Tweetovi
- Tweetovi, trenutna stranica.
- Tweetovi i odgovori
- Medijski sadržaj
Blokirali ste korisnika/cu @CraigHorbinski
Jeste li sigurni da želite vidjeti te tweetove? Time nećete deblokirati korisnika/cu @CraigHorbinski
-
Prikvačeni tweet
Ever wonder exactly WHY
#glioblastoma is so fatal, relative to other#cancers? Check out our new article on the subject.https://academic.oup.com/neuro-oncology/advance-article-abstract/doi/10.1093/neuonc/noz216/5618827 …Prikaži ovu nitHvala. Twitter će to iskoristiti za poboljšanje vaše vremenske crte. PoništiPoništi -
#Hypotension#infarcts can also occur in the#cerebellum. Here's one involving the superior cerebellar artery's watershed territory.#pathology#neuropath#pathtwitter#brain#strokepic.twitter.com/nkQ6GEZY2I
Hvala. Twitter će to iskoristiti za poboljšanje vaše vremenske crte. PoništiPoništi -
One of the most welcome (and overdue) changes is dropping
#Roman numerals in favor of#Arabic numerals for WHO grading. Sorry,#Caesar, you'll have to be content with salad dressing
. https://twitter.com/NeuropathClinic/status/1223511614017744900 …pic.twitter.com/6ZNZnVHBTXHvala. Twitter će to iskoristiti za poboljšanje vaše vremenske crte. PoništiPoništi -
Craig Horbinski proslijedio/la je Tweet
Ependymoma with numerous true rosettes, a characteristic but rare finding. IHC: EMA (luminal border and perinuclear dot-like)
#neuropathpic.twitter.com/KJlM6LQX89
Hvala. Twitter će to iskoristiti za poboljšanje vaše vremenske crte. PoništiPoništi -
a link to the postdoctoral position is here:https://main.hercjobs.org/jobs/13310710/postdoctoral-fellow-translational-brain-tumor-research/ …
Prikaži ovu nitHvala. Twitter će to iskoristiti za poboljšanje vaše vremenske crte. PoništiPoništi -
Craig Horbinski proslijedio/la je Tweet
1/
#Melanoma can look like anything: a#Tweetorial Most melanomas are fairly easy to recognize but the outliers are pretty crazy. Like this example with signet ring cells
https://twitter.com/DermwizGuy/status/1217188181914849280 …
Prikaži ovu nitHvala. Twitter će to iskoristiti za poboljšanje vaše vremenske crte. PoništiPoništi -
As our lab is expanding, and business is booming, I have three new positions opening up: 1. research lab manager 2. biobank technician 3. postdoctoral fellow If you're interested, or know someone who is, have them contact me at craig.horbinski@northwestern.edu!
