What the fuck did i just read???
-
-
Thanks. Twitter will use this to make your timeline better. UndoUndo
-
-
-
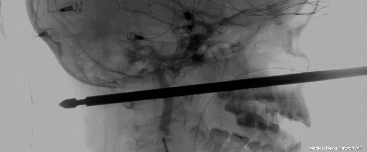
Say what you want about American healthcare, but if you get a skewer in your head, we will fix it.
Thanks. Twitter will use this to make your timeline better. UndoUndo
-
-
-
Ok who left a fucking meat skewer on the ground next to a tree house
Thanks. Twitter will use this to make your timeline better. UndoUndo
-
-
-
Thanks. Twitter will use this to make your timeline better. UndoUndo
-
-
-
He was more worried about the yellow jackets swarming him than he was the skewer. I don't blame him. They attacked and caused him to fall out of a tree house. He came out of it with very little swelling and a couple of band aides over the entry and exit wounds.
Thanks. Twitter will use this to make your timeline better. UndoUndo
-
-
-
Damn he was lucky, his Guardian Angel was with him. By this xrays looks like it may be touching bone, but missed discs, arteries, not sure about facial nerves, but very lucky. Even luckier no one attemped to pull out until in hospital
Thanks. Twitter will use this to make your timeline better. UndoUndo
-
-
-
Modern day Phineas Gage..
Thanks. Twitter will use this to make your timeline better. UndoUndo
-
-
-
1. That’s not the picture of the kid this story is about. 2. That’s an archery arrow with with a field point, not a meat skewer.
-
Yeah I was wondering the same thing. Doesn't look like any meat skewer I've ever seen.
End of conversation
New conversation -
-
-
Wow! Someone or something intervened to save this young man's life. The chances, alone, of something like that happening are hard to comprehend. He may have some trauma but will have an amazing story to relate to his future children.
Thanks. Twitter will use this to make your timeline better. UndoUndo
-
-
-
Holy cow



wish the kid a speedy recoveryThanks. Twitter will use this to make your timeline better. UndoUndo
-
-
-
Glad that he survived.
Thanks. Twitter will use this to make your timeline better. UndoUndo
-
-
-
Gonna be a crazy ass scar
Thanks. Twitter will use this to make your timeline better. UndoUndo
-
-
-
If this ever happened to one of my babies....I’m glad he’s going to be okay.pic.twitter.com/5Ei28TATbv
Thanks. Twitter will use this to make your timeline better. UndoUndo
-
-
-
every day impaled, poor man
-
He was like 10. Not technically a "man."
-
I meant to say is but you know what I mean.
End of conversation
New conversation -
Loading seems to be taking a while.
Twitter may be over capacity or experiencing a momentary hiccup. Try again or visit Twitter Status for more information.