LoriDeitte@futureradres@AwanRad@TanMohammedMDpic.twitter.com/Ky6vueodTB
Hvala. Twitter će to iskoristiti za poboljšanje vaše vremenske crte. PoništiPoništi -
Darel Heitkamp, MD proslijedio/la je Tweet
What are other values that guide the work of a radiologist ?https://twitter.com/darelheitkamp/status/1222541850956963843 …
Hvala. Twitter će to iskoristiti za poboljšanje vaše vremenske crte. PoništiPoništi -
Darel Heitkamp, MD proslijedio/la je Tweet
A person who won't read has no advantage over one who can't read. -Mark Twain Need a book recommendation? Try "Tuesdays With Morrie" by Mitch Albom. It's about a teacher who gave his student the greatest gift of all - wisdom.
#radres#meded@DarelHeitkampHvala. Twitter će to iskoristiti za poboljšanje vaše vremenske crte. PoništiPoništi -
“Our core value as physicians should not be predicated solely on the wait time for a finalized report, implying that the best radiologists are simply the fastest.”
@JACRJournal@theAPDR@nakoontz@apkamer https://www.jacr.org/article/S1546-1440(16)31342-4/fulltext#.XjGicNvtYOA.twitter …pic.twitter.com/AfdM1131T8
Hvala. Twitter će to iskoristiti za poboljšanje vaše vremenske crte. PoništiPoništi -
Darel Heitkamp, MD proslijedio/la je Tweet
#IUCOTD #192 ANSWER: Huntington disease (juvenile onset)! CAG trinucleotide repeat. Terrible disease, poor prognosis. Thx@apkamer for case!#FOAMrad#RadRes#MedEd#NeuroRad#Radiology Learn more: https://youtu.be/n_Ecx_e1jSU@IURadiology#IUCOTD#YouTube: https://bit.ly/2EXkWnX pic.twitter.com/vWvQPXIPI7
Hvala. Twitter će to iskoristiti za poboljšanje vaše vremenske crte. PoništiPoništi -
Darel Heitkamp, MD proslijedio/la je Tweet
#IUCOTD #192: Young man, gait & behavior disturbance. Findings? Diagnosis? Thx@apkamer 4 sharing case!#FOAMRad#RadRes#MedEd#NeuroRad#radiology Answer w/ appropriate GIF ONLY - stay professional & don't spoil answer!@IURadiology#IUCOTD#YouTube: https://bit.ly/2EXkWnX pic.twitter.com/cPylQjuwfY
Prikaži ovu nitHvala. Twitter će to iskoristiti za poboljšanje vaše vremenske crte. PoništiPoništi -
Darel Heitkamp, MD proslijedio/la je Tweet
YOU GUYS. I made a YouTube channel

First video is all about the #RankList (seemed timely). Plus there are bloopers at the end
. Would love feedback and ideas for more videos!
The RANK LIST - What Really Matters? | Yasha Gupta, MD https://youtu.be/nezGriJZpTg via @YouTubeHvala. Twitter će to iskoristiti za poboljšanje vaše vremenske crte. PoništiPoništi -
Darel Heitkamp, MD proslijedio/la je Tweet
Radiology Program Directors Should Have an Active Presence on Twitter - Journal of the American College of Radiology - The twitterverse has become a great hub for innovation and diversification of thought. Everyone should be here.
#Innovation#Diversityhttps://www.jacr.org/article/S1546-1440(19)31262-1/fulltext#.XiseuHq_1LE.twitter …Hvala. Twitter će to iskoristiti za poboljšanje vaše vremenske crte. PoništiPoništi -
“RadTwitter has, in fact, become an incubator for innovation, its cognitive diversity always challenging conventional thought with alternative ideas. In this regard, Twitter has tremendous power to enable personal growth.”
