Tweetovi
- Tweetovi, trenutna stranica.
- Tweetovi i odgovori
- Medijski sadržaj
Blokirali ste korisnika/cu @CaptainKidney79
Jeste li sigurni da želite vidjeti te tweetove? Time nećete deblokirati korisnika/cu @CaptainKidney79
-
Suneel Udani proslijedio/la je Tweet
Outstanding talk by
@SethiRenalPath on news antigens for MN. Stay tuned for more discoveries!@fervenzafernan1@pi_ronco@aravindranmd@MayoClinicpic.twitter.com/aZfIipUT9U
Hvala. Twitter će to iskoristiti za poboljšanje vaše vremenske crte. PoništiPoništi -
Suneel Udani proslijedio/la je Tweet
Stoked to have exhibited my installation, “Dare to breakfree” at
@KaterBlau powered by@kurteesindia &@Wavlngth_ as they re-created#Berlin’s EDM magic at#CoronaGarden#Bandra#art#artwork#artists#artinstallation#akshitagandhi#akshitagandhiart#music#edmpic.twitter.com/rygPxGI5Wz
Hvala. Twitter će to iskoristiti za poboljšanje vaše vremenske crte. PoništiPoništi -
Suneel Udani proslijedio/la je Tweet
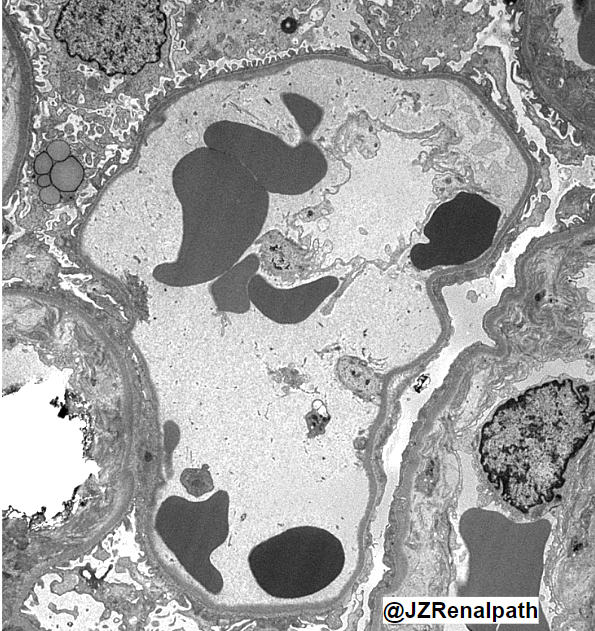
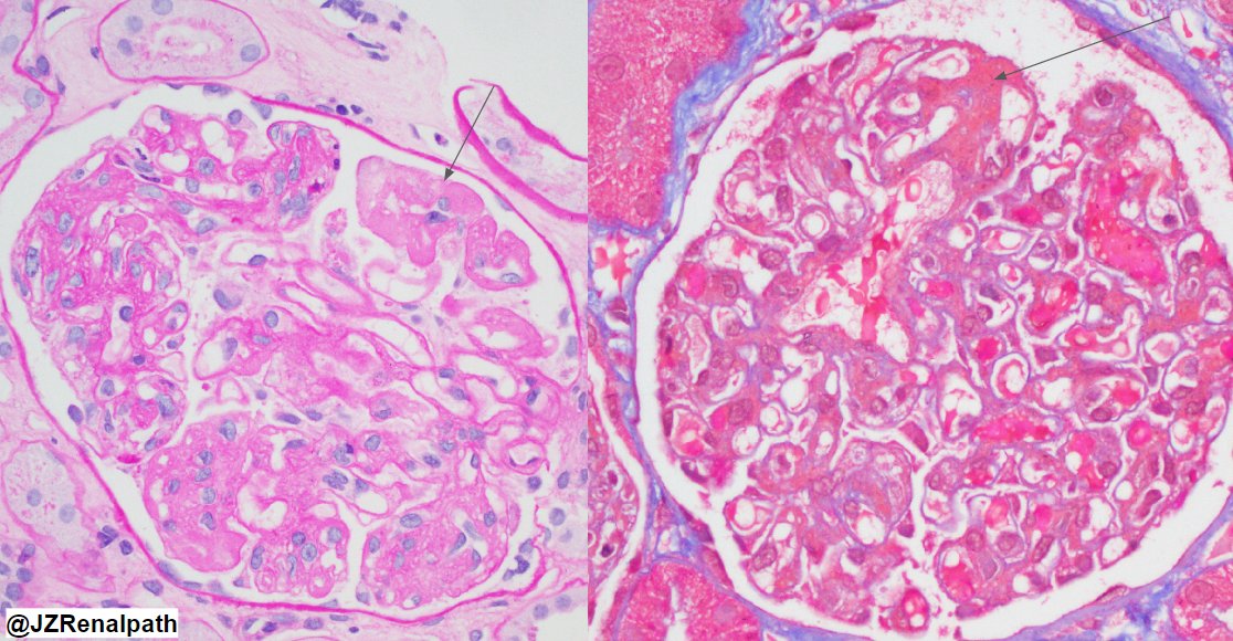
2 MGRS associated lesions in one bx from pt with 10% monoclonal plasma cells in marrow and SPEP with monoclonal IgG-k protein. Immunotactoid glomerulopathy and EM findings suggestive of concurrent TMA. Huge deposits on LM. Parallel microtubule arrays on EM.
