So almost everyone everywhere? I think you need to rethink that stat.
-
-
Thanks. Twitter will use this to make your timeline better. UndoUndo
-
-
-
Then all Americans are at risk. Majority have a mild TBI/concussion during childhood
Thanks. Twitter will use this to make your timeline better. UndoUndo
-
-
-
Constant depression and stress...
Thanks. Twitter will use this to make your timeline better. UndoUndo
-
-
-
Great! Ugh.
Thanks. Twitter will use this to make your timeline better. UndoUndo
-
-
-
Thanks. Twitter will use this to make your timeline better. UndoUndo
-
-
- 1 more reply
New conversation -
-
A mild TBI is now being used by Vets groups to justify the record breaking PTSD claims. In thenoastnthey used deployments and the fact MORE survived their wounds. Both proved to be untrue. HALF never deployed and few were ever wounded to begin with.
Thanks. Twitter will use this to make your timeline better. UndoUndo
-
-
-
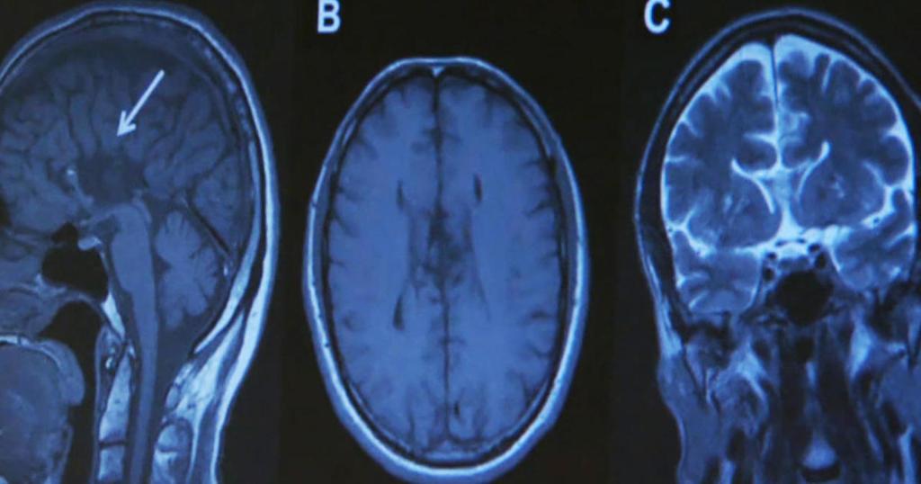
in fact all3 images - are of agenesis of the corpus callosum!
Thanks. Twitter will use this to make your timeline better. UndoUndo
-
-
-
lol the 1st MRI image on the left has an arrow pointing to an area of callosal agenesis/hypogenesis, nothing to do with Parkinsons...sigh
Thanks. Twitter will use this to make your timeline better. UndoUndo
-
-
-
One group of people gets these. Another gets those. Wonder who needs thier head examined afterwards. Thanks uncle snuffy. I'll remember your concern for my well being always.pic.twitter.com/LzMD2Wpqlu
Thanks. Twitter will use this to make your timeline better. UndoUndo
-
-
-
that is why veterans should be well treated
Thanks. Twitter will use this to make your timeline better. UndoUndo
-
Loading seems to be taking a while.
Twitter may be over capacity or experiencing a momentary hiccup. Try again or visit Twitter Status for more information.
