Tweetovi
- Tweetovi, trenutna stranica.
- Tweetovi i odgovori
- Medijski sadržaj
Blokirali ste korisnika/cu @AAOjournal
Jeste li sigurni da želite vidjeti te tweetove? Time nećete deblokirati korisnika/cu @AAOjournal
-
Prikvačeni tweet
Read Ophthalmology’s top cited articles for free! https://www.aaojournal.org/trending Collections are available for
#Ophthalmology sub-specialties:#Cataract#Cornea#Glaucoma#NeuroOphthalmology#Oculoplastics#Pediatrics#Retina#Uveitispic.twitter.com/Ce7WSjuoWD
Hvala. Twitter će to iskoristiti za poboljšanje vaše vremenske crte. PoništiPoništi -
Study analyzed orbital emphysema, after apparently uneventful vitreoretinal surgeries. Difference between initial & final best-corrected visual acuity (BCVA) was not statically significant. Secondary ocular hypertension was associated with worse final BCVA http://ow.ly/SDUr50y3Z2C pic.twitter.com/u4RFLWcYfi
Hvala. Twitter će to iskoristiti za poboljšanje vaše vremenske crte. PoništiPoništi -
OCT-A macula superficial vessel density loss: faster than OCT GC-complex thinning and a/w
#glaucoma severity in#POAG.#ophthalmology#structurefunction http://ow.ly/CVbV50y0Pse pic.twitter.com/SWxaQCDJFx
Hvala. Twitter će to iskoristiti za poboljšanje vaše vremenske crte. PoništiPoništi -
Study: 73 eyes w/
#microbial keratitis underwent ultrasound. Patients with microbial#keratitis, who are older & pseudophakic, are prone to have more severe vitreous opacities. Severe vitreous opacities were more likely to be treated for#endophthalmitis http://ow.ly/dGEP50y3Yu1 pic.twitter.com/jc1ljmdzGj
Hvala. Twitter će to iskoristiti za poboljšanje vaše vremenske crte. PoništiPoništi -
Editorial: The Evolution of Retinal Gene Therapy: From Clinical Trials to Clinical Practice http://ow.ly/t7by50y0Trs
#Ophthalmologypic.twitter.com/RieAh6FyG1
Hvala. Twitter će to iskoristiti za poboljšanje vaše vremenske crte. PoništiPoništi -
The Collaborative Ocular Tuberculosis Study (COTS) study group propose 70 consensus statements for initiation of antitubercular therapy and 12 additional statements for use of adjunctive therapy in tubercular choroiditis http://ow.ly/9tRP50xY1tL pic.twitter.com/2cLf2Ode07
Hvala. Twitter će to iskoristiti za poboljšanje vaše vremenske crte. PoništiPoništi -
Ophthalmology Retina's February issue is now available online http://ow.ly/Njyf50y84Vu
#Ophthalmology#Retinapic.twitter.com/x21LxATTed
Hvala. Twitter će to iskoristiti za poboljšanje vaše vremenske crte. PoništiPoništi -
Reconstructing the visual field using a deep learning method exhibits improved
#structurefunction relationship.#glaucoma#ophthalmology#AI#deeplearning http://ow.ly/icoR50y0PJj pic.twitter.com/aXYZR6348I
Hvala. Twitter će to iskoristiti za poboljšanje vaše vremenske crte. PoništiPoništi -
Private equity consolidation in ophthalmology and optometry has rapidly increased in recent years, establishing geographic footprints in several major cities. 29 platform companies acquired 228 practices between 2012 and 2019 http://ow.ly/HX7e50xY1lH pic.twitter.com/V7eHtVZufj
Hvala. Twitter će to iskoristiti za poboljšanje vaše vremenske crte. PoništiPoništi -
42 eyes of 30 treatment-naïve proliferative diabetic retinopathy (PDR) patients were studied. The efficacy of swept source-OCTA vitreoretinal interface slab images for detecting neovascularization in PDR was comparable to that of fluorescein angiography http://ow.ly/wbqZ50y3YqP pic.twitter.com/Id902RqKEK
Hvala. Twitter će to iskoristiti za poboljšanje vaše vremenske crte. PoništiPoništi -
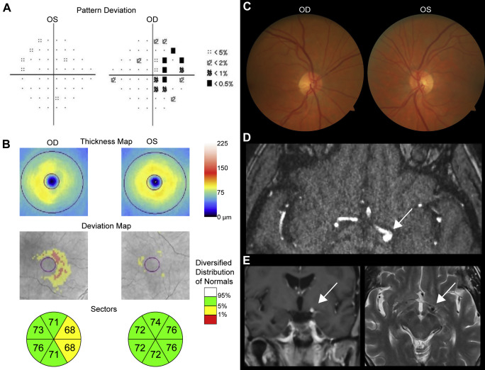
Featured Pictures & Perspectives: Unilateral Temporal Hemianopsia and Nasal Ganglion Cell Loss Secondary to Optic Tract Compression http://ow.ly/f6sj50y0TPL
#ophthalmologypic.twitter.com/3QlPW4KPWx
Hvala. Twitter će to iskoristiti za poboljšanje vaše vremenske crte. PoništiPoništi -
PEACHTREE phase 3 trial of suprachoroidal CLS-TA for macular edema secondary to noninfectious uveitis demonstrated clinically meaningful improvements in vision for nearly half of the patients treated http://ow.ly/gMz450xY0VO