#renalpathpic.twitter.com/tE57l3igUy
Hvala. Twitter će to iskoristiti za poboljšanje vaše vremenske crte. PoništiPoništi -
Suneel Udani proslijedio/la je Tweet
I'll note that sometimes this is as simple as reassuring a female colleague that she deserves to be in the room, she deserves to take up space. And doesn't have to apologize for every opinion.
#MakeSpaceForWomen
Hvala. Twitter će to iskoristiti za poboljšanje vaše vremenske crte. PoništiPoništi -
Suneel Udani proslijedio/la je Tweet
If it does, I &many others will consider ourselves a failure. Globally we’re driving towards targeted treatments & ultimately cures for some, then most, & hopefully all after that. Maybe one day you’ll join us in the fight, entering the fray in whatever way engages your head &
Hvala. Twitter će to iskoristiti za poboljšanje vaše vremenske crte. PoništiPoništi -
Suneel Udani proslijedio/la je Tweet
Diabetic Nephropathy where we were where we are where science may take us a CTC session lead by Dr. Vlado Perkovic & Dr. Katalin Susztak and moderated by Dr. Sylvia Rosas in our Joint Venture with
@Nephcure#KidneyHealthInitiative@ASNKidneypic.twitter.com/tytqYzoFD5
Prikaži ovu nitHvala. Twitter će to iskoristiti za poboljšanje vaše vremenske crte. PoništiPoništi -
Suneel Udani proslijedio/la je Tweet
Powerful. “For our children, grandchildren & great grandchildren”
@ShaNemUK@lavery_gg@clo13@Roxytonin@kidneydoc101@CritCareReviews@drlfarrell@osheaf01@mirenebellini1@irisheyed@gmac012https://twitter.com/bydonkeys/status/1223175366421946369 …
2:11Hvala. Twitter će to iskoristiti za poboljšanje vaše vremenske crte. PoništiPoništi -
Suneel Udani proslijedio/la je Tweet
It's going to take the engagement of the entire kidney community if we are going to reach for 80% of patients with ESKD starting on home therapies or with a preemptive kidney transplant by 2025. Our infographic from
@SemInDial on what this might take https://www.ncbi.nlm.nih.gov/pubmed/31943408 pic.twitter.com/aHtR95czyX
Hvala. Twitter će to iskoristiti za poboljšanje vaše vremenske crte. PoništiPoništi -
Suneel Udani proslijedio/la je Tweet
Agree. A will to prescribe is not enough and many pieces need to come together
Hvala. Twitter će to iskoristiti za poboljšanje vaše vremenske crte. PoništiPoništi -
Suneel Udani proslijedio/la je Tweet
Lucky Case 13
: A 60 y/o with multiple #myeloma, hypertension, and#hyponatremia https://nephsim.com/case-13-introduction/ … Serum Na 120, osm 268 Urine Na 53, urine osm 744 What's the most likely diagnosis?#FOAMedHvala. Twitter će to iskoristiti za poboljšanje vaše vremenske crte. PoništiPoništi -
Suneel Udani proslijedio/la je Tweet
Tremendously excited about our
@NEJM publication today that brings together clinical, in-vivo and in-vitro studies tackling the challenge of#AKI through identifying#suPAR as a potential therapeutic target. Read on (tweetorial)!https://www.nejm.org/doi/full/10.1056/NEJMoa1911481 …Prikaži ovu nitHvala. Twitter će to iskoristiti za poboljšanje vaše vremenske crte. PoništiPoništi -
Suneel Udani proslijedio/la je Tweet
Nephrology has found a global risk molecule: “ suPAR “ Any kidney disease is better off with a lower suPAR.https://twitter.com/nephro_sparks/status/1222644491267514369 …