Prikaži ovu nitHvala. Twitter će to iskoristiti za poboljšanje vaše vremenske crte. PoništiPoništi -
Craig Horbinski proslijedio/la je Tweet
Postdoctoral Fellow - Translational Brain Tumor Research in Chicago, IL for Northwestern University
@CraigHorbinskihttps://main.hercjobs.org/jobs/13310710/postdoctoral-fellow-translational-brain-tumor-research#.XjNpdyDdhnU.twitter …Hvala. Twitter će to iskoristiti za poboljšanje vaše vremenske crte. PoništiPoništi -
Hvala. Twitter će to iskoristiti za poboljšanje vaše vremenske crte. PoništiPoništi
-
5 year-old boy with a
#skull lesion. Diagnosis? What genetic abnormality is this lesion likely to contain?#pathology#PathTwitter#neuropath@NeuroOnc@neuropathology#Pediatricspic.twitter.com/lz9e6WIZwX
Hvala. Twitter će to iskoristiti za poboljšanje vaše vremenske crte. PoništiPoništi -
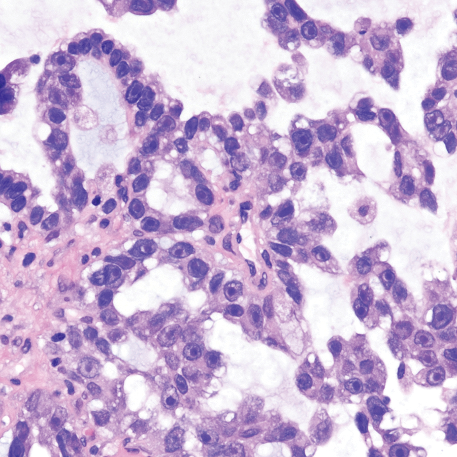
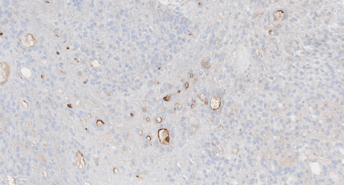
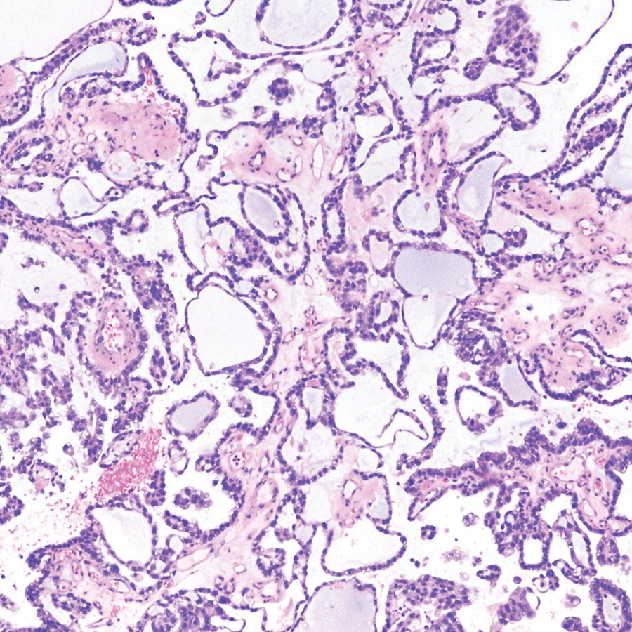
Run an abdominal CT scan, and you'd see an ovarian mass with metastases elsewhere in the body. This is metastatic ovarian clear cell carcinoma, confirmed by nuclear positivity for hepatocyte nuclear factor-1β. As usual, great work, everyone!
Prikaži ovu nitHvala. Twitter će to iskoristiti za poboljšanje vaše vremenske crte. PoništiPoništi -
56 year-old woman with left parietal
#brain tumor. Diagnosis? Any other tests you'd like to run (perhaps an abdominal#CT scan)?#pathology#pathtwitter#neuropath@NeuroOnc@neuropathology@NU_Pathology@NeurosurgeryNMpic.twitter.com/Fh9l2pCXmE
Prikaži ovu nitHvala. Twitter će to iskoristiti za poboljšanje vaše vremenske crte. PoništiPoništi -
Craig Horbinski proslijedio/la je TweetHvala. Twitter će to iskoristiti za poboljšanje vaše vremenske crte. PoništiPoništi
-
Alternaria
#keratitis in a gardener who got a piece of a thorn in her#eye. Consider wearing safety glasses!#eyepath#neuropath#pathtwitter#ophthalmologypic.twitter.com/uCG4S1IwOZ
Hvala. Twitter će to iskoristiti za poboljšanje vaše vremenske crte. PoništiPoništi -
