Tweetovi
- Tweetovi, trenutna stranica.
- Tweetovi i odgovori
- Medijski sadržaj
Blokirali ste korisnika/cu @CtSpectral
Jeste li sigurni da želite vidjeti te tweetove? Time nećete deblokirati korisnika/cu @CtSpectral
-
When it rains, it pours.
#radres, 2 complications to placement of the R central venous catheter on this XR... arterial placement AND pneumothorax. Satisfaction of search!#FOAMed#FOAMRadpic.twitter.com/wl1qBZIEbp
Hvala. Twitter će to iskoristiti za poboljšanje vaše vremenske crte. PoništiPoništi -
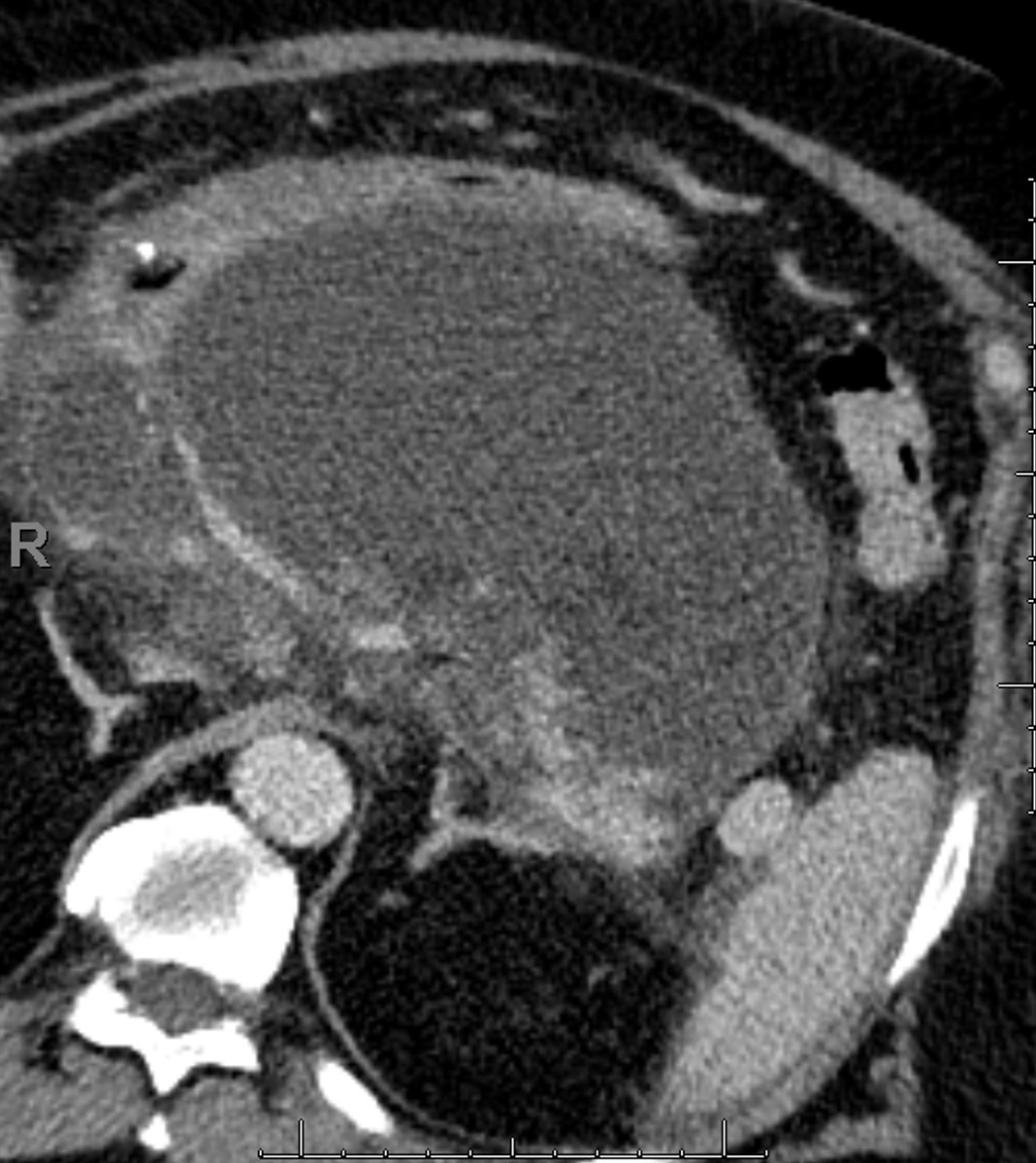
Yet another case where looking at the myocardium on abdomen CT makes a difference, esp with
#SpectralCT. Case of microvascular coronary obstruction after an outstanding angiographic result.https://www.ctspectral.com/spectral-cases/2020/2/4/no-reflow-on-abdomen-ct …Hvala. Twitter će to iskoristiti za poboljšanje vaše vremenske crte. PoništiPoništi -
CT virtual laryngoscopy: From nasal cavity to the trachea. A great way to learn about anatomy.