@JACRJournal https://www.jacr.org/article/S1546-1440(19)31262-1/fulltext#.XiseuHq_1LE.twitter …pic.twitter.com/5Jw3AmUiu6
Hvala. Twitter će to iskoristiti za poboljšanje vaše vremenske crte. PoništiPoništi -
Darel Heitkamp, MD proslijedio/la je Tweet
T1: As a background, we know that individuals from the lowest two quintiles of parental income are underrepresented in medical school. https://buff.ly/36niGQi
#JACRpic.twitter.com/yD3sIROrNo
Hvala. Twitter će to iskoristiti za poboljšanje vaše vremenske crte. PoništiPoništi -
Darel Heitkamp, MD proslijedio/la je Tweet
Wanna know why the AAMC’s “Apply Smart” analyses are biased - and likely to increase the overall number of residency applications students submit? If so, I made a video: https://youtu.be/HzEQ5HqHc08 https://twitter.com/GLBDallaghan/status/1220539484732841984 …
Hvala. Twitter će to iskoristiti za poboljšanje vaše vremenske crte. PoništiPoništi -
Darel Heitkamp, MD proslijedio/la je Tweet
Hey radiology residents - you can attend the Society of Thoracic Imaging Boot Camp for Residents free!! Great faculty - beautiful location.
#radedu#radres#chestraded@DarelHeitkamp@TanMohammedMD@ChilesCaroline@JeffreyKanneMD@ketailoren@edonnellymdphdpic.twitter.com/u8wA9a9MdS
Hvala. Twitter će to iskoristiti za poboljšanje vaše vremenske crte. PoništiPoništi -
Darel Heitkamp, MD proslijedio/la je Tweet
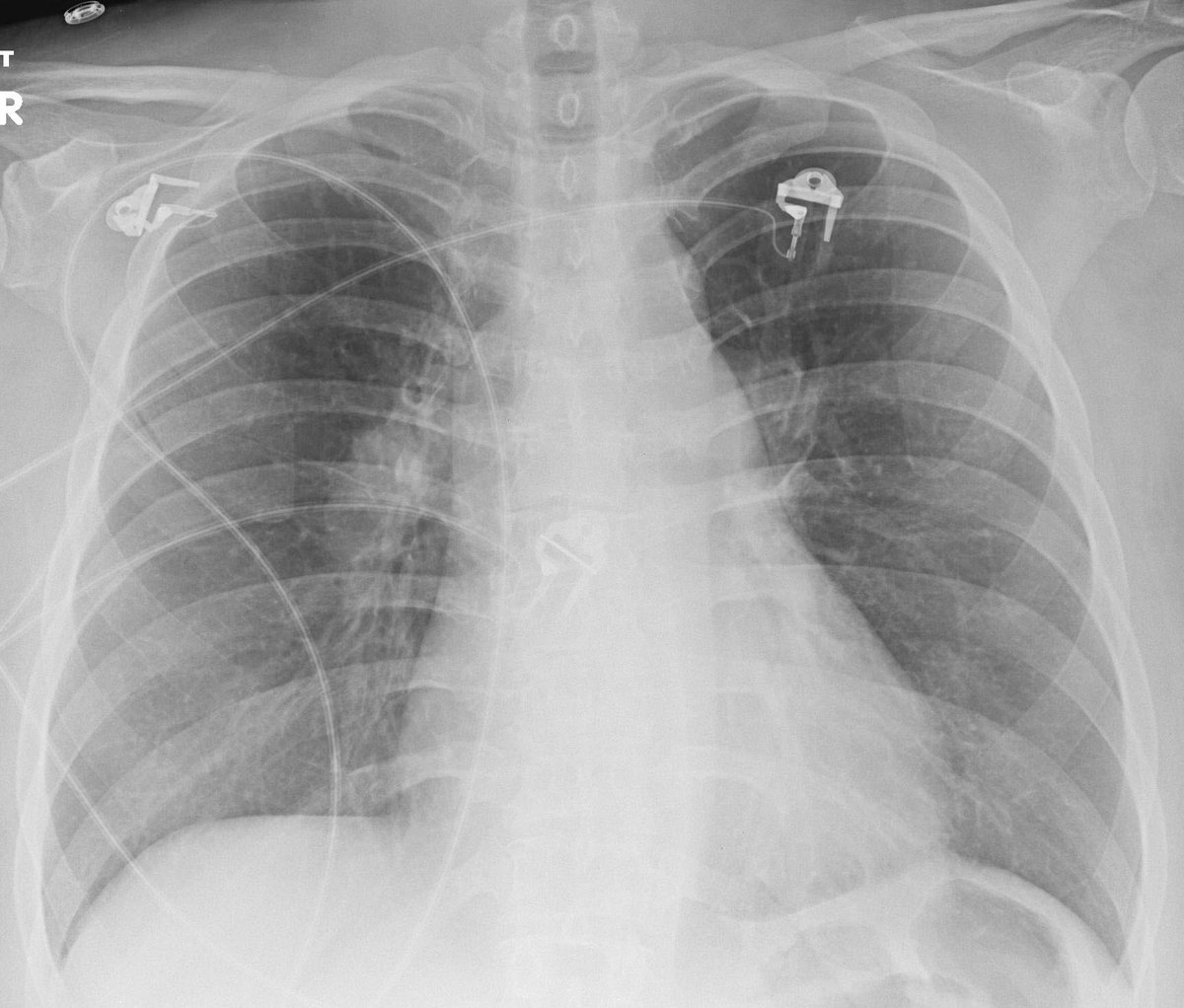
Sign? A. Hampton hump B. Hilum overlay C. Ring around the artery D. Knuckle
#radres#radedu#meded#FOAMed@TanMohammedMD@DarelHeitkamp@StefanTigges Answer: Knuckle. CXR - enlarged proximal R hilum with abrupt tapering; CT - enlarged R pulmonary artery filled with thrombus.pic.twitter.com/UJnJvi8GyZ
Hvala. Twitter će to iskoristiti za poboljšanje vaše vremenske crte. PoništiPoništi -
Darel Heitkamp, MD proslijedio/la je Tweet
