Tweetovi
- Tweetovi, trenutna stranica.
- Tweetovi i odgovori
- Medijski sadržaj
Blokirali ste korisnika/cu @AuntMinnie
Jeste li sigurni da želite vidjeti te tweetove? Time nećete deblokirati korisnika/cu @AuntMinnie
-
AuntMinnie.com proslijedio/la je Tweet
What should radiologists look for in cases suspicious for the novel
#coronavirus? Researchers from the U.S. and China discussed the quintessential CT features of the virus that can aid in its early detection and diagnosis#Radiology#Imaging#CTRadhttps://www.auntminnie.com/index.aspx?sec=log&URL=https%3a%2f%2fwww.auntminnie.com%2findex.aspx%3fsec%3dsup%26sub%3dcto%26pag%3ddis%26ItemID%3d128057 …Hvala. Twitter će to iskoristiti za poboljšanje vaše vremenske crte. PoništiPoništi -
AuntMinnie.com proslijedio/la je Tweet
EuSoMII presents 2 great live webinars! ‘Integration of AI in radiological workflow‘ by
@eranrad FEB 18, 2020 07:00PM CET https://zoom.us/webinar/register/WN_kGTXcT2ERUSnct7HAmquiA … ‘The Radiology AI sector in the EU’ by@DrHughHarvey March 2, 2020 07:00PM CET https://zoom.us/webinar/register/WN_UHtEfN_BT22fykuFLkvFzw …pic.twitter.com/ujS8q7n8kE
Hvala. Twitter će to iskoristiti za poboljšanje vaše vremenske crte. PoništiPoništi -
AuntMinnie.com proslijedio/la je Tweet
Researchers discuss
#CT features most likely to be seen in coronavirus patients via@AuntMinniehttps://bit.ly/2S18vgpHvala. Twitter će to iskoristiti za poboljšanje vaše vremenske crte. PoništiPoništi -
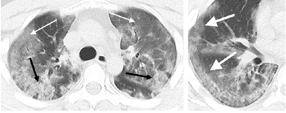
CT scans of male with novel coronavirus show diffuse bilateral confluent and patchy ground-glass opacities and consolidative opacities (left). A zoomed-in look of the right middle and lower lobes shows striking peripheral distribution (right).
@RSNA http://bit.ly/394duTg pic.twitter.com/GAwtx46jog
Hvala. Twitter će to iskoristiti za poboljšanje vaše vremenske crte. PoništiPoništi -
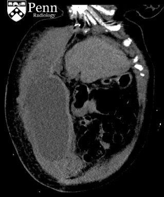
A 45-year-old woman presents with abdominal pain and hypotension. She has a complicated history of cholangiocarcinoma and PE and is currently on anticoagulation. Can you solve this
#radiology case from@PennRadiology? http://bit.ly/381J97U pic.twitter.com/A0vOZqBWPK
Hvala. Twitter će to iskoristiti za poboljšanje vaše vremenske crte. PoništiPoništi -
Two readers achieved higher sensitivity and greater diagnostic confidence using FDG-PET against MRI with enhanced multiplane tagging ASL (eASL).
#MRI#radiologyhttp://bit.ly/2UqtKKrHvala. Twitter će to iskoristiti za poboljšanje vaše vremenske crte. PoništiPoništi -
A group of senior Italian authors have addressed the question of the ethical use of AI in
#radiology, and produced a blueprint for avoiding potential problems.#ImagingAIhttp://bit.ly/2uicdsYHvala. Twitter će to iskoristiti za poboljšanje vaše vremenske crte. PoništiPoništi -
AuntMinnie.com proslijedio/la je Tweet
AI helps characterize breast masses on
#ultrasound - read the full article from@AuntMinnie!https://bit.ly/2vKfotSHvala. Twitter će to iskoristiti za poboljšanje vaše vremenske crte. PoništiPoništi -
Perhaps no single researcher shaped public policy in
#radiology as much as the late Dr. David C. Levin of@JeffersonRads. http://bit.ly/2Shjcul pic.twitter.com/XSdfAJ8IZf
Hvala. Twitter će to iskoristiti za poboljšanje vaše vremenske crte. PoništiPoništi -
A breast ultrasound AI algorithm was able to differentiate breast masses at a high level of accuracy by combining analysis of B-mode and color Doppler images.
#radiologyhttp://bit.ly/3b9d5AQHvala. Twitter će to iskoristiti za poboljšanje vaše vremenske crte. PoništiPoništi -
In a new Dutch study, digital
#mammography had better detection of high-grade ductal carcinoma in situ (DCIS) but also a higher recall rate.#radiologyhttp://bit.ly/37Z2YN6Hvala. Twitter će to iskoristiti za poboljšanje vaše vremenske crte. PoništiPoništi -
AuntMinnie.com proslijedio/la je Tweet
New 2019-nCoV case study published in
@radiology_rsna. "2019 Novel Coronavirus (2019-nCoV) Pneumonia" More to come today. Stay tuned.#coronavirus https://pubs.rsna.org/doi/10.1148/radiol.2020200257 …pic.twitter.com/d5VI7v1Vqj
Hvala. Twitter će to iskoristiti za poboljšanje vaše vremenske crte. PoništiPoništi -
A 28-year-old man presents with acute knee pain after a fall. Frontal and lateral knee radiographs were obtained. Can you solve this
#radiology case from@PennRadiology? http://bit.ly/2GXsiXG pic.twitter.com/c0g1WvhuRe
Hvala. Twitter će to iskoristiti za poboljšanje vaše vremenske crte. PoništiPoništi -
AuntMinnie.com proslijedio/la je Tweet
Medicare is ready to accept the appropriate use criteria (AUC) modifiers on claims now being submitted.. The question is, is
#radiology ready for AUC?http://bit.ly/2uk9rndHvala. Twitter će to iskoristiti za poboljšanje vaše vremenske crte. PoništiPoništi -
Researchers actually found cost and insurance status proved to be more significant barriers to breast cancer screening than mental health.
#mammography#radiologyhttp://bit.ly/2uk9OhBHvala. Twitter će to iskoristiti za poboljšanje vaše vremenske crte. PoništiPoništi -
Are you ready for appropriate use criteria (AUC) for ordering advanced imaging? Or more to the point, are your referring physicians ready?
#radiology@hapusarcmhttp://bit.ly/2uk9rndHvala. Twitter će to iskoristiti za poboljšanje vaše vremenske crte. PoništiPoništi -
Screening success in the UK?
#radiology#mammographyhttp://bit.ly/2RVMbVFHvala. Twitter će to iskoristiti za poboljšanje vaše vremenske crte. PoništiPoništi -
Delegates from the U.K. are no longer allowed to participate in meetings organized by the scientific communities, working parties, or management board of the European Medicines Agency (EMA).http://bit.ly/2trVMKr
Hvala. Twitter će to iskoristiti za poboljšanje vaše vremenske crte. PoništiPoništi -
Siemens said the first quarter marks the beginning of the "upgrading" phase of its Siemens Healthineers Strategy 2025 plan.http://bit.ly/387rzz6
Hvala. Twitter će to iskoristiti za poboljšanje vaše vremenske crte. PoništiPoništi -
Italian researchers investigated why more than 30% of women miss their
#mammography appointments.http://bit.ly/36YdQtcHvala. Twitter će to iskoristiti za poboljšanje vaše vremenske crte. PoništiPoništi
Čini se da učitavanje traje već neko vrijeme.
Twitter je možda preopterećen ili ima kratkotrajnih poteškoća u radu. Pokušajte ponovno ili potražite dodatne informacije u odjeljku Status Twittera.