#FOAMed#FOAMrad#anatomypic.twitter.com/0msORRT6atOvo je potencijalno osjetljiv multimedijski sadržaj. Saznajte višeHvala. Twitter će to iskoristiti za poboljšanje vaše vremenske crte. PoništiPoništi -
Chr SMA occlusion, reconstituted (magenta arrow) from collaterals. Marginal artery of Drummond (yellow arrows), in the mesentery close to bowel, common pathway. The Arc of Riolan, another collateral pathway, runs in the root of the mesentery, absent here.
#FOAMed#radrespic.twitter.com/xYUGnMPhOcHvala. Twitter će to iskoristiti za poboljšanje vaše vremenske crte. PoništiPoništi -
Overheard the high schooler telling the 10-yr-old (trying instruments for band): "Everything is fun when you get good at it".
#radres, it might take some time, but you will get good at#radiology, and it will definitely be a lot of fun.Hvala. Twitter će to iskoristiti za poboljšanje vaše vremenske crte. PoništiPoništi -
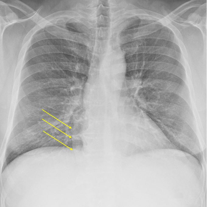
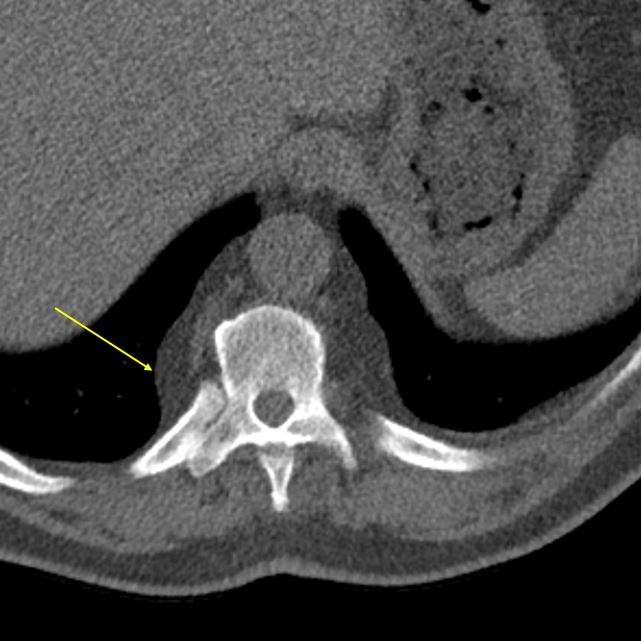
Another CXR line! Bulging R paraspinal line (yellow arrows), from fat deposition as seen on CT. This line usually not seen. Found this nice little piece by
@francisdeng on radiopedia https://radiopaedia.org/articles/right-paraspinal-line?lang=us …#FOAMed#radrespic.twitter.com/2RUrmX0GNS
Hvala. Twitter će to iskoristiti za poboljšanje vaše vremenske crte. PoništiPoništi -
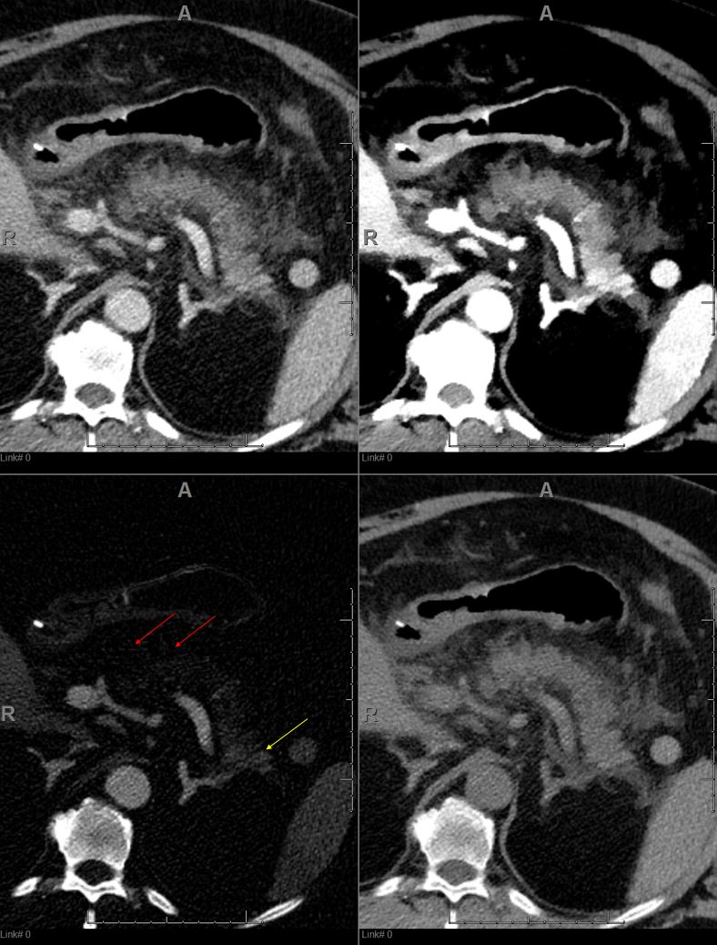
Remember to check attenuation of small hypodensities in pancreas on CT. Will save pt getting MRI for pancreatic lipomas (nice drop out on the out-of-phase image). By the way, what is "statistically likely represents an IPMN?"
#radres#bodyimagingpic.twitter.com/g7I7eMDpwK
Hvala. Twitter će to iskoristiti za poboljšanje vaše vremenske crte. PoništiPoništi -
Annular pancreas on
#SpectralCT. Note the complete circle of pancreatic tissue around the doudenum.#FOAMed#radrespic.twitter.com/ItUri5mTgB
Hvala. Twitter će to iskoristiti za poboljšanje vaše vremenske crte. PoništiPoništi -
Pt with hematuria. ED POCUS: bladder clot vs mass.