Is Medical Education Debt Affecting Career Decisions?
Calling #MedEd twitter
Join us for the #JACR tweet chat this Thursday 8-9PM ET We want to here your thoughts.
http://bit.ly/MedDebt_JACR
Here's a sneak peek at the questions 

pic.twitter.com/bnaMnGcUlc
Hvala. Twitter će to iskoristiti za poboljšanje vaše vremenske crte. PoništiPoništi -
Wait,
@jannimd is dropping#FOAMrad? I’m here for it.#ChestRadEd#MedEd#RadRes@RadChiefs@chestradcollab@jonherochung@JeffreyKanneMD@velasco_md@DanielaMartinMD@TanMohammedMD@Arzanauskaite@edonnellymdphd@bplittle@LynnBroderick1@cirenrets@ShawnTeagueMDhttps://twitter.com/jannimd/status/1219658242277679105 …
Hvala. Twitter će to iskoristiti za poboljšanje vaše vremenske crte. PoništiPoništi -
Darel Heitkamp, MD proslijedio/la je Tweet
Massive drops in imaging reimbursement signal some private radiology practices ‘may be in jeopardy’.
@TJUHospital@JACRJournalhttp://ow.ly/1o3k50y0hhWHvala. Twitter će to iskoristiti za poboljšanje vaše vremenske crte. PoništiPoništi -
Darel Heitkamp, MD proslijedio/la je Tweet
"By requiring passage of the board’s examination, the board kept the ultimate gatekeeping power with themselves." https://dooz.us/2TDuZFK
@jbcarmodyHvala. Twitter će to iskoristiti za poboljšanje vaše vremenske crte. PoništiPoništi -
Darel Heitkamp, MD proslijedio/la je Tweet
What fun seeing our article from
@JACRJournal#10YearsAgoToday. Some things are timeless, especially the impact of great role models. So grateful for the ones in my life and career!https://twitter.com/DarelHeitkamp/status/1219309249718902784 …
Hvala. Twitter će to iskoristiti za poboljšanje vaše vremenske crte. PoništiPoništi
Čini se da učitavanje traje već neko vrijeme.
Twitter je možda preopterećen ili ima kratkotrajnih poteškoća u radu. Pokušajte ponovno ili potražite dodatne informacije u odjeljku Status Twittera.