#OpenAccesspic.twitter.com/Lb1pIa1YEd
Hvala. Twitter će to iskoristiti za poboljšanje vaše vremenske crte. PoništiPoništi -
Ophthalmology proslijedio/la je Tweet
Authors
@ClevelandClinic@CleClinicMD@CleClinicNews@uiowaeye note "While gene expression profiling testing is an important prognostic tool for patients with posterior uveal melanoma, tumor size is an important variable that seems to enhance prognostic discrimination."https://twitter.com/AAOjournal/status/1223290546619404288 …
Hvala. Twitter će to iskoristiti za poboljšanje vaše vremenske crte. PoništiPoništi -
Ophthalmology proslijedio/la je Tweet
Authors
@cwru@CWRUSOM@ClevelandClinic@CleClinicMD@CleClinicNews@drrishisingh: Cataract surgery beneficial in patients with diabetic retinopathy w/o macular pathology. But "visual acuity before surgery & severity of diabetic retinopathy can limit desired operative outcomes."https://twitter.com/AAOjournal/status/1222928046447104000 …
Hvala. Twitter će to iskoristiti za poboljšanje vaše vremenske crte. PoništiPoništi -
Ophthalmology proslijedio/la je Tweet
Authors
@UvA_Amsterdam@VUamsterdam@LUMC_Leiden@univgroningen@VUmcAmsterdam@QUBelfast@Radboud_Uni@radboudumc@UMCUtrecht@erasmusuni@unil note: "In our study, patients were treated monthly for 6 months, which is more frequent than most common regimens in daily practice."https://twitter.com/AAOjournal/status/1222610842056904704 …
Hvala. Twitter će to iskoristiti za poboljšanje vaše vremenske crte. PoništiPoništi -
Ophthalmology proslijedio/la je Tweet
Authors
@aiims_newdelhi state: "Post-operative glaucoma was noted in nine eyes" out of 28 which underwent surgery.https://twitter.com/AAOjournal/status/1220436489571577858 …
Hvala. Twitter će to iskoristiti za poboljšanje vaše vremenske crte. PoništiPoništi -
Results from multicenter international study of
#children with#glaucoma set to inspire future#research. Most common dx = PCG. Despite differences in surgical approach (angle, combo trabeculotomy/trabeculectomy, diode), no difference in IOP or VA outcomes http://ow.ly/qx9Z50xTTxM pic.twitter.com/F2z9b0XVi3
Hvala. Twitter će to iskoristiti za poboljšanje vaše vremenske crte. PoništiPoništi -
Ophthalmology proslijedio/la je Tweet
"Anterior segment showed emulsified silicon oil globules occupying slightly more than half of the anterior chamber and covering the pupil". Why does this happen? The specific gravity of silicon oil is lower than aqueous, causing an "inverted hypoypon"
#ophthalmology@AAOjournalhttps://twitter.com/AAOjournal/status/1222950184314900481 …
Hvala. Twitter će to iskoristiti za poboljšanje vaše vremenske crte. PoništiPoništi -
Ophthalmology proslijedio/la je Tweet
From current issue of
@aaojournal. What’s the diagnosis? A) Anterior uveitis B) Inverted hypopyon from silicone oil in the anterior chamber C) Infectious endophthalmitis • •• ••• https://www.instagram.com/p/B7_frupBGpj/?igshid=12it5mnb3qnyh …pic.twitter.com/viHvjoTYCQ
Hvala. Twitter će to iskoristiti za poboljšanje vaše vremenske crte. PoništiPoništi -
215 patients with posterior uveal melanoma over a 5y period were evaluated with fine needle aspiration biopsy at the time of primary treatment. Incorporation of tumor size enhances the prognostic discrimination index of the gene http://ow.ly/5eGS50xX1Au pic.twitter.com/vvNflhICK6
Hvala. Twitter će to iskoristiti za poboljšanje vaše vremenske crte. PoništiPoništi -
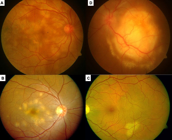
Featured Pictures & Perspectives: Silicon Oil–Induced Glaucoma http://ow.ly/2mMt50y34rp
#ophthalmology#glaucomapic.twitter.com/235zX3wypV
Hvala. Twitter će to iskoristiti za poboljšanje vaše vremenske crte. PoništiPoništi
Čini se da učitavanje traje već neko vrijeme.
Twitter je možda preopterećen ili ima kratkotrajnih poteškoća u radu. Pokušajte ponovno ili potražite dodatne informacije u odjeljku Status Twittera.