#SpectralCT shows obvious iodine uptake, c/w bladder cancer, confirmed on cystoscopy and path. This paper from Prague is about ddx of clot from urothelial mass with#dect. Usually very easy, imho. http://ar.iiarjournals.org/content/38/1/541.full …pic.twitter.com/NOCrTwEzth
Hvala. Twitter će to iskoristiti za poboljšanje vaše vremenske crte. PoništiPoništi -
F presenting after fall with pain. CT shows fractures of T12 and L3.
#SpectralCT with calcium suppression shows fracture of T12 with edema, therefore acute; fracture of L3 is chronic.#dect#MSKRadpic.twitter.com/s45INrExcW
Hvala. Twitter će to iskoristiti za poboljšanje vaše vremenske crte. PoništiPoništi -
Why I love
#Radiology: Learn something new everyday! Severe tricuspid regurgitation on#YesCCT. Note tricuspid valve remains open while mitral valve closes completely. This is because of pacemaker lead impingement on posterior leaflet. https://www.acc.org/latest-in-cardiology/ten-points-to-remember/2017/05/03/21/45/tricuspid-valve-dysfunction-following-pacemaker-or-cdi …pic.twitter.com/ddQfuKFChaHvala. Twitter će to iskoristiti za poboljšanje vaše vremenske crte. PoništiPoništi -
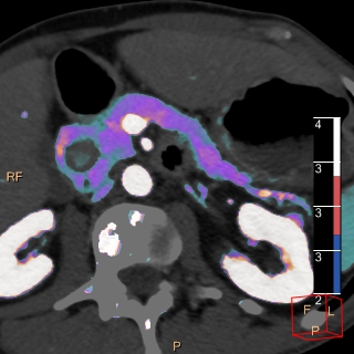
How I use
#SpectralCT#dect everyday. PACS snapshot. Conventional CT (top L) shows ac pancreatitis. Iodine map: diffuse hypoperfusion (red arrow), with small perfused panc in tail (yellow arrow) This is necrotic pancreatitis; FU CT 4 weeks later shows massive walled-off necrosispic.twitter.com/LltHva8f6g
Hvala. Twitter će to iskoristiti za poboljšanje vaše vremenske crte. PoništiPoništi -
How I use
#SpectralCT to see the invisible everyday. The image below is a PACS snapshot. Conventional CT (top L) shows normal R kidney. Iodine map shows cortical hypoperfusion (yellow arrow), confirmed on 40 keV (red arrow). This is pyelonephritis; U Cx pos for E coli.pic.twitter.com/KXuq7gqDSf
Hvala. Twitter će to iskoristiti za poboljšanje vaše vremenske crte. PoništiPoništi -
Hvala. Twitter će to iskoristiti za poboljšanje vaše vremenske crte. PoništiPoništi
-
Saw this at Dulles airport. Must be true! But why Dulles?