#Metastases to the#eye are rare, but can happen. Here's a metastatic large cell neuroendocrine#carcinoma from the#lung that spread to the#retina.#eyepath@NMOphthalmology#neuropath#pathtwitter#pathology@NU_Pathologypic.twitter.com/f5kL2XHsgi
Hvala. Twitter će to iskoristiti za poboljšanje vaše vremenske crte. PoništiPoništi -
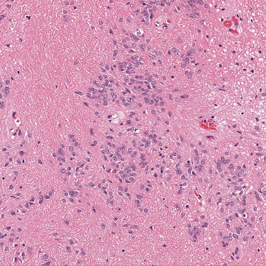
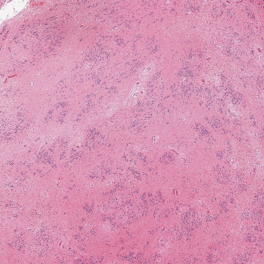
This is a
#subependymoma, WHO grade I. Even at low power, the characteristic clustering of tumor nuclei is diagnostic. Nicely done, everyone!Prikaži ovu nitHvala. Twitter će to iskoristiti za poboljšanje vaše vremenske crte. PoništiPoništi -
Craig Horbinski proslijedio/la je Tweet
My lab is hiring A
#postdoc position for our team! If you want to learn more about the#tumormicroenvironment in#brainmetastasis and work with other amazing and passionate#scientists let me know! @NeurosurgeryUSC#usc#ucla @MetastasisRS https://usccareers.usc.edu/job/los-angeles/postdoctoral-scholar-research-associate/1209/14979456 …Hvala. Twitter će to iskoristiti za poboljšanje vaše vremenske crte. PoništiPoništi -
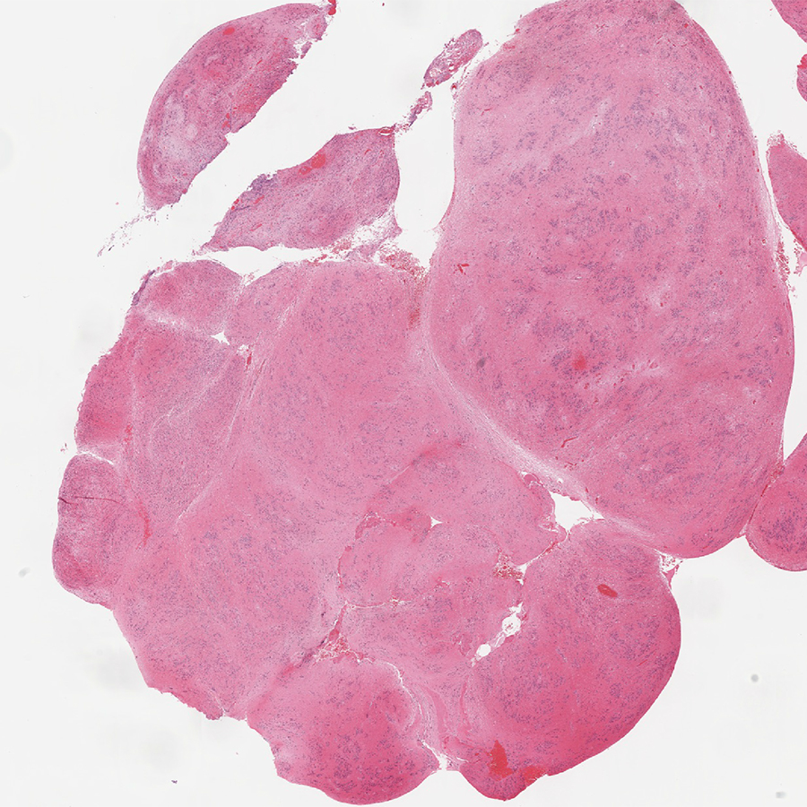
Fourth ventricular mass from a 46 year-old man. Diagnosis?
#pathology#neuropath#pathtwitter@neuropathology@NU_Pathology@NeuroOnc#braintumorpic.twitter.com/4fnjX2ONpA
Prikaži ovu nitHvala. Twitter će to iskoristiti za poboljšanje vaše vremenske crte. PoništiPoništi -
Hvala. Twitter će to iskoristiti za poboljšanje vaše vremenske crte. PoništiPoništi
-
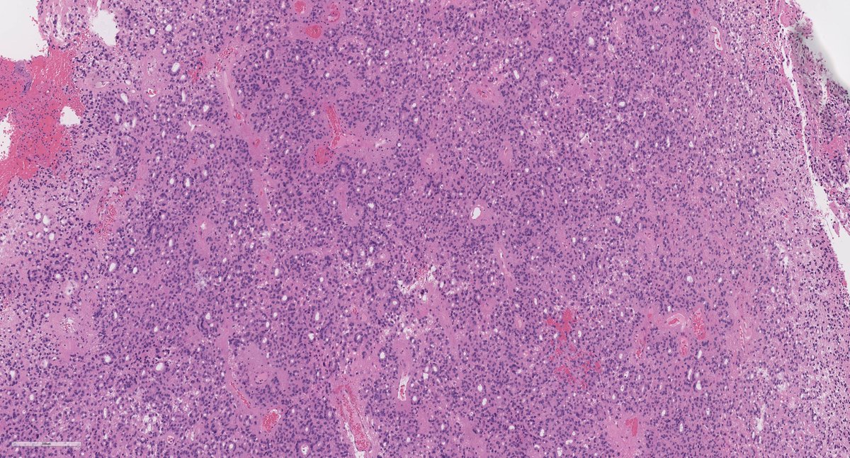
Postmortem cortex from a 60 year-old woman with rapidly progressive
#dementia. Diagnosis?#pathology#neuropath#pathtwitter@neuropathology@NU_Pathology#brainpic.twitter.com/rCajo49YIS
Prikaži ovu nitHvala. Twitter će to iskoristiti za poboljšanje vaše vremenske crte. PoništiPoništi -
Craig Horbinski proslijedio/la je Tweet
Levels of TAU could be used as a biomarker for tumor progression in mutant IDH1/2 gliomas. Learn about these new findings from co-author Maria Castro, Ph.D. (
@castro2355_mg), out today in@Sciencetm.http://michmed.org/v1Rj3Hvala. Twitter će to iskoristiti za poboljšanje vaše vremenske crte. PoništiPoništi
Čini se da učitavanje traje već neko vrijeme.
Twitter je možda preopterećen ili ima kratkotrajnih poteškoća u radu. Pokušajte ponovno ili potražite dodatne informacije u odjeljku Status Twittera.