Hvala. Twitter će to iskoristiti za poboljšanje vaše vremenske crte. PoništiPoništi -
Suneel Udani proslijedio/la je Tweet
Exciting! The cover reveal of MOONFLOWER MURDERS, my sequel to Magpie Murders, publishing 20th August this year.pic.twitter.com/QCsiBuLs6i
Ovo je potencijalno osjetljiv multimedijski sadržaj. Saznajte više
Hvala. Twitter će to iskoristiti za poboljšanje vaše vremenske crte. PoništiPoništi -
Suneel Udani proslijedio/la je Tweet
#WorldKidneyDay 2020, including definition & classification of#CKD#PREVENTION: Primary, Secondary, & Tertiary prevention Kidney health for everyone everywhere—from prevention to detection and equitable access to care https://kidney-international.org/article/S0085-2538(19)31239-6/fulltext#.Xi3MXBWm0WQ.twitter …@worldkidneyday@Kidney_Intpic.twitter.com/hOT4Uln5CX
Hvala. Twitter će to iskoristiti za poboljšanje vaše vremenske crte. PoništiPoništi -
Suneel Udani proslijedio/la je Tweet
I suggest we have a post-doc/industry career "draft", similar to the NFL draft, where people graduating with PhD's get all the flashing lights, swag, and national media attention. It'll be on PBS, of course.
#AcademicTwitter#AcademicChatter#phdchatHvala. Twitter će to iskoristiti za poboljšanje vaše vremenske crte. PoništiPoništi -
Suneel Udani proslijedio/la je Tweet
The data doesn't support early dialysis to lower mortality and may be opposite. I prefer to start dialysis on grossly uremic pt. They appreciate it more and realize why their life is so disrupted. Getting access in early is the problem. I call it their insurance policy.
Hvala. Twitter će to iskoristiti za poboljšanje vaše vremenske crte. PoništiPoništi -
Suneel Udani proslijedio/la je Tweet
Kidney disease disproportionately affects certain racial and ethnic groups........Kidney disease affects 1 of every 6 African-American adults in the U.S., and that number is about the same for Hispanic and Latino adults.https://blackhealthmatters.com/2017/02/09/griffin-dodgers-kidney-disease-rates-rising/ …
Hvala. Twitter će to iskoristiti za poboljšanje vaše vremenske crte. PoništiPoništi -
Suneel Udani proslijedio/la je Tweet
RADIOLOGY New: Consensus statement IV Contrast in kidney disease from ACR/ NFK
#radiology#CTRad@radiology_rsna https://bit.ly/2REcpdT pic.twitter.com/f21SBclMTP
Hvala. Twitter će to iskoristiti za poboljšanje vaše vremenske crte. PoništiPoništi -
Suneel Udani proslijedio/la je Tweet
At times, my journey with infertility left me broken. I shared today in
@voguemagazine how surrogacy changed that. I found a sister and most importantly love. If you're in NY, tell your reps to end the ban on gestational surrogacy.#LoveMakesAFamilyNYhttps://www.vogue.com/article/reshma-saujani-motherhood-surrogacy …Hvala. Twitter će to iskoristiti za poboljšanje vaše vremenske crte. PoništiPoništi -
Suneel Udani proslijedio/la je Tweet
New recommendations for those who care for patients on PD.
@katmallett79@ASNKidney@ASPNeph@IPNA_PedNeph@nkfhttps://twitter.com/ispd1/status/1220448632304033803 …
Hvala. Twitter će to iskoristiti za poboljšanje vaše vremenske crte. PoništiPoništi
Čini se da učitavanje traje već neko vrijeme.
Twitter je možda preopterećen ili ima kratkotrajnih poteškoća u radu. Pokušajte ponovno ili potražite dodatne informacije u odjeljku Status Twittera.