@EPICEMRparodypic.twitter.com/a0swI7xATZ
Hvala. Twitter će to iskoristiti za poboljšanje vaše vremenske crte. PoništiPoništi -
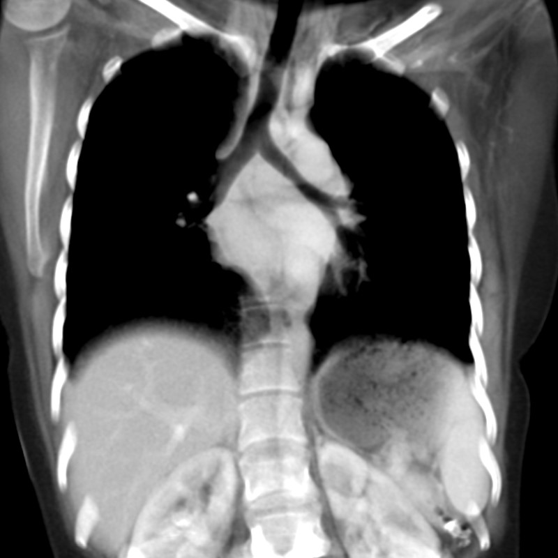
This is TB, the "captain of the men of death" before antibiotics. Critical to suspect TB in pt with risk factors; this young F was immigrant from endemic area. Necrotic LN's characteristic; radiologist often first to suggest diagnosis. Can be hard to confirm. She did well.
Prikaži ovu nitHvala. Twitter će to iskoristiti za poboljšanje vaše vremenske crte. PoništiPoništi -
#7PhotosOfMyLife Day 7 of 7. Nominated by@ericrobergemd Rules: No explanations. No people. One per day.pic.twitter.com/6T87ruy0hj
Hvala. Twitter će to iskoristiti za poboljšanje vaše vremenske crte. PoništiPoništi -
Hvala. Twitter će to iskoristiti za poboljšanje vaše vremenske crte. PoništiPoništi
-
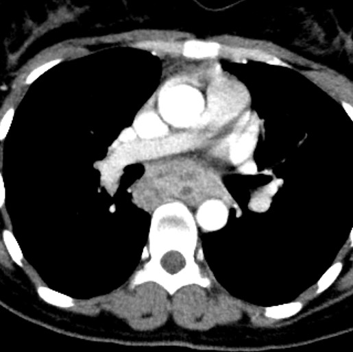
The azygoesophageal interface is markedly displaced to the right. Ant and post jn lines not seen (as is often the case). R paratrach stripe is normal. On popular demand, here is the CT. Large necrotic subcarinal nodes. Any guess which ancient scourge affects this young female?pic.twitter.com/H7gjCL0bnA
Prikaži ovu nitHvala. Twitter će to iskoristiti za poboljšanje vaše vremenske crte. PoništiPoništi -
Hvala. Twitter će to iskoristiti za poboljšanje vaše vremenske crte. PoništiPoništi
Čini se da učitavanje traje već neko vrijeme.
Twitter je možda preopterećen ili ima kratkotrajnih poteškoća u radu. Pokušajte ponovno ili potražite dodatne informacije u odjeljku Status Twittera.